Skip to main content

Chikungunya infection presenting as mild encephalitis with a reversible lesion in the splenium: a case report

Abstract

Chikungunya fever is an Aedes mosquito-transmitted infection caused by chikungunya virus, an RNA virus in the family Togaviridae. The disease is characteristically manifested as fever, arthralgia, and/or rash. Various neurological manifestations like meningoencephalitis, myelitis, and myeloneuropathy have been mentioned in various reports. We present a rare case of chikungunya fever presenting with mild encephalitis with a reversible lesion of the splenium (MERS), which showed complete clinical and radiological recovery.

This is a preview of subscription content, access via your institution.

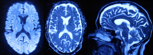
Fig. 1
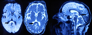
Fig. 2

References

  • Chandak NH, Kashyap RS, Kabra D, Karandikar P, Saha SS, Morey SH, Purohit HJ, Taori GM, Daginawala HF (2009) Neurological complications of chikungunya virus infection. Neurol India 57:177–180

    Article  PubMed  Google Scholar 

  • Cho JS, Ha SW, Han YS, Park SE, Hong KM, Han JH et al (2007) Mild encephalopathy with reversible lesion in the splenium of the corpus callosum and bilateral frontal white matter. J Clin Neurol 3(1):53–56

    Article  PubMed  PubMed Central  Google Scholar 

  • Chusri S, Siripaitoon P, Hirunpat S, Silpapojakul K (2011) Case reports of neuro-chikungunya in southern Thailand. AmJTrop Med Hyg 85(2):386–389

    Article  Google Scholar 

  • Condon RJ, Rouse IL (1995) Acute symptoms and sequelae of Ross River virus infection in South-Western Australia: a follow up study. Clin Diagn Virol 3:273–284

    CAS  Article  PubMed  Google Scholar 

  • Conti M, Salis A, Urigo C, Canalis L, Frau S, Canalis GC (2007) Transient focal lesion in the splenium of the corpus callosum: MR imaging with an attempt to clinical-physiopathological explanation and review of the literature. Radiol Med 112:921–935

    CAS  Article  PubMed  Google Scholar 

  • Fitsiori A, Nguyen D, Karentzos A, Delavelle J, Vargas MI (2011) The corpus callosum: white matter or terra incognita. Br J Radiol 84(997):5–18

    CAS  Article  PubMed  PubMed Central  Google Scholar 

  • Malhotra HS, Garg RK, Vidhate MR, Sharma PK (2012) Boomerang sign: clinical significance of transient lesion in splenium of corpus callosum. Ann Indian Acad Neurol 15(2):151–157

    Article  PubMed  PubMed Central  Google Scholar 

  • Robinson M (1955) An epidemic of virus disease in Southern Province, Tanganyika territory, in 1952–53; I. Clinical features. Trans Royal Society Trop Med Hyg 1:28–32

    Article  Google Scholar 

  • Sharda M, Meena H (2007) Neurological complications in chikungunya fever. J Assoc Physicians India 55:765–769

    PubMed  Google Scholar 

  • Sharma B, Handa R, Nagpal K, Prakash S, Panagariya A (2014) Transient elevation of cerebrospinal fluid protein in a patient of mild encephalitis with reversible lesion in the splenium: a case report. The Malaysian journal of medical sciences: MJMS 21(3):94

    PubMed  PubMed Central  Google Scholar 

  • Tada H, Takanashi J, Barkovich AJ, Oba H, Maeda M, Tsukahara H, Suzuki M, Yamamoto T, Shimono T, Ichiyama T, Taoka T (2004) Clinically mild encephalitis/encephalopathy with a reversible splenial lesion. Neurology 63(10):1854–1858

    CAS  Article  PubMed  Google Scholar 

  • Takanashi J, Barkovich AJ, Shiihara T, Tada H, Kawatani M, Tsukahara H et al (2006) Widening spectrum of a reversible splenial lesion with transiently reduced diffusion. AJNR Am J Neuroradiol 27(4):836–888

    CAS  PubMed  Google Scholar 

  • Yeh IB, Tan LCS, Sitoh YY (2005) Reversible splenial lesion in clinically mild encephalitis. Singap Med J 46(12):726–730

    CAS  Google Scholar 

Download references

Author information

Affiliations

Authors

Corresponding author

Correspondence to Kadam Nagpal.

Ethics declarations

Source(s) of support

None.

Conflict of interest

The authors declare that they have no conflict of interest.

Rights and permissions

Reprints and Permissions

About this article

Verify currency and authenticity via CrossMark

Cite this article

Nagpal, K., Agarwal, P., Kumar, A. et al. Chikungunya infection presenting as mild encephalitis with a reversible lesion in the splenium: a case report. J. Neurovirol. 23, 501–503 (2017). https://doi.org/10.1007/s13365-017-0515-2

Download citation

  • Received:

  • Revised:

  • Accepted:

  • Published:

  • Issue Date:

  • DOI: https://doi.org/10.1007/s13365-017-0515-2

Keywords

  • Chikungunya
  • Encephalitis
  • Reversible splenial lesion