Skip to main content

Hypolipidemic effect of the edible mushroom Agaricus blazei in rats subjected to a hypercholesterolemic diet

Abstract

The effects of Agaricus blazei intake on the lipid profile of animals fed a hypercholesterolemic diet were evaluated. Thirty-two female Fisher rats were divided into four groups and given the standard AIN-93 M diet (C), this diet + 1 % A. blazei (CAb), a hypercholesterolemic diet with 25 % soybean oil and 1 % cholesterol (H) or this diet + 1 % A. blazei (HAb) for 6 weeks. Food intake, weight gain, liver and serum lipid profiles, activity of aminotransferases [alanine aminotransferase (ALT) and aspartate aminotransferase (AST)], and creatinine and urea levels as well as abdominal fat weight were measured. Histological analysis of kidney and liver tissue was also performed. The HAb group had a higher food intake, but a lower weight gain as compared to group H. This resulted in a significant decrease in abdominal fat weight, to values close to those of groups C and CAb. Supplementing the hypercholesterolemic diet with A. blazei promoted a significant reduction in total and non-HDL cholesterol, as well as in the atherogenic index, as compared to group H, and this effect was more pronounced in the serum. There was no hepatotoxic effect caused by the supplementation of the diets with the mushroom. We conclude that in our experimental model and in the concentration used, A. blazei was effective in improving the lipid profile of the animals.

This is a preview of subscription content, access via your institution.

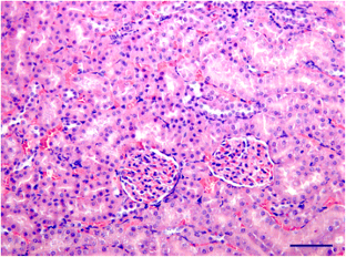
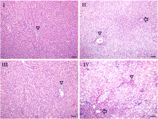
Fig. 1
Fig. 2
Fig. 3

References

  1. Aronow WS (2008) Treatment of high-risk older persons with lipid-lowering drug therapy. Am J Ther 15:102–107

    PubMed  Article  Google Scholar 

  2. Association of Official Analytical Chemists (1990) Official methods of analysis of the Association of Official Analytical Chemists. In: Kenneth Helrich (ed) Official methods of analysis of the Association of Official Analytical Chemists, 15th edn. AOAC, Arlington

  3. Berger A, Rein D, Kratky E, Monnard I, Hajjaj H, Meirim I, Piguet-Welsch C, Hauser J, Mace K, Niederberger P (2004) Cholesterol-lowering properties of Ganoderma lucidum in vitro, ex vivo, and in hamsters and minipigs. Lipids Health Dis. doi:10.1186/1476-511X-3-2

    Google Scholar 

  4. Bernardshaw S, Hetland G, Ellertsen LK, Tryggestad AM, Johnson E (2006) An extract of the medicinal mushroom Agaricus blazei Murill differentially stimulates production of proinflammatory cytokines in human monocytes and human vein endothelial cells in vitro. Inflamm 29:147–153

    Article  Google Scholar 

  5. Bobek P, Ginter E, Ozdin L (1993) Oyster mushroom (Pleurotus ostreatus) accelerates the plasma clearance of low-density and high-density lipoproteins in rats. Nutr Res 13:885–890

    Article  Google Scholar 

  6. Borchers AT, Stern JS, Hackman RM, Keen CL, Gershwin ME (1999) Mushroom, tumors, and immunity. Proc Soc Exp Biol Med 221:281–293

    CAS  PubMed  Article  Google Scholar 

  7. Bose M, Lambert JD, Ju J, Reuhl KR, Shapses SA, Yang CS (2008) The major green tea polyphenol, (−)-epigallocatechin-3-gallate, inhibits obesity, metabolic syndrome, and fatty liver disease in high-gat-fed mice. J Nutr 138:1677–1683

    CAS  PubMed Central  PubMed  Google Scholar 

  8. Canadian Council on Animal Care (CCAC) (1989) CCAC policy statement on: ethics of animal investigation. CCAC, Ottawa

  9. Chen Z, Rui Jiao KA, Ying MA (2008) Cholesterol-lowering nutraceuticals and functional foods. J Agric Food Chem 56:8761–8773

    CAS  PubMed  Article  Google Scholar 

  10. Cheung PCK (1996) The hypocholesterolemic effect of two edible mushrooms: Auricularia auricula (Tree-ear) and Tremella fuciformis (white jelly-leaf) in hypercholesterolemic rats. Nutr Res 16:1721–1725

    Article  Google Scholar 

  11. Cheung PCK (1998) Plasma and hepatic cholesterol levels and fecal neutral sterol excretion are altered in hamsters fed straw mushroom diets. J Nutr 128:1512–1516

    CAS  PubMed  Google Scholar 

  12. Connor WE, DeFrancesco CA, Connor SL (1993) N-3 fatty acids from fish oil. Effects on plasma lipoproteins and hypertriglyceridemic patients. Ann N Y Acad Sci 683:16–34

    CAS  PubMed  Article  Google Scholar 

  13. Dickel ML, Rates SM, Ritter MR (2007) Plants popularly used for loosing weight purposes in Porto Alegre, South Brazil. J Ethnopharmacol 109:60–71

    PubMed  Article  Google Scholar 

  14. Eira AF (2003) Importância dos cogumelos. Cultivo do Cogumelo Medicinal Agaricus blazei (Murrill) ss. Heinemann ou Agaricus brasiliensis (Wasser et al.). Aprenda Fácil Editora, Viçosa

  15. Esmaillzadeh A, Azadbakht L (2008) Food intake patterns may explain the high prevalence of cardiovascular risk factors among Iranian women. J Nutr 138:1469–1475

    CAS  PubMed  Google Scholar 

  16. Fernandez ML, West KL (2005) Mechanisms by which dietary fatty acids modulate plasma lipids. J Nutr 135:2075–2078

    CAS  PubMed  Google Scholar 

  17. Firenzuoli F, Gori L, Lombardo G (2008) The medicinal mushroom A. blazei: review of literature and pharmaco-toxicological problems. Evid Based Complement Alternat Med 5:3–15

    CAS  PubMed Central  PubMed  Article  Google Scholar 

  18. Folch J, Lee M, Sloane Stanley GH (1957) A simple method for isolation and purification of total lipids from animal tissues. J Biol Chem 226:497–509

    CAS  PubMed  Google Scholar 

  19. Fukushima M, Nakano M, Morii Y, Ohashi T, Fujiwara Y, Sonoyama K (2000) Hepatic LDL receptor mRNA in rats is increased by dietary mushroom (Agaricus bisporus) fiber and sugar beet fiber. J Nutr 130:2151–2156

    CAS  PubMed  Google Scholar 

  20. Gaíva MH, Couto RC, Oyama LM, Couto GE, Silveira VL, Ribeiro EB, Nascimento CM (2003) Diets rich in polyunsaturated fatty acids: effect on hepatic metabolism in rats. Nutrition 19:144–149

    PubMed  Article  Google Scholar 

  21. Gennari JL, Gennari MS, Jr Felippe J, Percário S, Barros IC (2004) Cogumelos medicinais na prevenção e no combate às doenças. In: II Simpósio Internacional sobre cogumelos no Brasil. Brasília, pp 170-175

  22. Guillamón E, García-Lafuente A, Lozano M, D'Arrigo M, Rostagno MA, Villares A, Martínez JA (2010) Edible mushrooms: role in the prevention of cardiovascular diseases. Fitoterapia 81:715–723

    PubMed  Article  Google Scholar 

  23. Gunde-Cimerman N, Cimerman A (1995) Pleurotus fruiting bodies contain the inhibitor of 3-hydroxy-3-methylglutaryl-coenzyme A reductase—lovastatin. Exp Mycol 19:1–6

    CAS  PubMed  Article  Google Scholar 

  24. Hossain S, Hashimoto M, Choudhury EK, Alam N, Hussain S, Hasan M, Choudhury SK, Mahmud I (2003) Dietary mushroom (Pleurotus ostreatus) ameliorates atherogenic lipid in hypercholesteroaemic rats. Clin Exp Pharmacol Physiol 30:470–475

    CAS  PubMed  Article  Google Scholar 

  25. Hsu CH, Hwang KC, Chiang YH, Chou P (2008) The mushroom Agaricus blazei Murill extract normalizes liver function in patients with chronic hepatitis B. J Altern Complement Med 14:299–301

    PubMed  Article  Google Scholar 

  26. Hu SH, Liang ZC, Chia YC, Lien JL, Chen KS, Lee MY, Wang JC (2006) Antihyperlipidemic and antioxidant effects of extracts from Pleurotus citrinopileatus. J Agric Food Chem 54:2103–2110

    CAS  PubMed  Article  Google Scholar 

  27. Ikeda I, Tsuda K, Suzuki Y, Kobayashi M, Unno T, Tomoyori H, Goto H, Kawata Y, Imaizumi K, Nozawa A, Kakuda T (2005) Tea catechins with a galloyl moiety suppress postprandial hypertriacyglycerolemia by delaying lymphatic transport of dietary fat in rats. J Nutr 135:155–159

    CAS  PubMed  Google Scholar 

  28. Khatun K, Mahtab H, Khanam PA, Sayeed MA, Khan KA (2007) Oyster mushroom reduced blood glucose and cholesterol in diabetic subjects. MMJ 16:94–99

    CAS  PubMed  Google Scholar 

  29. Kawamura M, Kasai H (2006) Delayed cell cycle progression and apoptosis induced by hemicellulase: treated A. blazei. Evid Based Complement Alternat Med 4:83–94

    PubMed Central  PubMed  Article  Google Scholar 

  30. Kim YW, Kim KH, Choi HJ, Lee DS (2005) Anti-diabetic activity of β-glucans and their enzymatically hydrolyzed oligosaccharides from Agaricus blazei. Biotechnol Lett 27:483–487

    CAS  PubMed  Article  Google Scholar 

  31. Kimura Y, Kido T, Takaku T, Sumiyoshi M, Baba K (2004) Isolation of an anti-angiogenic substance from A. blazei Murill: its antitumor and antimetastatic actions. Cancer Sci 95:758–764

    CAS  PubMed  Article  Google Scholar 

  32. Kubo K, Nanba H (1997) Anti-hyperliposis effect of Maitake fruit body (Grifola frondosa). I. Biol Pharm Bull 20:781–785

    CAS  PubMed  Article  Google Scholar 

  33. Li H, Zhang M, Ma G (2009) Hypolipidemic effect of the polysaccharide from Pholiota nameko. Nutrition 26:556–562

    Google Scholar 

  34. Machado DF, Ferreira CLLF, Costa NMB, Oliveira TT (2003) Evaluation of the probiotic effect in the modulation of the levels of seric cholesterol and in the weight of the liver of mices fed with rich diet in cholesterol and colic acid. Food Science and Technology 23:270–275

    Google Scholar 

  35. Manzi P, Pizzoferrato L (2000) Beta-glucans in edible mushrooms. Food Chem 68:315–318

    CAS  Article  Google Scholar 

  36. Marcil V, Delvin E, Seidman E, Poitras L, Zoltowska M, Garofalo C, Levy E (2002) Modulation of lipid synthesis, apolipoprotein biogenesis, and lipoprotein assembly by butyrate. Am J Physiol Gastrointest Liver Physiol 283:340–346

    Google Scholar 

  37. Matos SL, De Paula H, Pedrosa ML, Santos RC, Oliveira EL, Chianca DA Jr, Silva ME (2005) Dietary models for inducing hypercholesterolemia in rats. Braz Arch Biol Technol 48:203–209

    CAS  Article  Google Scholar 

  38. Melo SS, Silveira BM, Stefanes FB, Tomio TA, Tischer CA (2008) Efeito da goma arábica nas concentrações de colesterol hepático, sérico e fecal de ratos alimentados com semente de linhaça, óleo de linhaça e colesterol sintético. Alim Nutr, Araraquara 19:133–144

    CAS  Google Scholar 

  39. Mizuno T, Sakai T, Chihara G (1995) Health foods and medicinal usage of mushrooms. Food Rev Int. doi:10.1080/87559129509541020

    Google Scholar 

  40. Mori K, Kobayashi C, Tomita T, Inatomi S, Ikeda M (2008) Antiatherosclerotic effect of the edible mushrooms Pleurotus eryngii (Eringi), Grifola frondosa (Maitake), and Hypsizygus marmoreus (Bunashimeji) in apolipoprotein E-deficient mice. Nutr Res 28:335–342

    CAS  PubMed  Article  Google Scholar 

  41. Naissides M, Mamo JC, James AP, Pal S (2004) The effect of acute red wine polyphenol consumption on postprandial lipaemia in postmenopausal women. Atherosclerosis 177:401–408

    CAS  PubMed  Article  Google Scholar 

  42. Neyrinck AM, Bindels LB, De Backer F, Pachikian BD, Cani PD, Delzenne NM (2009) Dietary supplementation with chitosan derived from mushrooms changes adipocytokine profile in diet-induced obese mice, a phenomenon linked to its lipid-lowering action. Int Immunopharmacol 9:767–773

    CAS  PubMed  Article  Google Scholar 

  43. Nieminen P, Mustonen AM, Kirsi M (2005) Increased plasma creatine kinase activities triggered by edible wild mushrooms. Food Chem Toxicol 43:133–138

    CAS  PubMed  Article  Google Scholar 

  44. Nieminen P, Kärjä V, Mustonen AM (2009) Myo- and hepatotoxic effects of cultivated mushrooms in mice. Food Chem Toxicol 47:70–74

    CAS  PubMed  Article  Google Scholar 

  45. Oliveira VP (2006) Influências dos polifenóis do extrato de uva (Vitis vinifera L.) e do α-tocoferol nos fatores de riscos e na lesão aterosclerótica em camundongos Apo E −/−. Viçosa

  46. Pinto AVFS, Fontanari LM, Santos SA, Barbisan ALTS, Lorenzo JSF, Frantz FG, Kaneno R (2000) Efeitos da temperatura de preparação sobre a ação antitumoral de extratos de cogumelos comestíveis. In: Anais 52ª Reunião Anual da SBPC, Brasília, pp 38

  47. Reeves PG, Nielsen FH, Fahey GC Jr (1993) AIN-93 purified diets for laboratory rodents: final report of the American Institute of Nutrition ad hoc writing committee on the reformulation of the AIN-76A rodent diet. J Nutr 123:467–472

    Google Scholar 

  48. Sanders ME (1993) Effect of consumption of lactic cultures on health. Adv Food Nutr Res 37:92–98

    Google Scholar 

  49. Shimada Y, Morita T, Sugiyama K (2003) Eritadenine-induced alterations of plasma lipoprotein lipid concentrations and phosphatidylcholine molecular species profile in rats fed cholesterol-free and cholesterol-enriched diets. Biosci Biotechnol Biochem 67:996–1006

    CAS  PubMed  Article  Google Scholar 

  50. Sodjinou R, Agueh V, Fayomi B, Delisle H (2008) Obesity and cardio-metabolic risk factors in urban adults of Benin: Relationship with socio-economic status, urbanisation, and lifestyle patterns. BMC Public Health 8:1–13

    Article  Google Scholar 

  51. Sorimachi K, Akimoto K, Ikehara Y, Inafuku K, Okubo A, Yamazaki S (2001) Secretion of TNF-α, IL-8 and nitric oxide by macrophages activated with A. blazei fractions in vitro. Cell Struct Funct 26:103–108

    CAS  PubMed  Article  Google Scholar 

  52. Sugiyama K, Saeki S, Tanaka A, Yoshida S, Sakamoto H, Ishiguro Y (1992) Hypocholesterolemic activity of Ningyotake (Polyporus confluens) mushroom in rats. J Jpn Soc Nutr Food Sci 45:265–270

    Article  Google Scholar 

  53. Theuwissen E, Mensink RP (2008) Water-soluble dietary fibers and cardiovascular disease. Physiol Behav 94:285–292

    CAS  PubMed  Article  Google Scholar 

  54. Turkoglu A, Duru ME, Kivrak I, Gezer K (2007) Antioxidant and antimicrobial activities of Laetiporus sulphureus (Bull.) Murrill. Food Chem 101:267–273

    CAS  Article  Google Scholar 

  55. Wolever TM, Spadafora PJ, Cunnane SC, Pencharz PB (1995) Propionate inhibits incorporation of colonic [1,2-13C] acetate into plasma lipids in humans. Am J Clin Nutr 61:1241–1247

    Google Scholar 

Download references

Acknowledgments

The authors thank the Laboratory of Edible Fungi, Federal University of Lavras, Minas Gerais, Brazil, especially to Dr. Eustáquio Souza Dias who kindly provided the mushrooms, which are fundamental to the realization of this work.

Author information

Affiliations

Authors

Corresponding author

Correspondence to Aline M. de Miranda.

Rights and permissions

Reprints and Permissions

About this article

Cite this article

de Miranda, A.M., Ribeiro, G.M., Cunha, A.C. et al. Hypolipidemic effect of the edible mushroom Agaricus blazei in rats subjected to a hypercholesterolemic diet. J Physiol Biochem 70, 215–224 (2014). https://doi.org/10.1007/s13105-013-0295-y

Download citation

  • Received:

  • Accepted:

  • Published:

  • Issue Date:

  • DOI: https://doi.org/10.1007/s13105-013-0295-y

Keywords

  • Agaricus blazei
  • Cholesterol
  • Functional food
  • Hypercholesterolemia