Skip to main content

Enterobius vermicularis Infection of the Uterine Endometrium in an Infertile Female

This is a preview of subscription content, access via your institution.

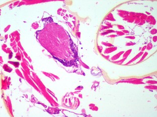
Fig. 1
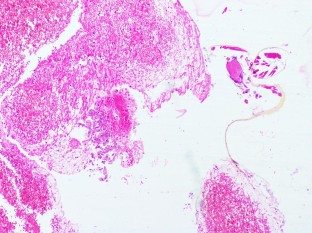
Fig. 2

References

  1. Sizer AR, Nirmal DM, Shannon J, et al. A pelvic mass due to infestation of the fallopian tube with Enterobius vermicularis. J Obstet Gynaecol. 2004;24:462–3.

    CAS  Article  Google Scholar 

  2. Erhan V, Zekioglu O, Ozdemir N, et al. Unilateral salpingitis due to Enterobius vermicularis. Int J Gynecol Pathol. 2000;19:188–9.

    CAS  Article  Google Scholar 

  3. Smolyakov R, Talalay B, Yanai-Inbar I, et al. Enterobius vermicularis infection of female genital tract: a report of three cases and review of the literature. Eur J Obstet Gynecol Reprod Biol. 2003;107:220–2.

    Article  Google Scholar 

  4. Mendoza E, Jorda M, Rafel E, et al. Invasion of human embryo by Enterobius vermicularis. Arch Pathol Lab Med. 1987;111:761–2.

    CAS  PubMed  Google Scholar 

  5. Neri A, Tadir Y, Grausbard G, et al. Enterobius (Oxyuris) vermicularis of the pelvic peritoneum—a cause of infertility. Eur J Obstet Gynecol Reprod Biol. 1986;23:239–41.

    CAS  Article  Google Scholar 

  6. Young C, Tataryn I, Kowalewska-Grochowska KT, et al. Enterobius vermicularis infection of the fallopian tube in an infertile female. Pathol Res Pract. 2010;206(6):405–7.

    Article  Google Scholar 

  7. Siteti MC, Injete SD, Wanyonyi WA. Helminthiases: a neglected cause for reproductive ill-health and social stigma. Parasitol United J. 2015;8:87–94.

    Article  Google Scholar 

Download references

Author information

Affiliations

Authors

Corresponding author

Correspondence to Hema Rajesh.

Ethics declarations

Conflict of interest

None.

Ethical Statement

This work has not been published before; it is not under consideration for publication anywhere else; its publication has been approved by all co-authors, as well as by the responsible authorities.

Additional information

Publisher's Note

Springer Nature remains neutral with regard to jurisdictional claims in published maps and institutional affiliations.

Dr. Hema Rajesh, Consultant in Reproductive Medicine, Department of Fertility & Reproductive Medicine, PSG Institute of Medical Sciences and Research, Coimbatore, Tamil Nadu, India. Balu Kuppusamy, Consultant Surgical Gastroenterologist in PSG Institute of Medical Sciences and Research, Coimbatore, Tamil Nadu, India. Chaitra Venkataswamy, Clinical Pathologist in PSG Institute of Medical Sciences and Research, Coimbatore, Tamil Nadu, India. Nidhya Ganesan, Clinical Pathologist in PSG Institute of Medical Sciences and Research, Coimbatore, Tamil Nadu, India.

Rights and permissions

Reprints and Permissions

About this article

Verify currency and authenticity via CrossMark

Cite this article

Rajesh, H., Kuppusamy, B., Venkataswamy, C. et al. Enterobius vermicularis Infection of the Uterine Endometrium in an Infertile Female. J Obstet Gynecol India 70, 89–91 (2020). https://doi.org/10.1007/s13224-019-01252-0

Download citation

  • Received:

  • Accepted:

  • Published:

  • Issue Date:

  • DOI: https://doi.org/10.1007/s13224-019-01252-0