Skip to main content

Positive outcome of first-line therapy for a SMARCA4-deficient thoracic sarcomatoid tumor

Abstract

SMARCA4-deficient thoracic sarcomatoid tumor is a rare malignancy indicating some characteristics of a smoking-related disease. The purpose of this report is to describe a case of aggressive thoracic tumor with loss of immunochemical SMARCA4 expression and detail the results of our treatment regimen. The patient was a 58-year-old male and clinicopathologically diagnosed with a SMARCA4-deficient thoracic sarcomatoid tumor. Pembrolizumab plus carboplatin and pemetrexed resulted in significant response. This combination therapy showed potential for first-line systemic treatment of SMARCA4-deficient thoracic sarcomatoid tumors.

This is a preview of subscription content, access via your institution.

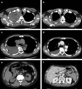
Fig. 1
Fig. 2
Fig. 3

References

  1. Wilson BG, Roberts CW (2011) SWI/SNF nucleosome remodelers and cancer. Nat Rev Cancer 11:481–492

    CAS  Article  Google Scholar 

  2. Schneppenheim R, Fruhwald MC, Gesk S et al (2010) Germline nonsense mutation and somatic inactivation of SMARCA4/BRG1 in a family with rhabdoid tumor predisposition syndrome. Am J Hum Genet 86:279–284

    CAS  Article  Google Scholar 

  3. Witkowski L, Carrot-Zhang J, Albrecht S et al (2014) Germline and somatic SMARCA4 mutations characterize small cell carcinoma of the ovary, hypercalcemic type. Nat Genet 46:438–443

    CAS  Article  Google Scholar 

  4. Le Loarer F, Watson S, Pierron G et al (2015) SMARCA4 inactivation defines a group of undifferentiated thoracic malignancies transcriptionally related BAF-deficient sarcomas. Nat Genet 47:1200–1205

    Article  Google Scholar 

  5. Rekhtman N, Montecalvo J, Chang JC et al (2020) SMARCA4-deficient thoracic sarcomatoid tumors represent primary smoking-related undifferentiated carcinomas rather than primary thoracic sarcomas. J Thorac Oncol 15:231–247

    CAS  Article  Google Scholar 

  6. Henon C, Blay JY, Massard C et al (2019) Long lasting major response to pembrolizumab in a thoracic malignant rhabdoid-like SMARCA4-deficient tumor. Ann Oncol 30:1401–1403

    CAS  Article  Google Scholar 

  7. Iijima Y, Sakakibara R, Ishizuka M et al (2020) Notable response to nivolumab during the treatment of SMARCA4-deficient thoracic sarcoma: a case report. Immunotherapy 12:563–569

    CAS  Article  Google Scholar 

  8. Rizvi NA, Hellmann MD, Snyder A et al (2015) Mutational landscape determines sensitivity to PD-1 blockade in non-small cell lung cancer. Science 348:124–128

    CAS  Article  Google Scholar 

  9. Dagogo-Jack I, Schrock AB, Kem M et al (2020) Clinicopathologic characteristics of BRG1-deficient NSCLC. J Thorac Oncol 15:766–776

    CAS  Article  Google Scholar 

  10. Zhou H, Shen J, Liu J et al (2020) Efficacy of immune checkpoint inhibitors in SMARCA4-mutant NSCLC. J Thorac Oncol 15:e133-136

    CAS  Article  Google Scholar 

Download references

Author information

Affiliations

Authors

Corresponding author

Correspondence to Shigeru Tanaka.

Ethics declarations

Conflict of interest

The authors declare that they have no conflict of interest.

Ethical approval

For this type of study, formal consent is not required.

Informed consent

Informed consent was obtained from all individual participants included in this study.

Additional information

Publisher's Note

Springer Nature remains neutral with regard to jurisdictional claims in published maps and institutional affiliations.

About this article

Verify currency and authenticity via CrossMark

Cite this article

Tanaka, S., Hayashi, S., Isobe, Y. et al. Positive outcome of first-line therapy for a SMARCA4-deficient thoracic sarcomatoid tumor. Int Canc Conf J 10, 112–115 (2021). https://doi.org/10.1007/s13691-021-00472-4

Download citation

  • Received:

  • Accepted:

  • Published:

  • Issue Date:

  • DOI: https://doi.org/10.1007/s13691-021-00472-4

Keywords

  • SMARCA4
  • Aggressive thoracic tumor
  • Immune checkpoint inhibitor