Skip to main content

Lamin A/C deficiency is an independent risk factor for cervical cancer

Abstract

Background

In the past, cervical cancer has been linked to Human Papilloma Virus (HPV) infection. Previously, we found that pre-neoplastic breast and ovarian lesions may be associated with lamin A/C deficiency, resulting in abnormal nuclear morphologies and chromosomal instability. Ultimately, these phenomena are thought to lead to cancer. Here, we assessed lamin A/C deficiency as an indicator for the risk to develop cervical cancer.

Methods

The expression of lamin A/C was assessed by Western blotting in cervical uterine smears (CUS) of 76 adult women from Benin concomitant with nuclear morphology assessment and HPV genotyping using microscopy and PCR-based assays, respectively. In vitro analyses were performed to uncover the mechanism underlying lamin A/C expression alterations observed in vivo. The presence of cervical intra-epithelial neoplasia (CIN) was assessed by colposcopy.

Results

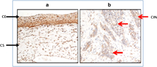
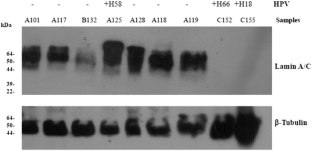
Normal lamin A/C expression (group A) was observed in 39 % of the CUS, weak lamin A/C expression (group B) was observed in 28 % of the CUS and no lamin A/C expression (group C) was observed in 33 % of the CUS tested. Infection with oncogenic HPV was found to be significantly higher in group C (36 %) than in groups A (17 %) and B (14 %). Two years after our first assessment, CIN was observed in 20 % of the women in group C. The in vitro application of either a histone deacetylase inhibitor (trichostatin) or a protein kinase inhibitor (staurosporine) was found to restore lamin A/C expression in cervical cancer-derived cells.

Conclusion

Lamin A/C deficiency may serve as an independent risk factor for CIN development and as an indicator for preventive therapy in cervical cancer.

This is a preview of subscription content, access via your institution.

Fig. 1
Fig. 2
Fig. 3
Fig. 4
Fig. 5
Fig. 6
Fig. 7

References

  1. R. Ibáñez, J. Moreno-Crespi, M. Sardà, J. Autonell, M. Fibla, C. Gutiérrez, B. Lloveras, M. Alejo, I. Català, F. Alameda, M. Casas, F.X. Bosch, S. de Sanjosé, Prediction of cervical intraepithelial neoplasia grade 2+ (CIN2+) using HPV DNA testing after a diagnosis of atypical squamous cell of undetermined significance (ASC-US) in Catalonia. Spain. BMC Infect. Dis. 12, 12–25 (2012)

    Article  Google Scholar 

  2. M. Odida, R. Schmauz, S.K. Lwanga, Grade of Malignancy of Cervical Cancer in Regions of Uganda with Varying Malarial Endemicity. Int. J. Cancer 99, 737–741 (2002)

    Article  CAS  PubMed  Google Scholar 

  3. C.D. Capo-chichi, K.Q. Cai, F. Simpkins, P. Ganjei-Azar, A.K. Godwin, X.X. Xu, Nuclear envelope structural defects cause chromosomal numerical instability and aneuploidy in ovarian cancer. BMC Med. 9, 28 (2011)

    PubMed Central  Article  CAS  PubMed  Google Scholar 

  4. C.D. Capo-Chichi, K.Q. Cai, J. Smedberg, P. Ganjei-Azar, A.K. Godwin, X.X. Xu, Loss of a-type lamin expression compromises nuclear envelope integrity in breast cancer. Chin. J. Cancer 6, 415–425 (2011)

    Article  Google Scholar 

  5. J.L. Broers, F.C. Ramaekers, G. Bonne, R.B. Yaou, C.J. Hutchison, Nuclear lamins: laminopathies and their role in premature ageing. Physiol. Rev. 86, 967–1008 (2006)

    Article  CAS  PubMed  Google Scholar 

  6. V.L. Verstraeten, J.L. Broers, F.C. Ramaekers, M.A. van Steensel, The nuclear envelope, a key structure in cellular integrity and gene expression. Curr. Med. Chem. 14, 1231–1248 (2007)

    Article  CAS  PubMed  Google Scholar 

  7. J.M. Bridger, N. Foeger, I.R. Kill, H. Herrmann, The nuclear lamina. Both a Structural framework and a Platform for Genome Organization. FEBS J 274, 1354–1361 (2007)

    Article  CAS  PubMed  Google Scholar 

  8. T.M. Gant, K.L. Wilson, Nuclear assembly. Annu. Rev. Cell Dev. Biol. 13, 669–695 (1997)

    Article  CAS  PubMed  Google Scholar 

  9. R.A. Rober, K. Weber, M. Osborn, Differential timing of nuclear lamin A/C expression in the various organs of the mouse embryo and the young animal: a developmental study. Development 105, 365–378 (1989)

    CAS  PubMed  Google Scholar 

  10. P. Sehgal, P. Chaturvedi, R.I. Kumaran, S. Kumar, V.K. Parnaik, Lamin A/C haploinsufficiency modulates the differentiation potential of mouse embryonic stem cells. PLoS One 8(2), e57891 (2013)

    PubMed Central  Article  CAS  PubMed  Google Scholar 

  11. D. Lourim, J.J.-C. Limm, Expression of wild-type and nuclear localization deficient lamin a in chick myoblasts. J. Cell Sci. 123, 501–512 (1992)

    Article  Google Scholar 

  12. E.R. Smith, X.Y. Zhang, C.D. Capo-Chichi, X. Chen, X.X. Xu, Increased expression of Syne1/nesprin-1 facilitates nuclear envelope structure changes in embryonic stem cell differentiation. Dev. Dyn. 240(10), 2245–2255 (2011)

    PubMed Central  Article  CAS  PubMed  Google Scholar 

  13. D. Constantinescu, H.L. Gray, P.J. Sammak, G.P. Schatten, A.B. Csoka, Lamin A/C expression is a marker of mouse and human embryonic stem cell differentiation. Stem Cells 24(1), 177–185 (2006)

    Article  CAS  PubMed  Google Scholar 

  14. K.L. Gorringe, S.F. Chin, P. Pharoah, J.M. Staines, C. Oliveira, P.A. Edwards, C. Caldas, Evidence that both genetic instability and selection contribute to the accumulation of chromosome alterations in cancer. Carcinogenesis 26(5), 923–390 (2005)

    Article  CAS  PubMed  Google Scholar 

  15. S.A. Shalev, A. De Sandre-Giovannoli, A.A. Shani, N. Levy, An association of Hutchinson-Gilford progeria and malignancy. Am. J. Med. Genet. 143(16), 1821–1826 (2007)

    Article  Google Scholar 

  16. R.A. Caruso, F. Fedele, P. Consolo, C. Luigiano, A. Venuti, V. Cavallari, Abnormal nuclear structures (micronuclei, nucleoplasmic bridges, and nuclear buds) in a pleomorphic giant cell carcinoma of the stomach. Ultrastruct. Pathol. 32(1), 11–15 (2008)

    Article  PubMed  Google Scholar 

  17. E.R. Smith, K.Q. Cai, C.D. Capo-Chichi, X. Xu, Aberrant epithelial differentiation in ovarian cancer. Cancer Treat. Res. 149, 147–163 (2009)

    Article  CAS  PubMed  Google Scholar 

  18. C.D. Capo-Chichi, K.Q. Cai, J.R. Testa, A.K. Godwin, X.X. Xu, Loss of GATA6 leads to nuclear deformation and aneuploidy in ovarian cancer. Mol. Cell. Biol. 29(17), 4766–4777 (2009)

    PubMed Central  Article  CAS  PubMed  Google Scholar 

  19. Corso C, Parry EM, Faragher RG, Seager A, Green MH, Parry JM. Molecular cytogenetic insights into the ageing syndrome hutchinson-gilford progeria (HGPS). Cytogenet. Genome Res., 111(1):27–33 (2005)

  20. N.D. Willis, T.R. Cox, S.F. Rahman-Casañs, K. Smits, S.A. Przyborski, P. van den Brandt, M. van Engeland, M. Weijenberg, R.G. Wilson, A. de Bruïne, C.J. Hutchison, Lamin A/C Is a risk biomarker in colorectal cancer. PLoS One 3(8), e2988 (2008)

    PubMed Central  Article  PubMed  Google Scholar 

  21. R.S. Venables, S. McLean, D. Luny, E. Moteleb, S. Morley, R.A. Quinlan, E.B. Lane, C.J. Hutchison, Expression of individual lamins in basal cell carcinomas of the skin. Br. J. Cancer 84(4), 512–519 (2001)

    PubMed Central  Article  CAS  PubMed  Google Scholar 

  22. G. Maresca, M. Natoli, M. Nardella, I. Arisi, D. Trisciuoglio, M. Desideri, R. Brandi, S. D’Aguanno, M.R. Nicotra, M. D’Onofrio, A. Urbani, P.G. Natali, D.D. Bufalo, A. Felsani, I. D’Agnano, LMNA knock-down affects differentiation and progression of human neuroblastoma cells. PLoS One 7(9), e45513 (2012)

    PubMed Central  Article  CAS  PubMed  Google Scholar 

  23. N. Kivi, D. Greco, P. Auvinen, E. Auvinen, Genes involved in cell adhesion, cell motility and mitogenic signaling are altered due to HPV 16 E5 protein expression. Oncogene 17, 2532–2541 (2008)

    Article  Google Scholar 

  24. A. Gingelmaier, T. Grubert, R. Kaestner, I. Mylonas, T. Weissenbacher, F. Bergauer, L. Barthell, K. Friese, High recurrence rate of cervical dysplasia and persistence of HPV infection in HIV-1-infected women. Anticancer Res. 27, 1795–1798 (2007)

    PubMed  Google Scholar 

  25. K. Sotlar, D. Diemer, A. Dethleffs, Y. Hack, A. Stubner, N. Vollmer, S. Menton, M. Menton, K. Dietz, D. Wallwiener, R. Kandolf, B. Bültmann, Detection and typing of human papillomavirus by e6 nested multiplex PCR. J. Clin. Microbiol. 42(7), 3176–3184 (2004)

    PubMed Central  Article  CAS  PubMed  Google Scholar 

  26. Agrelo R, Setien F, Espada J, Artiga MJ, Rodriguez M, Perez-Rosado A, Sanchez-Aguilera A, Fraga, M.F, Piris MA, Esteller M. Inactivation of the lamin A/C gene by CpG island promoter hypermethylation in hematologic malignancies, and its association with poor survival in nodal diffuse large B-cell lymphoma. J. Clin. Oncol., 23:3940–3947 (2005)

  27. M. Caron, M. Auclair, H. Sterlingot, M. Kornprobst, J. Capeau, Some HIV protease inhibitors alter lamin A/C maturation and stability: SREBP-1 nuclear localization and adipocyte differentiation. AIDS 17, 2437–2444 (2003)

    Article  CAS  PubMed  Google Scholar 

  28. S.E. Hudon, C. Coffinier, S. Michaelis, L.G. Fong, S.G. Young, C.A. Hrycyna, HIV-protease inhibitors block the enzymatic activity of purified Ste24p. Biochem. Biophys. Res. Commun. 374, 365–368 (2008)

    PubMed Central  Article  CAS  PubMed  Google Scholar 

  29. Q. Qian Liu, D.I. Kim, J. Syme, P. LuValle, Burke, roux KJ. Dynamics of Lamin-A Processing Following Precursor Accumulation. PLoS One 5(e10874) (2010)

  30. F. Chang, F. Re, S. Sebastian, S. Sazer, J. Luban, HIV-1 Vpr induces defects in mitosis, cytokinesis, nuclear structure, and centrosomes. Mol. Biol. Cell 15, 1793–1801 (2004)

    PubMed Central  Article  CAS  PubMed  Google Scholar 

  31. D. Zink, A.H. Fischer, J.A. Nickerson, Nuclear structure in cancer cells. Nat. Rev. Cancer 4(9), 677–687 (2004)

    Article  CAS  PubMed  Google Scholar 

  32. M. Odida, R. Schmauz, S.K. Lwanga, Grade of malignancy of cervical cancer in regions of Uganda with varying malarial endemicity. Int. J. Cancer 99, 737–741 (2002)

    Article  CAS  PubMed  Google Scholar 

  33. E. Weiderpass, W. Ye, R. Tamimi, D. Trichopolous, O. Nyren, H. Vainio, H.O. Adami, Alcoholism and risk for cancer of the cervix uterine, vagina, and vulva. Cancer Epidemiol. Biomark. Prev. 10, 899–901 (2001)

    CAS  Google Scholar 

  34. R.L. Sedjo, P. Inserra, M. Abrahamsen, R.B. Harris, D.J. Roe, S. Baldwin, A.R. Giuliano, Human papillomavirus persistence and nutrients involved in the methylation pathway among a cohort of young women. Cancer Epidemiol. Biomark. Prev. 11, 353–359 (2002)

    CAS  Google Scholar 

  35. B.Y. Hernandez, K. McDuffie, L.R. Wilkens, L. Kamemoto, M.T. Goodman, Diet and premalignant lesions of the cervix: evidence of a protective role for folate, riboflavin, thiamin, and vitamin B12. Cancer Causes Control 14, 859–880 (2003)

    Article  PubMed  Google Scholar 

  36. C.L. Trimble, J.M. Genkinger, A.E. Burke, S.C. Hoffman, K.J. Helzlsouer, M. Diener-West, G.W. Comstock, A.J. Alberg, Active and passive cigarette smoking and the risk of cervical neoplasia. Obstet. Gynecol. 105, 174–181 (2005)

    PubMed Central  Article  PubMed  Google Scholar 

  37. M. Walentowicz-Sadłecka, P. Sadłecki, A. Marszałek, M. Grabiec, Cigarette smoking among women attending cervical cancer screening program. Przegl. Lek. 69, 914–917 (2012)

    PubMed  Google Scholar 

  38. Q.Y. Lu, Y. Yang, Y.S. Jin, Z.F. Zhang, D. Heber, F.P. Li, S.M. Dubinett, M.A. Sondej, J.A. Loo, J.Y. Rao, Effects of green tea extract on lung cancer A549 cells: proteomic identification of proteins associated with cell migration. Proteomics 9, 757–767 (2009)

    PubMed Central  Article  CAS  PubMed  Google Scholar 

  39. W.S. Ahn, J. Yoo, S.W. Huh, C.K. Kim, J.M. Lee, S.E. Namkoong, S.M. Bae, I.P. Lee, Protective effects of green tea extracts (polyphenon E and EGCG) on human cervical lesions. Eur. J. Cancer Prev. 12, 383–390 (2003)

    Article  PubMed  Google Scholar 

  40. S. Lebel, C. Lampron, A. Royal, Y. Raymond, Lamins a and C appear during retinoic acid-induced differentiation of mouse embryonal carcinoma cells. J. Cell Biol. 105, 1099–1104 (1987)

    Article  CAS  PubMed  Google Scholar 

  41. S.F. Moss, V. Krivosheyev, A. de Souza, K. Chin, H.P. Gaetz, N. Chaudhary, H.J. Worman, P.R. Holt, Decreased and aberrant nuclear lamin expression in gastrointestinal tract neoplasms. Gut 45(5), 723–729 (1999)

    PubMed Central  Article  CAS  PubMed  Google Scholar 

  42. C.D. Capo-chichi, E.R. Smith, S. Rosario, P. Ganjei-Azar, X.X. Xu, Nuclear envelope defects in epithelial ovarian cancer. Am J. Clin. Exp. Obstet. Gynecol. 1(1), 17–30 (2013)

    Google Scholar 

  43. C.D. Capo-chichi, J.D. Alladagbin, L. Brun, B. Aguida, K.V. Agossou, Anagbla toussain, salmane a, Xu XX, sanni a. Deficiency of GATA6 as a molecular tool to assess the risk for cervical cancer. Am. J. Biomed. Res. 2(1), 1–6 (2014)

    Google Scholar 

  44. R.I. Anorlu, K.A. Ribiu, O.O. Abudu, E.R. Ola, Cervical cancer screening practices among general practitioners in Lagos Nigeria. J. Obstet. Gynaecol. 27(2), 181–184 (2007)

    Article  CAS  PubMed  Google Scholar 

  45. Z. Sando, T. McKee, J.C. Pache, H. Kemajou, O. Folem, L. Rubbia-Brandt, A.S. Doh, Human papillomavirus genotypes in the high grade preinvasive cervical lesions in Yaounde (Cameroon). Am. J. Cancer Prev. 1(2), 14–19 (2013)

    Article  Google Scholar 

  46. N. Liu, L.J. Zhao, X.P. Li, J.L. Wang, G.L. Chai, L.H. Wei, Histone deacetylase inhibitors inducing human cervical cancer cell apoptosis by decreasing DNA-methyltransferase 3B. Chin. Med. J. 125(18), 3273–3278 (2012)

    CAS  PubMed  Google Scholar 

  47. B. Bernard, J.L. Prétet, J.F. Charlot, C. Mougin, Human papillomaviruses type 16+ and 18+ cervical carcinoma cells are sensitive to staurosporine-mediated apoptosis. Biol. Cell. 95(1), 17–26 (2003)

    Article  CAS  PubMed  Google Scholar 

  48. V. Cenni, J. Bertacchini, F. Beretti, G. Lattanzi, A. Bavelloni, M. Riccio, et al., Lamin a Ser404 is a nuclear target of Akt phosphorylation in C2C12 cells. J. Proteome Res. 7, 4727–4735 (2008)

    Article  CAS  PubMed  Google Scholar 

  49. A. Toker, S. Marmiroli, Signaling specificity in the Akt pathway in biology and disease. Adv. Biol. Regul. 55, 28–38 (2014)

    Article  CAS  PubMed  Google Scholar 

  50. S.B. Prasad, S.S. Yadav, M. Das, A. Modi, S. Kumari, L.K. Pandey, S. Singh, S. Pradhan, G. Narayan, PI3K/AKT pathway-mediated regulation of p27(Kip1) is associated with cell cycle arrest and apoptosis in cervical cancer. Cell. Oncol. 38(3), 215–225 (2015)

    Article  CAS  Google Scholar 

Download references

Acknowledgments

We thank Dr. Toussain Anagbla and nurse Wanou Sylvia, Gynecology/obstetric service, Hospital Mènontin, Benin for sample collection and Sossah Hiffo Jonas, master student, for assistance in HPV genotyping. The rector of the University of Abomey-Calavi, Pr. Sinsin A. Brice (Benin) and all the members of his office are acknowledged for their constant encouragement and support for all our innovative projects towards cancer research in Benin. We also thank Toni Yeasky, research assistant at the Sylvester Cancer Center, Miller Medical School, University of Miami, Miami, USA for being in charge of studying the mouse model of lamin A/C deficiency. Dr. Elizabeth Smith, Dr. Robert Moore and Dr. Wensi Tao, Sylvester Cancer Center, Miller Medical School, University of Miami, Miami, FL, USA are acknowledged for their support. Special thanks go to Dr. Elizabeth Smith for editing this manuscript. We are especially grateful to Dr. Véronique Tognisode, obstetrician, gynecologist and Director of Clinic Houéyiho, for her excellent work during the colposcopic examination in her medical center (Cotonou, Benin).

Authors' contributions

  1. 1.

    CDC: Principal investigator who has designed and carried out the study on lamin A/C as bio-indicator to assess the risk of developing cervical cancer among African women.

  2. 2.

    AB: PhD student who is involved in sample collection and lamin A/C analysis by Western blotting.

  3. 3.

    CNW: Specialist of HPV genotyping who supervised the HPV genotyping in this study.

  4. 4.

    QKC: Pathologist who has performed the lamin A/C immunostaining on the tissue microarray.

  5. 5.

    GO: Director of Hospital Mènontin who has supervised the sample collection by gynecologist and nurses.

  6. 6.

    VKA: Obstetrician and gynecologist who has performed the colposcopic examinations, the cervical neoplastic diagnoses and treatment (Cotonou, Benin).

  7. 7.

    XX: Adviser in the study.

  8. 8.

    SA: Director of the laboratory of Biochemistry and Molecular Biology within the University of Abomey Calavi (UAC) in Benin, where the analyses were carried out. He has established the protocol for HPV genotyping.

Author information

Affiliations

Authors

Corresponding author

Correspondence to Callinice D. Capo-chichi.

Ethics declarations

Competing interest

The authors have no competing interests. This is exclusively a collaborative academic research project between researchers from the University of Abomey Calavi (UAC), Benin, the Fox Chase Cancer Center, Philadelphia, USA, the University of Miami, Miller school of Medicine, USA, and the medical doctors and gynecologists of the Hospital Mènontin, Benin.

Rights and permissions

Reprints and Permissions

About this article

Verify currency and authenticity via CrossMark

Cite this article

Capo-chichi, C.D., Aguida, B., Chabi, N.W. et al. Lamin A/C deficiency is an independent risk factor for cervical cancer. Cell Oncol. 39, 59–68 (2016). https://doi.org/10.1007/s13402-015-0252-6

Download citation

  • Accepted:

  • Published:

  • Issue Date:

  • DOI: https://doi.org/10.1007/s13402-015-0252-6

Keywords

  • Lamin A/C deficiency
  • Oncogenic HPV
  • Cervical neoplasia
  • Cervical cancer prevention