Skip to main content

Decreased expression of SOX17 is associated with tumor progression and poor prognosis in breast cancer

Abstract

The SOX17 (SRY-related HMG-box) transcription factor is involved in a variety of biological processes and is related to the tumorigenesis and progression of multiple tumors. However, the clinical application of SOX17 for breast cancer prognosis is currently limited. The aim of this study was to investigate the clinicopathologic and prognostic significance of SOX17 expression in human breast cancer. qPCR and western blot assays were performed to measure the expression of SOX17 in breast cancer cell lines and 30 matched pairs of breast cancer and corresponding noncancerous tissues. A SOX17 overexpression cell model was used to examine changes in cell growth in vitro. Immunohistochemical analyses were performed to retrospectively examine the prognostic impact of SOX17 expression in 187 additional breast cancer patients. Our results showed that SOX17 expression was decreased at both the messenger RNA (mRNA) and protein levels in the breast cancer cell lines and tissues, and that SOX17 overexpression could strongly suppress cell growth in vitro. Furthermore, the lack of SOX17 protein expression was strongly correlated with higher tumor grade (P = 0.002), lymph node metastasis (P < 0.001), and tumor node metastasis (TNM) stage (P = 0.001) and had poorer disease-free survival (DFS) and overall survival (OS) compared to normal SOX17 expression (P = 0.002 and 0.001, respectively). Univariate and multivariate analyses indicated that lower SOX17 expression was an independent prognostic factor for DFS (P = 0.007; HR = 2.854; 95 % CI 1.326–6.147) and OS (P = 0.005; HR = 5.035; 95 % CI 1.648–15.385) for breast cancer. Our findings indicate that SOX17 expression is a useful prognostic biomarker for breast cancer.

This is a preview of subscription content, access via your institution.

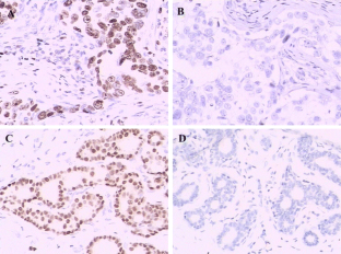
Fig. 1
Fig. 2
Fig. 3
Fig. 4

References

  1. Siegel R, Ma J, Zou Z, Jemal A. Cancer statistics, 2014. CA Cancer J Clin. 2014;64:9–29.

    Article  PubMed  Google Scholar 

  2. Parker JS, Mullins M, Cheang MC, Leung S, Voduc D, Vickery T, et al. Supervised risk predictor of breast cancer based on intrinsic subtypes. J Clin Oncol. 2009;27:1160–7.

    Article  PubMed  PubMed Central  Google Scholar 

  3. Hsiao YH, Chou MC, Fowler C, Mason JT, Man YG. Breast cancer heterogeneity: mechanisms, proofs, and implications. J Cancer Educ. 2010;1:6–13.

    Article  Google Scholar 

  4. Rivenbark AG, O’Connor SM, Coleman WB. Molecular and cellular heterogeneity in breast cancer: challenges for personalized medicine. Am J Pathol. 2013;183:1113–24.

    CAS  Article  PubMed  Google Scholar 

  5. Rakha EA. Pitfalls in outcome prediction of breast cancer. J Clin Pathol. 2013;66:458–64.

    CAS  Article  PubMed  Google Scholar 

  6. Kamachi Y, Kondoh H. Sox proteins: regulators of cell fate specification and differentiation. Development. 2013;140:4129–44.

    CAS  Article  PubMed  Google Scholar 

  7. Guth SI, Wegner M. Having it both ways: Sox protein function between conservation and innovation. Cell Mol Life Sci. 2008;65:3000–18.

    CAS  Article  PubMed  Google Scholar 

  8. Viotti M, Nowotschin S, Hadjantonakis AK. SOX17 links gut endoderm morphogenesis and germ layer segregation. Nat Cell Biol. 2014;16:1146–56.

    CAS  Article  PubMed  PubMed Central  Google Scholar 

  9. Engert S, Burtscher I, Liao WP, Dulev S, Schotta G, Lickert H. Wnt/β-catenin signalling regulates Sox17 expression and is essential for organizer and endoderm formation in the mouse. Development. 2013;140:3128–38.

    CAS  Article  PubMed  Google Scholar 

  10. Yang H, Lee S, Lee S, Kim K, Yang Y, Kim JH, et al. Sox17 promotes tumor angiogenesis and destabilizes tumor vessels in mice. J Clin Invest. 2013;123:418–31.

    CAS  Article  PubMed  Google Scholar 

  11. Sakamoto Y, Hara K, Kanai-Azuma M, Matsui T, Miura Y, Tsunekawa N, et al. Redundant roles of Sox17 and Sox18 in early cardiovascular development of mouse embryos. Biochem Biophys Res Commun. 2007;360:539–44.

    CAS  Article  PubMed  Google Scholar 

  12. Sohn J, Natale J, Chew LJ, Belachew S, Cheng Y, Aguirre A, et al. Identification of Sox17 as a transcription factor that regulates oligodendrocyte development. J Neurosci. 2006;26:9722–35.

    CAS  Article  PubMed  Google Scholar 

  13. Chew LJ, Shen W, Ming X, Senatorov Jr VV, Chen HL, Cheng Y, et al. SRY-box containing gene 17 regulates the Wnt/β-catenin signaling pathway in oligodendrocyte progenitor cells. J Neurosci. 2011;31:13921–35.

    CAS  Article  PubMed  PubMed Central  Google Scholar 

  14. Chen HL, Chew LJ, Packer RJ, Gallo V. Modulation of the Wnt/beta-catenin pathway in human oligodendroglioma cells by Sox17 regulates proliferation and differentiation. Cancer Lett. 2013;335:361–71.

    CAS  Article  PubMed  PubMed Central  Google Scholar 

  15. Jang YY, Sharkis SJ. Fetal to adult stem cell transition: knocking Sox17 off. Cell. 2007;130:403–4.

    CAS  Article  PubMed  Google Scholar 

  16. Kim I, Saunders TL, Morrison SJ. Sox17 dependence distinguishes the transcriptional regulation of fetal from adult hematopoietic stem cells. Cell. 2007;130:470–83.

    CAS  Article  PubMed  PubMed Central  Google Scholar 

  17. Nakajima-Takagi Y, Osawa M, Oshima M, Takagi H, Miyagi S, Endoh M, et al. Role of SOX17 in hematopoietic development from human embryonic stem cells. Blood. 2013;121:447–58.

    CAS  Article  PubMed  Google Scholar 

  18. He S, Kim I, Lim MS, Morrison SJ. Sox17 expression confers self-renewal potential and fetal stem cell characteristics upon adult hematopoietic progenitors. Genes Dev. 2011;25:1613–27.

    CAS  Article  PubMed  PubMed Central  Google Scholar 

  19. Gimelli S, Caridi G, Beri S, McCracken K, Bocciardi R, Zordan P, et al. Mutations in SOX17 are associated with congenital anomalies of the kidney and the urinary tract. Hum Mutat. 2010;31:1352–9.

    Article  PubMed  PubMed Central  Google Scholar 

  20. Lange AW, Haitchi HM, LeCras TD, Sridharan A, Xu Y, Wert SE, et al. Sox17 is required for normal pulmonary vascular morphogenesis. Dev Biol. 2014;387:109–20.

    CAS  Article  PubMed  PubMed Central  Google Scholar 

  21. Dong C, Wilhelm D, Koopman P. Sox genes and cancer. Cytogenet Genome Res. 2004;105:442–7.

    CAS  Article  PubMed  Google Scholar 

  22. Katoh M. Molecular cloning and characterization of human SOX17. Int J Mol Med. 2002;9:153–7.

    CAS  PubMed  Google Scholar 

  23. Zhang W, Glöckner SC, Guo M, Machida EO, Wang DH, Easwaran H, et al. Epigenetic inactivation of the canonical Wnt antagonist SRY-box containing gene 17 in colorectal cancer. Cancer Res. 2008;68:2764–72.

    CAS  Article  PubMed  PubMed Central  Google Scholar 

  24. Sinner D, Kordich JJ, Spence JR, Opoka R, Rankin S, Lin SC, et al. Sox17 and Sox4 differentially regulate beta-catenin/T-cell factor activity and proliferation of colon carcinoma cells. Mol Cell Biol. 2007;27:7802–15.

    CAS  Article  PubMed  PubMed Central  Google Scholar 

  25. Jia Y, Yang Y, Liu S, Herman JG, Lu F, Guo M. SOX17 antagonizes WNT/β-catenin signaling pathway in hepatocellular carcinoma. Epigenetics. 2010;5:743–9.

    CAS  Article  PubMed  Google Scholar 

  26. Yang T, Li XN, Li L, Wu QM, Gao PZ, Wang HL, et al. Sox17 inhibits hepatocellular carcinoma progression by downregulation of KIF14 expression. Tumour Biol. 2014;35:11199–207.

    CAS  Article  PubMed  Google Scholar 

  27. Kuo IY, Wu CC, Chang JM, Huang YL, Lin CH, Yan JJ, et al. Low SOX17 expression is a prognostic factor and drives transcriptional dysregulation and esophageal cancer progression. Int J Cancer. 2014;135:563–73.

    CAS  Article  PubMed  Google Scholar 

  28. Jia Y, Yang Y, Zhan Q, Brock MV, Zheng X, Yu Y, et al. Inhibition of SOX17 by microRNA 141 and methylation activates the WNT signaling pathway in esophageal cancer. J Mol Diagn. 2012;14:577–85.

    CAS  Article  PubMed  Google Scholar 

  29. Yin D, Jia Y, Yu Y, Brock MV, Herman JG, Han C, et al. SOX17 methylation inhibits its antagonism of Wnt signaling pathway in lung cancer. Discov Med. 2012;14:33–40.

    PubMed  PubMed Central  Google Scholar 

  30. Tang CY, Lin J, Qian W, Yang J, Ma JC, Deng ZQ, et al. Low SOX17 expression: prognostic significance in de novo acute myeloid leukemia with normal cytogenetics. Clin Chem Lab Med. 2014;52:1843–50.

    CAS  Article  PubMed  Google Scholar 

  31. Ye YW, Wu JH, Wang CM, Zhou Y, Du CY, Zheng BQ, et al. Sox17 regulates proliferation and cell cycle during gastric cancer progression. Cancer Lett. 2011;307:124–31.

    CAS  Article  PubMed  Google Scholar 

  32. Kormish JD, Sinner D, Zorn AM. Interactions between SOX factors and Wnt/beta-catenin signaling in development and disease. Dev Dyn. 2010;239:56–68.

    CAS  PubMed  PubMed Central  Google Scholar 

  33. Bernard P, Harley VR. Acquisition of SOX transcription factor specificity through protein-protein interaction, modulation of Wnt signalling and post-translational modification. Int J Biochem Cell Biol. 2010;42:400–10.

    CAS  Article  PubMed  Google Scholar 

  34. Fu DY, Wang ZM, Li-Chen, Wang BL, Shen ZZ, Huang W, et al. Sox17, the canonical Wnt antagonist, is epigenetically inactivated by promoter methylation in human breast cancer. Breast Cancer Res Treat. 2010;119:601–12.

    CAS  Article  PubMed  Google Scholar 

  35. Li J, Miao N, Liu M, Cui W, Liu X, Li X, et al. Clinical significance of chromosome 1p/19q loss of heterozygosity and Sox17 expression in oligodendrogliomas. Int J Clin Exp Pathol. 2014;7:8609–15.

    PubMed  PubMed Central  Google Scholar 

  36. Balgkouranidou I, Karayiannakis A, Matthaios D, Bolanaki H, Tripsianis G, Tentes AA, et al. Assessment of SOX17 DNA methylation in cell free DNA from patients with operable gastric cancer. Association with prognostic variables and survival. Clin Chem Lab Med. 2013;51:1505–10.

    CAS  Article  PubMed  Google Scholar 

  37. Oishi Y, Watanabe Y, Yoshida Y, Sato Y, Hiraishi T, Oikawa R, et al. Hypermethylation of Sox17 gene is useful as a molecular diagnostic application in early gastric cancer. Tumour Biol. 2012;33:383–93.

    CAS  Article  PubMed  Google Scholar 

Download references

Acknowledgments

The authors thank the patients for their willingness to cooperate with our study. This study was supported by grants from the National Natural Science Foundation of China (No. 81172508), the Foundation of the Social Development of Jiangsu Province (BE2012705), the Foundation of China Postdoctoral Studies (M2013541699), the Foundation of Jiangsu Province Postdoctoral Studies (1302149C), and the Foundation of Yong Scholar in Yangzhou (YZ2014046). The funders had no role in the study design, data collection and analysis, decision to publish, or preparation of the manuscript.

Conflicts of interest

None

Author information

Affiliations

Authors

Corresponding author

Correspondence to De-yuan Fu.

Rights and permissions

Reprints and Permissions

About this article

Verify currency and authenticity via CrossMark

Cite this article

Fu, Dy., Tan, Hs., Wei, Jl. et al. Decreased expression of SOX17 is associated with tumor progression and poor prognosis in breast cancer. Tumor Biol. 36, 8025–8034 (2015). https://doi.org/10.1007/s13277-015-3547-3

Download citation

  • Received:

  • Accepted:

  • Published:

  • Issue Date:

  • DOI: https://doi.org/10.1007/s13277-015-3547-3

Keywords

  • Breast cancer
  • SOX17
  • Prognosis