Skip to main content

Sero-epidemiological value of some hydatid cyst antigen in diagnosis of human cystic echinococcosis

Abstract

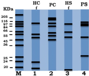
Cystic echinococcosis (CE) is a severe zoonotic disease which affects both human and animals. The disease has a considerable economic and social impact, because it has numerous complications leading to important disabilities and even death. CE is a widespread chronic endemic helminthic disease caused by infection with metacestodes of tapeworm Echinococcus granulosus. This study was conducted to diagnosis human CE by hydatid cyst antigens from camels and sheep. Hydatid fluid and protoscoleces crude antigens corresponding to camel and sheep were resolute by sodium dodecyl sulfate polyacrylamide gel electrophoresis (SDS-PAGE) under reducing conditions and the protein bands of different antigens were exposed to infected patients serum CE through western blot (WB) assay. The camel hydatid fluid antigen revealed five polypeptide bands of 18–98.8 kDa by SDS-PAGE while sheep hydatid fluid antigen revealed four polypeptide bands of 20–100 kDa. Immune reactive bands were obtained through WB ranged from 25 to 125 kDa. The study showed prominent immune reactive bands of 92, 52.2 and 35.7 kDa which may helpful in diagnosis of human CE.

This is a preview of subscription content, access via your institution.

Fig. 1
Fig. 2

References

  • Abdel-Rahman EH, Abdel-Megeed KN, Abuel-Ezz NM (2003) Cross-reaction: a common trait among helminthes. J Egypt Soc Parasitol 33:457–471

    PubMed  Google Scholar 

  • Ciobanca PT, Junie ML (2011) Diagnosis confirmation of human cystic echinococcosis by imagistic methods and immunoserological determinations. Sci Parasitol 12(3):151–161

    Google Scholar 

  • Constantea N, Ciobanca P (2007) Studiul clinic pentru imunatatirea metodelor de diagnostic de laborator si profilaxia chistului hidatic. Rev Rom Parasitol 17:48–49

    Google Scholar 

  • Derbala AA, Zayed AA (1997) Prevalence, fertility and viability of cysticercosis and hydatidosis infection in some domestic animals. J. Union Arab Biol Cairo 7A:109–123

    Google Scholar 

  • Eckert J, Deplazes P (2004) Biological, epidemiological and clinical aspects of echinococcosis, a zoonosis of increasing concern. Clin Microbiol Rev 17(1):107–135

    Article  PubMed  PubMed Central  Google Scholar 

  • El Zayyat EA, Ramzy RM, Abdel-Baki MH, Fahmi IA, Rifaat M, Helmy H, Abdel Hameed DM (1999) Human cystic echinococcosis: diagnostic value of different antigenic fractions of hydatid cyst fluid with different specific immunoglobulin G subclasses by enzyme linked immuno-electrotransfer blot. J Egypt Soc Parasitol 29:817–830

    PubMed  Google Scholar 

  • Gasser RB, Lightowlers MW, Obendorf DL, Jenkins DJ, Rickard MD (1988) Evaluation of a serological test system for the diagnosis of natural Echinococcus granulosus infection in dogs using E. granulosus protoscolex and oncosphere antigens. Aust Vet J 65:369–373

    CAS  Article  PubMed  Google Scholar 

  • Heath DD, Lawrence SB, Yong WK (1992) Echinococcus granulosus in sheep: transfer from ewe to lamb of Arc5 antibodies and onchospher-killing activity, but not protein. Int J Parasitol 22:1017–1021

    CAS  Article  PubMed  Google Scholar 

  • Hernandez A, Nieto A (1994) Induction of protective immunity against murine secondary hydatidosis. Parasite Immunol 16:527–544

    Article  Google Scholar 

  • Himonas C, Antoniadou S, Papadopoulos E (1994) Hydatidosis of food animals in Greece (prevalence of cysts containing viable protoscoleces). J Helminthol 68:311–313

    CAS  Article  PubMed  Google Scholar 

  • Huang M, Zheng H (2012) Clinical and demographic characteristics of patients with urinary tract hydatid disease. PLoS One 7(11):1–6

    Google Scholar 

  • Ito A, Urbani C, Jiamin Q, Vuitton DA, Dongchuan Q, Heath DD, Craig PS, Zheng F, Schantz PM (2003) Control of echinococcosis and cysticercosis: a public health challenge to international cooperation in China. Acta Trop 86:3–17

    Article  PubMed  Google Scholar 

  • Laemmli UK (1970) Cleavage of structural proteins during the assembly of the head of bacteriophage T4. Nature 227:680–685

    CAS  Article  PubMed  Google Scholar 

  • Logar J, Šoba B, Lejko-Zupanc T, Kotar T (2008) Serological evidence for human cystic echinococcosis in Slovenia. BMC Infect Dis 8:1–4

    Article  Google Scholar 

  • Lowry OH, Rosebrough NJ, Farr AL, Randall RJ (1951) Protein measurement with the folin phenol reagent. J Biol Chem 193:262–275

    Google Scholar 

  • Mahmoud MS, Derbala AA, El-Massry AA, Maarouf OA (2008) Sero-diagnostic potency of hydatid fluid and protoscoleces partially purified fractions of both camel and equine origin. Global Veterinaria 2(3):99–103

    Google Scholar 

  • Mandal S, Mandal MD (2012) Human cystic echinococcosis: epidemiologic, zoonotic, clinical, diagnostic and therapeutic aspects. Asian Pac J Trop Med 5(4):253–260

    Article  PubMed  Google Scholar 

  • Nasrieh MA, Abdel-Hafez SK (2004) Echinococcus granulosus in Jordan: assessment of various antigenic preparations for use in the serodiagnosis of surgically confirmed cases using enzyme immuno assays and the indirect haemagglutination test. Diagn Microbiol Infect Dis 48(2):117–123

    CAS  Article  PubMed  Google Scholar 

  • Rausch RL (1995) Life cycle patterns and geographic distribution of Echinococcus species. In: Thompson RCA, Lymbery AJ (eds) Echinococcus and hydatid disease. CAB International, Wallingford, pp 89–134

    Google Scholar 

  • Sarkari B, Sadjjadi SM, Abidi H, Izadpanah Kazemian S, Rafati A (2007) Application of western blotting using native antigen B for serodiagnosis of human echinococcosis. Iranian J Parasitol 2(3):7–12

    CAS  Google Scholar 

  • Schantz PM (1991) Parasitic zoonoses in perspective. Int J Parasitol 21(2):161–170

    CAS  Article  PubMed  Google Scholar 

  • Siracusano A, Margutti P, Delunardo F, Profumo E, Rigano R (2008) Molecular cross-talk in host-parasite relationships: the intriguing immunomodulatory role of Echinococcus antigen B in cystic echinococcosis. Int J Parasitol 38:1371–1376

    Article  PubMed  Google Scholar 

  • Tawfeek GM, Elwakil HS, Awad NS, El-Hoseiny L, Thabet HS, Sarhan RM, Darweesh SK, Anwar WA (2009) Genetic variability of antigen B among Echinococcus granulosus Egyptian isolates. Korean J Parasitol 47(3):259–264

    CAS  Article  PubMed  PubMed Central  Google Scholar 

  • Tawfeek GM, Elwakil HS, El-Hoseiny L, Thabet HS, Sarhan RM, Awad NS, Anwar WA (2011) Comparative analysis of the diagnostic performance of crude sheep hydatid cyst fluid, purified antigen B and its subunit (12 kDa), assessed by ELISA, in the diagnosis of human cystic echinococcosis. Parasitol Res 108(2):371–376

    Article  PubMed  Google Scholar 

  • Towbin H, Staehelin T, Gordon J (1979) Electrophoretic transfer of proteins from polyacrylamide gels to nitrocellulose sheets: procedure and some applications. Proc Natl Acad Sci USA 176:4350–4354

    Article  Google Scholar 

  • Wray W, Boulikas T, Wray VP, Hancock R (1981) Silver staining of proteins in polyacrylamide gels. Anal Biochem 118:197–203

    CAS  Article  PubMed  Google Scholar 

  • Youssef MR, Hosseini SH, Hassan MT (2010) Evaluation and comparison response in laboratory model to low antigen of fluid and protoscolex in hydatid cyst. Global Veterinaria 4(6):622–625

    Google Scholar 

  • Zhang Y, Bart JM, Giraudoux P, Craig P, Vuitton D, Wen H (2006) Morphological and molecular characteristics of Echinococcus multilocularis and Echinococcus granulosus mixed infection in a dog from Xinjiang. China Vet Parasitol 139(1–3):244–248

    CAS  Article  PubMed  Google Scholar 

Download references

Author information

Affiliations

Authors

Corresponding author

Correspondence to Raafat Mohamed Shaapan.

Rights and permissions

Reprints and Permissions

About this article

Cite this article

Hassanain, M.A., Shaapan, R.M. & Khalil, F.A.M. Sero-epidemiological value of some hydatid cyst antigen in diagnosis of human cystic echinococcosis. J Parasit Dis 40, 52–56 (2016). https://doi.org/10.1007/s12639-014-0443-5

Download citation

  • Received:

  • Accepted:

  • Published:

  • Issue Date:

  • DOI: https://doi.org/10.1007/s12639-014-0443-5

Keywords

  • Cystic echinococcosis (CE)
  • Human
  • Camel
  • Sheep
  • SDS-PAGE
  • Western blot (WB)