Skip to main content

Deficiency in expression and epigenetic DNA Methylation of ASS1 gene in nasopharyngeal carcinoma: negative prognostic impact and therapeutic relevance

Abstract

The risk stratification and final outcomes in patients with nasopharyngeal carcinomas (NPC) still remain suboptimal. Our principal goals were to identify and validate targetable metabolic drivers relevant to pathogenesis of NPC using a published transcriptome. One prominently downregulated gene regulating amino acid metabolism was found to be argininosuccinate synthetase (ASS1). Attributable to epigenetic DNA methylation, ASS1 deficiency may link to the therapeutic sensitivity to the arginine-depriving agents and promote tumor aggressiveness through its newly identified tumor suppressor function. ASS1 immunohistochemistry was therefore examined in a well-defined cohort of 124 NPC biopsy specimens and in the neck lymph node metastases of another ten independent cases. For the latter, bisulphite pyrosequencing was performed to evaluate the extent of ASS1 gene methylation. ASS1 protein deficiency was identified in 64 of 124 cases (51.6 %), significantly related to T3–T4 status (p = 0.006), and univariately associated with inferior local recurrence-free survival (p = 0.0427), distant metastasis-free survival (DMFS; p = 0.0036), and disease-specific survival (DSS; p = 0.0069). Together with advanced AJCC stages III–IV, ASS1 protein deficiency was also independently predictive of worse outcomes for the DFMS (p = 0.010, hazard ratio = 2.241) and DSS (p = 0.020, hazard ratio = 1.900). ASS1 promoter hypermethylation was detected in eight of ten neck nodal metastatic lesions by bisulphite pyrosequencing and associated with ASS1 protein deficiency (p < 0.001). In summary, ASS1 protein deficiency was seen in approximately a half of NPCs and associated with advanced T classification, DNA methylation, and clinical aggressiveness, consistent with its tumor suppressor role. This aberration may render pegylated arginine deiminase as a promising strategy for ASS1-deficient NPCs.

This is a preview of subscription content, access via your institution.

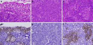
Fig. 1
Fig. 2
Fig. 3
Fig. 4

References

  1. Yu MC, Yuan JM. Epidemiology of nasopharyngeal carcinoma. Semin Cancer Biol. 2002;12:421–9.

    PubMed  Article  Google Scholar 

  2. Chan JPB, Kuo TT, et al. Nasopharyngeal carcinoma World Health Organization classification of tumors—pathology and genetics: head and neck tumors. Lyon: IARC Press; 2005. p. 85–97.

    Google Scholar 

  3. Fang FM, Chien CY, Tsai WL, Chen HC, et al. Quality of life and survival outcome for patients with nasopharyngeal carcinoma receiving three-dimensional conformal radiotherapy vs. Intensity-modulated radiotherapy—a longitudinal study. Int J Radiat Oncol Biol Phys. 2008;72:356–64.

    PubMed  Article  Google Scholar 

  4. Fang FM, Tsai WL, Chen HC, Hsu HC, et al. Intensity-modulated or conformal radiotherapy improves the quality of life of patients with nasopharyngeal carcinoma: Comparisons of four radiotherapy techniques. Cancer. 2007;109:313–21.

    PubMed  Article  Google Scholar 

  5. Guigay J. Advances in nasopharyngeal carcinoma. Curr Opin Oncol. 2008;20:264–9.

    PubMed  Article  Google Scholar 

  6. Tham IW, Lu JJ. Controversies and challenges in the current management of nasopharyngeal cancer. Expert Rev Anticancer Ther. 2010;10:1439–50.

    PubMed  Article  Google Scholar 

  7. Lin JC, Jan JS, Hsu CY, Liang WM, et al. Phase III study of concurrent chemoradiotherapy versus radiotherapy alone for advanced nasopharyngeal carcinoma: positive effect on overall and progression-free survival. J Clin Oncol. 2003;21:631–7.

    PubMed  Article  Google Scholar 

  8. Lo KW, To KF, Huang DP. Focus on nasopharyngeal carcinoma. Cancer Cell. 2004;5:423–8.

    CAS  PubMed  Article  Google Scholar 

  9. Wee J, Tan EH, Tai BC, Wong HB, et al. Randomized trial of radiotherapy versus concurrent chemoradiotherapy followed by adjuvant chemotherapy in patients with American Joint Committee on Cancer/International Union against cancer stage III and IV nasopharyngeal cancer of the endemic variety. J Clin Oncol. 2005;23:6730–8.

    CAS  PubMed  Article  Google Scholar 

  10. Hui AB, Or YY, Takano H, Tsang RK, et al. Array-based comparative genomic hybridization analysis identified cyclin D1 as a target oncogene at 11q13.3 in nasopharyngeal carcinoma. Cancer Res. 2005;65:8125–33.

    CAS  PubMed  Article  Google Scholar 

  11. Hwang CF, Huang HY, Chen CH, Chien CY, et al. Enhancer of zeste homolog 2 overexpression in nasopharyngeal carcinoma: an independent poor prognosticator that enhances cell growth. Int J Radiat Oncol Biol Phys. 2011;82:597–604.

    PubMed  Article  Google Scholar 

  12. Lo KW, Huang DP. Genetic and epigenetic changes in nasopharyngeal carcinoma. Semin Cancer Biol. 2002;12:451–62.

    CAS  PubMed  Article  Google Scholar 

  13. Tai HC, Huang HY, Lee SW, Lin CY, et al. Associations of Rsf-1 overexpression with poor therapeutic response and worse survival in patients with nasopharyngeal carcinoma. J Clin Pathol. 2012;65:248–53.

    PubMed  Article  Google Scholar 

  14. Snijders AM, Nowak N, Segraves R, Blackwood S, et al. Assembly of microarrays for genome-wide measurement of DNA copy number. Nat Genet. 2001;29:263–4.

    CAS  PubMed  Article  Google Scholar 

  15. Liu X, Wang X, Zhang J, Lam EK, et al. Warburg effect revisited: an epigenetic link between glycolysis and gastric carcinogenesis. Oncogene. 2010;29:442–50.

    CAS  PubMed  Article  Google Scholar 

  16. Tennant DA, Duran RV, Gottlieb E. Targeting metabolic transformation for cancer therapy. Nat Rev Cancer. 2010;10:267–77.

    CAS  PubMed  Article  Google Scholar 

  17. Hanahan D, Weinberg RA. Hallmarks of cancer: the next generation. Cell. 2011;144:646–74.

    CAS  PubMed  Article  Google Scholar 

  18. Smerc A, Sodja E, Legisa M. Posttranslational modification of 6-phosphofructo-1-kinase as an important feature of cancer metabolism. PLoS One. 2011;6:e19645.

    CAS  PubMed Central  PubMed  Article  Google Scholar 

  19. Cairns RA, Harris IS, Mak TW. Regulation of cancer cell metabolism. Nat Rev Cancer. 2011;11:85–95.

    CAS  PubMed  Article  Google Scholar 

  20. Sengupta S, den Boon JA, Chen IH, Newton MA, et al. Genome-wide expression profiling reveals EBV-associated inhibition of MHC class I expression in nasopharyngeal carcinoma. Cancer Res. 2006;66:7999–8006.

    CAS  PubMed  Article  Google Scholar 

  21. Husson A, Brasse-Lagnel C, Fairand A, Renouf S, et al. Argininosuccinate synthetase from the urea cycle to the citrulline-no cycle. European J Biochemistr/FEBS. 2003;270:1887–99.

    CAS  Article  Google Scholar 

  22. Dillon BJ, Prieto VG, Curley SA, Ensor CM, et al. Incidence and distribution of argininosuccinate synthetase deficiency in human cancers: A method for identifying cancers sensitive to arginine deprivation. Cancer. 2004;100:826–33.

    CAS  PubMed  Article  Google Scholar 

  23. Wheatley DN. Arginine deprivation and metabolomics: important aspects of intermediary metabolism in relation to the differential sensitivity of normal and tumour cells. Semin Cancer Biol. 2005;15:247–53.

    CAS  PubMed  Article  Google Scholar 

  24. Delage B, Fennell DA, Nicholson L, McNeish I, et al. Arginine deprivation and argininosuccinate synthetase expression in the treatment of cancer. Int J Cancer J Int du cancer. 2010;126:2762–72.

    CAS  Google Scholar 

  25. Yang TS, Lu SN, Chao Y, Sheen IS, et al. A randomised phase II study of pegylated arginine deiminase (ADI-PEG 20) in Asian advanced hepatocellular carcinoma patients. Br J Cancer. 2010;103:954–60.

    CAS  PubMed Central  PubMed  Article  Google Scholar 

  26. Edge SB, Byrd David R., Compton, Carolyn C., Fritz, April G. American Joint Committee on Cancer: AJCC cancer staging manual. (7th ed.). New York, NY, Springer-Verlag, 2010.

  27. Huang HY, Wu WR, Wang YH, Wang JW, et al. Ass1 as a novel tumor suppressor gene in myxofibrosarcomas: aberrant loss via epigenetic DNA methylation confers aggressive phenotypes, negative prognostic impact, and therapeutic relevance. Clinical Cancer Res: Off J Am Assoc Cancer Res. 2013;19:2861–72.

    CAS  Article  Google Scholar 

  28. Fang FM, Chien CY, Li CF, Shiu WY, et al. Effect of S-phase kinase-associated protein 2 expression on distant metastasis and survival in nasopharyngeal carcinoma patients. Int J Radiat Oncol Biol Phys. 2009;73:202–7.

    CAS  PubMed  Article  Google Scholar 

  29. Nicholson LJ, Smith PR, Hiller L, Szlosarek PW, et al. Epigenetic silencing of argininosuccinate synthetase confers resistance to platinum-induced cell death but collateral sensitivity to arginine auxotrophy in ovarian cancer. International J Cancer J Int du Cancer. 2009;125:1454–63.

    CAS  Article  Google Scholar 

  30. Szlosarek PW, Klabatsa A, Pallaska A, Sheaff M, et al. In vivo loss of expression of argininosuccinate synthetase in malignant pleural mesothelioma is a biomarker for susceptibility to arginine depletion. Clinical Cancer Res: Off J Am Assoc Cancer Res. 2006;12:7126–31.

    CAS  Article  Google Scholar 

  31. Kobayashi E, Masuda M, Nakayama R, Ichikawa H, et al. Reduced argininosuccinate synthetase is a predictive biomarker for the development of pulmonary metastasis in patients with osteosarcoma. Mol Cancer Ther. 2010;9:535–44.

    CAS  PubMed  Article  Google Scholar 

  32. Tsai WB, Aiba I, Lee SY, Feun L, et al. Resistance to arginine deiminase treatment in melanoma cells is associated with induced argininosuccinate synthetase expression involving c-Myc/HIF-1alpha/Sp4. Mol Cancer Ther. 2009;8:3223–33.

    CAS  PubMed Central  PubMed  Article  Google Scholar 

Download references

Acknowledgments

The authors thank the Chang Gung genomic core laboratory for technical assistance (CMRPG880251).This work was sponsored by Chi-Mei Medical Center (to C.-F. Li).

Conflicts of interest

No conflicts of interest were declared.

Author information

Affiliations

Authors

Corresponding author

Correspondence to Chien-Feng Li.

Additional information

Authors’ contributions

Conception and design: C.-F. Li, J Lan, H.-Y. Huang

Development of methodology: C.-F. Li, H-Y. Huang

Acquisition of data: S.-W. Lee, T.-J. Chen, H.-C. Tai

Analysis and interpretation of data: C.-F. Li, J. Lan,

Writing and/or revision of the manuscript: C.-F. Li, J. Lan

Study supervision: C.-F. Li

All authors read and approved the final manuscript

Rights and permissions

Reprints and Permissions

About this article

Cite this article

Lan, J., Tai, HC., Lee, SW. et al. Deficiency in expression and epigenetic DNA Methylation of ASS1 gene in nasopharyngeal carcinoma: negative prognostic impact and therapeutic relevance. Tumor Biol. 35, 161–169 (2014). https://doi.org/10.1007/s13277-013-1020-8

Download citation

  • Received:

  • Accepted:

  • Published:

  • Issue Date:

  • DOI: https://doi.org/10.1007/s13277-013-1020-8

Keywords

  • Nasopharyngeal carcinoma
  • Transcriptome
  • ASS1
  • Prognosis
  • Arginine deprivation