Skip to main content

Studies on effect of additives on protein profile, microstructure and quality characteristics of pasta

Abstract

Wheat storage proteins play a vital role in pasta making quality. In the present study, SDS-PAGE, Gel filtration chromatography and Scanning electron microscopy techniques were employed to understand the changes in the wheat protein fractions and their interactions with additives namely Sodium Steroyl Lactate (SSL), Glycerol Monostearate (GMS) and Hydroxy Propyl Methyl Cellulose (HPMC) during processing of pasta. SDS-PAGE studies indicated changes in High Molecular Weight Glutenin (HMW) fractions during drying stages of pasta preparation and in cooked pasta samples. In uncooked pasta, gel filtration patterns showed four peaks corresponding to different storage proteins whereas in the case of cooked pasta, these peaks were merged into three peaks. Pasta quality characteristics studies indicated that pasta with HPMC was found to have minimum percentage of cooking loss (5.6%), increased cooked weight (82 g), firmness (2.97 N) and high overall quality score (27) than GMS, SSL and control. Microstructure studies confirm the beneficial effect of HPMC. The present study indicated that HPMC is better additive for pasta manufacture followed by GMS. This could be due to interaction of HPMC with starch and protein matrix is different from that of GMS and SSL.

This is a preview of subscription content, access via your institution.

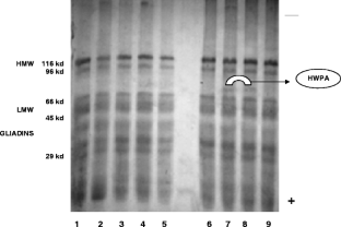
Fig. 1
Fig. 2
Fig. 3
Fig. 4
Fig. 5
Fig. 6

References

  • AACC (American Association of Cereal Chemists) (2000) Approved methods 54. St. Paul, Minnesota

    Google Scholar 

  • Anjum FM, Khan MR, Din A, Saeed M, Pasha I, Arshad U (2008) Wheat gluten: high molecular weight glutenin subunits—structure, gentics and relation to dough elasticity. J Food Sci 73:R56–R63

    Google Scholar 

  • Anton AA, Artfield SD (2008) Hydrocolloids in gluten-free breads: a review. Int J Food Sci Nutr 59:11–23

    Article  CAS  Google Scholar 

  • Barcenas ME, Rosell CM (2007) Different approaches for increasing the shelf life of partially baked bread: low temperatures and hydrocolloid addition. Food Chem 100:1594–1601

    Article  CAS  Google Scholar 

  • Collar C, Armero E, Martinez JC (1998) Lipid binding of formula bread doughs. Zeitschr Lebensmitt-Untersuch Forsch 207:110–121

    Article  CAS  Google Scholar 

  • Defloor I, De Geest C, Scheliekens M, Martens A, Delcour JA (1991) Emulsifiers and/or extruded starch in the production of breads from Cassava. Cereal Chem 68:323–327

    CAS  Google Scholar 

  • Deshmukh B, Harfmann RG, Conklin J, Turowski M, Lynch S (2007) Validation of a size exclusion liquid chromatographic method for determination of methylcellulose and hydroxypropyl methylcellulose food gums as soluble dietary fiber in food and food product. Food Chem 104:852–857

    Article  CAS  Google Scholar 

  • Feillet P, Dexter JE (1996) Quality requirements of durum wheat for semolina milling and pasta production. In: Kruger JE, Matsuo RR, Dick JW (eds) Pasta and noodle technology. AACC International, St. Paul, pp 95–131

    Google Scholar 

  • Gallagher E, Gormley TR, Arendt EK (2005) Advances in formulation gluten-free products, prepared food June 1, 2005 ( www.Preparedfoods.com/19518da26788010VgnVC )

  • Guarda A, Rosell CM, Benedito C, Galotto MJ (2004) Different hydrocolloids as bread improvers and antistaling agents. Food Hydrocoll 18:214–217

    Article  Google Scholar 

  • Henry C (1995) Monoglycerides: the universal emulsifier. Cereal Foods World 40:734–738

    CAS  Google Scholar 

  • Hu L, Hsieh F, Huff HE (1993) Corn meal extrusion with emulsifier and Soybean fiber. Lebensm Wiss Tech 26:544–551

    Article  CAS  Google Scholar 

  • ISI Indian Standard (1993) IS: 1485–1976, Specification for Macaroni, Spaghetti and Vermicelli, pp 11–12

  • Jyotsna R, Prabhasankar P, Indrani D, Venkateswara Rao G (2004) Effect of additives on the quality and microstructure of vermicelli made from Triticum aestivum. Eur Food Res Tech 218:557–562

    Article  CAS  Google Scholar 

  • Kaur L, Singh J, Singh N (2004) Effect of glycerol monostearate on the physico-chemical, thermal, rheological and noodle making properties of corn and potato starches. Food Hydrocoll 19:839–849

    Article  Google Scholar 

  • Kovacs (1992) Changes of the composition of protein fractions in wheat dough systems made with and without emulsifiers. Cereal Chem 84:630–639

    Google Scholar 

  • Malcolmson LJ, Matsuo RR, Balshaw R (1993) Textural optimization of spaghetti using response surface methodology. Cereal Chem 70:417–423

    CAS  Google Scholar 

  • Matsuo RR (1994) Durum wheat: its unique pasta making properties. In: Bushuk W, Rasper VF (eds) Wheat production, properties and quality. Blackie Academic and Professional, Glasgow, pp 174–175

    Google Scholar 

  • Matsuo RR, Irvine GN (1970) Effect of Gluten on the cooking quality of spaghetti. Cereal Chem 47:173–180

    CAS  Google Scholar 

  • Matsuo RR, Dexter JE, Boudreau A, Daun J (1986) The role of lipids in determining spaghetti-cooking quality. Cereal Chem 63:484

    Google Scholar 

  • Payne PI, Jackson EA, Holt LM (1984) The association between γ-gliadin 45 and gluten strength in durum wheat varieties. A direct causal effect on the result of genetic linkage. J Cereal Sci 2:73–81

    Article  CAS  Google Scholar 

  • Prabhasankar P (2002) Electrophoretic and immunochemical characterization of wheat protein fractions of varieties and their relationship with chapati making quality. Food Chem 78:81–87

    Article  CAS  Google Scholar 

  • Prabhasankar P, Indrani D, Jyostna R, Venkateswara Rao G (2003) Scanning electron microscopic and electrophoretic studies of the baking process of South Indian parotta—an unleavened flat bread. Food Chem 82:603–609

    Article  CAS  Google Scholar 

  • Prabhasankar P, Rajiv J, Indrani D, Venkateswara Rao G (2007) Influence of whey protein concentrate, additives, their combinations on the quality and microstructure of vermicelli made from Indian T Durum wheat variety. J Food Eng 80:1239–1245

    Article  CAS  Google Scholar 

  • Rosell CM, Collar C, Haros M (2007) Assessment of hydrocolloid effects on the thermo-mechanical properties of wheat using Mixolab. Food Hydrocolloids 21:452–462

    Google Scholar 

  • Schofield JD, Bottomley RC, Timms MF, Booth MR (1983) The effect of heat on wheat gluten and the involvement of sulfhydryl-disulphide interchange reactions. J Cereal Sci 1:241–253

    Article  CAS  Google Scholar 

  • Singh H (2005) A study of changes in wheat proteins during bread making using SE-HPLC. Food Chem 90:247–250

    Article  CAS  Google Scholar 

  • Stampfli L, Nersten B (1995) Emulsifiers in bread making. Food Chem 52:353–360

    Article  CAS  Google Scholar 

  • Stampfli L, Nersten B, Molteberg EL (1996) Effects of emulsifiers on farinograph and extensograph measurements. Food Chem 57:523–530

    Article  CAS  Google Scholar 

  • Steel RGD, Torrie JH (1960) Principles and procedures of statistics. McGraw-Hill, New York, pp 99–131

    Google Scholar 

  • Shiau SY (2004) Effect of emulsifiers on dough rheology properties and the texture of extruded noodles. J Texture Stud 35:93–110

    Article  Google Scholar 

  • Tsen C, Weber J (1981) Dough properties and proof times of yeasted doughs affected by surfactants. Cereal Chem 58:180–181

    CAS  Google Scholar 

  • Veraverbeke WS, Delcour JA (2002) Wheat protein composition and properties of wheat glutenin in relation to bread making functionality. Cri Rev Food Sci Nutr 42:179–208

    Article  CAS  Google Scholar 

  • Walsh DE, Youngs VL, Gilles KA (1970) Inhibition of durum wheat lipoxidase with L-ascorbic acid. Cereal Chem 47:119–125

    CAS  Google Scholar 

Download references

Acknowledgment

The authors are greatly indebted to Dr.G.Venkateswara Rao, Head, Flour Milling, Baking and Confectionery Technology Department for his valuable suggestions and encouragement. The authors are also indebted to Mr.K.Anbalagan Central Instrumentation Facility Services, Central Food Technological Research Institute (CFTRI), Mysore, for technical help in carrying out scanning electron microscopy. Authors thank the Director, CFTRI for encouragement and permission to publish the work.

Author information

Affiliations

Authors

Corresponding author

Correspondence to P. Prabhasankar.

Rights and permissions

Reprints and Permissions

About this article

Cite this article

Purnima, C., Ramasarma, P.R. & Prabhasankar, P. Studies on effect of additives on protein profile, microstructure and quality characteristics of pasta. J Food Sci Technol 49, 50–57 (2012). https://doi.org/10.1007/s13197-011-0258-7

Download citation

  • Revised:

  • Accepted:

  • Published:

  • Issue Date:

  • DOI: https://doi.org/10.1007/s13197-011-0258-7

Keywords

  • Pasta
  • Emulsifiers
  • Wheat proteins
  • Scanning electron microscopy
  • Electrophoresis
  • Gel filtration