Skip to main content

Pitfalls in Ultrasound Diagnosis of Cesarean Scar Pregnancy

Abstract

Cesarean scar pregnancy (CSP) is a rare kind of ectopic pregnancy implanted in the previous cesarean scar and has an increasing incidence over the past 30 years. As the suspicion is low, the diagnosis may be delayed or misinterpreted in ultrasound, leading to treatment strategies that might end up in uterine rupture or hysterectomy. The objective here is to review the ultrasound findings in CSP with varied presentations. Transabdominal and transvaginal sonography combined with color Doppler is a reliable tool for the diagnosis of CSP. When the gestational sac is seen in lower part of the uterine cavity, differentiation between threatened miscarriage, cervical pregnancy and CSP could be difficult. Not all cases of CSP present with typical ultrasound findings and a high index of suspicion is needed for diagnosis in these cases. An attempted curettage or MTP pill taken in an undiagnosed CSP often alters the typical findings. The possibility of CSP should also be considered in cases presenting with abnormal uterine bleeding and have a prior history of cesarean section. With lack of awareness about this condition, the diagnosis can often be missed either with MRI or in ultrasound. Correct interpretation and timely diagnosis save the mother from life-threatening complications and also preserves future fertility.

This is a preview of subscription content, access via your institution.

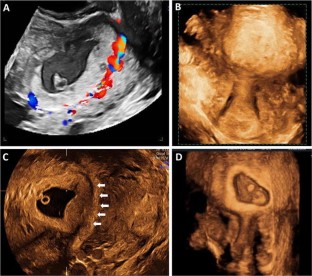
Fig. 1
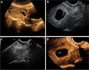
Fig. 2
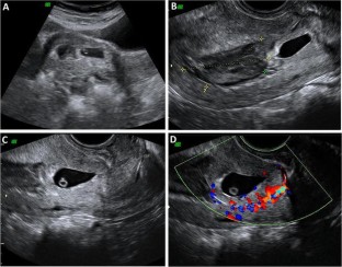
Fig. 3
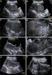
Fig. 4
Fig. 5

References

  1. Bignardi T, Condous G. Transrectal ultrasound-guided surgical evacuation of cesarean scar ectopic pregnancy. Ultrasound Obstet Gynecol. 2010;35(4):481–5.

    Article  PubMed  CAS  Google Scholar 

  2. Polat I, Alkis I, Sahbaz A, Sahin O, Ekiz A, Gulac B, Tekirdag AI. Diagnosis and management of cesarean scar pregnancy. Clin Exp Obstet Gynecol. 2012;39(3):365–8.

    PubMed  CAS  Google Scholar 

  3. Al-Nazer A, Omar L, Wahba M, Abbas T, Abdulkarim M. Ectopic intramural pregnancy developing at the site of a cesarean section scar: a case report. Cases J. 2009;2(1):1.

    Article  Google Scholar 

  4. Maymon R, Svirsky R, Smorgick N, Mendlovic S, Halperin R, Gilad K, Tobvin Y. Fertility performance and obstetric outcomes among women with previous cesarean scar pregnancy. J Ultrasound Med. 2011;30(9):1179–84.

    Article  PubMed  Google Scholar 

  5. Osborn DA, Williams TR, Craig BM. Cesarean scar pregnancy sonographic and magnetic resonance imaging findings, complications, and treatment. JUM. 2012;31(9):1449–56.

    Google Scholar 

  6. Timor-Tritsch IE, Monteagudo A, Santos R, Tsymbal T, Pineda G, Arslan AA. The diagnosis, treatment, and follow-up of cesarean scar pregnancy. Am J Obstet Gynecol. 2012;207(1):44-e1.

    Article  Google Scholar 

  7. Zhang Y, Gu Y, Wang JM, Li Y. Analysis of cases with cesarean scar pregnancy. J Obstet Gynaecol Res. 2013;39(1):195–202.

    Article  PubMed  CAS  Google Scholar 

  8. Uysal F, Uysal A, Adam G. Cesarean scar pregnancy diagnosis, management, and follow-up. J Ultrasound Med. 2013;32(7):1295–300.

    Article  PubMed  Google Scholar 

  9. Timor-Tritsch IE, Monteagudo A. Unforeseen consequences of the increasing rate of cesarean deliveries: early placenta accreta and cesarean scar pregnancy. A review. Am J Obstet Gynecol. 2012;207(1):14–29.

    Article  PubMed  Google Scholar 

  10. Sekiguchi A, Okuda N, Kawabata I, Nakai A, Takeshita T. Ultrasound detection of lacunae-like image of a cesarean scar pregnancy in the first trimester. J Nippon Med Sch. 2013;80(1):70–3.

    Article  PubMed  Google Scholar 

  11. Moschos E, Wells CE, Twickler DM. Biometric sonographic findings of abnormally adherent trophoblastic implantations on cesarean delivery scars. J Ultrasound Med. 2014;33(3):475–81.

    Article  PubMed  Google Scholar 

  12. Wu R, Klein MA, Mahboob S, Gupta M, Katz DS. Magnetic resonance imaging as an adjunct to ultrasound in evaluating cesarean scar ectopic pregnancy. J Clin Imaging Sci. 2013;3:16.

    Article  PubMed  PubMed Central  Google Scholar 

  13. Annappa M, Tripathi L, Mahendran M. Cesarean section scar ectopic pregnancy presenting as a fibroid. J Obstet Gynaecol. 2009;29(8):774.

    Article  PubMed  CAS  Google Scholar 

  14. Timor-Tritsch IE, Monteagudo A, Cali G, Vintzileos A, Viscarello R, Al-Khan A, Zamudio S, Mayberry P, Cordoba MM, Dar P. Cesarean scar pregnancy is a precursor of morbidly adherent placenta. Ultrasound Obstet Gynecol. 2014;44(3):346–53.

    Article  PubMed  CAS  Google Scholar 

  15. Timor-Tritsch IE, Monteagudo A, Cali G, Palacios-Jaraquemada JM, Maymon R, Arslan AA, Patil N, Popiolek D, Mittal KR. Cesarean scar pregnancy and early placenta accreta share common histology. Ultrasound Obstet Gynecol. 2014;43(4):383–95.

    Article  PubMed  CAS  Google Scholar 

  16. Sinha P, Mishra M. Caesarean scar pregnancy: a precursor of placenta percreta/accreta. J Obstet Gynaecol. 2012;32(7):621–3.

    Article  PubMed  CAS  Google Scholar 

  17. Rac MW, Moschos E, Wells CE, McIntire DD, Dashe JS, Twickler DM. Sonographic findings of morbidly adherent placenta in the first trimester. J Ultrasound Med. 2016;35(2):263–9.

    Article  PubMed  Google Scholar 

  18. Michener C, Dickinson JE. Caesarean scar ectopic pregnancy: a single centre case series. Aust N Z J Obstet Gynaecol. 2009;49(5):451–5.

    Article  PubMed  Google Scholar 

  19. Tower AM, Frishman GN. Cesarean scar defects: an under recognized cause of abnormal uterine bleeding and other gynecologic complications. J Minim Invasive Gynecol. 2013;20(5):562–72.

    Article  PubMed  Google Scholar 

  20. Brasic N, Warden M, Vargas JE. Conservative management of cesarean scar pregnancy with sonographically guided transvaginal methotrexate injection. J Ultrasound Med. 2013;32(6):1061–3.

    Article  PubMed  Google Scholar 

  21. Fuchs N, Manoucheri E, Verbaan M, Einarsson JI. Laparoscopic management of extrauterine pregnancy in cesarean section scar: description of a surgical technique and review of the literature. BJOG Int J Obstet Gynaecol. 2015;122(1):137–40.

    Article  CAS  Google Scholar 

  22. Nankali A, Ataee M, Shahlazadeh H, Daeichin S. Surgical management of the cesarean scar ectopic pregnancy: a case report. Case Rep Obstet Gynecol. 2013;22:2013.

    Google Scholar 

  23. Yang XY, Yu H, Li KM, Chu YX, Zheng A. Uterine artery embolisation combined with local methotrexate for treatment of cesarean scar pregnancy. BJOG Int J Obstet Gynaecol. 2010;117(8):990–6.

    Article  CAS  Google Scholar 

  24. Rizk B, Holliday CP, Owens S, Abuzeid M. Cervical and cesarean scar ectopic pregnancies: diagnosis and management. Middle East Fertil Soc J. 2013;18(2):67–73.

    Article  Google Scholar 

Download references

Author information

Affiliations

Authors

Corresponding author

Correspondence to Lakshmy Ravi Selvaraj.

Ethics declarations

Conflict of interest

All authors declare that they have no conflict of interest. Informed consent was obtained from all patients and patient identity not disclosed.

Informed consent

Informed consent was obtained from all patients and patient identity not disclosed.

Additional information

Dr. Lakshmy Ravi Selvaraj MBBS is currently Sonologist and Director of Shri Lakshmi Clinic and Scan Centre Kaveripattinam, Krishnagiri 635112, Tamilnadu, India. Dr. Nity Rose MS is an Obstetrician in Shri Lakshmi Clinic and Scan Centre Kaveripattinam, Krishnagiri 635112, Tamilnadu, India. Dr. Meenakshi Ramachandran DGO, DNB is an Obstetrician in Shri Lakshmi Clinic and Scan Centre Kaveripattinam, Krishnagiri 635112, Tamilnadu, India.

Rights and permissions

Reprints and Permissions

About this article

Verify currency and authenticity via CrossMark

Cite this article

Ravi Selvaraj, L., Rose, N. & Ramachandran, M. Pitfalls in Ultrasound Diagnosis of Cesarean Scar Pregnancy. J Obstet Gynecol India 68, 164–172 (2018). https://doi.org/10.1007/s13224-016-0956-1

Download citation

  • Received:

  • Accepted:

  • Published:

  • Issue Date:

  • DOI: https://doi.org/10.1007/s13224-016-0956-1

Keywords

  • Cesarean scar pregnancy
  • Ultrasonography
  • Abnormal uterine bleeding
  • Ectopic gestation
  • Cervical pregnancy
  • Scar hematoma