Skip to main content

Cytoprotective and anti-diabetic effects of Derris reticulata aqueous extract

Abstract

The current study was aimed to investigate pancreatic protective and anti-diabetic activities of the aqueous extract of Derris reticulata stem. First, we evaluated a cytoprotective potential of D. reticulata extract on alloxan-induced damage in vitro. Treatment with D. reticulata extract at the doses of 250 and 500 μg/ml significantly increased cell viability of the pancreatic β-cell line RINm5F after exposure of alloxan. The anti-hyperglycemic activity of D. reticulata extract was further studied in alloxan-induced diabetic rats. A significant reduction in blood glucose level along with an increase in body weight was observed in diabetic rats treated with D. reticulata extract at 250 mg/kg body weight for 15 days. Serum aspartate transaminase and alanine transaminase levels were also significantly decreased compared to diabetic control rats. In accordance with in vitro cytoprotective effect, histopathological examination revealed that pancreatic islet cells of the extract-treated diabetic rat were less damage than those of the untreated diabetic group. In order to find another possible mechanism of action underling hypoglycemic activity, the effect on glucose absorption was examined using everted sac jejunum. The results showed that D. reticulata extract suppressed glucose absorption from small intestine. To corroborate safety use of D. reticulata extract, acute oral toxicity was also conducted in rats. Our results showed that none of the tested doses (250, 500, 1,000, and 2,000 mg/kg) induced signs of toxicity or mortality after administration of the extract. The results suggested that D. reticulata extract possess anti-diabetic activity, which resulting from its pancreatic cytoprotective effect and inhibition of intestinal glucose absorption.

This is a preview of subscription content, access via your institution.

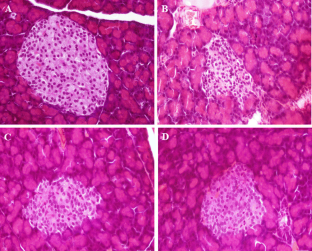
Fig. 1
Fig. 2

References

  1. Adeneye AA, Adeyemi OO (2009) Further evaluation of antihyperglycaemic activity of Hunteria umbellata (K. Schum) Hallier f. seed extract in experimental diabetes. J Ethnopharmacol 126:238–243

    PubMed  Article  Google Scholar 

  2. American Diabetes Association (2008) Diagnosis and classification of diabetes mellitus. Diabetes Care 31:S55–S60

    Article  Google Scholar 

  3. Carvalho ALN, Annoni R, Silva PRP, Borelli P, Fock RA, Trevisan MTS et al (2011) Acute, subacute toxicity and mutagenic effects of anacardic acids from cashew (Anacardium occidentale Linn.) in mice. J Ethnopharmacol 135:730–736

    PubMed  Article  CAS  Google Scholar 

  4. Ceriello A, Taboga C, Tonutti L, Quagliaro L, Piconi L, Bais B et al (2002) Evidence for an independent and cumulative effect of postprandial hypertriglyceridemia and hyperglycemia on endothelial dysfunction and oxidative stress generation: effects of short- and long-term simvastatin treatment. Circulation 106:1211–1218

    PubMed  Article  Google Scholar 

  5. Chivapat S, Chavalittumrong P, Attawish A, Soonthornchareonnon N (2009) Toxicity study of lupinifolin from stem of Derris reticulata Craib. J Thai Tradit Altern Med 7:146–155

    Google Scholar 

  6. Eliza J, Daisy P, Ignacimuthu S, Duraipandiyan V (2009) Antidiabetic and antilipidemic effect of eremanthin from Costus speciosus (Koen.)Sm., in STZ-induced diabetic rats. Chem Biol Interact 182:67–72

    PubMed  Article  CAS  Google Scholar 

  7. Gandhi GR, Ignacimuthu S, Paulraj MG (2011) Solanum torvum Swartz. fruit containing phenolic compounds shows antidiabetic and antioxidant effects in streptozotocin induced diabetic rats. Food Chem Toxicol 49:2725–2733

    PubMed  Article  CAS  Google Scholar 

  8. Jiang C, Liu S, He W, Luo X, Zhang S, Xiao Z et al (2012) A new prenylated flavanone from Derris trifoliata Lour. Molecules 17:657–663

    PubMed  Article  CAS  Google Scholar 

  9. Ju JB, Kim JS, Choi CW, Lee HK, Oh TK, Kim SC (2008) Comparison between ethanolic and aqueous extracts from Chinese juniper berries for hypoglycaemic and hypolipidemic effects in alloxan-induced diabetic rats. J Ethnopharmacol 115:110–115

    PubMed  Article  Google Scholar 

  10. Jung M, Park M, Lee HC, Kang YH, Kang ES, Kim SK (2006) Antidiabetic agents from medicinal plants. Curr Med Chem 13:1203–1218

    PubMed  Article  CAS  Google Scholar 

  11. Kasetti RB, Rajasekhar MD, Kondeti VK, Fatima SS, Kumar EGT, Swapna S et al (2010) Antihyperglycemic and antihyperlipidemic activities of methanol:water (4:1) fraction isolated from aqueous extract of Syzygium alternifolium seeds in streptozotocin induced diabetic rats. Food Chem Toxicol 48:1078–1084

    PubMed  Article  CAS  Google Scholar 

  12. Khan MR, Omoloso AD, Barewai Y (2006) Antimicrobial activity of the Derris elliptica, Derris indica and Derris trifoliata extractives. Fitoterapia 77:327–330

    PubMed  Article  CAS  Google Scholar 

  13. Kim HR, Rho HW, Park BH, Park JW, Kim JS, Kim UH et al (1994) Role of Ca2+ in alloxan-induced pancreatic β-cell damage. Biochim Biophys Acta 1227:87–91

    PubMed  Article  CAS  Google Scholar 

  14. Krisanapun C, Peungvicha P, Temsiririrkkul R, Wongkrajang Y (2009) Aqueous extract of Abutilon indicum Sweet inhibits glucose absorption and stimulates insulin secretion in rodents. Nutr Res 29:579–587

    PubMed  Article  CAS  Google Scholar 

  15. Laupattarakasem P, Houghton PJ, Hoult JRS, Itharat A (2003) An evaluation of the activity related to inflammation of four plants used in Thailand to treat arthritis. J Ethnopharmacol 85:207–215

    PubMed  Article  CAS  Google Scholar 

  16. Lenzen S (2008) The mechanisms of alloxan- and streptozotocin-induced diabetes. Diabetologia 51:216–226

    PubMed  Article  CAS  Google Scholar 

  17. OECD (2001) Acute oral toxicity - acute toxic class method. In: OECD guideline for testing of chemicals No 423. Available from http://www.oecd-ilibrary.org/environment/test-no-423-acute-oral-toxicity-acute-toxic-class-method_9789264071001-en Accessed on 10 January 2012

  18. Ramkumar KM, Lee AS, Krishnamurthi K, Devi SS, Chakrabarti T, Kang KP et al (2009) Gymnema montanum H. protects against alloxan-induced oxidative stress and apoptosis in pancreatic β-cells. Cell Physiol Biochem 24:429–440

    PubMed  Article  CAS  Google Scholar 

  19. Ramkumar KM, Manjula C, Sankar L, Suriyanarayanan S, Rajaguru P (2009) Potential in vitro antioxidant and protective effects of Gymnema montanum H. on alloxan-induced oxidative damage in pancreatic β-cells, HIT-T15. Food Chem Toxicol 47:2246–2256

    PubMed  Article  CAS  Google Scholar 

  20. Ramkumar KM, Vijayakumar RS, Ponmanickam P, Velayuthaprabhu S, Archunan G, Rajaguru P (2008) Antihyperlipidaemic effect of Gymnema montanum: a study on lipid profile and fatty acid composition in experimental diabetes. Basic Clin Pharmacol 103:538–545

    Article  CAS  Google Scholar 

  21. Randhir R, Kwon YI, Shetty K (2008) Effect of thermal processing on phenolics, antioxidant activity and health-relevant functionality of select grain sprouts and seedlings. Innov Food Sci Emerg 9:355–364

    Article  CAS  Google Scholar 

  22. Ranga Rao R, Tiwari AK, Prabhakar Reddy P, Suresh Babu K, Ali AZ, Madhusudana K et al (2009) New furanoflavanoids, intestinal α-glucosidase inhibitory and free-radical (DPPH) scavenging, activity from antihyperglycemic root extract of Derris indica (Lam.). Bioorg Med Chem 17:5170–5175

    PubMed  Article  CAS  Google Scholar 

  23. Rao SA, Srinivas PV, Tiwari AK, Vanka UMS, Rao RVS, Dasari KR et al (2007) Isolation, characterization and chemobiological quantification of α-glucosidase enzyme inhibitory and free radical scavenging constituents from Derris scandens Benth. J Chromatogr B 855:166–172

    Article  CAS  Google Scholar 

  24. Sabu MC, Kuttan R (2002) Anti-diabetic activity of medicinal plants and its relationship with their antioxidant property. J Ethnopharmacol 81:155–160

    PubMed  Article  CAS  Google Scholar 

  25. Shabeer J, Srivastava RS, Singh SK (2009) Antidiabetic and antioxidant effect of various fractions of Phyllanthus simplex in alloxan diabetic rats. J Ethnopharmacol 124:34–38

    PubMed  Article  CAS  Google Scholar 

  26. Shaw JE, Sicree RA, Zimmet PZ (2010) Global estimates of the prevalence of diabetes for 2010 and 2030. Diabetes Res Clin Pract 87:4–14

    PubMed  Article  CAS  Google Scholar 

  27. Si MM, Lou JS, Zhou CX, Shen JN, Wu HH, Yang B et al (2010) Insulin releasing and alpha-glucosidase inhibitory activity of ethyl acetate fraction of Acorus calamus in vitro and in vivo. J Ethnopharmacol 128:154–159

    PubMed  Article  Google Scholar 

  28. Sittiwet C, Puangpronpitag D (2009) Antimicrobial properties of Derris scandens aqueous extract. J Biol Sci 9:607–611

    Article  Google Scholar 

  29. Songsak T (1995) Phytochemistry of stem bark and pharmacognostic specification of Derris reticulata Craib. In: Master’s Thesis Department of Pharmacognosy, Faculty of Pharmaceutical Sciences, Chulalongkorn University, Bangkok, pp 267

  30. Stratton IM, Adler AI, Neil HAW, Matthews DR, Manley SE, Cull CA et al (2000) Association of glycaemia with macrovascular and microvascular complications of type 2 diabetes (UKPDS 35): prospective observational study. BMJ 321:405–412

    PubMed  Article  CAS  PubMed Central  Google Scholar 

  31. Szkudelski T (2001) The mechanism of alloxan and streptozotocin action in B cells of the rat pancreas. Physiol Res 50:537–546

    PubMed  CAS  Google Scholar 

  32. Valko M, Leibfritz D, Moncol J, Cronin MTD, Mazur M, Telser J (2007) Free radicals and antioxidants in normal physiological functions and human disease. Int J Biochem Cell Biol 39:44–84

    PubMed  Article  CAS  Google Scholar 

  33. Vongnam T, Wittayalertpanya S, Raungrungsi N, Limpanasithikul W (2013) Inhibitory effect of Derris reticulata ethanol extract on LPS-induced macrophage activation. Asian Biomed 7:89–95. doi:10.5372/1905-7415.0701.154

    Google Scholar 

  34. WHO (1980) Expert committee on diabetes mellitus. Technical Report Series 646. World Health Organization, Geneva, p 80

    Google Scholar 

  35. Zhang L, Yang J, Chen XQ, Zan K, Wen XD, Chen H et al (2010) Antidiabetic and antioxidant effects of extracts from Potentilla discolor Bunge on diabetic rats induced by high fat diet and streptozotocin. J Ethnopharmacol 132:518–524

    PubMed  Article  Google Scholar 

Download references

Acknowledgments

This study was financially supported by SUT Research and Development Fund, and the National Research Council of Thailand. We thank Dr. Paul J. Grote for plant botanical classification verification.

Author information

Affiliations

Authors

Corresponding author

Correspondence to Nuannoi Chudapongse.

Rights and permissions

Reprints and Permissions

About this article

Verify currency and authenticity via CrossMark

Cite this article

Kumkrai, P., Kamonwannasit, S. & Chudapongse, N. Cytoprotective and anti-diabetic effects of Derris reticulata aqueous extract. J Physiol Biochem 70, 675–684 (2014). https://doi.org/10.1007/s13105-014-0337-0

Download citation

  • Received:

  • Accepted:

  • Published:

  • Issue Date:

  • DOI: https://doi.org/10.1007/s13105-014-0337-0

Keywords

  • Derris reticulata
  • Anti-hyperglycemic
  • Alloxan
  • Diabetic rats
  • Glucose absorption
  • RINm5F cells