Skip to main content

Eagle’s Syndrome: A New Surgical Technique for Styloidectomy

Abstract

The purpose of this paper is to discuss the current diagnosis of Eagle’s syndrome (elongated styloid process) and to discuss a new and a much simpler technique for styloidectomy with an intraoral approach which can be used in local anesthesia. Easiness to perform, non-association of any anesthetic complications and avoidance of an extraoral scar dictates that this approach can be practiced much safely in patients with elongated styloid process.

This is a preview of subscription content, access via your institution.

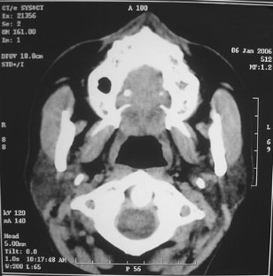
Fig. 1
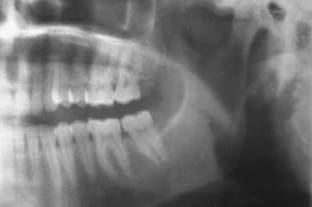
Fig. 2
Fig. 3
Fig. 4
Fig. 5
Fig. 6
Fig. 7
Fig. 8
Fig. 9
Fig. 10
Fig. 11
Fig. 12
Fig. 13

References

  1. Eagle W (1958) Elongated styloid process. Arch Otolaryngol 67:172–176

    Article  CAS  Google Scholar 

  2. Eagle WW (1937) Elongated styloid process: report of 2 cases. Arch Otolaryngol 25:584

    Article  Google Scholar 

  3. Eagle WW (1948) Elongated styloid process. Arch Otolaryngol 47:630

    Article  CAS  PubMed  Google Scholar 

  4. Eagle W (1962) The symptoms, diagnosis and treatment of the elongated styloid process. Am Surg 28:1–5

    CAS  PubMed  Google Scholar 

  5. Ying-lin Z et al (1987) Styloid process syndrome: length and palpation of the styloid process. Chin Med J 100:56–57

    Google Scholar 

  6. Lentini A et al (1975) Gli aspetti clinici e radiologici delle anomalie dell’apparato stilo-joideo. Radiol Med 61:337–364

    Google Scholar 

  7. Eagle WW (1958) Elongated styloid process: symptoms and treatment. Arch Otolaryngol 64:172

    Article  Google Scholar 

  8. Correl R, Jensen J, Taylor J, Rhyne R (1979) Mineralization of the stylohyoid–stylomandibular ligament complex: a radio-graphic incidence study. Oral Surg Oral Med Oral Pathol 48:286–291

    Article  Google Scholar 

  9. Jan A (1989) Stylohyoid syndrome (letter). JPMA 39:23

    CAS  Google Scholar 

  10. Montalbetti L, Ferrandi D, Pergami P, Savoldi F (1995) Elongated styloid process and Eagle’s syndrome. Cephalalgia 15:80–93

    Article  CAS  PubMed  Google Scholar 

  11. Birke W (1979) Therapy of the styloid syndrome. Stomatol Der DDR 26:441–444

    Google Scholar 

  12. Marano P, Fenster G, Gosselin C (1972) Eagle’s syndrome necessitating bilateral styloid amputation. Oral Surg 33:874–878

    Article  CAS  PubMed  Google Scholar 

  13. Monsour P, Young W, Barnes P (1985) Styloid–stylohyoid syndrome: a clinical update. Aust Dent J 30:341–345

    Article  CAS  PubMed  Google Scholar 

  14. Chase D et al (1986) Eagle’s syndrome: a comparison of intraoral versus extraoral surgical approaches. Oral Surg Oral Med Oral Pathol 62:625–629

    Article  CAS  PubMed  Google Scholar 

  15. Yoshimura Y, Oka M (1989) Does Eagle’s syndrome always require operative intervention for treatment? Two case reports. Cranio 7:235–238

    CAS  PubMed  Google Scholar 

  16. Watkins A (1966) Elongated styloid process and its treatment. Med J Aust 2:448–449

    CAS  PubMed  Google Scholar 

  17. Loeser L, Caldwell E (1942) Elongated styloid process: a cause of glossopharyngeal neuralgia. Arch Otolaryngol 36:198–202

    Article  Google Scholar 

  18. Riediger D, Ehrenfeld M (1989) Pathogenesis and clinical manifestation of the styloid syndromeé. Dtsch Zahnaerztl Z 44:968–970

    CAS  PubMed  Google Scholar 

  19. Strauss M, Zohar YLN (1985) Elongated styloid process syndrome: intraoral versus external approach for styloid surgery. Laryngoscope 95:976–979

    CAS  PubMed  Google Scholar 

Download references

Author information

Affiliations

Authors

Corresponding author

Correspondence to Govind Jindal.

Rights and permissions

Reprints and Permissions

About this article

Cite this article

Kapoor, V., Jindal, G. & Garg, S. Eagle’s Syndrome: A New Surgical Technique for Styloidectomy. J. Maxillofac. Oral Surg. 14, 360–365 (2015). https://doi.org/10.1007/s12663-013-0597-1

Download citation

  • Received:

  • Accepted:

  • Published:

  • Issue Date:

  • DOI: https://doi.org/10.1007/s12663-013-0597-1

Keywords

  • Eagle’s syndrome
  • Styloidectomy
  • Surgical technique