Skip to main content

A case of a maintenance hemodialysis patient with autosomal dominant polycystic kidney disease who underwent living donor liver transplantation alone due to refractory liver cyst infection

Abstract

Liver cysts are observed in 83% of cases of autosomal dominant polycystic kidney disease (ADPKD). Although not as prevalent as renal cyst infection, liver cyst infection is a serious complication that is sometimes difficult to treat. We report the case of a maintenance hemodialysis patient with ADPKD who received a living donor liver transplantation alone (LDLTA) due to refractory liver cyst infection. The patient was a 67-year-old Japanese man who developed fever and right-side abdominal pain, and liver cyst infection was suspected. Treatment with multiple antibiotics was ineffective. Many liver cysts were observed on magnetic resonance imaging scans and a cyst in liver segment S6, which produced the strongest signal variation, was drained. The fever subsided temporarily, but multiple infected liver cysts were observed on follow-up imaging examination; 4 months later, hepatectomy and LDLTA were performed. Although LDLTA due to refractory liver cyst infection in maintenance hemodialysis patients with ADPKD is risky and should be carefully considered, it may be the only effective treatment.

This is a preview of subscription content, access via your institution.

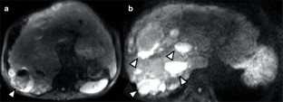
Fig. 1
Fig. 2
Fig. 3
Fig. 4

References

  1. Bae KT, Zhu F, Chapman AB, Torres VE, Grantham JJ, Guay-Woodford LM, et al. Magnetic resonance imaging evaluation of hepatic cysts in early autosomal-dominant polycystic kidney disease: the Consortium for Radiologic Imaging Studies of Polycystic Kidney Disease cohort. Clin J Am Soc Nephrol CJASN. 2006;1(1):64–9. https://doi.org/10.2215/CJN.00080605.

    Article  PubMed  Google Scholar 

  2. The European Polycystic Kidney Disease Consortium. The polycystic kidney disease 1 gene encodes a 14 kb transcript and lies within a duplicated region on chromosome 16. Eur Polycystic Kidney Dis Consort Cell. 1994;77(6):881–94.

    Google Scholar 

  3. Mochizuki T, Wu G, Hayashi T, Xenophontos SL, Veldhuisen B, Saris JJ, et al. PKD2, a gene for polycystic kidney disease that encodes an integral membrane protein. Science. 1996;272(5266):1339–42.

    CAS  Article  PubMed  Google Scholar 

  4. Drenth JP, te Morsche RH, Smink R, Bonifacino JS, Jansen JB. Germline mutations in PRKCSH are associated with autosomal dominant polycystic liver disease. Nat Genet. 2003;33(3):345–7. https://doi.org/10.1038/ng1104.

    CAS  Article  PubMed  Google Scholar 

  5. Davila S, Furu L, Gharavi AG, Tian X, Onoe T, Qian Q, et al. Mutations in SEC63 cause autosomal dominant polycystic liver disease. Nat Genet. 2004;36(6):575–7. https://doi.org/10.1038/ng1357.

    CAS  Article  PubMed  Google Scholar 

  6. Gevers TJ, Drenth JP. Diagnosis and management of polycystic liver disease. Nat Rev Gastroenterol Hepatol. 2013;10(2):101–8. https://doi.org/10.1038/nrgastro.2012.254.

    CAS  Article  PubMed  Google Scholar 

  7. Gabow PA, Johnson AM, Kaehny WD, Manco-Johnson ML, Duley IT, Everson GT. Risk factors for the development of hepatic cysts in autosomal dominant polycystic kidney disease. Hepatology. 1990;11(6):1033–7.

    CAS  Article  PubMed  Google Scholar 

  8. Chapman AB. Cystic disease in women: clinical characteristics and medical management. Adv Ren Replace Ther. 2003;10(1):24–30. https://doi.org/10.1053/jarr.2003.50005.

    Article  PubMed  Google Scholar 

  9. Hoevenaren IA, Wester R, Schrier RW, McFann K, Doctor RB, Drenth JP, et al. Polycystic liver: clinical characteristics of patients with isolated polycystic liver disease compared with patients with polycystic liver and autosomal dominant polycystic kidney disease. Liver Int. 2008;28(2):264–70. https://doi.org/10.1111/j.1478-3231.2007.01595.x.

    Article  PubMed  Google Scholar 

  10. Bistritz L, Tamboli C, Bigam D, Bain VG. Polycystic liver disease: experience at a teaching hospital. Am J Gastroenterol. 2005;100(10):2212–7. https://doi.org/10.1111/j.1572-0241.2005.50258.x.

    Article  PubMed  Google Scholar 

  11. Gigot JF, Jadoul P, Que F, Van Beers BE, Etienne J, Horsmans Y, et al. Adult polycystic liver disease: is fenestration the most adequate operation for long-term management? Ann Surg. 1997;225(3):286–94.

    CAS  Article  PubMed  PubMed Central  Google Scholar 

  12. Sallee M, Rafat C, Zahar JR, Paulmier B, Grunfeld JP, Knebelmann B, et al. Cyst infections in patients with autosomal dominant polycystic kidney disease. Clin J Am Soc Nephrol CJASN. 2009;4(7):1183–9. https://doi.org/10.2215/CJN.01870309.

    Article  PubMed  Google Scholar 

  13. Telenti A, Torres VE, Gross JB Jr, Van Scoy RE, Brown ML, Hattery RR. Hepatic cyst infection in autosomal dominant polycystic kidney disease. Mayo Clin Proc. 1990;65(7):933–42.

    CAS  Article  PubMed  Google Scholar 

  14. Suwabe T, Ubara Y, Mise K, Ueno T, Sumida K, Yamanouchi M, et al. Suitability of patients with autosomal dominant polycystic kidney disease for renal transcatheter arterial embolization. J Am Soc Nephrol JASN. 2016;27(7):2177–87. https://doi.org/10.1681/ASN.2015010067.

    CAS  Article  PubMed  Google Scholar 

  15. Lantinga MA, Geudens A, Gevers TJ, Drenth JP. Systematic review: the management of hepatic cyst infection. Aliment Pharmacol Ther. 2015;41(3):253–61. https://doi.org/10.1111/apt.13047.

    CAS  Article  PubMed  Google Scholar 

  16. Kwok MK, Lewin KJ. Massive hepatomegaly in adult polycystic liver disease. Am J Surg Pathol. 1988;12(4):321–4.

    CAS  Article  PubMed  Google Scholar 

  17. Lang H, von Woellwarth J, Oldhafer KJ, Behrend M, Schlitt HJ, Nashan B, et al. Liver transplantation in patients with polycystic liver disease. Transpl Proc. 1997;29(7):2832–3.

    Article  Google Scholar 

  18. Demirci G, Becker T, Nyibata M, Lueck R, Bektas H, Lehner F, et al. Results of combined and sequential liver-kidney transplantation. Liver Transpl. 2003;9(10):1067–78. https://doi.org/10.1053/jlts.2003.50210.

    Article  PubMed  Google Scholar 

  19. Chandok N, Uhanova J, Marotta P. Clinical outcomes of liver transplantation for polycystic liver disease: a single center experience. Ann Hepatol. 2010;9(3):278–81.

    PubMed  Google Scholar 

  20. Starzl TE, Reyes J, Tzakis A, Mieles L, Todo S, Gordon R. Liver transplantation for polycystic liver disease. Arch Surg. 1990;125(5):575–7.

    CAS  Article  PubMed  Google Scholar 

  21. Aussilhou B, Doufle G, Hubert C, Francoz C, Paugam C, Paradis V, et al. Extended liver resection for polycystic liver disease can challenge liver transplantation. Ann Surg. 2010;252(5):735–43. https://doi.org/10.1097/SLA.0b013e3181fb8dc4.

    Article  PubMed  Google Scholar 

  22. Cimsit B, Schilsky M, Moini M, Cartiera K, Arvelakis A, Kulkarni S, et al. Combined liver kidney transplantation: critical analysis of a single-center experience. Transpl Proc. 2011;43(3):901–4. https://doi.org/10.1016/j.transproceed.2011.02.033.

    Article  Google Scholar 

  23. Temmerman F, Missiaen L, Bammens B, Laleman W, Cassiman D, Verslype C, et al. Systematic review: the pathophysiology and management of polycystic liver disease. Aliment Pharmacol Ther. 2011;34(7):702–13. https://doi.org/10.1111/j.1365-2036.2011.04783.x.

    CAS  Article  PubMed  Google Scholar 

  24. Kirchner GI, Rifai K, Cantz T, Nashan B, Terkamp C, Becker T, et al. Outcome and quality of life in patients with polycystic liver disease after liver or combined liver-kidney transplantation. Liver Transpl. 2006;12(8):1268–77. https://doi.org/10.1002/lt.20780.

    Article  PubMed  Google Scholar 

  25. Ogawa K, Fukunaga K, Takeuchi T, Kawagishi N, Ubara Y, Kudo M, et al. Current treatment status of polycystic liver disease in Japan. Hepatol Res. 2014;44(11):1110–8. https://doi.org/10.1111/hepr.12286.

    Article  PubMed  Google Scholar 

  26. Nair S, Verma S, Thuluvath PJ. Pretransplant renal function predicts survival in patients undergoing orthotopic liver transplantation. Hepatology. 2002;35(5):1179–85. https://doi.org/10.1053/jhep.2002.33160.

    Article  PubMed  Google Scholar 

  27. Eguchi S, Furukawa H, Uemoto S, Umeshita K, Imamura H, Soyama A, et al. Outcomes of living donor liver transplantation alone for patients on maintenance renal replacement therapy in Japan: results of a Nationwide Survey. Transpl Direct. 2016;2(6):e74. https://doi.org/10.1097/TXD.0000000000000587.

    CAS  Article  Google Scholar 

  28. Krohn PS, Hillingso JG, Kirkegaard P. Liver transplantation in polycystic liver disease: a relevant treatment modality for adults? Scand J Gastroenterol. 2008;43(1):89–94.

    Article  PubMed  Google Scholar 

  29. Taner B, Willingham DL, Hewitt WR, Grewal HP, Nguyen JH, Hughes CB. Polycystic liver disease and liver transplantation: single-institution experience. Transpl Proc. 2009;41(9):3769–71. https://doi.org/10.1016/j.transproceed.2009.05.043.

    Article  Google Scholar 

Download references

Acknowledgements

This report was supported in part by a Grant-in-Aid for Intractable Renal Diseases Research, Research on rare and intractable diseases; and Health and Labor Sciences Research Grants from the Ministry of Health, Labor and Welfare of Japan.

Author information

Affiliations

Authors

Corresponding author

Correspondence to Toshio Mochizuki.

Ethics declarations

Conflict of interest

Toshio Mochizuki and Ken Tsuchiya received travel fees and honoraria for lectures from Otsuka Pharmaceutical Co. Toshio Mochizuki belongs to an endowed university department sponsored by Otsuka Pharmaceutical Co, Chugai Pharmaceutical Co, Kyowa Hakko Kirin Co, MSD Co, and JMS Co.

Ethical approval

All procedures performed in the patient study were in accordance with the 1964 Helsinki Declaration and its later amendments, or with comparable ethical standards.

Informed consent

Informed consent was obtained from the patient.

About this article

Verify currency and authenticity via CrossMark

Cite this article

Akihisa, T., Ino, A., Egawa, H. et al. A case of a maintenance hemodialysis patient with autosomal dominant polycystic kidney disease who underwent living donor liver transplantation alone due to refractory liver cyst infection. CEN Case Rep 7, 307–312 (2018). https://doi.org/10.1007/s13730-018-0348-8

Download citation

  • Received:

  • Accepted:

  • Published:

  • Issue Date:

  • DOI: https://doi.org/10.1007/s13730-018-0348-8

Keywords

  • Liver transplantation
  • Hemodialysis
  • ADPKD
  • Polycystic kidney disease
  • Polycystic liver disease
  • Liver cyst infection