Skip to main content

Infiltrating Lobular Breast Cancer Presenting as Isolated Gastric Metastasis: a Case Report

This is a preview of subscription content, access via your institution.

Fig. 1
Fig. 2
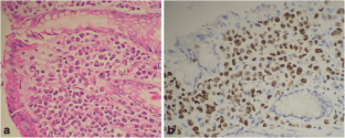
Fig. 3

References

  1. Nazareno J, Taves D, Preiksaitis HG (2006) Metastatic breast cancer to the gastrointestinal tract: a case series and review of the literature. World J Gastroenterol 12(38):6219–6224

    Article  PubMed  PubMed Central  Google Scholar 

  2. Washington K, McDonagh D (1995) Secondary tumors of the gastrointestinal tract: surgical pathologic findings and comparison with autopsy survey. Mod Pathol 8(4):427–433

    PubMed  CAS  Google Scholar 

  3. Ferlicot S, Vincent-Salomon A, Médioni J et al (2004) Wide metastatic spreading in infiltrating lobular carcinoma of the breast. Eur J Cancer 40:336–341

    Article  PubMed  CAS  Google Scholar 

  4. Arpino G, Bardou VJ, Clark GM, Elledge RM (2004) Infiltrating lobular carcinoma of the breast: tumor characteristics and clinical outcome. Breast Cancer Res 6:R149–R156

    Article  PubMed  PubMed Central  Google Scholar 

  5. Almubarak MM, Laé M, Cacheux W et al (2011) Gastric metastasis of breast cancer: a single centre retrospective study. Dig Liver Dis 43:823–827

    Article  PubMed  Google Scholar 

  6. Ciulla A, Castronovo G, Tomasello G, Maiorana AM, Russo L, Daniele E, Gaspare Geno V (2008) Gastric metastases originating from occult breast lobular carcinoma: diagnostic and therapeutic problems. World J Surg Oncol 6:78. https://doi.org/10.1186/1477-7819-6-78

    Article  PubMed  PubMed Central  Google Scholar 

  7. Bo J, Yan-ping L, Wang H-j (2014) Clinical characteristics of metastatic gastric tumors: a report of 8 cases in a single hospital. J Case Rep Stud 2(2):203

    Google Scholar 

  8. Kobayashi O, Murakami H, Yoshida T, Cho H, Yoshikawa T et al (2004) Clinical diagnosis of metastatic gastric tumors: clinicopathologic findings and prognosis of nine patients in a single cancer center. World J Surg 28(6):548–551

    Article  PubMed  Google Scholar 

  9. Rabau MY, Alon RJ, Werbin N, Yossipov Y (1988) Colonic metastases from lobular carcinoma of the breast. Report of a case. Dis Colon Rectum 31(5):401–402

    Article  PubMed  CAS  Google Scholar 

  10. Asch MJ, Wiedel PD, Habif DV (1968) Gastrointestinal metastasis from carcinoma of the breast. Arch Surg 840–843

  11. Borst MJ, Ingold JA (1993) Metastatic pattern of infiltrating lobular carcinoma versus infiltrating ductal carcinoma of the breast. Surgery 114:637–641

    PubMed  CAS  Google Scholar 

  12. McLemore EC, Pockaj BA, Revnolds C, Gray RJ, Hemandez JL, Grant CS, Donohue JH (2005) Breast cancer: presentation and 4054 intervention in women with gastrointestinal metastasis and carcinomatosis. Ann Surg Oncol 12(11):886–894

    Article  PubMed  Google Scholar 

  13. Ambroggi M, Stroppa EM, Mordenti P, Biasini C, Zangrandi A, Michieletti E, Belloni E, Cavanna L (2012) Metastatic breast cancer to the gastrointestinal tract: report of five cases and review of the literature. Int J Breast Cancer 2012:Article ID 439023 8 pages

    Article  Google Scholar 

  14. Taal BG, Peterse H, Boot H (2000) Clinical presentation, endoscopic features, and treatment of gastric metastases from breast carcinoma. Cancer 89:2214–2221

    Article  PubMed  CAS  Google Scholar 

  15. Pestalozzi BC, Zahrieh D, Mallon E et al (2008) Distinct clinical and prognostic features of infiltrating lobular carcinoma of the breast: combined results of 15 international Breast Cancer Study Group clinical trials. J Clin Oncol 26:3006–3014

    Article  PubMed  Google Scholar 

  16. Madeya S, Börsch G (1993) Gastrointestinal metastases of breast carcinoma [letter]. Gastrointest Endosc 39:103–104

    Article  PubMed  CAS  Google Scholar 

  17. Moll R et al (1993) Differential loss of E-cadherin expression in infiltrating ductal and lobular breast carcinomas. Am J Pathol 143(6):1731–1742

    PubMed  PubMed Central  CAS  Google Scholar 

  18. Siitonen SM et al (1996) Reduced E-cadherin expression is associated with invasiveness and unfavorable prognosis in breast cancer. Am J Clin Pathol 105(4):394–402

    Article  PubMed  CAS  Google Scholar 

  19. Chu PG, Weiss LM (2004) Immunohistochemical characterization of signet-ring cell carcinomas of the stomach, breast, and colon. Am J Clin Pathol 121:884–892

    Article  PubMed  Google Scholar 

  20. O’Connell FP, Wang HH, Odze RD (2005) Utility of immunohistochemistry in distinguishing primary adenocarcinomas from metastatic breast carcinomas in the gastrointestinal tract. Arch Pathol Lab Med 129:338–347

    PubMed  Google Scholar 

  21. Honma N, Takubo K, Arai T, Younes M, Kasumi F, Akiyama F, Sakamoto G (2006) Comparative study of monoclonal antibody B72.3 and gross cystic disease fluid protein-15 as markers of apocrine carcinoma of the breast. APMIS 114:712–719

    Article  PubMed  CAS  Google Scholar 

  22. van Velthuysen ML, Taal BG, van der Hoeven JJ, Peterse JL (2005) Expression of oestrogen receptor and loss of E-cadherin are diagnostic for gastric metastasis of breast carcinoma. Histopathology 46:153–157

    Article  PubMed  Google Scholar 

  23. Seevaratnam R, Coburn N, Cardoso R et al (2012) A systematic review of the indications for genetic testing and prophylactic gastrectomy among patients with hereditary diffuse gastric cancer. Gastric Cancer 15(suppl 1):S153–S163

    Article  PubMed  Google Scholar 

  24. Kluijt I, Siemerink EJ, Ausems MG et al (2012) CHD1-related hereditary diffuse gastric cancer syndrome: clinical variations and implications for counseling. Int J Cancer 131:367–376

    Article  PubMed  CAS  Google Scholar 

  25. Cheng YC, Ueno NT (2012) Improvement of survival and prospect of cure in patients with metastatic breast cancer. Breast Cancer 19(3):191–199

    Article  PubMed  Google Scholar 

  26. Friedel G, Pastorino U, Ginsberg RJ, Goldstraw P, Johnston M, Pass H et al (2002) Results of lung metastasectomy from breast cancer: prognostic criteria on the basis of 467 cases of the International Registry of Lung Metastases. Eur J Cardiothorac Surg 22:335–344

    Article  PubMed  Google Scholar 

  27. Welter S, Jacobs J, Krbek T, Tötsch M, Stamatis G (2008) Pulmonary metastases of breast cancer. When is resection indicated? Eur J Cardiothorac Surg 34:1228–1234

    Article  PubMed  Google Scholar 

  28. Zelek L, Cottu PH, Mignot L, de Roquancourt A, Fizazi K et al (2001) Gastric metastases from breast cancer: a retrospective series of 12 patients. Am J Clin Oncol 24:363–365

    Article  PubMed  CAS  Google Scholar 

  29. Rodrigues MCR, Tercioti-junior V, Lopes lr, Coelho-neto J de S, Andreollo Na. Breast cancer metastasis in the stomach: when the gastrectomy is indicated? Arq Bras Cir Dig : ABCD 2016; 29(2):86–89

  30. Cambruzzi E, Azeredo AM, Kronhart A, Foltz KM, Zettler CG, Pêgas KL (2014) The presence of metastases in regional lymph nodes is associated with tumor size and depth of invasion in sporadic gastric adenocarcinoma. Arq Bras Cir Dig 27(1):18–21

    Article  PubMed  PubMed Central  Google Scholar 

  31. Jones GE, Strauss DC, Forshaw MJ, Deere H, Mahedeva U, Mason RC (2007) Breast cancer metastasis to the stomach may mimic primary gastric cancer report of two cases and review of literature. World J Surg Oncol 5:75–75

    Article  PubMed  PubMed Central  Google Scholar 

  32. Kayilioglu SI, Akyol C, Esen E, Cansiz-Ersöz C, Kocaay KF, Genç V, Kepenekçi I, Demirer S (2014) Gastric metastasis of ectopic breast cancer mimicking axillary metastasis of primary gastric cancer. Case Rep Gastrointest Med 1:1–5

    Google Scholar 

  33. Loubna M, Mohamed el H, Tijani el H, Fouzia G, Hanane HK, Zouhour B, Asmae O (2013) Gastrointestinal metastases of breast cancer report of 2 cases. Pan Afr Med J 15:74–74

    PubMed  PubMed Central  Google Scholar 

Download references

Author information

Affiliations

Authors

Corresponding author

Correspondence to Kirti Bushan.

Rights and permissions

Reprints and Permissions

About this article

Verify currency and authenticity via CrossMark

Cite this article

Bushan, K., Kammar, P., Singh, C. et al. Infiltrating Lobular Breast Cancer Presenting as Isolated Gastric Metastasis: a Case Report. Indian J Surg Oncol 9, 318–322 (2018). https://doi.org/10.1007/s13193-017-0705-7

Download citation

  • Received:

  • Accepted:

  • Published:

  • Issue Date:

  • DOI: https://doi.org/10.1007/s13193-017-0705-7