Abstract
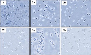
The present study was undertaken with the objective to assess the effect of distinct stereoisomeric forms of nutrient germinants (selected sugars and amino acids) on the process of germination onset in dormant spores of Bacillus megaterium MTCC 2949. In this respect, epimers of glucose and enantiomers of alanine were employed in current work. When supplemented with these stereoisomers, spores were found germinated only with d-glucose and d-mannose among epimers of glucose and only with l-alanine among enantiomers of alanine. Interestingly, germination in spores was observed to negligible extent with d-galactose and d-alanine. These findings were obtained on the basis of four type of germination assays, namely reduction in absorbance measured at 600 nm (≤5 to ≥30%), refractility examination (phase bright and dark), esterase assay [fluorescence units 0.455–94.62 (×103)] and fluorescent staining (fluorescent/non-fluorescent signals). Understanding of spores germination process and efficacy of different forms of germinants to trigger germination is of immense importance. It aids in development of sensing and sterilization indicating tools employing chiefly spores as biorecognition elements and in uncovering the mechanism of diseases, food contamination and spoilages resulting from the germination of spores. The findings of current work support the possibility to explore such germination mechanism by significantly giving the clue for potential existence of stereospecific receptor sites on the surface of B. megaterium spores. Perhaps, these sites can specifically differentiate and recognize stereoisomerically diverse forms of germinants for induction of germination.




Similar content being viewed by others
Explore related subjects
Discover the latest articles and news from researchers in related subjects, suggested using machine learning.References
Alberto F, Broussolle V, Mason DR, Carlin F, Peck MW (2003) Variability in spore germination response by strains of proteolytic Clostridium botulinum types A, B and F. Lett Appl Microbiol 36:41–45
Ando Y (1971) The germination requirements of spores of Clostridium botulinum type E Japan. J Microbiol 15:515–525
Barlass PJ, Houston CW, Clements MO, Moir A (2002) Germination of Bacillus cereus spores in response to l-alanine and to inosine: the roles of gerL and gerQ operons. Microbiology 148:2089–2095. doi:10.1099/00221287-148-7-2089
Black EP, Setlow P, Hocking AD, Stewart CM, Kelly AL, Hoover DG (2007) Response of spores to high-pressure processing. Comp Rev Food Sci Food Saf 6:103–119
Borch-Pedersen K, Lindbäck T, Madslien EH, Kidd SW, O’Sullivan K, Granum PE, Aspholm M (2016) The cooperative and interdependent roles of GerA, GerK, and Ynd in germination of Bacillus licheniformis spores. Appl Environ Microbiol 82:4279–4287
Broussolle V, Alberto F, Shearman CA, Mason DR, Botella L, Nguyen-The C, Peck MW, Carlin F (2002) Molecular and physiological characterization of spore germination in Clostridium botulinum and C. sporogenes. Anaerobe 8:89–100
Cabrera-Martinez RM, Tovar-Rojo F, Vepachedu VR, Setlow P (2003) Effects of overexpression of nutrient receptors on germination of spores of Bacillus subtilis. J Bacteriol 185:2457–2464. doi:10.1128/JB.185.8.2457-2464.2003
Cava F, Lam H, de Pedro MA, Waldor MK (2011) Emerging knowledge of regulatory roles of d-amino acids in bacteria. Cell Mol Life Sci 68:817–831
Christie G, Lowe CR (2007) Role of chromosomal and plasmid-borne receptor homologues in the response of Bacillus megaterium QM B1551 spores to germinants. J Bacteriol 189:4375–4383. doi:10.1128/JB.00110-07
Downes FP, Ito K (eds) (2001) Compendium of methods for the microbiological examination of foods, 4th edn. American Public Health Association, Washington, DC, USA
Ferencko L, Cote MA, Rotman B (2004) Esterase activity as a novel parameter of spore germination in Bacillus anthracis. Biochem Biophys Res Commun 319:854–858. doi:10.1016/j.bbrc.2004.05.062
Fisher N, Hanna P (2005) Characterization of Bacillus anthracis germinant receptors in vitro. J Bacteriol 187:8055–8062
Ghosh S (2013) Understanding the mechanism of Bacillus subtilis spore germination. Doctoral Dissertation, University of Connecticut Graduate School
Hashimoto T, Frieben WR, Conti SF (1969) Germination of single bacterial spores. J Bacteriol 98:1011–1020
Hitchins AD, Kahn AJ, Slepecky RA (1968) Interference contrast and phase contrast microscopy of sporulation and germination of Bacillus megaterium. J Bacteriol 96:1811–1817
Hornstra LM, de Vries YP, Wells-Bennik MHJ, de Vos WM, Abee T (2006) Characterization of germination receptors of Bacillus cereus ATCC 14579. Appl Environ Microbiol 72:44–53. doi:10.1128/AEM
Hyatt MT, Levinson HS (1964) Effect of sugars and other carbon compounds on germination and postgerminative development of Bacillus megaterium spores. J Bacteriol 88:1403–1415
Igarashi T, Setlow B, Paidhungat M, Setlow P (2004) Effects of a gerF (lgt) mutation on the germination of spores of Bacillus subtilis. J Bacteriol 186:2984–2991. doi:10.1128/JB.186.10.2984-2991.2004
Kristin CSR (2012) Diversity in germination response among Bacillus licheniformis strains. Master thesis, Norwegian University of Life Sciences
Kumar N, Singh NA, Singh VK, Bhand S, Malik RK (2010) Development of spore inhibition based-enzyme substrate assay (SIB-ESA) for monitoring aflatoxin M1 in milk. Indian Patent Reg. No. 3064/DEL/2010: Publication No. 46/2012
Løvdal IS, From C, Madslien EH, Romundset KCS, Klufterud E, Rosnes JT, Granum PE (2012) Role of the gerA operon in l-alanine germination of Bacillus licheniformis spores. BMC Microbiol 12:1–12. doi:10.1186/1471-2180-12-34
Madslien EH, Granum PE, Blatny JM, Lindbäck T (2014) L-alanine-induced germination in Bacillus licheniformis the impact of native gerA sequences. BMC Microbiol 14:101–110. doi:10.1186/1471-2180-14-101
McCann KP, Robinson C, Sammons RL, Smith DA, Corfe BM (1996) Alanine germination receptors of Bacillus subtilis. Lett Appl Microbiol 23:290–294
Moir A (2006) How do spores germinate? J Appl Microbiol 101:526–530. doi:10.1111/j.1365-2672.2006.02885.x
Moir A, Corfe BM, Behravan J (2002) Spore germination. Cell Mol Life Sci 59:403–409. doi:10.1007/s00018-002-8432-8
Nicholson W (2002) Roles of Bacillus endospores in the environment. Cell Mol Life Sci 59:410–416. doi:10.1007/s00018-002-8433-7
Paidhungat M, Setlow P (2002) Spore germination and outgrowth. In: Sonenshein AL, Hoch JA, Losick R (eds) Bacillus subtilis and its closest relatives: from genes to cells. American Society for Microbiology, Washington
Paredes-Sabja D, Torres JA, Setlow P, Sarker MR (2008) Clostridium perfringens spore germination: characterization of germinants and their receptors. J Bacteriol 190:1190–1201
Paredes-Sabja D, Setlow P, Sarker MR (2011) Germination of spores of Bacillales and Clostridiales species: mechanisms and proteins involved. Trends Microbiol 19:85–94. doi:10.1016/j.tim.2010.10.004
Racine FM, Dills SS, Vary JC (1979) Glucose-triggered germination of Bacillus megaterium spores. J Bacteriol 138:442–445
Ramirez N, Abel-Santos E (2010) Requirements for germination of Clostridium sordellii spores in vitro. J Bacteriol 192:418–425
Ross C, Abel-Santos E (2010) The ger receptor family from sporulating bacteria. Curr Issues Mol Biol 12:47–158
Sacks LE, Thompson PA (1971) Germination requirements of Bacillus macerans spores. J Bacteriol 105:739–746
Setlow P (2003) Spore germination—review article. Curr Opin Microbiol 6:550–556
Setlow P (2013) Summer meeting 2013—when the sleepers wake: the germination of spores of Bacillus species. J Appl Microbiol 115:1251–1268. doi:10.1111/jam.12343
Setlow P, Johnson EA (2012) Spores and their significance. In: Doyle MP, Buchanan RL (eds) Food microbiology: fundamentals and frontiers, 4th edn. ASM Press, Washington
Setlow B, Peng L, Loshon CA, Li YQ, Christie G, Setlow P (2009) Characterization of the germination of Bacillus megaterium spores lacking enzymes that degrade the spore cortex. J Appl Microbiol 107:318–328. doi:10.1111/j.1365-2672.2009.04210.x
Thakur G, Yadav A, Tehri N, Kumar N, Raghu HV, Singh N, Singh VK (2013) Rapid & novel microscopy technique to detect germination initiation and specificity in Bacillus spores. Int J Res Pure Appl Microbiol 3:134–138
Vary J, Halvorson H (1965) Kinetics of germination of Bacillus spores. J Bacteriol 89:1340–1347
Zhang P, Garner W, Yi X, Yu J, Li YQ, Setlow P (2010) Factors affecting variability in time between addition of nutrient germinants and rapid dipicolinic acid release during germination of spores of Bacillus species. J Bacteriol 192:3608–3619. doi:10.1128/JB.00345-10
Zuberi AR, Moir A, Feavers IM (1987) The nucleotide sequence and gene organization of the gerA spore germination operon of Bacillus subtilis 168. Gene 51:1–11
Acknowledgements
Niche Area of Excellence (NAE) is greatly acknowledged for supporting this research work. The Director NDRI is thankfully acknowledged for institute fellowship for pursuing Ph.D. to Nimisha Tehri.
Author information
Authors and Affiliations
Corresponding author
Ethics declarations
Conflict of interest
Authors declare no conflict of interest.
Rights and permissions
About this article
Cite this article
Tehri, N., Kumar, N., Raghu, H.V. et al. Role of stereospecific nature of germinants in Bacillus megaterium spores germination. 3 Biotech 7, 259 (2017). https://doi.org/10.1007/s13205-017-0897-0
Received:
Accepted:
Published:
DOI: https://doi.org/10.1007/s13205-017-0897-0


