Abstract
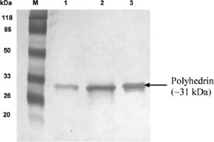
Baculoviruses were isolated from three major lepidopteran pests, Helicoverpa armigera, Spodoptera litura and Amsacta albistriga in the semi-arid tropics during natural epizootic conditions at ICRISAT fields, Patancheru, Andhra Pradesh, India. Biological, morphological and biochemical analysis identified these isolates as Nucleopolyhedroviruses (NPVs). Scanning electron microscopy of the occlusion bodies (OBs) purified from diseased larvae revealed polyhedral particles of size approximately 0.5–2.5 μm [Helicoverpa armigera Nucleopolyhedrovirus (HearNPV)], 0.9–2.92 μm [Spodoptera litura Nucleopolyhedrovirus (SpltNPV)] and 1.0–2.0 μm [Amsacta albistriga Nucleopolyhedrovirus (AmalNPV)] in diameter. Transmission electron microscopy of thin sections of OBs of the three isolates revealed up to 5–8 multiple bacilliform shaped particles packaged within a single viral envelope. The dimensions of these particles were 277.7 × 41.6 nm for HearNPV, 285.7 × 34.2 nm for SpltNPV and 228.5 × 22.8 nm for AmalNPV. Each of HearNPV and AmalNPV contained up to 6 nucleocapsids and SpltNPV contained up to 7 nucleocapsids per envelope. The estimated molecular weights of the purified OB (polyhedrin) protein of the three NPVs were 31.29–31.67 kDa. Virus yield (OBs/larva) was 5.18 ± 0.45 × 109 for HearNPV, 5.73 ± 0.17 × 109 for SpltNPV and 7.90 ± 0.54 × 109 for AmalNPV. The LC50 values of various NPVs against 2nd and 3rd instar larvae indicated 2.30 × 104 and 1.5 × 105 OBs/ml for HearNPV, 3.5 × 104 and 2.4 × 105 OBs/ml for SpltNPV and 5.6 × 104 and 3.96 × 105 OBs/ml for AmalNPV. The lethal time required to cause 50% mortality (LT50) for these three species were also defined. This study has shown that the NPVs infecting three major lepidopteran pests in India are multiple NPVs, and they have good potential to use as biocontrol agents against these important pests.
This is a preview of subscription content, access via your institution.




References
Ashour MB, Ragheb DA, EI-Sheikh E-SA, Gomaa E-AA, Kamita SG, Hammock BD. Biosafety of recombinant and wild type Nucleopolyhedrovirus as bioinsecticides. Int J Environ Res Public Health. 2007;4(2):111–25.
Battu GS. Yield levels of the occlusion bodies obtained from the Baculovirus infected Hellula Undalis (Fabricius). Indian J Entomol. 1990;51:317–25.
Blissard GW, Rohrmann GF. Baculovirus diversity and molecular biology. Annu Rev Entomol. 1990;35:127–55.
Blissard GW, Black B, Crook N, Keddie BA, Posse R, Rohrmann GF, Theilmann DA, Volkman L. Family Baculovirdae. In: Van Regenmortel MHV, et al., editors, Virus taxonomy: seventh report of the international committee on taxonomy of viruses. San Diego: Academic Press; 2000. p. 195–202.
Chi H. Computer programme for the probit analysis. Taichung, Taiwan: National Chung Hsing University; 1997.
Christian PD, Gibb N, Kasprzak AB, Richards A. A rapid method for the identification and differentiation of Helicoverpa Nucleopolyhedroviruses (NPV Baculoviridae) isolated from the environment. J Virol Methods. 2001;96:51–65.
Evans HF, Shapiro M. Viruses. In: Lacy LA, editor. Manual of techniques in insect pathology. San Diego: Academic Press; 1997. p. 17–54.
Fauquet CM, Mayo MA, Maniloff J, Desselberger U, Ball LA. Virus taxonomy—seventh report of the international committee on taxonomy of viruses. San Diego: Academic Press; 2004. p. 195–202.
Gopali JB, Lingappa S. Refinement of technique for mass production of virus from Helicoverpa armigera (Hubner). Karnataka J Agric Sci. 2001;14(4):947–54.
Grasela JJ, Mc Intosh AH, Shelby KS, Long S. Isolation and characterization of a Baculovirus associated with the insect parasitoid wasp, Cotesia marginiventris, on its host, Trichoplusia ni. J Insect Sci. 2008;8(42):19.
Ignoffo CM. Standardization of products containing insect viruses. J Invertebr Pathol. 1966;48:547–8.
Ignoffo CM, Anderson R. Bio-insecticide. In: Peppler HJ, Parlman D, editors. Microbial technology. New York: Macmillan; 1979. p. 1–28.
Ignoffo M, Couch TL. The nuclear polyhedrosis virus of Heliothis species as a microbial insecticide. In: Burges HD, editor. Microbial control of pests and plant diseases 1970–1980. London: Academic Press; 1981. p. 329–62.
Jacques RP. Persistence, accumulation and denaturation of Nuclear polyhedrosis and granulosis viruses. In: Summers MD, Engler R, Falcon LA, Vail PV, editors. Baculoviruses for insect pest control: safety considerations. Washington, DC: American Society of Microbiology; 1975. p. 90–9.
Jun T, Shohei O, Takayoshi I, Madoka N, Yasuhisa K. Productivity and quality of polyhedral occlusion bodies of a Nucleopolyhedrovirus harvested from Spodoptera litura (Lepidoptera: Noctuidae) larvae. Appl Entomol Zool. 2007;42(1):21–6.
Kumar PL, Waliyar F. Diagnosis and detection of viruses infecting ICRISAT mandate crops: methods manual. Patancheru: International Crops Research Institute for the Semi-Arid Tropics; 2007.
Ma XC, Xu HJ, Tang MJ, Xiao Q, Hong Q, Zhang CX. Morphological, phylogenetic and biological characteristics of Ectropis oblique single-nucleocapsid Nucleopolyhedrovirus. J Microbiol. 2006;44(1):77–82.
Narayanan K. Studies on the Nuclear polyhedrosis virus of gram pod borer, Heliothis armigera (Hubner) (Noctuidae: Lepidoptera). Dissertation, Tamil Nadu Agriculture University; 1979.
Odak SK, Srivastava DK, Misra VK, Nema KK. Preliminary studies on the pathogenicity of Bacillus thuringiensis and Nuclear polyhedrosis virus on Heliothis armigera host in the laboratory and in pot experiments. Legume Res. 1984;5:13–7.
Pawar VM, Thombre UT. Prospects of Baculovirus in integrated pest management of pulses. In: Ananthkrishnan TN, editor. Emerging trends in biocontrol of phytophagous insects. New Delhi: Oxford and IBH publishing Company Private Limited; 1992. p. 253–8.
Quant RL, Pearson MN, Rohrman GF, Beaudreau GS. Production of polyhedrin monoclonal antibodies for distinguishing two Orgyia pesudotsugata Baculoviruses. Appl Environ Microbiol. 1984;48:732–6.
Rabindra RJ, Subramanian TR. Studies on the Nuclear polyhedrosis of Heliothis armigera (Hubner). Madras Agric J. 1974;60:217–20.
Rohrmann GF. Nuclear polyhedrosis viruses. In: Webster RG, Granoff A, editors. Encyclopedia of virology. 2nd ed. London: Academic Press; 1999. p. 146–52.
Senthil Kumar CM, Sathiah N, Rabindra RJ. Optimizing the time of harvest of Nucleopolyhedrovirus infected Spodoptera litura (Fabricius) larvae under in vivo production systems. Curr Sci 2005;88(10):1682–4.
Shapiro M, Bell RA. Biological activity of Lymantria dispar nucleopolyhedrosis virus from living and virus killed larvae. Ann Entomol Soci Am. 1981;74:27–8.
Shapiro M, Ignoffo CM. Nucleopolyhedrosis of Heliothis: activity of isolates from Heliothis zea. J Invertebr Pathol. 1970;16:107–11.
Shim HJ, Roh JY, Choi JY, Li MS, Woo SD, Oh HW, Boo KS, Je Y. Isolation and Characterization of a Lymantria dispar multinucleocapsid Nucleopolyhedrovirus isolate in Korea. J Microbiol. 2003;41(4):306–11.
Sudheendrakumar VV, Sajeev TV, Varma RV. Mass production of Nuclear polyhedron virus of the teak defoliator, Hyblaea puera Cramer using host population in teak plantations. J Biol Control. 2004;18:81–4.
Teakle RE, Byrne VS. Nuclear polyhedrosis virus production in H. armigera infected at different J Invertebr Pathol. 1989;53:21–4.
Tuan SJ, Chen WL, Kao SS. In vivo mass production and control efficacy of Spodoptera litura (Lepidoptera: Noctuidae) Nucleopolyhedrovirus. Chin J Entomol. 1998;18:101–16.
Tuan SJ, Kao SS, Cheng DJ, Hou RF, Chao YC. Comparison of the characterization and pathogenesis of three lepidoperan Nucleopolyhedroviruses (HearNPV, SpeiNPV and SpltNPV) isolated from Taiwan. Chin J Entomol. 1999;19(2):167–86.
Veenakumari K, Rabindra RJ, Srinivasa Naik CD, Shubha MR. Standardization of laboratory mass production of Amsacta albistriga Nucleopolyhedrovirus. J Biol Control. 2006;20:183–90.
Veenakumari K, Rabindra RJ, Srinivasa Naik CD, Shubha MR. In situ field level mass production of Amsacta albistriga (Lepidoptera: Arctiidae) Nucleopolyhedrovirus in a groundnut ecosystem in South India. Int J Trop Insect Sci. 2007;27(1):48–52.
Winstanley D, Reilly DO. Granuloviruses. In: Webster RG, Granoff A, editors. Encyclopedia of virology. 2nd ed. London: Academic Press; 1999. p. 69–84.
Wolff JLC, Moraes RHP, Kitajima E, Leal EDS, Zanotto PMA. Identification and characterization of a Baculovirus from Lonomia obliqua (Lepidoptera: Saturniidae). J Invertebr Pathol. 2002;79:137–45.
Acknowledgments
This project is supported by the special project (World Bank, DM-2005) of ICRISAT on Biopesticides and is highly appreciated.
Author information
Authors and Affiliations
Corresponding author
Rights and permissions
About this article
Cite this article
Kumar, C.S., Ranga Rao, G.V., Sireesha, K. et al. Isolation and Characterization of Baculoviruses from Three Major Lepidopteran Pests in the Semi-Arid Tropics of India. Indian J. Virol. 22, 29–36 (2011). https://doi.org/10.1007/s13337-011-0029-0
Received:
Accepted:
Published:
Issue Date:
DOI: https://doi.org/10.1007/s13337-011-0029-0
Keywords
- Insect virus
- Baculoviruses
- Lepidopteran pests
- NPV
- Electron microscopy
- Bioassays