Skip to main content

A comprehensive analysis of CDC20 overexpression in common malignant tumors from multiple organs: its correlation with tumor grade and stage

Abstract

High expression of cell division cycle 20 homolog (CDC20), a key component of the spindle assembly checkpoint (SAC), has been reported in various malignancies and plays a vital role in tumorigenesis and progression. The goal of this study was to evaluate the utility of CDC20 immunostaining in a wide range of malignant tumors. CDC20 immunohistochemistry was evaluated in normal tissues and compared to the most frequently occurring malignant tumors in these tissues (bladder, breast, cervical, colonic, endometrial, gastric, head and neck, liver, lung, ovarian, pancreatic, prostatic, renal, thyroid carcinomas, and testicular seminoma). Normal/non-neoplastic tissues showed positive CDC20 expression in 19.44 % of all examined cases. CDC20 staining was negative in normal and non-neoplastic tissues from the bladder, cervix, liver, stomach, and thyroid. From the all malignant tumors examined 55.7 % showed high CDC20 expression while low expression was found in 44.3 %. High expression of CDC20 was associated with high tumor grade in the bladder (p = 0.027), cervical (p = 0.032), colonic (p = 0.026), endometrial (p = 0.016), gastric (p = 0.033), liver (p = 0.028), ovarian (p = 0.044), prostatic (p = 0.040), and renal (p = 0.048) carcinomas. There was a significant correlation between high CDC20 expression and advanced tumor stage in carcinoma of the breast, colon, endometrium, and prostate (p = 0.021, p = 0.040, p = 0.047, p = 0.031, respectively). CDC20 expression may be useful as a biomarker of tumor prognosis and as a therapeutic target of human cancer.

This is a preview of subscription content, access via your institution.

Diagram 1
Graph 1
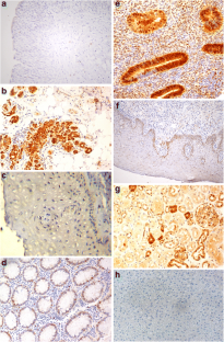
Fig. 1
Fig. 2
Graph 2
Graph 3

References

  1. Lengauer C, Kinzler KW, Vogelstein B. Genetic instabilities in human cancers. Nature. 1998;396(6712):643–9.

    CAS  Article  PubMed  Google Scholar 

  2. Suijkerbuijk SJ, Kops GJ. Preventing aneuploidy: the contribution of mitotic checkpoint proteins. Biochim Biophys Acta. 2008;1786(1):24–31.

    CAS  PubMed  Google Scholar 

  3. Hanahan D, Weinberg RA. The hallmarks of cancer. Cell. 2000;100:57–70.

    CAS  Article  PubMed  Google Scholar 

  4. Jallepalli PV, Lengauer C. Chromosome segregation and cancer: cutting through the mystery. Nat Rev Cancer. 2001;1(2):109–17.

    CAS  Article  PubMed  Google Scholar 

  5. Rajagopalan H, Lengauer C. Aneuploidy and cancer. Nature. 2004;432(7015):338–41.

    CAS  Article  PubMed  Google Scholar 

  6. Bharadwaj R, Yu H. The spindle checkpoint, aneuploidy, and cancer. Oncogene. 2004;23(11):2016–27.

    CAS  Article  PubMed  Google Scholar 

  7. Li Y, Benezra R. Identification of a human mitotic checkpoint gene: hsMAD2. Science. 1996;274(5285):246–8.

    CAS  Article  PubMed  Google Scholar 

  8. Amon A. The spindle checkpoint. Curr Opin Genet Dev. 1999;9(1):69–75.

    CAS  Article  PubMed  Google Scholar 

  9. Iwanaga Y, Kasai T, Kibler K, Jeang KT. Characterization of regions in hsMAD1 needed for binding hsMAD2. A polymorphic change in an hsMAD1 leucine zipper affects MAD1–MAD2 interaction and spindle checkpoint function. J Biol Chem. 2002;277(34):31005–13.

    CAS  Article  PubMed  Google Scholar 

  10. Li R. Bifurcation of the mitotic checkpoint pathway in budding yeast. Proc Natl Acad Sci U S A. 1999;96(9):4989–94.

    CAS  Article  PubMed  PubMed Central  Google Scholar 

  11. Haruki N, Saito H, Harano T, Nomoto S, Takahashi T, Osada H, et al. Molecular analysis of the mitotic checkpoint genes BUB1, BUBR1 and BUB3 in human lung cancers. Cancer Lett. 2001;16292:201–5.

    Article  Google Scholar 

  12. Hernando E, Orlow I, Liberal V, Nohales G, Benezra R, CordonCardo C. Molecular analyses of the mitotic checkpoint components hsMAD2, hBUB1 and hBUB3 in human cancer. Int J Cancer. 2001;95(4):223–7.

    CAS  Article  PubMed  Google Scholar 

  13. Ouyang B, Knauf JA, Ain K, Nacev B, Fagin JA. Mechanisms of aneuploidy in thyroid cancer cell lines and tissues:evidence for mitotic checkpoint dysfunction without mutations in BUB1 and BUBR1. Clin Endocrinol (Oxf). 2002;56(3):341–50.

    CAS  Article  Google Scholar 

  14. Doak SH, Jenkins GJ, Parry EM, Griffiths AP, Baxter JN, Parry JM. Differential expression of the MAD2, BUB1 and HSP27 genes in Barrett’s oesophagus—their association with aneuploidy and neoplastic progression. Mutat Res. 2004;547(1–2):133–44.

    CAS  Article  PubMed  Google Scholar 

  15. Jeong SJ, Shin HJ, Kim SJ, Ha GH, Cho BI, Baek KH, et al. Transcriptional abnormality of the hsMAD2 mitotic checkpoint gene is a potential link to hepatocellular carcinogenesis. Cancer Res. 2004;64(23):8666–73.

    CAS  Article  PubMed  Google Scholar 

  16. Sze KM, Ching YP, Jin DY, Ng IO. Association of MAD2 expression with mitotic checkpoint competence in hepatoma cells. J Biomed Sci. 2004;11(6):920–7.

    CAS  Article  PubMed  Google Scholar 

  17. Kienitz A, Vogel C, Morales I, Muller R, Bastians H. Partial downregulation of MAD1 causes spindle checkpoint inactivation and aneuploidy, but does not confer resistance towards taxol. Oncogene. 2004;24(26):4301–10.

    Article  Google Scholar 

  18. Wasch R, Engelbert D. Anaphase-promoting complex dependent proteolysis of cell cycle regulators and genomic instability of cancer cells. Oncogene. 2005;24(1):1–10.

    Article  PubMed  Google Scholar 

  19. Musacchio A, Salmon ED. The spindle-assembly checkpoint in space and time. Nat Rev Mol Cell Biol. 2007;8(5):379–93.

    CAS  Article  PubMed  Google Scholar 

  20. Kim S, Yu H. Mutual regulation between the spindle checkpoint and APC/C. Semin Cell Dev Biol. 2011;22(6):551–8.

    CAS  Article  PubMed  PubMed Central  Google Scholar 

  21. Sudakin V, Chan GK, Yen TJ. Checkpoint inhibition of the APC/C in HeLa cells is mediated by a complex of BUBR1, BUB3, CDC20, and MAD2. J Cell Biol. 2001;154(5):925–36.

    CAS  Article  PubMed  PubMed Central  Google Scholar 

  22. Howell BJ, Moree B, Farrar EM, Stewart S, Fang G, Salmon ED. Spindle checkpoint protein dynamics at kinetochores in living cells. Curr Biol. 2004;14(11):953–64.

    CAS  Article  PubMed  Google Scholar 

  23. Chang DZ, Ma Y, Ji B, Liu Y, Hwu P, Abbruzzese JL, et al. Increased CDC20 expression is associated with pancreatic ductal adenocarcinoma differentiation and progression. J Hematol Oncol. 2012;4:5–15.

    Article  Google Scholar 

  24. Kato T, Daigo Y, Aragaki M, Ishikawa K, Sato M, Kaji M. Overexpression of CDC20 predicts poor prognosis in primary non small cell lung cancer patients. J Surg Oncol. 2012;106(4):423–30.

    CAS  Article  PubMed  Google Scholar 

  25. Choi JW, Kim Y, Lee JH, Kim YS. High expression of spindle assembly checkpoint proteins CDC20 and MAD2 is associated with poor prognosis in urothelial bladder cancer. Virchows Arch. 2013;463(5):681–7.

    Article  PubMed  Google Scholar 

  26. Wu WJ, Hu KS, Wang DS, Zeng ZL, Zhang DS, Chen DL, et al. CDC20 overexpression predicts a poor prognosis for patients with colorectal cancer. J Transl Med. 2013;11:142.

    CAS  Article  PubMed  PubMed Central  Google Scholar 

  27. Moura IM, Delgado ML, Silva PM, Lopes CA, do Amaral JB, Monteiro LS. High CDC20 expression is associated with poor prognosis in oral squamous cell carcinoma. J Oral Pathol Med. 2014;43(3):225–31.

    CAS  Article  PubMed  Google Scholar 

  28. Izawa D, Pines J. The mitotic checkpoint complex binds a second CDC20 to inhibit activate APC/C. Nature. 2015;517(7536):631–4.

    CAS  Article  PubMed  Google Scholar 

  29. Hongtao Y. Cdc20. A WD40 activator for a cell cycle degradation machine. Mol Cell. 2007;27(1):3–16.

    Article  Google Scholar 

  30. Mondal G, Sengupta S, Panda CK, Gollin SM, Saunders WS, Roychoudhury S. Overexpression of CDC20 leads to impairment of the spindle assembly checkpoint and aneuploidization in oral cancer. Carcinogenesis. 2007;28(1):81–92.

    CAS  Article  PubMed  Google Scholar 

  31. Clarke DJ, Segal M, Andrews CA, Rudyak SG, Jensen S, Smith K, et al. S-phase checkpoint controls mitosis via an APC-independent CDC20p function. Nat Cell Biol. 2003;5(10):928–35.

    CAS  Article  PubMed  Google Scholar 

  32. Shi J, Orth JD, Mitchison T. Cell type variation in responses to antimitotic drugs that target microtubules and kinesin-5. Cancer Res. 2008;68(9):3269–76.

    CAS  Article  PubMed  Google Scholar 

  33. Gascoigne KE, Taylor SS. Cancer cells display profound intra- and interline variation following prolonged exposure to antimitotic drugs. Cancer Cell. 2008;14(2):111–22.

    CAS  Article  PubMed  Google Scholar 

  34. Huang HC, Shi J, Orth JD, Mitchison TJ. Evidence that mitotic exit is a better cancer therapeutic target than spindle assembly. Cancer Cell. 2009;16(4):347–58.

    CAS  Article  PubMed  PubMed Central  Google Scholar 

  35. Kidokoro T, Tanikawa C, Furukawa Y, Katagiri T, Nakamura Y, Matsuda K. CDC20, a potential cancer therapeutic target, is negatively regulated by p53. Oncogene. 2008;27(11):1562–71.

    CAS  Article  PubMed  Google Scholar 

  36. Ding ZY, Wu HR, Zhang JM, Huang GR, Ji DD. Expression characteristics of CDC20 in gastric cancer and its correlation with poor prognosis. Int J Clin Exp Pathol. 2014;7(2):722–7.

    CAS  PubMed  PubMed Central  Google Scholar 

  37. Karra H, Repo H, Ahonen I, Löyttyniemi E, Pitkänen R, Lintunen M, et al. CDC20 and securin overexpression predict short-term breast cancer survival. Br J Cancer. 2014;110(12):2905–13.

    CAS  Article  PubMed  PubMed Central  Google Scholar 

  38. Kim Y, Choi JW, Lee JH, Kim YS. MAD2 and CDC20 are upregulated in high-grade squamous intraepithelial lesions and squamous cell carcinomas of the uterine cervix. Int J Gynecol Pathol. 2014;33(5):517–23.

    CAS  Article  PubMed  Google Scholar 

  39. Li J, Gao JZ, Du JL, Huang ZX, Wei LX. Increased CDC20 expression is associated with development and progression of hepatocellular carcinoma. Int J Oncol. 2014;45(4):1547–55.

    CAS  PubMed  Google Scholar 

  40. Ouellet VGM, Le Page C, Filali-Mouhim A, Lussier C, Tonin PN, Provencher DM, et al. Tissue array analysis of expression microarray candidates identifies markers associated with tumor grade and outcome in serous epithelial ovarian cancer. Int J Cancer. 2006;119(3):599–607.

    CAS  Article  PubMed  Google Scholar 

Download references

Conflicts of interest

None

Author information

Affiliations

Authors

Corresponding author

Correspondence to Mariana F. Gayyed.

Additional information

Mariana F. Gayyed and Nehad M. R. Abd El-Maqsoud contributed equally to this work.

Rights and permissions

Reprints and Permissions

About this article

Verify currency and authenticity via CrossMark

Cite this article

Gayyed, M.F., El-Maqsoud, N.M.R.A., Tawfiek, E.R. et al. A comprehensive analysis of CDC20 overexpression in common malignant tumors from multiple organs: its correlation with tumor grade and stage. Tumor Biol. 37, 749–762 (2016). https://doi.org/10.1007/s13277-015-3808-1

Download citation

  • Received:

  • Accepted:

  • Published:

  • Issue Date:

  • DOI: https://doi.org/10.1007/s13277-015-3808-1

Keywords

  • CDC20
  • Immunohistochemistry
  • Normal/non-neoplastic tissues
  • Carcinomas