Skip to main content

Arginine deaminase from Pseudomonas aeruginosa PS2: purification, biochemical characterization and in-vitro evaluation of anticancer activity

Abstract

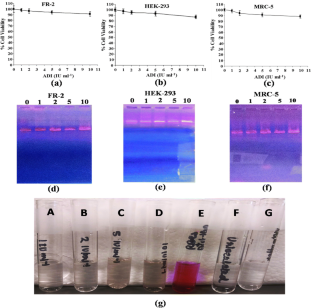
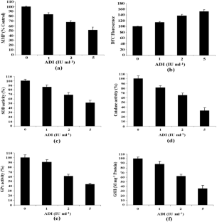
In the present study, arginine deaminase (ADI) was purified from Pseudomonas aeruginosa PS2 which showed relative molecular mass of 70 ± 3 kDa on native-PAGE and 36 ± 0.5 kDa on SDS-PAGE. Purified ADI exhibited optimum activity at pH 6.5 and temperature 40 ºC. Metal ions, K+ and Mg2+ had positive, while Mn2+, Cr2+, Co2+, Fe3+, Ni2+, Cu2+, Cd2+ and Hg2+ had negative effects on catalytic activity of ADI. Purified enzyme showed high substrate specificity towards natural substrate L-arginine and did not hydrolyse its structural analogues. In-vitro serum half-life of purified ADI was 40 h, whereas proteolytic half-life was 28, 27, and 32 min against trypsin, elastase-I and proteinase-K, respectively. Anticancer activity of ADI has been evaluated against panel of human cancer cell lines (LS-180, HCT-116, MCF-7, BT-549, T47D, HL-60, MOLT-4, K-562, and PC-3) but lowest IC50 1.2 IU ml−1 was recorded with MCF-7 cells. Colony forming assay, wound-healing migration assay, phase contrast microscopy, DAPI staining, cell cycle analysis and DNA laddering assay revealed that ADI treatment induced apoptotic cell death in dose dependent manner. Increased level of MMP loss, ROS generation and decreased level of SOD, CAT, GPx and GSH displayed ADI treatment induced mitochondrial dysfunctioning. Furthermore, purified ADI had no substantial toxicity against human normal cell lines and blood erythrocytes. These findings suggesting that purified ADI could be developed as an anticancer agent but more in depth studies are warranted.

This is a preview of subscription content, access via your institution.

Fig. 1
Fig. 2
Fig. 3
Fig. 4
Fig. 5
Fig. 6
Fig. 7

References

  • Barnum JK, O’Connell MJ (2014) Cell cycle regulation by checkpoints. Methods Mol Biol 1170:29–40

    PubMed  PubMed Central  Google Scholar 

  • Bendale Y, Bendale V, Paul S (2017) Evaluation of cytotoxic activity of platinum nanoparticles against normal and cancer cells and its anticancer potential through induction of apoptosis. Integr Med Res 6(2):41–48

    Google Scholar 

  • Bhushan S, Kakkar V, Pal HC et al (2016) The augmented anticancer potential of AP9-cd loaded solid lipid nanoparticles in human leukemia Molt-4 cells and experimental tumour. Chem Biol Interact 25:84–93

    Google Scholar 

  • Bishayee K, Ghosh S, Mukherjee A et al (2003) Quercetin induces cytochrome-c release and ROS accumulation to promote apoptosis and arrest the cell cycle in G2/M, in cervical carcinoma: signal cascade and drug-DNA interaction. Cell Prolif 46:153–163

    Google Scholar 

  • Denicourt C, Dowdy SF (2004) Medicine Targeting apoptotic pathways in cancer cells. Science 305:1411–1413

    CAS  PubMed  Google Scholar 

  • Ellman GL (1959) Determination of sulfhydryl group. Arch Biochem Biophys 82:70–74

    CAS  PubMed  Google Scholar 

  • El-Sayed AS, Shindia AA, Diab AA et al (2014) Purification and immobilization of L-arginase from thermotolerant Penicillium chrysogenum KJ185377. 1; with unique kinetic properties as thermostable anticancer enzyme. Arch Pharmacal Res. https://doi.org/10.1007/s12272-014-0498-y

    Article  Google Scholar 

  • El-Sayed SSA, Hassan MN, Nada HMS (2015) Purification, immobilization, and biochemical characterization of L-arginine deiminase from thermophilic Aspergillus fumigatus KJ434941: Anticancer activity in vitro. Biotechnol Prog 31:396–405

    CAS  PubMed  Google Scholar 

  • Fernandes HS, Silva Teixeira CS, Fernandes PA et al (2017) Amino acid deprivation using enzymes as a targeted therapy for cancer and viral infections. Expert Opin Ther Pathol 27(3):283–297

    CAS  Google Scholar 

  • Fiedler T, Strauss M, Hering S et al (2015) Arginine deprivation by arginine deiminase of Streptococcus pyogenes controls primary glioblastoma growth in vitro and in vivo. Cancer Biol Ther 16:1047–1055

    CAS  PubMed  PubMed Central  Google Scholar 

  • Fitzmaurice C, Allen C, Barber RM et al (2017) Global, regional, and national cancer incidence, mortality, years of life lost, years lived with disability, and disability adjusted life-years for 32 cancer groups, 1990 to 2015 a systematic analysis for the global burden of disease study. JAMA Oncol 3:224–248

    Google Scholar 

  • Glazer ES, Kaluarachchi WD, Massey KL et al (2010) Bioengineered arginase I increases caspase-3 expression of hepatocellular and pancreatic carcinoma cells despite induction of argininosuccinate synthetase-1. Surgery 148:310–318

    PubMed  PubMed Central  Google Scholar 

  • Goswami A, Shah BA, Kumar A et al (2014) Antiproliferative potential of a novel parthenin analog P16 as evident by apoptosis accompanied by down-regulation of PI3K/AKT and ERK pathways in human acute lymphoblastic leukemia MOLT-4 cells. Chem Biol Interact 222:60–67

    CAS  PubMed  Google Scholar 

  • Hernandez CP, Morrow K, Lopez-Barcons LA et al (2010) Pegylated arginase I: a potential therapeutic approach in T-ALL. Blood 115:5214–5221

    CAS  PubMed  PubMed Central  Google Scholar 

  • Hess JA, Khasawneh MK (2015) Cancer metabolism and oxidative stress: Insights into carcinogenesis and chemotherapy via the non-dihydrofolate reductase effects of methotrexate. BBA Clin 3:152–161

    PubMed  PubMed Central  Google Scholar 

  • Hsueh EC, Knebel SM, Lo WH et al (2012) Deprivation of arginine by recombinant human arginase in prostate cancer cells. J Hematol Oncol 5(1):17

    CAS  PubMed  PubMed Central  Google Scholar 

  • Husain I, Bala K, Wani A et al (2017) Arginase purified from endophytic Pseudomonas aeruginosa IH2: induce apoptosis through both cell cycle arrest and MMP loss in human leukemic HL-60 cells. Chem Biol Interact 274:35–49

    CAS  PubMed  Google Scholar 

  • Husain I, Sharma A, Kumar S et al (2016a) Purification and characterization of glutaminase free asparaginase from Pseudomonas otitidis: induce apoptosis in human leukemia MOLT-4 cells. Biochimie 121:38–51

    CAS  PubMed  Google Scholar 

  • Husain I, Sharma A, Kumar S et al (2016b) Purification and characterization of glutaminase free asparaginase from Enterobacter cloacae: In-vitro evaluation of cytotoxic potential against human myeloid leukemia HL-60 cells. PLoS ONE 11(2):e0148877. https://doi.org/10.1371/journal.pone.0148877

    CAS  Article  PubMed  PubMed Central  Google Scholar 

  • Jiang H, Huang K, Mu M et al (2018) Characterization of a recombinant arginine deiminase from Enterococcus faecalis SK32.001 for L-citrulline production. Process Biochem 64:136–142

    CAS  Google Scholar 

  • Kakkar P, Das B, Viswanathan PN (1984) A modified spectrophotometric assay of superoxide dismutase. Indian J Biochem Biophys 21:130–132

    CAS  PubMed  Google Scholar 

  • Kaur B, Kaur R (2016) Purification of a dimeric arginine deiminase from Enterococcus faecium GR7 and study of its anti-cancerous activity. Protein Expr Purif 125:53–60

    CAS  PubMed  Google Scholar 

  • Khoury O, Ghazale N, Stone E et al (2015) Human recombinant arginase I (Co)-PEG5000 [HuArgI (Co)-PEG5000]-induced arginine depletion is selectively cytotoxic to human glioblastoma cells. J Neurooncol 122:75–85

    CAS  PubMed  Google Scholar 

  • Kim JE, Jeong DW, Lee HJ (2007) Expression, purification, and characterization of arginine deiminase from Lactococcus lactis ssp. lactis ATCC 7962 in Escherichia coli BL21. Protein Expr Purif 53:9–15

    CAS  PubMed  Google Scholar 

  • Kumar S, Guru SK, Pathania AK et al (2013) Autophagy triggered by magnolol derivative negatively regulates angiogenesis. Cell Death Dis 4:889–901

    Google Scholar 

  • Lee SH, Kim SH, Kim YH (2002) Synthesis and degradation behaviors of PEO/PL/PEO tri-block copolymers. Macromol Res 10:85–90

    Google Scholar 

  • Mahajan RV, Kumar V, Rajendran V et al (2014) Purification and characterization of a novel and robust L-Asparaginase having low-glutaminase activity from Bacillus licheniformis: in vitro evaluation of anti-cancerous properties. PLoS ONE 9(6):e99037

    PubMed  PubMed Central  Google Scholar 

  • Mahdy N, Al-Tahan S, Yaseen N (2015) Extraction, purification and characterization (a) of arginine deiminase enzyme from a local higher productive isolation of Enterococcus faecium M1. J Biol Agric Healthcare 5:51–58

    Google Scholar 

  • Ni Y, Li Z, Sun Z et al (2009) Expression of arginine deiminase from Pseudomonas plecoglossicida CGMCC2039 in Escherichia coli and its anti-tumor activity. Curr Microbiol 58:593–598

    CAS  PubMed  Google Scholar 

  • Noh EJ, Kang SW, Shin YJ et al (2002) Characterization of Mycoplasma arginine deiminase expressed in E. coli and its inhibitory regulation of nitric oxide synthesis. Mol Cells 13:137–143

    CAS  PubMed  Google Scholar 

  • Patil MD, Rathod VP, Bihade UR et al (2018) Combined effect of attrition and ultrasound on the disruption of Pseudomonas putida for the efficient release of arginine deiminase. Biotechnol Prog 34:1185–1194

    CAS  PubMed  Google Scholar 

  • Rotruck JT, Pope AL, Ganther HE et al (1973) Selenium: biochemical role as a component of glutathione peroxidase. Science 179:588–590

    CAS  PubMed  Google Scholar 

  • Shah AM, Wani A, Qazi PH et al (2016) Isolation and characterization of alborixin from Streptomyces scabrisporus: A potent cytotoxic agent against human colon (HCT-116) cancer cells. Chem Biol Interact 256:1–11

    Google Scholar 

  • Sharma A, Bala K, Husain I (2017a) Optimization of arginine deaminase production from indigenous bacterium Pseudomonas aeruginosa PS2. Int J Curr Microbiol App Sci 6:3621–3632

    Google Scholar 

  • Sharma A, Bala K, Husain I (2017b) Preliminary evaluation of arginine deiminase activity of indigenous bacterial strains for suitable chemotherapeutic applications. Biocatal Agric Biotechnol 12:66–77

    Google Scholar 

  • Sharma A, Husain I, Mishra S (2014) Evaluation of antitumor activity of glutaminase free L-asparaginase from indigenous bacterial strains for potential chemotherapeutic application. Int J Pharm Bio Sci B5:16–26

    Google Scholar 

  • Sharma A, Husain I (2017) Evaluation of antitumor activity of glutaminase-free periplasmic asparaginase from indigenous bacterial isolates as candidates for cancer therapy. Proc Natl Acad Sci India Sect B Biol Sci 87:997–1004

    CAS  Google Scholar 

  • Sharma A, Husain I (2015) Optimization of medium components for extracellular glutaminase free asparaginase from Enterobacter cloacae. Int J Curr Microbiol App Sci 4:296–309

    CAS  Google Scholar 

  • Shimizu T, Yamashiro Y, Igarashi J, Fujita H et al (1998) Increased serum trypsin and elastase- levels in patients undergoing L-asparaginase therapy. Eur J Pediatr 157:561–563

    CAS  PubMed  Google Scholar 

  • Singh R, Pervin S, Karimi A et al (2000) Arginase activity in human breast cancer cell lines: Nv-hydroxy-L-arginine selectively inhibits cell proliferation and induces apoptosis in MDA-MB-468 cells. Cancer Res 60:3305–3312

    CAS  PubMed  Google Scholar 

  • Sinha AK (1972) Colorimetric assay of catalase. Anal Biochem 47:389–394

    CAS  Google Scholar 

  • Song W, Sun X, Chen X et al (2015) Enzymatic production of l-citrulline by hydrolysis of the guanidinium group of l-arginine with recombinant arginine deiminase. J Biotechnol 20(208):37–43

    Google Scholar 

  • Synakiewicz A, Stachowicz-Stencel T, Adamkiewicz-Drozynska E (2014) The role of arginine and the modified arginine deiminase enzyme ADI-PEG-20 in cancer therapy with special emphasis on Phase I/II clinical trials. Expert Opin Investig Drugs 23:1517–1529

    CAS  PubMed  Google Scholar 

  • Tait SWG, Green DR (2015) Mitochondria and cell signaling. J Cell Sci 125:807–815

    Google Scholar 

  • Takaku H, Matsumoto M, Misawa S et al (1995) Anti-tumor activity of arginine deiminase from Mycoplasma arginini and its growth-inhibitory mechanism. Jpn J Cancer Res 86:840–846

    CAS  PubMed  PubMed Central  Google Scholar 

  • Tsai WB, Aiba I, Lee SY et al (2009) Resistance to arginine deiminase treatment in melanoma cells is associated with induced argininosuccinate synthetase expression involving c-Myc/HIF-1alpha/Sp4. Mol Cancer Ther 8:3223–3233

    CAS  PubMed  PubMed Central  Google Scholar 

  • Warner TD, Mitchell JA (2003) HIF, stretching to get control of VEGF. Clin Sci 105(4):393–394

    CAS  PubMed  Google Scholar 

  • WHO (2018) Cancer data. www.who.int/news-room/fact-sheets/detail/cancer

  • Zeng X, Li Y, Fan J et al (2013) Recombinant human arginase induced caspase-dependent apoptosis and autophagy in non-Hodgkin’s lymphoma cells. Cell Death Dis 4(10):e840

    CAS  PubMed  PubMed Central  Google Scholar 

Download references

Acknowledgements

Authors are thankful to the Head, Department of P.G. Studies and Research in Biological Science, Rani Durgavati University, Jabalpur, Madhya Pradesh, India, for providing Laboratory facilities to carry out this work. Islam Husain is thankful to Department of Science and Technology (DST), Indian, for providing N-PDF Grant (DST No: PDF/2016/002697).

Author information

Affiliations

Authors

Corresponding author

Correspondence to Anjana Sharma.

Ethics declarations

Conflict of interest

All authors declare no conflicts of interest.

Electronic supplementary material

Below is the link to the electronic supplementary material.

Supplementary file1 (DOCX 358 kb)

Rights and permissions

Reprints and Permissions

About this article

Verify currency and authenticity via CrossMark

Cite this article

Bala, K., Husain, I. & Sharma, A. Arginine deaminase from Pseudomonas aeruginosa PS2: purification, biochemical characterization and in-vitro evaluation of anticancer activity. 3 Biotech 10, 226 (2020). https://doi.org/10.1007/s13205-020-02212-6

Download citation

  • Received:

  • Accepted:

  • Published:

  • DOI: https://doi.org/10.1007/s13205-020-02212-6

Keywords

  • Arginine deiminase
  • Anticancer activity
  • Antioxidants
  • MCF-7
  • Hemolysis