Skip to main content

Prevalence of Eimeria species in domestic chickens in Anhui province, China

Abstract

Prevalence studies can adequately assist in the design of prophylaxis strategies for disease control. Here, the prevalence of Eimeria species in chickens was investigated in Anhui province, China, from July to September 2016. A total of 171 samples were tested by microscopic examination and molecular methods. The prevalence of coccidiosis in Anhui province was found to be 87.75% (150/171). Eimeria tenella was the most prevalent species (80.67%, 121/150), and Eimeria necatrix, Eimeria mitis, Eimeria maxima, Eimeria brunetti and Eimeria acervulina were 68% (102/150), 55.33% (83/150), 54.67% (82/150), 44.67% (67/150) and 2.67% (4/150), respectively. Eimeria praecox was not detected at all. The most common combinations are E. tenella, E. maxima, E. necatrix, E. brunetti and E. mitis (26.67%, 40/150), followed by E. tenella, E. maxima and E. necatrix (19.33%, 29/150). Eimeria necatrix exhibited the highest participation in multiple infections. The results of the present study suggested that Eimeria infection is mixed, severe and widespread in chickens, Therefore, integrated strategies should be performed to prevent and control coccidial infection in chickens in Anhui province.

Introduction

Coccidiosis is caused by the protozoan parasite of the genus Eimeria spp. consisting of seven species, and is one of the most prominent problems faced by the modern poultry industry (Vrba et al. 2011). Annual global poultry production losses are consequently large and are estimated at billions of dollars (Godwin and Morgan 2014). The morbidity and mortality in chickens infected with Eimeria species can be as high as 80% (Mcdougald et al. 1997). Therefore, coccidiosis is considered to be one of the most costly diseases (Zaman et al. 2012). In the poultry industry, chickens can be infected by any of the seven Eimeria species, including Eimeria tenella (E. tenella), Eimeria maxima (E. maxima), Eimeria acervulina (E. acervulina), Eimeria necatrix (E. necatrix), Eimeria brunette (E. brunette), Eimeria mitis (E. mitis), and Eimeria praecox (E. praecox) (Shivaramaiah et al. 2014). E. tenella, E. necatrix, E. maxima, E. brunette and E. acervulina are considered to be highly pathogenic, whereas E. praecox and E. mitis are regarded as the least pathogenic (Al-Natour et al. 2002).

China is one of the three largest chicken-producing country, ranked third in exports, behind the United States and Brazil (USDA 2015). In China, the poultry industry has an important economic status throughout the entire country. The chicken industry in China is characterized by a large number of breeds and irregular managements, in contrast to the intensive breeding systems in Europe. This makes it extremely difficult to control infectious diseases in chickens such as coccidiosis. Annual economic losses due to coccidiosis were more than 73 million USD, with the drug costs of poultry producers ranging from 73 to 88 million USD. Of the total combined pharmaceutical control costs of all potential chicken diseases, coccidiosis alone accounts for 30% of the total cost (Suo 2004). Anhui is a chicken-producing province of China. However, chicken coccidiosis is one of the main diseases endangering the chicken industry due to the high morbidity and mortality rate. Therefore, this disease causes tremendous economic losses to the chicken industry very year, and is severely affected by frequent outbreaks of diseases (Shang et al. 2011).

In the face of challenges posed by coccidiosis, several clinical and epidemiological studies have been undertaken in recent years, including those in the provinces of Shandong and Heilongjiang (Sun et al. 2009; Li et al. 2009). To date, seven Eimeria species have been reported to infect chickens in China (Sun et al. 2009). Confirm whether this hypothesis is still applicable to the present condition. The purpose of the present study was to analyze the epidemiology of Eimeria species in Anhui province using molecular methods based on ITS-1 rDNA regions. The specific identification of Eimeria species is important for the diagnosis, disease control, and treatment, as well as for epidemiology and biological studies of chicken populations (Hamza et al. 2015). This data will provide critical information regarding the epidemiology of coccidian infection among domestic chickens in Anhui province.

Materials and methods

Sample collection

Fresh chicken faeces (20–45 days) were collected from 171 farms located in Feixi county (31 farms), Feidong county (28 farms), Changfeng county (32 farms), Lujiang county (31 farms), Fengtai county (28 farms) and Quanjiao county (21 farms), from July to September 2016. The breeding stock of each farm was between 5000 and 10,000 chickens. Fresh faeces were collected from the four corners and center of each chicken house in a plastic bag and homogenized thoroughly. All samples were kept in a refrigerator at 4 °C until further used.

Laboratory processing

A total of 2 g of each sample was put into 60 mL of a saturated salt solution. The suspension was filtered through gauze and centrifuged at 1500 rpm for 10 min. A wire ring was then used to obtain a sample of the liquid film for microscopic examination with light microscopy. The oocyst-positive samples were homogenized in 0.75% (w/v) physiological saline until it could be washed by 0.75% (w/v) physiological saline through a sieve covered with folded gauze into a beaker. The solids components of the filtrate were permitted to settle out by centrifugation at 3500 rpm for 10 min. The supernatant was discarded and the sediment was purified twice in a saturated saline solution by centrifugation at 1500 rpm for 10 min. The sediment was discarded and the supernatant was washed twice by centrifugation at 3500 rpm for 10 min with tenfold distilled water. The sediment containing oocysts was incubated in 2.5% (w/v) potassium dichromate on petri dishes to sporulation at 27 °C for 5 days. The sporulated oocysts were stored at 4 °C.

Microscopic examination

Oocysts from each sample were photographed using a microscope coupled Motic Images Plus 2.0ML digital camera (Motic BA 210, Motic company, Xiamen, China) and then measured for size. The morphological parameters were detected by indexes for length, width and shape.

DNA extraction

The oocysts were washed with distilled water to remove the potassium dichromate. Using 0.5 mm diameter glass beads, the samples were vortexed vigorously to rupture the walls of the oocysts. The DNA was extracted using the E.Z.N.A.Micro Elute Genomic DNA Kit (Omega, America), following the manufacturers protocol with minor modifications. We used 300 µL of the sporulated oocysts suspension, instead of feces and the vortex time was 1 min instead of 30 s. The DNA concentration was determined using a Q5000 UV–Vis spectrophotometer (Thmorgan; Quawell, USA) at 260 nm.

Molecular methods

The PCR assay was performed to detect the seven Eimeria species in a final volume of 25 µL containing 12.5 µL of 2*PCR Premix (TIANGEN® PCR Master Mix, TIANGEN, China), 20 µM of the forward primers and 20 µM of each reverse primer (Table 1), 1µL of DNA and distilled water with supplement. After an initial denaturing temperature of 95 °C for 10 min, 30 cycles of 98 °C for 30 s, 52.5–65 °C for 30 s, and 72 °C for 1 min were run, followed by a final extension at 72 °C for 1 min with improvement and optimization.

Table 1 The primers used in the first PCR assay

All PCR products were analyzed by separation on 1.5% agarose gel in TAE buffer at 100 V for 30 min, were stained with ethidium bromide, and examined under UV light.

Results

Microscopic examination

Out of the 171 poultry farms screened, 87.72% were positive for Eimeria spp. Feixi (96.77%) and Changfeng country (93.75%) had the higher infection rates of the collected samples, followed closely by Feidong (89.29%) and Lujiang country (87.10%). The prevalence in Fengtai (82.14%) and Quanjiao (71.43%), were relatively lower (Fig. 1).

Fig. 1
figure 1

Prevalence of infection with species of Eimeria in chickens in various sites in Anhui province

The morphological features of the isolated Eimeria species revealed that six different species to be present in the examined samples (E. tenella, E. necatrix, E. brunette, E. mitis, E. maxima, and E. acervulina) (Fig. 2).

Fig. 2
figure 2

Oocysts of Eimeria spp. identified in fecal samples collected from different poultry farms. a E. tenella; b E. necatrix; c E. brunette; d E. mitis; e E. Maxima; f E. acervulina

Molecular identification

All positive samples contained multiple infections, with two to five different species of Eimeria involved in the manifestation of the disease in chickens. There were no positive samples that were infected with either a single species or all seven species of Eimeria. The data revealed that E. tenella, E. necatrix, E. brunetti, E. acervulina, E. mitis, and E. maxima existed in the poultry farms of Anhui by molecular examination using a species-specific PCR assay (Fig. 3). However, the prevalence of each species varied. These findings suggest that E. tenella is the dominant species (80.67%) in Anhui province, followed by E. necatrix (68%), E. mitis (55.33%), E. maxima (54.67%), E. brunetti (44.67%), and E. acervulina (2.67%), as presented in Table 2.

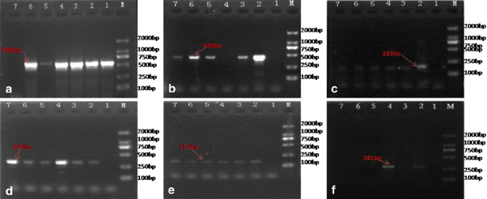
Fig. 3
figure 3

Results obtained from PCR following 1.5% agarose gel electrophoresis. Lines LM D2000 DNA marker. L1–L7 samples: a E. tenella 554 bp; b E. necatrix 450 bp; c E. brunetti 183 bp; d E. mitis 330 bp; e E. maxima 152 bp; and f E. acervulina 281 bp

Table 2 Prevalence of Eimeria spp. of chicken using PCR

The most prevalent combinations are E. tenella, E. maxima, E. necatrix, E. brunette, and E. mitis (26.67%), followed by E. tenella, E. maxima, and E. necatrix (19.33%). E. necatrix was most frequently involved in multiple infections, as shown in Table 3.

Table 3 Frequency and prevalence of chickens with a mixed infection in domestic farms

Discussion

Chickens are one of the most important food-producing animals. Chicken coccidiosis has emerged and spread rapidly worldwide, thereby posing a significant threat to the poultry industry (Ogedengbe et al. 2011). The aim of the present study was to determine the infection prevalence of Eimeria species in chickens from Anhui province, China. Hence, the determination of infection prevalence was investigated in these regions. Additionally, this study was conducted during the four months when coccidiosis has been reported to increase due to increased floor wetness and due to the more humid weather in Anhui province. The increased prevalence of disease may be correlated with the favorable ambient temperature and relatively higher humidity by promoting the oocyst sporulation and survivability (Bachaya et al. 2012).

In the present study, six species were detected in the faeces of the chickens that we investigated in Anhui Provence. E. praecox is the most frequent but also not found at all. The establishment of different anticoccidial programs could limit the occurrence of some Eimeria species more than others, causing changes in the population of these parasites (Carvalho et al. 2011). Additionally, different types animal handling practices can also affect the prevalence of Eimeria species. The overall prevalence of coccidian infection obtained in this study (87.72%), was lower than the 96% found in the Southern Region of Brazil (Moraes et al. 2015). However, it was higher than earlier reports from some areas: 81.03% in two north Indian states viz., Uttar Pradesh and Uttarakhand (Kumar et al. 2015), 31.5% in Khuzestan, southwest Iran (Hamidinejat et al. 2010), and 66.8% in Karbala and Babylon province, Iraq (Hamza et al. 2015). The higher prevalence of 87.71% in the current study reveals that the control of coccidiosis has decreased in Anhui province, especially in farms housing a large or medium number of chickens. The prevalence of Eimeria infection was the highest in the poultry farms of Feixi (96.77%) compared to the other farms. Perhaps since the poultry industry in Feixi has a long history, chickens with coccidian exhibit or develop resistance to most drugs, thereby rendering the anticoccidials inefficient and leading to clinical failure. Our results seem to agree with the observations made previously by other investigators that suggest the occurrence of mixed infection with more than one species of Eimeria is very common, and infection with E. tenella and E. necatrix are the most prevalent species worldwide (Bhaskaran et al. 2010). We found that domestic chicken farms in Anhui are populated with five species of Eimeria: E. tenella, E. maxima, E. necatrix, E. brunette, and E. mitis (23.39%), followed by E. tenella, E. maxima and E. necatrix (16.96%). Of these, E. necatrix exhibited the highest participation in multiple infections (Table 3). Specifically, the epidemic of E. necatrix and E. mitis is increasing and effort should be made to strengthen preventative measures. E. acervulina have the highest reproductive potential (Williams 2001) and in mixed infections, E. acervulina reduces the oocyst production of E. tenella, E. maxima, E. necatrix, and E. brunetti. As a result, it is difficult to find E. acervulina in mixed infections of chicken coccidiosis.

During the past decade, PCR methods based on conserved ITS1 regions of rDNA (Hamidinejat et al. 2010) were developed for the differentiation of chicken coccidian species (Kumar et al. 2014). PCR methods are used for coccidian species determination due to the high specificity and sensitivity of this assay. Traditional methods for species differentiation have proved to be an extremely subjective species identifier. In particular, all strains of both species contain subspherical oocysts, and accurate identification also requires highly trained personnel (Györke et al. 2013) and is limited by the overlap of characteristics among the different species (Haug et al. 2007). Furthermore, multiple infections with Eimeria spp. was more frequent than a single infection (Carvalho et al. 2011), thereby making it unreliable to distinguish species based on traditional methods (Aarthi et al. 2010). In our experience, diagnostic multiplex PCR systems used for the primary detection of infectious agents are more difficult to optimize, with less sensitivity and reproducibility. As a result, we chose to work with single-species PCR systems. The PCR technique we used described by Haug et al. and Myung-Jo You was specific for Eimeria species with improvement and optimization. We included primers for each of the seven species (Table 1), of which six species (E. tenella, E. acervulina, E. maxima E. necatrix, E. brunette, and E. mitis) could be reproducibly detected in this study.

To our knowledge, this is the first report on the prevalence of the chicken Eimeria species based on PCR in Anhui province. The present study provided evidence that chicken coccidia is widely prevalent in chicken farms in Anhui province, China. The high prevalence of coccidian infection in chicken farms indicates that it is necessary to carry out suitable control programs. Moreover, careful attention should be paid to highly prevalent coccidian species (i.e., E. tenella, E. necatrix, and E. brunetti) to control the outbreak of coccidiosis in chickens. Integrated strategies should be undertaken to eliminate potential risk factors in chicken farms. In conclusion, coccidiosis is a serious and economically important disease in Anhui province, and is one of the major constraints that hamper chicken production and productivity. The most significance is that vaccine development can focus on the most prevalent strains in an effort to control this disease.

References

  • Aarthi S, Raj GD, Raman M, Gomathinayagam S, Kumanan K (2010) Molecular prevalence and preponderance of Eimeria spp. among chickens in Tamil Nadu, India. Parasitol Res 107:1013–1017

    CAS  Article  PubMed  Google Scholar 

  • Al-Natour MQ, Suleiman MM, Abo-Shehada MN (2002) Flock-level prevalence of Eimeria species among broiler chicks in northern Jordan. Prev Vet Med 53:305–310

    Article  PubMed  Google Scholar 

  • Bachaya HA, Raza MA, Khan MN, Lqbal Z, Abbas RZ, Murtaza S, Badar N (2012) Predominance and detection of different Eimeria species causing coccidiosis in layer chickens. J Anim Plant Sci 22:597–600

    Google Scholar 

  • Bhaskaran MS, Venkatesan LR, Tirunelveli JH, Sriraman R (2010) Sequence diversity of internal transcribed spacer-1(ITS-1) region of Eimeria infecting chicken and its relevance in species identification from Indian field samples. Parasitol Res 106:513–521

    Article  PubMed  Google Scholar 

  • Carvalho FS, Wenceslau AA, Teixeira M, Matos Carneiro JA, Melo AD, Albuquerque GR (2011) Diagnosis of Eimeria species using traditional and molecular methods in field studies. Vet Parasitol 176:95–100

    CAS  Article  PubMed  Google Scholar 

  • Godwin RM, Morgan JAT (2014) A simple, one-tube assay for the simultaneous detection and diagnosis of ten Australian poultry Eimeria. Electrophoresis 35:494–502

    CAS  Article  PubMed  Google Scholar 

  • Györke A, Pop L, Cozma V (2013) Prevalence and distribution of Eimeria species in broiler chicken farms of different capacities. Parasite 20:50

    Article  PubMed  PubMed Central  Google Scholar 

  • Hamidinejat H, Seifiabad MR, Mayahi M, Borujeni MP (2010) Characterization of Eimeria species in commercial broilers by PCR based on ITS1 regions of rDNA. Iran J Parasitol 5:48–54

    CAS  PubMed  PubMed Central  Google Scholar 

  • Hamza DM, Al-Massodi HRH, Jeddoa ZMA (2015) Molecular detection and discrimination of three poultry Eimeria species in Karbala and Babylon province, Iraq. Int J Curr Res Rev 7:13–19

    Google Scholar 

  • Haug A, Thebo P, Mattsson JG (2007) A simplified protocol for molecular identification of Eimeria species in field samples. Vet Parasitol 146:35–45

    CAS  Article  PubMed  Google Scholar 

  • Kumar S, Garg R, Moftah A, Clark EL, Macdonald SE (2014) An optimised protocol for molecular identification of Eimeria from chickens. Vet Parasitol 199:24–31

    CAS  Article  PubMed  PubMed Central  Google Scholar 

  • Kumar S, Garg R, Ram H, Maurya PS, Banerjee PS (2015) Gastrointestinal parasitic infections in chickens of upper gangetic plains of India with special reference to poultry coccidiosis. J Parasit Dis 39:22–26

    Article  PubMed  Google Scholar 

  • Li W, Han CX, Chang D, Song MX, Lu YX (2009) Investigation of coccidia fauna in chickens in Harbin prefecture of Heilongjiang province. Chin Vet Sci 39:821–824 (in Chinese)

    Google Scholar 

  • Mcdougald LR, Fuller L, Mattiello R (1997) A survey of coccidian on poultry farms in Argentina. Avian Dis 41:923–929

    CAS  Article  PubMed  Google Scholar 

  • Moraes JC, França M, Sartor AA, Bellato V (2015) Prevalence of Eimeria spp. in broilers by multiplex PCR in the southern region of Brazil on two hundred and fifty farms. Avian Dis 59:277–281

    Article  PubMed  Google Scholar 

  • Ogedengbe JD, Hanner RH, Barta JR (2011) DNA barcoding identifies Eimeria species and contributes to the phylogenetics of coccidian parasites (Eimeriorina, Apicomplexa, Alveolata). Int J Parasitol 41:843–850

    CAS  Article  PubMed  Google Scholar 

  • Shang PP, OuYang WQ, Fu C, Liu W (2011) Reseach of the efficacy of 5% diclazuril nanoemulsion against chicken coccidiosis. J Northwest A&F Univ 39:19–23

    Google Scholar 

  • Shivaramaiah C, Barta JR, Hernandez-Velasco X (2014) Coccidiosis: recent advancements in the immunobiology of Eimeria species, preventive measures, and the importance of vaccination as a control tool against these Apicomplexan parasites. Vet Med Res Rep 5:23–34

    Google Scholar 

  • Sun XM, Pang W, Jia T, Yan WC, He G (2009) Prevalence of Eimeria species in broilers with subclinical signs from fifty farms. Avian Dis 53:301–305

    CAS  Article  PubMed  Google Scholar 

  • Suo XCJP (2004) Poultry coccidiosis. China Agricultural Press, Beijing

    Google Scholar 

  • United States Department of Agriculture (2015) Broiler meat summary selected countries. [Internet]. [cited 2015]. http://apps.fas.usda.gov/psdonline/circulars/livestock_poultry

  • Vrba V, Poplstein M, Pakandl M (2011) The discovery of the two types of small subunit ribosomal RNA gene in Eimeria mitis contests the existence of E. mivati as an independent species. Vet Parasitol 183:47–53

    CAS  Article  PubMed  Google Scholar 

  • Williams RB (2001) Quantification of the crowding effect during infections with the seven Eimeria species of the domesticated fowl: its importance for experimental designs and the production of oocyst stocks. Int J Parasitol 31:1056–1069

    CAS  Article  PubMed  Google Scholar 

  • You M-J (2014) Detection of four important Eimeria species by multiplex PCR in a single assay. Parasitol Int 63:527–532

    CAS  Article  PubMed  Google Scholar 

  • Zaman MA, Iqbal Z, Abbas RZ, Khan MN (2012) Anticoccidial activity of herbal complex in broiler chickens challenged with Eimeria tenella. Parasitology 139:237–243

    Article  PubMed  Google Scholar 

Download references

Acknowledgements

The authors sincerely acknowledge the assistance and work of members of the Pharmacology and Toxicology Laboratory at Anhui Agricultural University, as well as the regional staff and volunteers for their help in the collection of fecal samples from the areas in Anhui province.

Author information

Affiliations

Authors

Contributions

YH and MZ designed experiments; YH and XR carried out experiments; YH and LL analyzed experimental results; YH wrote the manuscript.

Corresponding author

Correspondence to Minghua Zeng.

Ethics declarations

Conflict of interest

The author(s) declared no potential conflicts of interest with respect to the research, authorship, and/or publication of this article.

Rights and permissions

Reprints and Permissions

About this article

Verify currency and authenticity via CrossMark

Cite this article

Huang, Y., Ruan, X., Li, L. et al. Prevalence of Eimeria species in domestic chickens in Anhui province, China. J Parasit Dis 41, 1014–1019 (2017). https://doi.org/10.1007/s12639-017-0927-1

Download citation

  • Received:

  • Accepted:

  • Published:

  • Issue Date:

  • DOI: https://doi.org/10.1007/s12639-017-0927-1

Keywords

  • Prevalence
  • Domestic chickens
  • Eimeria species
  • Molecular methods
  • Identification