Skip to main content

Comparison of molecular and microscopic technique for detection of Theileria spp. in carrier cattle

Abstract

In Iran, theileriosis is normally diagnosed with traditional Giemsa staining method. This is not applicable for identification of the carrier animals. The aim of this study was to compare conventional Giemsa staining method with the PCR technique in the detection of Theileria organisms. In this study, examinations were performed on 150 blood samples from cattle without clinical signs. Sensitivity and specificity of 50 microscopic fields were compared with Theileria specific PCR. The degree of agreement between PCR and microscopic test was determined by Kappa (κ) values with 95 % confidence intervals. PCR showed that 42 samples were Theileria spp. positive, while routine microscopy showed erythrocytes harboring Theileria like structures in 11 blood samples. Examination of 50 microscopic fields showed 57 % sensitivity and 99 % specificity compared to 100 % sensitivity and specificity for PCR. The κ coefficient between PCR and Microscopy (50 fields) techniques indicated no level of agreement. Our results showed that the microscopic examination remains the convenient technique for day-to-day diagnosis of clinical cases in the laboratory but for the detection of carrier animal containing low parasitemia. Therefore, molecular methods such as PCR can be used as a safe method for identifying cattle persistently infected with Theileria spp.

This is a preview of subscription content, access via your institution.

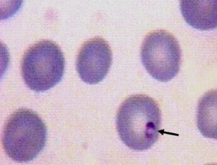
Fig. 1
Fig. 2

References

  • Altay K, Dumanli N, Holman PJ, Aktas M (2005) Detection of Theileria ovis infected sheep by nested PCR. Vet Parasitol 127:99–104

    CAS  PubMed  Article  Google Scholar 

  • Altay K, Aydın MF, Dumanli N, Aktas M (2008) Molecular detection of Theileria and Babesia infections in cattle. Vet Parasitol 158:295–301

    CAS  PubMed  Article  Google Scholar 

  • Azizi H, Shiran B, Farzaneh Dehkordi A, Salehi F, Taghadosi C (2008) Detection of Theileria annulata by PCR and its comparison with smear method in native carrier cows. Biotechnology 7:574–577

    CAS  Article  Google Scholar 

  • Cacci S, Cammà C, Onuma M, Severini C (2000) The b-tubulin gene of Babesia and Theileria parasites is an informative marker for species discrimination. Int J Parasitol 30:1181–1185

    Article  Google Scholar 

  • Friedhoff K, Bose R (1994) Recent developments in diagnostics of some tick-borne diseases. In: Uilenberg G, Permin A, Hansen JW (eds) Use of applicable biotechnological methods for diagnosing haemoparasites. Proceedings of the expert consultation, Merida, Mexico, Food and Agriculture Organisation of the United Nations (FAO), Rome, Italy, pp 46–57

    Google Scholar 

  • Gubbels JM, Katzer F, Hide G, Jongejan F, Shiels B (2000) Generation of a mosaic pattern of diversity in the major merozoites piroplasm surface antigen of Theileria annulata. Mol Biochem Parasitol 110:23–32

    CAS  PubMed  Article  Google Scholar 

  • Hashemi-Fesharki R (1988) Control of Theileria annulata in Iran. Parasitol Today 4:36–40. doi:10.1016/0169-4758(88)90062-2

    CAS  PubMed  Article  Google Scholar 

  • Kirvar E, Ilhan T, Katzer F, Hooshmand-Rad E, Zweygarth C, Gerstenberg PP, Brown CG (2000) Detection of Theileria annulata in cattle and vector ticks by PCR. Parasitol 120(3):245–254

    CAS  Article  Google Scholar 

  • Noaman V (2012) A molecular study on Theileria and Babesia in cattle from Isfahan province, Central Iran. J Parasit Dis. doi:10.1007/s12639-012-0167-3

    PubMed  Google Scholar 

  • Passos LMF, Bell-Sakyi L, Brown CGD (1998) Immunochemical characterization of in vitro culture-derived antigens of Babesia bovis and Babesia bigemina. Vet Parasitol 76:239–249

    CAS  PubMed  Article  Google Scholar 

  • Rahbari S, Nabian S, Shayan P (2007) Primary report on distribution of tick fauna in Iran. Parasitol Res 101(Suppl 2):S175–S177

    PubMed  Article  Google Scholar 

  • Salih DA, Hassan SM, El Hussein AM (2007) Comparisons among two serological tests and microscopic examination for the detection of Theileria annulata cattle in Northern Sudan. Prev Vet Med 81:323–326

    CAS  PubMed  Article  Google Scholar 

  • Shayan P, Rahbari S (2005) Simultaneous differentiation between Theileria sp. and Babesia sp. on stained blood smear using PCR. Parasitol Res 97:281–286

    PubMed  Article  Google Scholar 

  • Uilenberg G (1981) Theileria species of domestic livestock. In: Irvin AD, Cunningham MP, Young AS (eds) Advances in the Control of Theileriosis. Martinus Nijhoff, The Hague, pp 4–37

    Chapter  Google Scholar 

Download references

Acknowledgments

This work was supported by Isfahan research center for agriculture and natural resources.

Author information

Affiliations

Authors

Corresponding author

Correspondence to Vahid Noaman.

Rights and permissions

Reprints and Permissions

About this article

Cite this article

Noaman, V. Comparison of molecular and microscopic technique for detection of Theileria spp. in carrier cattle. J Parasit Dis 38, 64–67 (2014). https://doi.org/10.1007/s12639-012-0196-y

Download citation

  • Received:

  • Accepted:

  • Published:

  • Issue Date:

  • DOI: https://doi.org/10.1007/s12639-012-0196-y

Keywords

  • Theileria
  • Carrier cattle
  • Microscopic method
  • Giemsa staining
  • PCR