Abstract
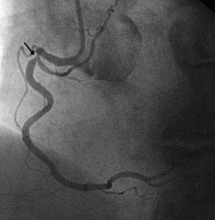
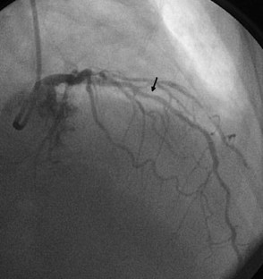
Fractional flow reserve (FFR) is a standardized and well-established method frequently used in clinical practice to evaluate the hemodynamic significance of epicardial coronary stenosis identified by coronary angiography. It is based on the change in the pressure gradient across the stenosis after the achievement of maximal hyperemia of the coronary circulation which is commonly induced by intravenous (IV) or intracoronary (IC) administration of adenosine. Here, we have described three cases of IC adenosine-induced ventricular arrhythmias during FFR measurement from our institution, and after literature review we found that all the cases of ventricular arrhythmias induced by adenosine during FFR measurement were observed where it was administered via IC route. Although a causal relationship between the use of IC adenosine during FFR measurement and the induction of ventricular arrhythmias is not yet established, we suggest using IV adenosine as the preferred route of administration until we better understand the incidence and mechanism underlying this phenomenon.









Similar content being viewed by others
References
Pijls NH, Van Gelder B, Van der Voort P, et al. Fractional flow reserve: a useful index to evaluate the influence of an epicardial coronary stenosis on myocardial blood flow. Circulation. 1995;92:3183–93.
Raffaele P, Tullio N, Giuseppe G, et al. Adenosine-induced torsade de pointes complicating a fractional flow reserve measurement in a right coronary artery intermediate stenosis. Cardiovasc Revascularization Med. 2013;14:118–20.
Shah AH, Chan W, Seidelin PH. Ventricular fibrillation precipitated by intracoronary adenosine during fractional flow reserve assessment: a cautionary tale. Heart Lung Circ. 2015;11:e173–5.
Tonino PA, De Bruyne B, Pijls NH, et al. Fractional flow reserve versus angiography for guiding percutaneous coronary intervention (FAME 1 study). N Engl J Med. 2009;360:213–24.
Eric JT, Paul ST. Textbook of interventional cardiology. 7th ed. Philadelphia: Elsevier; 2016.
Vrolix M, Piessens J, De Geest H. Torsades de pointes after intracoronary papaverine. Eur Heart J. 1991;12:273–6.
Nakayama M, Tanaka N, Sakoda K, et al. Papaverine-induced polymorphic ventricular tachycardia during coronary flow reserve study of patients with moderate coronary artery disease. Circ J. 2015;79:530–6.
Takeshi N, Yoshihide F, Yoshio K. Efficacy of combined administration of intracoronary papaverine and intravenous adenosine 5′-triphosphate in assessment of fractional flow reserve. Circ J. 2014;130:A14685.
Van der Voort PH, Van Hagen E, Hendrix G, et al. Comparison of intravenous adenosine to intracoronary papaverine for calculation of pressure-derived fractional flow reserve. Cathet Cardiovasc Diagn. 1996;39:120–5.
Leone AM, Porto I, De Caterina AR, et al. Maximal hyperemia in the assessment of fractional flow reserve: intracoronary adenosine versus intracoronary sodium nitroprusside versus intravenous adenosine: the NASCI (Nitroprussiato versus Adenosinanelle Stenosi Coronariche Intermedie) study. JACC Cardiovasc Interv. 2012;5:402–8.
De Luca G, Venegoni L, Iorio S, et al. Effects of increasing doses of intracoronary adenosine on the assessment of fractional flow reserve. JACC Cardiovasc Interv. 2011;4:1079–84.
Adjedj J, Toth GG, Johnson NP, et al. Intracoronary adenosine. Dose-response relationship with hyperemia. J Am Coll Cardiol Intv. 2015;8:1422–30.
Belardinelli L, Linden J, Berne RM. The cardiac effects of adenosine. Prog Cardiovasc Dis. 1989;32:73–97.
Schlundt C, Bietau C, Klinghammer L, et al. Comparison of intracoronary versus intravenous administration of adenosine for measurement of coronary fractional flow reserve. Circ Cardiovasc Interv. 2015;8:e001781.
De Bruyne B, Pijls NH, Kalesan B, et al. Fractional flow reserve–guided PCI versus medical therapy in stable coronary disease (FAME 2 study). N Engl J Med. 2012;367:991–1001.
Bech GJW, De Bruyne B, Pijls NH, et al. Fractional flow reserve to determine the appropriateness of angioplasty in moderate coronary stenosis: a randomized trial (DEFER study). Circulation. 2001;103:2928–34.
Goldberg S, Greenspon AJ, Urban PL, et al. Reperfusion arrhythmia: a marker of restoration of antegrade flow during intracoronary thrombolysis for acute myocardial infarction. Am Heart J. 1983;105:26–32.
Belhassen B, Pelleg A, Shoshani D, Laniado S. Atrial fibrillation induced by adenosine triphosphate. Am J Cardiol. 1984;53:1405–6.
Author information
Authors and Affiliations
Corresponding author
Ethics declarations
Conflict of interest
The authors declare that they have no conflict of interest.
Research involving human participants and/or animals
Statement of human rights For this type of study formal consent is not required.
Statement on the welfare of animals This article does not contain any studies with animals performed by any of the authors.
Informed consent
Informed consent was obtained from all individual participants included in the study.
Electronic supplementary material
Below is the link to the electronic supplementary material.
Rights and permissions
About this article
Cite this article
Patel, H.R., Shah, P., Bajaj, S. et al. Intracoronary adenosine-induced ventricular arrhythmias during fractional flow reserve (FFR) measurement: case series and literature review. Cardiovasc Interv and Ther 32, 374–380 (2017). https://doi.org/10.1007/s12928-016-0427-8
Received:
Accepted:
Published:
Issue Date:
DOI: https://doi.org/10.1007/s12928-016-0427-8


