Skip to main content

RETRACTED ARTICLE: Oxymatrine synergistically enhances the inhibitory effect of 5-fluorouracil on hepatocellular carcinoma in vitro and in vivo

21 December 2021 This article has been retracted. Please see the retraction notice for more detail: https://doi.org/10.3233/TUB-219010 "

Abstract

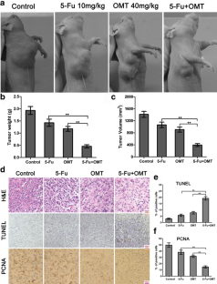
Oxymatrine (OMT), one of the main active components of extracts from the dry roots of Sophora flavescens, has long been employed clinically to treat cancers. Here, we investigated the synergistic effect of OMT with 5-fluorouracil (5-Fu) on the tumor growth inhibition of hepatocellular carcinoma cells (HCC; Hep-G2 and SMMC-7721) and explored the underlying mechanism. Cells were treated with OMT and/or 5-Fu and subjected to cell viability, colony formation, apoptosis, cell cycle, western blotting, xenograft tumorigenicity assay, and immunohistochemistry. OMT and 5-Fu inhibited the proliferation of Hep-G2 and SMMC-7721 cells, and combination treatment with OMT and 5-Fu resulted in a combination index <1, indicating a synergistic effect. Co-treatment with OMT and 5-Fu caused G0/G1 phase arrest by upregulating P21 and P27 and downregulating cyclin D, and induced apoptosis through increasing the production of reactive oxygen species (ROS) and decreasing the levels of p-ERK. In addition, the inhibition of ROS respectively reversed the cell death induced by 5-Fu + OMT, suggesting the key roles of ROS in the process. More importantly, 5-Fu and OMT in combination exhibit much superior tumor weight and volume inhibition on SMMC-7721 xenograft mouse model in comparison to 5-Fu or OMT alone. Immunohistochemistry analysis suggests the combinations greatly suppressed tumor proliferation, which was consistent with our in vitro results. Taken together, our findings indicated that OMT sensitizes HCC to 5-Fu treatment by the suppression of ERK activation through the overproduction of ROS, and combination treatment with OMT and 5-Fu would be a promising therapeutic strategy for HCC treatment.

This is a preview of subscription content, access via your institution.

Fig. 1
Fig. 2
Fig. 3
Fig. 4
Fig. 5
Fig. 6

Change history

References

  1. Waly Raphael S, Yangde Z, Yuxiang C. Hepatocellular carcinoma: focus on different aspects of management. ISRN Oncol. 2012;2012:421673.

    PubMed  PubMed Central  Google Scholar 

  2. Yang JD, Roberts LR. Epidemiology and management of hepatocellular carcinoma. Infect Dis Clin N Am. 2010;24(4):899–919. viii.

    CAS  Article  Google Scholar 

  3. Jemal A, Bray F, Center MM, Ferlay J, Ward E, Forman D. Global cancer statistics. CA Cancer J Clin. 2011;61(2):69–90.

    Article  Google Scholar 

  4. Raoul JL, Sangro B, Forner A, Mazzaferro V, Piscaglia F, Bolondi L, et al. Evolving strategies for the management of intermediate-stage hepatocellular carcinoma: available evidence and expert opinion on the use of transarterial chemoembolization. Cancer Treat Rev. 2011;37(3):212–20.

    Article  Google Scholar 

  5. Miyaki D, Aikata H, Honda Y, Naeshiro N, Nakahara T, Tanaka M, et al. Hepatic arterial infusion chemotherapy for advanced hepatocellular carcinoma according to Child–Pugh classification. J Gastroenterol Hepatol. 2012;27(12):1850–7.

    CAS  Article  Google Scholar 

  6. Baek YH, Kim KT, Lee SW, Jeong JS, Park BH, Nam KJ, et al. Efficacy of hepatic arterial infusion chemotherapy in advanced hepatocellular carcinoma. World J Gastroenterol. 2012;18(26):3426–34.

    CAS  Article  Google Scholar 

  7. Yan Y, Li J, Han J, Hou N, Song Y, Dong L. Chlorogenic acid enhances the effects of 5-fluorouracil in human hepatocellular carcinoma cells through the inhibition of extracellular signal-regulated kinases. Anti-Cancer Drug. 2015;26(5):540–6.

    CAS  Article  Google Scholar 

  8. Longley DB, Harkin DP, Johnston PG. 5-Fluorouracil: mechanisms of action and clinical strategies. Nat Rev Cancer. 2003;3(05):330–8.

    CAS  Article  Google Scholar 

  9. Santandreu FM, Valle A, Oliver J, Roca P. Resveratrol potentiates the cytotoxic oxidative stress induced by chemotherapy in human colon cancer cells. Cell Physiol Biochem. 2011;28(2):219–28.

    CAS  Article  Google Scholar 

  10. Giacchetti S, Perpoint B, Zidani R, Le Bail N, Faggiuolo R, Focan C, et al. Phase III multicenter randomized trial of oxaliplatin added to chronomodulated fluorouracil-leucovorin as first-line treatment of meta-static colorectal cancer. J Clin Oncol. 2000;18(01):136–47.

    CAS  Article  Google Scholar 

  11. Guzman JR, Koo JS, Goldsmith JR, Muhlbauer M, Narula A, Jobin C. Oxymatrine prevents nf-kappab nuclear translocation and ameliorates acute intestinal inflammation. Sci Rep. 2013;3:1629.

    Article  Google Scholar 

  12. Cao YG, Jing S, Li L, Gao JQ, Shen ZY, Liu Y, et al. Antiarrhythmic effects and ionic mechanisms of oxymatrine from sophora flavescens. Phytother Res. 2010;24(12):1844–9.

    CAS  Article  Google Scholar 

  13. Deng ZY, Li J, Jin Y, Chen XL, Lu XW. Effect of oxymatrine on the p38 mitogen-activated protein kinases signalling pathway in rats with ccl4 induced hepatic fibrosis. Chin Med J-Peking. 2009;122(12):1449–54.

    CAS  Google Scholar 

  14. Cui X, Wang Y, Kokudo N, Fang D, Tang W. Traditional chinese medicine and related active compounds against hepatitis b virus infection. Biosci Trends. 2010;4(2):39–47.

    CAS  PubMed  Google Scholar 

  15. Xiang X, Wang G, Cai X, Li Y. Effect of oxymatrine on murine fulminant hepatitis and hepatocyte apoptosis. Chin Med J-Peking. 2002;115(4):593–6.

    CAS  Google Scholar 

  16. Fan H, Li L, Zhang X, Liu Y, Yang C, Yang Y, et al. Oxymatrine downregulates tlr4, tlr2, myd88, and nf-kappab and protects rat brains against focal ischemia. Mediat Inflamm. 2009;2009:704–6.

    Article  Google Scholar 

  17. Chen H, Zhang J, Luo J, Lai F, Wang Z, Tong H, et al. Antiangiogenic effects of oxymatrine on pancreatic cancer by inhibition of the nf-kappab-mediated vegf signaling pathway. Oncol Rep. 2013;30(2):589–95.

    CAS  Article  Google Scholar 

  18. Song MQ, Zhu JS, Chen JL, Wang L, Da W, Zhu L, et al. Synergistic effect of oxymatrine and angiogenesis inhibitor nm-3 on modulating apoptosis in human gastric cancer cells. World J Gastroenterol. 2007;13(12):1788–93.

    CAS  Article  Google Scholar 

  19. Zhang Y, Piao B, Zhang Y, Hua B, Hou W, Xu W, et al. Oxymatrine diminishes the side population and inhibits the expression of beta-catenin in mcf-7 breast cancer cells. Med Oncol. 2011;28 Suppl 1:S99–107.

    Article  Google Scholar 

  20. Liu Y, Bi T, Dai W, Wang G, Qian L, Gao Q, et al. Effects of oxymatrine on the proliferation and apoptosis of human hepatoma carcinoma cells. Technol Cancer Res T. 2015.

  21. Chou TC. Drug combination studies and their synergy quantification using the Chou-Talalay method. Cancer Res. 2010;70(2):440–6.

    CAS  Article  Google Scholar 

  22. Liu Y, Bi T, Wang G, Dai W, Wu G, Qian L, et al. Lupeol inhibits proliferation and induces apoptosis of human pancreatic cancer PCNA-1 cells through AKT/ERK pathways. Naunyn Schmiedebergs Arch Pharmacol. 2015;388(3):295–304.

    CAS  Article  Google Scholar 

  23. Shakibaei M, Mobasheri A, Lueders C, Busch F, Shayan P, Goel A. Curcumin enhances the effect of chemotherapy against colorectal cancer cells by inhibition of NF-kappaB and Src protein kinase signaling pathways. PLoS One. 2013;8(2):e57218.

    CAS  Article  Google Scholar 

  24. Kong LL, Wang XB, Zhang K, Yuan WJ, Yang QW, Fan JP, et al. Gypenosides synergistically enhances the anti-tumor effect of 5-fluorouracil on colorectal cancer in vitro and in vivo: a role for oxidative stress-mediated DNA damage and p53 activation. PLoS One. 2015;10(9):e0137888.

    Article  Google Scholar 

  25. Xavier CPR, Lima CF, Rohde M, Pereira-Wilson C. Quercetin enhances 5-fluorouracil-induced apoptosis in MSI colorectal cancer cells through p53 modulation. Cancer Chemoth Pharm. 2011;68(6):1449–57.

    CAS  Article  Google Scholar 

  26. Liang CZ, Zhang JK, Shi Z, Liu B, Shen CQ, Tao HM. Matrine induces caspase-dependent apoptosis in human osteosarcoma cells in vitro and in vivo through the upregulation of bax and fas/fasl and downregulation of bcl-2. Cancer Chemoth Pharm. 2012;69(2):317–31.

    CAS  Article  Google Scholar 

  27. Kim JH, Choi YW, Park C, Jin CY, Lee YJ, Park DJ, et al. Apoptosis induction of human leukemia u937 cells by gomisin n, a dibenzocyclooctadiene lignan, isolated from schizandra chinensis baill. Food Chem Toxicol. 2010;48(3):807–13.

    CAS  Article  Google Scholar 

  28. Plati J, Bucur O, Khosravi-Far R. Apoptotic cell signaling in cancer progression and therapy. Integr Biol(Camb). 2011;3(4):279–96.

    CAS  Google Scholar 

  29. Sun L, Liu L, Liu X, Wang Y, Li M, Yao L, et al. MGr1-Ag/37LRP induces cell adhesion-mediated drug resistance through FAK/PI3K and MAPK pathway in gastric cancer. Cancer Sci. 2014;105(6):651–9.

    CAS  Article  Google Scholar 

  30. Westhoff MA, Fulda S. Adhesion-mediated apoptosis resistance in cancer. Drug Resist Updat. 2009;12(4–5):127–36.

    CAS  Article  Google Scholar 

  31. Wang L, Li X, Zhou Y, Shi H, Xu C, He H, et al. Downregulation of miR-133 via MAPK/ERK signaling pathway involved in nicotine-induced cardiomyocyte apoptosis. N-S Arch Pharmacol. 2014;387(2):197–206.

    CAS  Article  Google Scholar 

  32. Degterev A, Boyce M, Yuan J. A decade of caspases. Oncogene. 2003;22(53):8543–67.

    CAS  Article  Google Scholar 

  33. Li XL, Xu G, Chen T, Wong YS, Zhao HL, Fan RR, et al. Phycocyanin protects INS-1E pancreatic beta cells against human islet amyloid polypeptide-induced apoptosis through attenuating oxidative stress and modulating JNK and p38 mitogen-activated protein kinase pathways. Int J Biochem Cell Biol. 2009;41(7):1526–35.

    CAS  Article  Google Scholar 

  34. Zhang H, Chen T, Jiang J, Wong YS, Yang F, Zheng W. Selenium-containing allophycocyanin purified from selenium-enriched Spirulina platensis attenuates AAPH-induced oxidative stress in human erythrocytes through inhibition of ROS generation. J Agric Food Chem. 2011;59(16):8683–90.

    CAS  Article  Google Scholar 

  35. Fan C, Zheng W, Fu X, Li X, Wong YS, Chen T. Strategy to enhance the therapeutic effect of doxorubicin in human hepatocellular carcinoma by selenocystine, a synergistic agent that regulates the ROS-mediated signaling. Oncotarget. 2014;5(9):2853–63.

    Article  Google Scholar 

  36. Ray PD, Huang BW, Tsuji Y. Reactive oxygen species (ROS) homeostasis and redox regulation in cellular signaling. Cell Signal. 2012;24(5):981–90.

    CAS  Article  Google Scholar 

  37. Alao JP. The regulation of cyclin D1 degradation: roles in cancer development and the potential for therapeutic invention. Mol Cancer. 2007;6:24.

    Article  Google Scholar 

  38. Lu Z, Hunter T. Ubiquitylation and proteasomal degradation of the p21(Cip1), p27(Kip1) and p57(Kip2) CDK inhibitors. Cell Cycle. 2010;9(12):2342–52.

    CAS  Article  Google Scholar 

  39. Li TJ, Song T, Ni L, Yang GH, Song XT, Wu LF, et al. The p-ERK–p-c-Jun–cyclinD1 pathway is involved in proliferation of smooth muscle cells after exposure to cigarette smoke extract. Biochem Bioph Res Co. 2014;453(3):316–20.

    CAS  Article  Google Scholar 

  40. Fang JZ, Wang HN, Xi W, Cheng G, Wang SQ, Su SF, et al. Downregulation of tNASP inhibits proliferation through regulating cell cycle-related proteins and inactive ERK/MAPK signal pathway in renal cell carcinoma cells. Tumor Biol. 2015;36:5209–14.

    CAS  Article  Google Scholar 

Download references

Acknowledgments

This study was supported by the Program for Young Scientist in Science and Education of Suzhou City (No. KJXW2014053) and the Program for Young Scientist in Science and Education of Wujiang District (No. WWK201415).

Author information

Affiliations

Authors

Corresponding authors

Correspondence to Quangen Gao or Genhai Shen.

Ethics declarations

Conflicts of interest

The authors declare no conflict of interest.

Ethics approval

The animal studies were approved by the Wujiang No. 1 People’s Hospital Ethics Committee, and the principles of laboratory animal care were followed in all animal experiments.

Additional information

This article has been retracted. Please see the retraction notice for more detail: https://doi.org/10.3233/TUB-219010"

Yan Liu and Tingting Bi contributed equally to this work.

Rights and permissions

Reprints and Permissions

About this article

Verify currency and authenticity via CrossMark

Cite this article

Liu, Y., Bi, T., Dai, W. et al. RETRACTED ARTICLE: Oxymatrine synergistically enhances the inhibitory effect of 5-fluorouracil on hepatocellular carcinoma in vitro and in vivo. Tumor Biol. 37, 7589–7597 (2016). https://doi.org/10.1007/s13277-015-4642-1

Download citation

  • Received:

  • Accepted:

  • Published:

  • Issue Date:

  • DOI: https://doi.org/10.1007/s13277-015-4642-1

Keywords

  • Oxymatrine
  • Hepatocellular carcinoma
  • 5-Fluorouracil
  • ROS