Skip to main content

Bilateral Glandular Odontogenic Cyst of Mandible: A Rare Occurrence

Abstract

Glandular odontogenic cysts (GOCs) of the jaw are rare with well-defined limits radiologically, unusual histopathological features and a high recurrence rate. The radiographic appearance of GOCs vary and are not pathognomonic. Definitive diagnosis of the GOC is established only by histopathological examinations. Histologically, GOC is characterized by a thin nonkeratinized squamous epithelial lining, with papillary projections, nodular thickenings, mucous (goblet) cells with intraepithelial mucous pools and intraepithelial glandular, microcystic or duct-like structures. We present an unusual case of a bilateral GOC in the mandible. This case report is also the first documented case of bilateral GOC in the mandible.

This is a preview of subscription content, access via your institution.

Fig. 1
Fig. 2
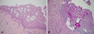
Fig. 3

References

  1. Padayachee A, Van Wyk CW (1987) Two cystic lesions with features of both the botryoid odontogenic cyst and the central mucoepidermoid tumour: sialo-odontogenic cyst? J Oral Pathol 16(10):499–504

    Article  CAS  PubMed  Google Scholar 

  2. Gardner DG, Kessler HP, Morency R, Schaffner DL (1988) The glandular odontogenic cyst: an apparent entity. J Oral Pathol 17(8):359–366

    Article  CAS  PubMed  Google Scholar 

  3. Boffano P, Cassarino E, Zavattero E, Campisi P, Garzino-Demo P (2010) Surgical treatment of glandular odontogenic cysts. J Craniofac Surg 21(3):776–780

    Article  PubMed  Google Scholar 

  4. Kaplan I, Anavi Y, Hirshberg A (2008) Glandular odontogenic cyst: a challenge in diagnosis and treatment. Oral Dis 14(7):575–581

    Article  CAS  PubMed  Google Scholar 

  5. Manor R, Anavi Y, Kaplan I, Calderon S (2003) Radiological features of glandular odontogenic cyst. Dentomaxillofac Radiol 32(2):73–79

    Article  CAS  PubMed  Google Scholar 

  6. Ertas U, Buyukkurt MC, Gungormus M, Kaya O (2003) A large glandular odontogenic cyst of the mandible: report of case. J Contemp Dent Pract 4(1):53–58

    PubMed  Google Scholar 

  7. Regezi JA (2002) Odontogenic cysts, odontogenic tumors, fibroosseous, and giant cell lesions of the jaws. Mod Pathol 15(3):331–341

    Article  PubMed  Google Scholar 

  8. Noffke C, Raubenheimer EJ (2002) The glandular odontogenic cyst: clinical and radiological features; review of the literature and report of nine cases. Dentomaxillofac Radiol 31(6):333–338

    Article  CAS  PubMed  Google Scholar 

  9. Osny FJ, Azevedo LR, Sant’Ana E, Lara VS (2004) Glandular odontogenic cyst: case report and review of the literature. Quintessence Int 35(5):385–389

    PubMed  Google Scholar 

  10. Kaplan I, Anavi Y, Manor R, Sulkes J, Calderon S (2005) The use of molecular markers as an aid in the diagnosis of glandular odontogenic cyst. Oral Oncol 41(9):895–902

    Article  CAS  PubMed  Google Scholar 

  11. Kasaboglu O, Basal Z, Usubutun A (2006) Glandular odontogenic cyst presenting as a dentigerous cyst: a case report. J Oral Maxillofac Surg 64(4):731–733

    Article  PubMed  Google Scholar 

  12. Yoon JH, Ahn SG, Kim SG, Kim J (2006) An unusual odontogenic cyst with diverse histologic features. Yonsei Med J 47(1):122–125

    Article  PubMed Central  PubMed  Google Scholar 

  13. Oliveira JX, Santos KC, Nunes FD, Hiraki KR, Sales MA, Cavalcanti MG, Marcucci M (2009) Odontogenic glandular cyst: a case report. J Oral Sci 51(3):467–470

    Article  PubMed  Google Scholar 

  14. Magnusson B, Goransson L, Odesjo B, Grondahl K, Hirsch JM (1997) Glandular odontogenic cyst. Report of seven cases. Dentomaxillofac Radiol 26(1):26–31

    Article  CAS  PubMed  Google Scholar 

  15. van Heerden WF, Raubenheimer EJ, Turner ML (1992) Glandular odontogenic cyst. Head Neck 14(4):316–320

    Article  PubMed  Google Scholar 

  16. Amberkar VS, Jahagirdar A, Ahmed Mujib BR (2011) Glandular odontogenic cyst: report of an unusual bilateral occurrence. Indian J Dent Res 22(2):364

    Article  PubMed  Google Scholar 

  17. Shen J, Fan M, Chen X, Wang S, Wang L, Li Y (2006) Glandular odontogenic cyst in China: report of 12 cases and immunohistochemical study. J Oral Pathol Med 35(3):175–182

    Article  PubMed  Google Scholar 

  18. Oliveira Neto P, Savio E, Bezerra TP, Avelar RL, Raimundo Rde C, Gomes AC, Laureano Filho JR (2010) Anterior mandibular swelling. J Oral Maxillofac Surg 68(2):436–441

    Article  PubMed  Google Scholar 

  19. Thor A, Warfvinge G, Fernandes R (2006) The course of a long-standing glandular odontogenic cyst: marginal resection and reconstruction with particulated bone graft, platelet-rich plasma, and additional vertical alveolar distraction. J Oral Maxillofac Surg 64(7):1121–1128

    Article  PubMed  Google Scholar 

  20. Cutler EC, Zollinger R (1933) The use of sclerosing solutions in the treatment of cysts and fistulae. Am J Surg 19(3):411–418

    Article  Google Scholar 

  21. Gosau M, Draenert FG, Muller S, Frerich B, Burgers R, Reichert TE, Driemel O (2010) Two modifications in the treatment of keratocystic odontogenic tumors (KCOT) and the use of Carnoy’s solution (CS)—a retrospective study lasting between 2 and 10 years. Clin Oral Investig 14(1):27–34

    Article  PubMed  Google Scholar 

  22. Lee PK, Samman N, Ng IO (2004) Unicystic ameloblastoma–use of Carnoy’s solution after enucleation. Int J Oral Maxillofac Surg 33(3):263–267

    Article  CAS  PubMed  Google Scholar 

  23. Seintou A, Martinelli-Klay CP, Lombardi T (2014) Unicystic ameloblastoma in children: systematic review of clinicopathological features and treatment outcomes. Int J Oral Maxillofac Surg 43(4):405–412

    Article  CAS  PubMed  Google Scholar 

  24. Fabrizi L, Taylor GW, Canas B, Boobis AR, Edwards RJ (2003) Adduction of the chloroform metabolite phosgene to lysine residues of human histone H2B. Chem Res Toxicol 16(3):266–275

    Article  CAS  PubMed  Google Scholar 

  25. Madhulaxmi M, Abdulwahab PU (2014) Carnoy’s solution as a surgical medicament in the treatment of keratocystic odontogenic tumour. Int J Pharm Bio Sci 5(1B):492–495

    Google Scholar 

Download references

Author information

Affiliations

Authors

Corresponding author

Correspondence to Orçun Toptaş.

Rights and permissions

Reprints and Permissions

About this article

Verify currency and authenticity via CrossMark

Cite this article

Akkaş, İ., Toptaş, O., Özan, F. et al. Bilateral Glandular Odontogenic Cyst of Mandible: A Rare Occurrence. J. Maxillofac. Oral Surg. 14, 443–447 (2015). https://doi.org/10.1007/s12663-014-0668-y

Download citation

  • Received:

  • Accepted:

  • Published:

  • Issue Date:

  • DOI: https://doi.org/10.1007/s12663-014-0668-y

Keywords

  • Glandular odontogenic cyst
  • Enucleation
  • Carnoy’s solution
  • Mandible