Skip to main content

Mutational Screening and Prenatal Diagnosis in Cornelia de Lange syndrome

Abstract

Phenotypic variability and the lack of a diagnostic marker have complicated the rapid diagnosis and genetic counseling for Cornelia de Lange syndrome (CdLS). The clinical features of CdLS are striking and easily recognizable by characteristic facial dysmorphism, upper-extremity malformations, hirsutism, cardiac defects, growth and cognitive retardation, and gastrointestinal abnormalities with severe mental retardation. The molecular diagnosis is essential for predicting prognosis and genetic counseling in the affected family, especially while planning the next pregnancy. We report here from India six cases of CdLS and how precise mutational screening in two cases helped in prenatal diagnosis and proved significant in prevention of recurrence in the affected family.

This is a preview of subscription content, access via your institution.

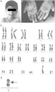
Fig. 1
Fig. 2

References

  1. Brachmann.WB, Ein Fall von symmetrischer Monodaktylie durch Ulnadefekt, mit symmetrischer Flughautbildung in den Ellenbeugen, sowie anderen Abnormitäten (Zwerghaftigkeit, Halsrippen, Behaarung) [a case of symmetrical monodactyly representing ulnar deficiency, with symmetrical antecubital webbing and other abnormalities (dwarfish, cervical ribs, hirsutism)], Jahrbuch für Kinderheilkunde und physische Erziehung 1916; 84: 225–35.

  2. de Lange. C de Lange, Sur un type nouveau de dégénération (typus Amstelodamnesis) [on a new type of degeneration (type Amstelodamnesis)], Arch Méd Enfants 1933; 36: 713–9.

  3. Kline AD, Stanley C, Belevich J, et al. Developmental data on individuals with the Brachmann-de Lange syndrome. Am J Med Genet. 1993;47:1053–8.

    CAS  PubMed  Article  Google Scholar 

  4. Jackson L, Kline AD, Barr MA, et al. de Lange syndrome: a clinical review of 310 individuals. Am J Med Genet. 1993;47:940–6.

    CAS  PubMed  Article  Google Scholar 

  5. Opitz JM. The Brachmann-de Lange syndrome. Am J Med Genet. 1985;22:89–102.

    CAS  PubMed  Article  Google Scholar 

  6. Krantz ID, McCallum J, DeScipio C, et al. Cornelia de Lange syndrome is caused by mutations in NIPBL, the human homolog of Drosophila melanogaster Nipped-B. Nat Genet. 2004;36:631–5.

    CAS  PubMed  Article  Google Scholar 

  7. Tonkin ET, Wang TJ, Lisgo S, et al. NIPBL, encoding a homolog of fungal Scc2-type sister chromatid cohesion proteins and fly Nipped-B, is mutated in Cornelia de Lange syndrome. Nat Genet. 2004;36:636–41.

    CAS  PubMed  Article  Google Scholar 

  8. Sekimoto H, Osada H, Kimura H, et al. Prenatal findings in Brachmann-de Lange syndrome. Arch Gynecol Obstet. 2000;263:182–4.

    CAS  PubMed  Article  Google Scholar 

  9. Huang WH, Porto M. Abnormal first-trimester fetal nuchal translucency and Cornelia De Lange syndrome. Obstet Gynecol. 2002;99:956–8.

    PubMed  Article  Google Scholar 

  10. Ranzini AC, Day-Salvatore D, Farren-Chavez D, et al. Prenatal diagnosis of de Lange syndrome. J Ultrasound Med. 1997;16:755–8.

    CAS  PubMed  Google Scholar 

  11. Boog G, Sagot F, Winer N, et al. Brachmann-de Lange syndrome: a cause of early symmetric fetal growth delay. Eur J Obstet Gynecol Reprod Biol. 1999;85:173–7.

    CAS  PubMed  Article  Google Scholar 

  12. Urban M, Hartung J. Ultrasonographic and clinical appearance of a 22-week-old fetus with Brachmann-de Lange syndrome. Am J Med Genet. 2001;102:73–5.

    CAS  PubMed  Article  Google Scholar 

  13. Westergaard JG, Chemnitz J, Teisner B, et al. Pregnancy-associated plasma protein A: a possible marker in the classification and prenatal diagnosis of Cornelia de Lange syndrome. Prenat Diagn. 1983;3:225–32.

    CAS  PubMed  Article  Google Scholar 

  14. Aitken DA, Ireland M, Berry E, et al. Second-trimester pregnancy associated plasma protein-A levels are reduced in Cornelia de Lange syndrome pregnancies. Prenat Diagn. 1999;19:706–10.

    CAS  PubMed  Article  Google Scholar 

  15. Arbuzova S, Nikolenko M, Krantz D, et al. Low first-trimester pregnancy-associated plasma protein-A and Cornelia de Lange syndrome. Prenat Diagn. 2003;23:864.

    CAS  PubMed  Article  Google Scholar 

  16. AAMR. American Association on Mental Retardation: Diagnostic Criteria from DSM-IV: Diagnostic and Statistical Manual of Mental Disorders, Washington DC: American Psychiatric Association, 1992 pp. 63–66.

  17. Moorehead PS, Nowell PS, Mellman WJ, et al. Chromosomal preparation of leucocytes cultured from human peripheral blood. Exp Cell Res. 1960;20:613–6.

    Article  Google Scholar 

  18. Hungerford DA. Leucocytes cultured from small inocula of whole blood and preparation of metaphase chromosomes by treatment with hypotonic KCL. Stain Technol. 1965;40:333–8.

    CAS  PubMed  Google Scholar 

  19. Rybak J, Tharapel A, Robinett S, et al. Mankinen C freeman M. a simple reproducible method for prometaphase chromosome analysis. Hum Genet. 1982;60:328–33.

    CAS  PubMed  Article  Google Scholar 

  20. F Mitelman. ISCN. An International System for Human Cytogenetic Nomenclature. 2005; Basal:S Karger.

Download references

Acknowledgments

We would like to acknowledge the help in the molecular diagnosis given to us by Dr. Ian Krantz, of The Children’s Hospital of Philadelphia, Philadelphia. We greatly thank all the physicians for referring the patients and parents for their cooperation during the PhD work at CREMERE, Mumbai.

Author information

Affiliations

Authors

Corresponding author

Correspondence to Usha Dave.

Rights and permissions

Reprints and Permissions

About this article

Cite this article

Dave, U., Shetty, D. Mutational Screening and Prenatal Diagnosis in Cornelia de Lange syndrome. J Obstet Gynecol India 64, 27–31 (2014). https://doi.org/10.1007/s13224-013-0450-y

Download citation

  • Received:

  • Accepted:

  • Published:

  • Issue Date:

  • DOI: https://doi.org/10.1007/s13224-013-0450-y

Keywords

  • Cornelia de Lange syndrome
  • Prenatal diagnosis
  • Mental retardation