Abstract
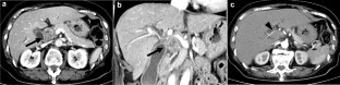
Recently, the number of reports describing patients with initially unresectable biliary tract cancer (BTC) who underwent resection in the form of conversion surgery is increasing. Gemcitabine plus cisplatin (GC) combination therapy has been reported to significantly prolong the median survival time from 8.1 to 11.7 months compared with conventional gemcitabine therapy in patients with unresectable BTC. We report the case of a patient with unresectable BTC who underwent conversion surgery with a partial response to GC combination therapy. A 78-year-old woman was diagnosed with unresectable BTC with invasion of the right hepatic artery by lymph node metastasis and liver metastases. The patient received GC combination therapy. After 6 cycles of chemotherapy, the patient achieved a partial response. The radiological findings revealed a marked shrinkage in the primary lesion and the disappearance of lymph node and liver metastases. Therefore, the patient underwent conversion surgery, including biliary tract resection and regional lymph node dissection. For postoperative follow-up, the patient was monitored without receiving adjuvant chemotherapy. The patient had not exhibited recurrence during the 12-month follow-up period. We report the case of a patient with unresectable BTC who underwent conversion surgery with a partial response to GC combination therapy.








References
Randi G, Malvezzi M, Levi F et al (2009) Epidemiology of biliary tract cancers: an update. Ann Oncol 20:146–159
Hori M, Matsuda T, Shibata A et al (2015) Cancer incidence and incidence rates in Japan in 2009: a study of 32 population-based cancer registries for the Monitoring of Cancer Incidence in Japan (MCIJ) project. Jpn J Clin Oncol 45:884–891
Valle J, Wasan H, Palmer DH et al (2010) Cisplatin plus gemcitabine versus gemcitabine for biliary tract cancer. N Engl J Med 362:1273–1281
Morizane C, Okusaka T, Mizusawa J et al (2019) Combination gemcitabine plus S-1 versus gemcitabine plus cisplatin for advanced/recurrent biliary tract cancer: the FUGA-BT (JCOG1113) randomized phase III clinical trial. Ann Oncol 30:1950–1958
Sakai D, Kanai M, Kobayashi S et al (2018) Randomized phase III study of gemcitabine, cisplatin plus S-1 (GCS) versus gemcitabine, cisplatin (GC) for advanced biliary tract cancer (KHBO1401-MITSUBA). Ann Oncol 29:viii205–viii270
Kato A, Shimizu H, Ohtsuka M et al (2013) Surgical resection after downsizing chemotherapy for initially unresectable locally advanced biliary tract cancer: a retrospective single-center study. Ann Surg Oncol 20:318–324
Kato A, Shimizu H, Ohtsuka M et al (2015) Downsizing chemotherapy for initially unresectable locally advanced biliary tract cancer patients treated with gemcitabine plus cisplatin combination therapy followed by radical surgery. Ann Surg Oncol 22:S1093–S1099
Evans DB, Rich TA, Byrd DR et al (1992) Preoperative chemoradiation and pancreaticoduodenectomy for adenocarcinoma of the pancreas. Arch Surg 127:1335–1339
Satoi S, Yamaue H, Kato K et al (2013) Role of adjuvant surgery for patients with initially unresectable pancreatic cancer with a long-term favorable response to non-surgical anti-cancer treatments: results of a project study for pancreatic surgery by the Japanese Society of Hepato-Biliary-Pancreatic Surgery. J Hepatobiliary Pancreat Sci 20:590–600
Adam R, Wicherts DA, de Haas RJ et al (2009) Patients with initially unresectable colorectal liver metastases: is there a possibility of cure? J Clin Oncol 27:1829–1835
Bismuth H, Adam R, Levi F et al (1996) Resection of nonresectable liver metastases from colorectal cancer after neoadjuvant chemotherapy. Ann Surg 224:509–520
Rayar M, Sulpice L, Edeline J et al (2015) Intra-arterial yttrium-90 radioembolization combined with systemic chemotherapy is a promising method for downstaging unresectable huge intrahepatic cholangiocarcinoma to surgical treatment. Ann Surg Oncol 22:3102–3108
Agrawal S, Mohan L, Mourya C et al (2016) Radiological downstaging with neoadjuvant therapy in unresectable gall bladder cancer cases. Asian Pac J Cancer Prev 17:2137–2140
Engineer R, Goel M, Chopra S et al (2016) Neoadjuvant chemoradiation followed by surgery for locally advanced gallbladder cancers: a new paradigm. Ann Surg Oncol 23:3009–3015
Konstantinidis IT, Groot Koerkamp B, Do RK et al (2016) Unresectable intrahepatic cholangiocarcinoma: Systemic plus hepatic arterial infusion chemotherapy is associated with longer survival in comparison with systemic chemotherapy alone. Cancer 122:758–765
Creasy JM, Goldman DA, Dudeja V et al (2016) Systemic chemotherapy combined with resection for locally advanced gallbladder carcinoma: surgical and survival outcomes. J Am Coll Surg 224:906–916
Sumiyoshi T, Shima Y, Okabayashi T et al (2018) Chemoradiotherapy for initially unresectable locally advanced cholangiocarcinoma. World J Surg 42:2910–2918
Le Roy B, Gelli M, Pittau G et al (2018) Neoadjuvant chemotherapy for initially unresectable intrahepatic cholangiocarcinoma. Br J Surg 105:839–847
Suzuki Y, Kan M, Kimura G et al (2019) Predictive factors of the treatment outcome in patients with advanced biliary tract cancer receiving gemcitabine plus cisplatin as first-line chemotherapy. J Gastroenterol 54:281–290
Noji T, Nagayama M, Imai K et al (2020) Conversion surgery for initially unresectable biliary malignancies: a multicenter retrospective cohort study. Surg Today 50:1409–1417
Kobayashi S, Ueno M, Ohkawa S et al (2012) A retrospective study of S-1 monotherapy as second-line treatment for patients with advanced biliary tract cancer. Jpn J Clin Oncol 42:800–806
Robinson K, Lambiase L, Li J et al (2003) Fatal cholestatic liver failure associated with gemcitabine therapy. Dig Dis Sci 48:1804–1808
Primrose JN, Fox RP, Palmer DH et al (2019) Capecitabine compared with observation in resected biliary tract cancer (BILCAP): a randomised, controlled, multicentre, phase 3 study. Lancet Oncol 20:663–673
Nakachi K, Konishi M, Ikeda M et al (2018) A randomized Phase III trial of adjuvant S-1 therapy vs observation alone in resected biliary tract cancer: Japan Clinical Oncology Group Study (JCOG1202, ASCOT). Jpn J Clin Oncol. https://doi.org/10.1093/jjco/hyy004
Acknowledgements
We thank the Department of Pathology, Saitama Cancer Center, for consulting on the histopathological findings.
Funding
This research did not receive any specific grant from funding agencies in the public, commercial, or not-for-profit sectors.
Author information
Authors and Affiliations
Contributions
All authors participated in the treatment of this patient. All authors read and approved the final manuscript.
Corresponding author
Ethics declarations
Conflict of interest
There are no potential conflicts of interest to disclose.
Informed consent
Written informed consent was obtained from the patient for publication of this case report and accompanying images. A copy of the written consent is available for review by the Editor-in-Chief of this journal on request.
Additional information
Publisher's Note
Springer Nature remains neutral with regard to jurisdictional claims in published maps and institutional affiliations.
About this article
Cite this article
Miyamoto, R., Ogura, T., Takahashi, A. et al. Conversion surgery for initially unresectable advanced biliary tract cancer treated with gemcitabine plus cisplatin combination chemotherapy: a case report and literature review. Int Canc Conf J 11, 188–195 (2022). https://doi.org/10.1007/s13691-022-00545-y
Received:
Accepted:
Published:
Issue Date:
DOI: https://doi.org/10.1007/s13691-022-00545-y