Skip to main content

Increased expression of SOX4 is associated with colorectal cancer progression

Abstract

Sex-determining region Y-related high-mobility group box 4 (SOX4) has been proven to serve as a critical role in cancer progression. However, the pathological role of SOX4 in colorectal cancer (CRC) remains unknown. The aim of this study was to investigate the role of SOX4 in CRC. In this study, we investigated the expression of SOX4 in CRC tissues by immunohistochemistry, quantitative reverse transcription polymerase chain reaction (qRT-PCR), and Western blot. We also evaluated the effect of SOX4 on cell proliferation and invasion by 3-(4,5-dimethyl-2-thiazolyl)-2,5-diphenyl-2H-tetrazolium bromide (MTT) and transwell assay. The SOX4 messenger RNA (mRNA) and protein expression were markedly higher in CRC tissues compared with adjacent normal mucosa tissues. Inhibition of SOX4 could suppress CRC cell proliferation, and invasion in vitro. Our findings indicate that targeting SOX4 might provide a new therapeutic modality for the treatment of CRC patients.

This is a preview of subscription content, access via your institution.

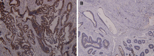
Fig. 1
Fig. 2
Fig. 3
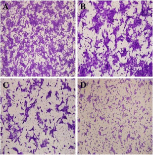
Fig. 4
Fig. 5
Fig. 6

References

  1. Siegel R, Naishadham D, Jemal A. Cancer statistics, 2013. CA Cancer J Clin. 2013;63:11–30.

    Article  PubMed  Google Scholar 

  2. Schoen RE, Pinsky PF, Weissfeld JL, Yokochi LA, Church T, Laiyemo AO, et al. Colorectal-cancer incidence and mortality with screening flexible sigmoidoscopy. N Engl J Med. 2012;366:2345–57.

    CAS  Article  PubMed  PubMed Central  Google Scholar 

  3. Lieberman DA, Rex DK, Winawer SJ, Giardiello FM, Johnson DA, Levin TR. Guidelines for colonoscopy surveillance after screening and polypectomy: a consensus update by the US Multi-Society Task Force on Colorectal Cancer. Gastroenterology. 2012;143:844–57.

    Article  PubMed  Google Scholar 

  4. Toiyama Y, Hur K, Tanaka K, Inoue Y, Kusunoki M, Boland CR, et al. Serum miR-200c is a novel prognostic and metastasis-predictive biomarker in patients with colorectal cancer. Ann Surg. 2014;259(4):735–43.

    Article  PubMed  PubMed Central  Google Scholar 

  5. Shimada H, Tanaka K, Endou I, Ichikawa Y. Treatment for colorectal liver metastases: a review. Langenbecks ArchSurg. 2009;394:973–83.

    Article  Google Scholar 

  6. Schepers GE, Teasdale RD, Koopman P. Twenty pairs of sox: extent, homology, and nomenclature of the mouse and human sox transcription factor gene families. Dev Cell. 2002;3:167–70.

    CAS  Article  PubMed  Google Scholar 

  7. Perencevich M, Stoffel EM. A multidisciplinary approach to the diagnosis and management of multiple colorectal polyps. Gastroenterol Hepatol. 2011;7:420.

    Google Scholar 

  8. Wilson M, Koopman P. Matching SOX: partner proteins and co-factors of the SOX family of transcriptional regulators. CurrOpin Genet Dev. 2002;12:441–6.

    CAS  Article  Google Scholar 

  9. Penzo-Méndez AI. Critical roles for SoxC transcription factors in development and cancer. Int J Biochem Cell Biol. 2010;42:425–8.

    Article  PubMed  Google Scholar 

  10. Jafarnejad SM, Ardekani GS, Ghaffari M, Li G. Pleiotropic function of SRY-related HMG box transcription factor 4 in regulation of tumorigenesis. Cell Mol Life Sci. 2013;70:2677–96.

    CAS  Article  PubMed  Google Scholar 

  11. Schilham MW, Oosterwegel MA, Moerer P, Ya J, de Boer PA, et al. Defects in cardiac outflow tract formation and pro-Blymphocyte expansion in mice lacking Sox-4. Nature. 1996;380:711–4.

    CAS  Article  PubMed  Google Scholar 

  12. Castillo SD, Matheu A, Mariani N, Carretero J, Lopez-Rios F, Lovell-Badge R, et al. Novel transcriptional targets of the SRY-HMG box transcription factor SOX4 link its expression to the development of small cell lung cancer. Cancer Res. 2012;72:176–86.

    CAS  Article  PubMed  Google Scholar 

  13. Wang L, Zhang J, Yang X, Chang YW, Qi M, Zhou Z, et al. SOX4 is associated with poor prognosis in prostate cancer and promotes epithelial-mesenchymal transition in vitro. Prostate Cancer Prostatic Dis. 2013;16:301–7.

    CAS  Article  PubMed  Google Scholar 

  14. Vervoort SJ, van Boxtel R, Coffer PJ. The role of SRY-related HMG box transcription factor 4 (SOX4) in tumorigenesis and metastasis: friend or foe? Oncogene. 2013;32:3397–409.

    CAS  Article  PubMed  Google Scholar 

  15. Andersen CL, Christensen LL, Thorsen K, Schepeler T, Sørensen FB, et al. Dysregulation of the transcription factors SOX4, CBFB and SMARCC1 correlates with outcome of colorectal cancer. Br J Cancer. 2009;100:511–23.

    CAS  Article  PubMed  PubMed Central  Google Scholar 

  16. Madan A, Yoon JG, Fang X, Yan X, Kim TK, et al. Massively parallel signature sequencing and bioinformatics analysis identifies up-regulation of TGFBI and SOX4 in human glioblastoma. PLoS One. 2010;5:e10210.

    Article  PubMed  PubMed Central  Google Scholar 

  17. Lee AK, Ahn SG, Yoon JH, Kim SA. Sox4 stimulates ss-catenin activity through induction of CK2. Oncol Rep. 2011;25:559–65.

    CAS  PubMed  Google Scholar 

  18. Saegusa M, Hashimura M, Kuwata T. Sox4 functions as a positive regulator of beta-catenin signaling through upregulation of TCF4 during morular differentiation of endometrial carcinomas. Lab Invest. 2012;92:511–21.

    CAS  Article  PubMed  Google Scholar 

  19. Iqbal MS, Otsuyama K, Shamsasenjan K, Asaoku H, Kawano MM. CD56 expression in human myeloma cells derived from the neurogenic gene expression: possible role of the SRY-HMG box gene SOX4. Int J Hematol. 2010;91:267–75.

    CAS  Article  PubMed  Google Scholar 

  20. Tavazoie SF, Alarcon C, Oskarsson T, Padua D, Wang Q, Bos PD, et al. Endogenous human microRNAs that suppress breast cancer metastasis. Nature. 2008;451:147–52.

    CAS  Article  PubMed  PubMed Central  Google Scholar 

  21. Thiery JP. Epithelial-mesenchymal transitions in tumour progression. Nat Rev Cancer. 2002;2:442–54.

    CAS  Article  PubMed  Google Scholar 

  22. Tsuji T, Ibaragi S, Hu GF. Epithelial-mesenchymal transition and cell cooperativity in metastasis. Cancer Res. 2009;69:7135–9.

    CAS  Article  PubMed  PubMed Central  Google Scholar 

  23. Liao YL, Sun YM, Chau GY, Chau YP, Lai TC, Wang JL, et al. Identification of SOX4 target genes using phylogenetic footprinting-based prediction from expression microarrays suggests that overexpression of SOX4 potentiates metastasis in hepatocellular carcinoma. Oncogene. 2008;27:5578–89.

    CAS  Article  PubMed  Google Scholar 

  24. Zhang J, Liang Q, Lei Y, Yao M, Li L, Gao X, et al. SOX4 induces epithelial–mesenchymal transition and contributes to breast cancer progression. Cancer Res. 2012;72:4597–608.

    CAS  Article  PubMed  Google Scholar 

Download references

Acknowledgments

This study was supported by the National Natural Science Foundation of Hainan (no. 814309)

Author information

Affiliations

Authors

Corresponding author

Correspondence to Yixiong Li.

Ethics declarations

Conflicts of interest

None

Rights and permissions

Reprints and Permissions

About this article

Verify currency and authenticity via CrossMark

Cite this article

Wang, B., Li, Y., Tan, F. et al. Increased expression of SOX4 is associated with colorectal cancer progression. Tumor Biol. 37, 9131–9137 (2016). https://doi.org/10.1007/s13277-015-4756-5

Download citation

  • Received:

  • Accepted:

  • Published:

  • Issue Date:

  • DOI: https://doi.org/10.1007/s13277-015-4756-5

Keywords

  • Colorectal cancer
  • SOX4
  • Proliferation
  • Invasion
  • EMT
  • Targeted therapy