Skip to main content

Associations between high levels of Notch1 expression and high invasion and poor overall survival in hepatocellular carcinoma

Abstract

Although Notch1 expression has been associated with progression or prognosis in various tumors, the role of Notch1 in hepatocellular carcinoma (HCC) remains unknown. This study sought to investigate the clinicopathological and prognostic relevance of Notch1 expression in HCC as well as the underlying mechanisms responsible. HCC tissues were stained with an anti-Notch1 antibody. The invasion capacities of cells were measured using Transwell cell culture chambers. Reverse transcription PCR and/or western blot were used to evaluate the expression levels of Notch1, matrix metalloproteinase (MMP)-2, and MMP-9. Notch1 expression was downregulated by RNA interference. The activity of MMP-2/MMP-9 was quantified by enzyme-linked immunosorbent assay, and cellular apoptosis was analyzed using the 3-(4,5-dimethyl-2-thiazolyl)-2,5-diphenyl-2H-tetrazolium bromide (MTT) assay. Notch1 expression was mainly localized within the cytoplasm and at the cell membrane. High Notch1 expression correlated with tumor size, tumor grade, metastasis, venous invasion, and American Joint Committee on Cancer TNM stage (P < 0.05), and patients with high levels of Notch1 expression were at a significantly increased risk for shortened survival time (P < 0.05). In vitro, the downregulation of Notch1 expression decreased the invasion capacity of HCC cells via the regulation of MMP-2 and MMP-9. The results of the MTT assay showed that downregulation of Notch1 did not affect HCC cell viability. Notch1 may represent a novel candidate marker for patient prognosis as well a molecular target for HCC therapy.

This is a preview of subscription content, access via your institution.

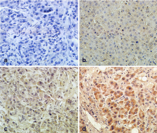
Fig. 1
Fig. 2
Fig. 3
Fig. 4
Fig. 5
Fig. 6

References

  1. Tung-Ping Poon R, Fan ST, Wong J. Risk factors, prevention, and management of postoperative recurrence after resection of hepatocellular carcinoma. Ann Surg. 2000;232:10–24.

    PubMed  Article  CAS  Google Scholar 

  2. Thomas MB, Zhu AX. Hepatocellular carcinoma: the need for progress. J Clin Oncol. 2005;23:2892–9.

    PubMed  Article  Google Scholar 

  3. Oka H, Tamori A, Kuroki T, Kobayashi K, Yamamoto S. Prospective study of alpha-fetoprotein in cirrhotic patients monitored for development of hepatocellular carcinoma. Hepatology. 1994;19:61–6.

    PubMed  Article  CAS  Google Scholar 

  4. Artavanis-Tsakonas S, Rand MD, Lake RJ. Notch signaling: cell fate control and signal integration in development. Science. 1999;284:770–6.

    PubMed  Article  CAS  Google Scholar 

  5. Miele L, Osborne B. Arbiter of differentiation and death: Notch signaling meets apoptosis. J Cell Physiol. 1999;181:393–409.

    PubMed  Article  CAS  Google Scholar 

  6. Ohishi K, Katayama N, Shiku H, Varnum-Finney B, Bernstein ID. Notch signalling in hematopoiesis. Semin Cell Dev Biol. 2003;14:143–50.

    PubMed  Article  CAS  Google Scholar 

  7. Leethanakul C, Patel V, Gillespie J, Pallente M, Ensley JF, Koontongkaew S, Liotta LA, Emmert-Buck M, Gutkind JS. Distinct pattern of expression of differentiation and growth-related genes in squamous cell carcinomas of the head and neck revealed by the use of laser capture microdissection and cdna arrays. Oncogene. 2000;19:3220–4.

    PubMed  Article  CAS  Google Scholar 

  8. Rae FK, Stephenson SA, Nicol DL, Clements JA. Novel association of a diverse range of genes with renal cell carcinoma as identified by differential display. Int J Cancer. 2000;88:726–32.

    PubMed  Article  CAS  Google Scholar 

  9. Tohda S, Nara N. Expression of Notch1 and Jagged1 proteins in acute myeloid leukemia cells. Leuk Lymphoma. 2001;42:467–72.

    PubMed  Article  CAS  Google Scholar 

  10. Gao J, Song Z, Chen Y, Xia L, Wang J, Fan R, Du R, Zhang F, Hong L, Song J, Zou X, Xu H, Zheng G, Liu J, Fan D. Deregulated expression of Notch receptors in human hepatocellular carcinoma. Dig Liver Dis. 2008;40:114–21.

    PubMed  Article  CAS  Google Scholar 

  11. Villanueva A, Alsinet C, Yanger K, Hoshida Y, Zong Y, Toffanin S, Rodriguez-Carunchio L, Sole M, Thung S, Stanger BZ, Llovet JM: Notch signaling is activated in human hepatocellular carcinoma and induces tumor formation in mice. Gastroenterology 2012.

  12. Nicolas M, Wolfer A, Raj K, Kummer JA, Mill P, van Noort M, Hui CC, Clevers H, Dotto GP, Radtke F. Notch1 functions as a tumor suppressor in mouse skin. Nat Genet. 2003;33:416–21.

    PubMed  Article  CAS  Google Scholar 

  13. Sriuranpong V, Borges MW, Ravi RK, Arnold DR, Nelkin BD, Baylin SB, Ball DW. Notch signaling induces cell cycle arrest in small cell lung cancer cells. Cancer Res. 2001;61:3200–5.

    PubMed  CAS  Google Scholar 

  14. Zlobin A, Jang M, Miele L. Toward the rational design of cell fate modifiers: Notch signaling as a target for novel biopharmaceuticals. Curr Pharm Biotechnol. 2000;1:83–106.

    PubMed  Article  CAS  Google Scholar 

  15. Jang MS, Zlobin A, Kast WM, Miele L. Notch signaling as a target in multimodality cancer therapy. Curr Opin Mol Ther. 2000;2:55–65.

    PubMed  CAS  Google Scholar 

  16. Wang Z, Banerjee S, Li Y, Rahman KM, Zhang Y, Sarkar FH. Down-regulation of Notch-1 inhibits invasion by inactivation of nuclear factor-kappab, vascular endothelial growth factor, and matrix metalloproteinase-9 in pancreatic cancer cells. Cancer Res. 2006;66:2778–84.

    PubMed  Article  CAS  Google Scholar 

  17. Yu B, Wei J, Qian X, Lei D, Ma Q, Liu Y. Notch1 signaling pathway participates in cancer invasion by regulating MMPs in lingual squamous cell carcinoma. Oncol Rep. 2012;27:547–52.

    PubMed  CAS  Google Scholar 

  18. Wang J, Fu L, Gu F, Ma Y. Notch1 is involved in migration and invasion of human breast cancer cells. Oncol Rep. 2011;26:1295–303.

    PubMed  CAS  Google Scholar 

  19. Sahlgren C, Gustafsson MV, Jin S, Poellinger L, Lendahl U. Notch signaling mediates hypoxia-induced tumor cell migration and invasion. Proc Natl Acad Sci U S A. 2008;105:6392–7.

    PubMed  Article  CAS  Google Scholar 

  20. Wang XQ, Zhang W, Lui EL, Zhu Y, Lu P, Yu X, Sun J, Yang S, Poon RT, Fan ST: Notch1-Snail1-E-cadherin pathway in metastatic hepatocellular carcinoma. Int J Cancer 2011

  21. Lim SO, Kim HS, Quan X, Ahn SM, Kim H, Hsieh D, Seong JK, Jung G. Notch1 binds and induces degradation of snail in hepatocellular carcinoma. BMC Biol. 2011;9:83.

    PubMed  Article  CAS  Google Scholar 

  22. Lim SO, Park YM, Kim HS, Quan X, Yoo JE, Park YN, Choi GH, Jung G. Notch1 differentially regulates oncogenesis by wildtype p53 overexpression and p53 mutation in grade III hepatocellular carcinoma. Hepatology. 2011;53:1352–62.

    PubMed  Article  CAS  Google Scholar 

  23. Zhou L, Wang DS, Li QJ, Sun W, Zhang Y, Dou KF. Downregulation of the Notch signaling pathway inhibits hepatocellular carcinoma cell invasion by inactivation of matrix metalloproteinase-2 and -9 and vascular endothelial growth factor. Oncol Rep. 2012;28:874–82.

    PubMed  CAS  Google Scholar 

  24. Reedijk M, Odorcic S, Chang L, Zhang H, Miller N, McCready DR, Lockwood G, Egan SE. High-level coexpression of Jag1 and Notch1 is observed in human breast cancer and is associated with poor overall survival. Cancer Res. 2005;65:8530–7.

    PubMed  Article  CAS  Google Scholar 

  25. Chu D, Li Y, Wang W, Zhao Q, Li J, Lu Y, Li M, Dong G, Zhang H, Xie H, Ji G. High level of Notch1 protein is associated with poor overall survival in colorectal cancer. Ann Surg Oncol. 2010;17:1337–42.

    PubMed  Article  Google Scholar 

  26. Egan SE, St-Pierre B, Leow CC. Notch receptors, partners and regulators: from conserved domains to powerful functions. Curr Top Microbiol Immunol. 1998;228:273–324.

    PubMed  Article  CAS  Google Scholar 

  27. Callahan R, Egan SE. Notch signaling in mammary development and oncogenesis. J Mammary Gland Biol Neoplasia. 2004;9:145–63.

    PubMed  Article  Google Scholar 

  28. Fidler IJ. The pathogenesis of cancer metastasis: the ‘seed and soil’ hypothesis revisited. Nat Rev Cancer. 2003;3:453–8.

    PubMed  Article  CAS  Google Scholar 

  29. Weiss L. Metastasis of cancer: a conceptual history from antiquity to the 1990s. Cancer Metastasis Rev. 2000;19(I-XI):193–383.

    Article  Google Scholar 

  30. Vihinen P, Kahari VM. Matrix metalloproteinases in cancer: prognostic markers and therapeutic targets. Int J Cancer. 2002;99:157–66.

    PubMed  Article  CAS  Google Scholar 

  31. Curran S, Murray GI. Matrix metalloproteinases: molecular aspects of their roles in tumour invasion and metastasis. Eur J Cancer. 2000;36:1621–30.

    PubMed  Article  CAS  Google Scholar 

  32. John A, Tuszynski G. The role of matrix metalloproteinases in tumor angiogenesis and tumor metastasis. Pathol Oncol Res. 2001;7:14–23.

    PubMed  Article  CAS  Google Scholar 

  33. Cockett MI, Murphy G, Birch ML, O’Connell JP, Crabbe T, Millican AT, Hart IR, Docherty AJ. Matrix metalloproteinases and metastatic cancer. Biochem Soc Symp. 1998;63:295–313.

    PubMed  CAS  Google Scholar 

  34. Bianco Jr FJ, Gervasi DC, Tiguert R, Grignon DJ, Pontes JE, Crissman JD, Fridman R, Wood Jr DP. Matrix metalloproteinase-9 expression in bladder washes from bladder cancer patients predicts pathological stage and grade. Clin Cancer Res. 1998;4:3011–6.

    PubMed  Google Scholar 

  35. Murphy AN, Unsworth EJ, Stetler-Stevenson WG. Tissue inhibitor of metalloproteinases-2 inhibits bFGF-induced human microvascular endothelial cell proliferation. J Cell Physiol. 1993;157:351–8.

    PubMed  Article  CAS  Google Scholar 

  36. Ning L, Wentworth L, Chen H, Weber SM. Down-regulation of Notch1 signaling inhibits tumor growth in human hepatocellular carcinoma. Am J Transl Res. 2009;1:358–66.

    PubMed  CAS  Google Scholar 

  37. Qi R, An H, Yu Y, Zhang M, Liu S, Xu H, Guo Z, Cheng T, Cao X. Notch1 signaling inhibits growth of human hepatocellular carcinoma through induction of cell cycle arrest and apoptosis. Cancer Res. 2003;63:8323–9.

    PubMed  CAS  Google Scholar 

Download references

Acknowledgments

We are grateful to Fuqin Zhang who provided us the technical help. This work was supported by grants from the National Natural Science Foundation of China (grants no. 30872480) and the Major Program of the National Natural Science Foundation of China (grants no. 81030010/H0318).

Conflicts of interest

None.

Author information

Affiliations

Authors

Corresponding authors

Correspondence to De-sheng Wang or Ke-feng Dou.

Additional information

Liang Zhou, Ning zhang, and Qing-jun Li contributed equally to this work and should be recognized as co-first authors.

Rights and permissions

Reprints and Permissions

About this article

Cite this article

Zhou, L., Zhang, N., Li, Qj. et al. Associations between high levels of Notch1 expression and high invasion and poor overall survival in hepatocellular carcinoma. Tumor Biol. 34, 543–553 (2013). https://doi.org/10.1007/s13277-012-0580-3

Download citation

  • Received:

  • Accepted:

  • Published:

  • Issue Date:

  • DOI: https://doi.org/10.1007/s13277-012-0580-3

Keywords

  • Hepatocellular carcinoma
  • Notch1
  • Invasion
  • Metastasis
  • Overall survival
  • Clinicopathological correlation