Abstract
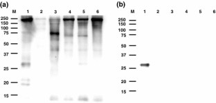
We have developed immunological probes to quantify eggs and sperm of the Black-lip pearl (BLP) oyster Pinctada margaritifera. The western blot assay revealed that the polyclonal antibodies developed in this study specifically recognized only egg and sperm proteins. These polyclonal antibodies also showed high sensitivities to the antigens, detecting 0.31–10 μg/ml of the egg or sperm proteins in an indirect enzyme-linked immunosorbent assay (ELISA). Accordingly, we used an indirect ELISA to quantify the eggs and sperm in BLP oysters collected in December 2009 from Weno Island in Micronesia and in May 2010 from Tahiti. The gonad somatic index (GSI), a ratio of gonad weight to somatic tissue weight, of the females collected from Weno Island ranged from 3.6 to 18.4 %, while the GSI of the females collected from Tahiti ranged from 5.6 to 12.6 %. Similarly, the GSI of the male BLP oysters from Weno Island ranged from 0.8 to 8.5 %, while the GSI of the males from Tahiti ranged from 4.8 to 7.5 %. These results lead to the conclusion that the immunological probes developed in this study can be successfully applied to quantify BLP oyster gonadal tissues and that these probes can be used in studies of BLP oyster reproductive ecology based on their sensitivity, rapidity, and affordability.









Similar content being viewed by others
Explore related subjects
Discover the latest articles and news from researchers in related subjects, suggested using machine learning.References
Wada TK, Tëmkin I (2008) Taxonomy and phylogeny. In: Southgate PC, Lucas JS (eds) The pearl oyster. Elsevier, Amsterdam, pp 37–75
Arnaud-Haond S, Vonau V, Bonhomme F, Boudry P, Prou J, Seaman T, Veyret M, Goyard E (2003) Spat collection of the pearl oyster (Pinctada margaritifera cumingii) in French Polynesia: an evaluation of the potential impact on genetic variability of wild and farmed populations after 20 years of commercial exploitation. Aquaculture 219:181–192
Pouvreau S, Gangnery A, Tiapari J, Lagarde F, Garnier M, Bodoy A (2000) Gametogenic cycle and reproductive effort of the tropical blacklip pearl oyster, Pinctada margaritifera (Bivalvia: Pteriidae), cultivated in Takapoto Atoll (French Polynesia). Aquat Living Res 13:37–48
Kang DH, Park HS, Yi SK, Choi KS (2005) Reproductive condition of the tropical blacklip pearl oyster, Pinctada margaritifera (Linnaeus 1758) from Chuuk Lagoon, Federated State of Micronesia during the summer months in 2003 (in Korean with English abstract). Ocean Polar Res 27:351–358
Ellis S, Haws M (1999) Producing pearls using the black-lip pearl oyster (Pinctada margaritifera). Center for Tropical and Subtropical Aquaculture Publication 141. Center for Tropical and Subtropical Aquaculture, Waimanalo
Park KI, Choi KS (2004) Application of enzyme-linked immunosorbent assay for studying of reproduction in the Manila clam Ruditapes philippinarum (Mollusca: Bivalvia): I. Quantifying eggs. Aquaculture 241:667–687
Le Moullac G, Tiapari J, Teissier H, Martinez E, Cochard JC (2012) Growth and gonad development of the tropical black-lip pearl oyster, Pinctada margaritifera (L.), in the Gambier archipelago (French Polynesia). Aquac Int 20:305–315
Uddin MJ, Yang HS, Park KJ, Kang CK, Kang HS, Choi KS (2012) Annual reproductive cycle and reproductive efforts of the Manila clam Ruditapes philippinarum in Incheon Bay off the west coast of Korea using a histology–ELISA combined assay. Aquaculture 364–365:25–32
Joaquim S, Matias D, Lopes B, Arnold WS, Gaspar MB (2008) The reproductive cycle of white clam Spisula solida (L.) (Mollusca: Bivalvia): implications for aquaculture and wild stock management. Aquaculture 281:43–48
Limpanont Y, Yang HS, Park KI, Choi KS (2011) First report on the annual gametogenesis of Heteromacoma irus (Hanley, 1845) in a rocky intertidal area, northern Jeju Island, Korean. J Shellfish Res 30(1):39–46
Gosling EM (2003) Bivalve molluscs: biology, ecology and culture. Fishing News Book, Oxford
Choi KS, Lewis DH, Powell EN, Ray SM (1993) Quantitative measurement of reproductive output in the American oysters, Crassostrea virginica, using and enzyme-linked immunosorbent assay (ELISA). Aquac Fish Manag 24:375–398
Kang SG, Choi KS, Bulgakov AA, Kim Y, Kim SY (2003) Enzyme-linked immunosorbent assay (ELISA) used in quantification of reproductive output in the pacific oyster, Crassostrea gigas, in Korea. J Exp Mar Biol Ecol 282:1–21
Long WC, Bromage E, Seitz RD, Kaattari S (2008) Quantifying fecundity in Macoma balthica using an enzyme-linked immunosorbent assay (ELISA). Aquat Biol 3:187–193
Suzuki T, Hara A, Yamaguchi K, Mori K (1992) Purification and immunolocalization of a vitellin-like protein from the Pacific oyster Crassostrea gigas. Mar Biol 113:239–245
Bon E, Barbe U, Rodriguez JN, Cuisset B, Pelissero C, Sumpter JP, Le Menn F (1997) Plasma vitellogenin levels during the annual reproductive cycle of the female rainbow trout (Oncorhynchus mykiss): establishment and validation of an ELISA. Comp Biochem Physiol Part B 117:75–84
Fukada H, Hiramatsu N, Gen K, Hara A (1997) Development of an ELISA for chum salmon (Oncorhynchus keta) growth hormone. Comp Biochem Physiol Part B 117:387–392
Chen L, Jiang H, Zhou Z, Li K, Li K, Deng GY, Liu Z (2004) Purification of vitellin from the ovary of Chinese mitten-handed crab (Eriocheir sinensis) and development of an antivitellin ELISA. Comp Biochem Physiol Part B 138:305–311
Roy RL, Morin Y, Courtenay SC, Robichaud P (2004) Purification of vitellogenin from smooth flounder (Pleuronectes putnami) and measurement in plasma by homologous ELISA. Comp Biochem Physiol Part B 139:235–244
Leung MYK, Ho WKK (2006) Production, characterization and applications of mouse anti-grass carp (Ctenopharyngodon idellus) growth hormone monoclonal antibodies. Comp Biochem Physiol Part B 143:107–115
Park KI, Choi JW, Choi KS (2003) Quantification of reproductive output of the butter clam, Saxidomus purpuratus (Sowerby, 1852) using enzyme-linked immunosorbent assay (ELISA). Ocean Polar Res 25:249–256
Park KI, Choi JW, Choi KS (2005) Development of a Saxidomus purpuratus (Mollusca: Bivalvia) egg-specific antibody for the quantification of eggs using an enzyme-linked immunosorbent assay. J Shellfish Res 24:1079–1086
Royer J, Sequineau C, Park KI, Pouvreau S, Choi KS, Costil K (2008) Gametogenetic cycle and reproductive effort assessed by two methods in 3 age classes of Pacific oyster, Crassostrea gigas, reared in Normandy. Aquaculture 277:313–320
Mondol MR, Kim CW, Kim BK, Kang CK, Choi KS (2012) Early growth and reproduction of hatchery-produced Pacific oyster Crassostrea gigas in Gamakman Bay off the southern coast of Korea. Fish Sci 78:1285–1292
Taylor KACC (1995) A modification of the phenol sulfuric acid method of total sugar determination. Appl Biochem Biotechnol 53:207–214
Lowry OH, Rosebrough NJ, Farr AL, Randall RJ (1951) Protein measurement with the Folin phenol reagent. J Biol Chem 10:203–206
Bligh EG, Dyer WF (1959) A rapid method of total lipid extraction and purification. Can J Biochem Physiol 37:911–917
Fuchs S, Sela M (1979) Immunoadsorbents. In: Weir DM (ed) Handbook of experimental immunology, immunochemistry, vol 1. Blackwell, Philadelphia, pp 16.1–16.5
Laemmli UK (1970) Cleavage of structural proteins during the assembly of the head of bacteriophage T4. Nature 277:680–685
Saucedo PE, Southgate PC (2008) Reproduction, development and growth. In: Southgate PC, Lucas JS (eds) The pearl oyster. Elsevier, Amsterdam, pp 131–186
Devauchelle N, Mingant C (1991) Review of the reproductive physiology of the scallop, Pecten maximus, applicable to intensive aquaculture. Aquat Living Res 4:41–51
Lee RF, Heffernan PB (1991) Lipids and proteins in eggs of eastern oysters (Crassostrea virginica (GNELIN, 1791)) and northern quahogs (Mercenaria mercenaria (Linnaeus, 1758)). J Shellfish Res 10:203–206
Massapina C, Joaquim S, Matias D, Devauchelle N (1999) Oocyte and embryo quality in Crassostrea gigas (Portuguese strain) during a spawning period in Algarve, South Portugal. Aquat Living Res 12(5):327–333
Osada M, Unuma T, Mori K (1992) Purification and characterization of a yolk protein from the scallop ovary. Nippon Suisan Gakkaishi 58:2283–2289
Kingtong S, Kellner K, Bernay B, Goux D, Sourdaine P, Berthelin CH (2013) Proteomic identification of protein associated to mature spermatozoa in the Pacific oyster Crassostrea gigas. J Proteomics 82:81–91
Cáceres-Puig JI, Cáceres-Martínez C, Saucedo PE (2009) Annual reproductive effort of pacific winged pearl oyster Pteria sterna and its relation with the timing for planning pearl seeding operations. J Shellfish Res 28:471–476
Hart AM, Friedman KJ (2004) Mother-of-pearl shell (Pinctada maxima): stock evaluation for management and future harvesting in Western Australia. FRDC Project 1998/153. Fisheries Research Contract Report No. 10. Western Australian Department of Fisheries, Perth
Alansari AA, Shams AJ, Aldaggal AA (1994) Trial production of pearl oyster of Pinctada radiata trochophore larvae for use as larval food. Minister of Commerce and Agriculture Directorate of Fisheries National Mariculture Center, Bahrain
Ehteshami F, Christianus A, Rameshi H, Harmin SA, Saad CR (2010) The effects of dietary supplements of polyunsaturated fatty acid on pearl oyster, Pinctada margaritifera L., gonad composition and reproductive output. Aquac Res 42:613–622
Loosanoff VL, Davis HC (1963) Rearing of bivalve mollusks. Adv Mar Biol 1:1–136
Galtsoff PS (1964) The American oyster Crassostrea virginica Gmelin. Fish Bull 64:1–479
Helm MM, Bourne N, Lovatelli A (ed) (2004) Hatchery culture of bivalves: a practical manual. FAO Fisheries Technical Paper No 471. FAO, Rome
Mies M, Braga F, Scozzafave SS, Sumida PYG, Lemos D (2013) Successful spawning and a possible solution for broodstock mortality in giant clams (Tridacnidae): a neurotransmitter injection through the byssal orifice. Aquac Res 44:671–676
Acknowledgments
This study was supported by International collaboration Study (PM55800) of the Korea Institute of Ocean Science and Technology (KIOST) grant funded by the Korea Government Ministry of Ocean and Fisheries. The authors also deeply appreciate financial support from KIOST (PE99161).
Author information
Authors and Affiliations
Corresponding author
Rights and permissions
About this article
Cite this article
Jeung, HD., Kang, DH., Park, HS. et al. Quantification of eggs and sperm in the Black-lip pearl oyster Pinctada margaritifera using an enzyme-linked immunosorbent assay (ELISA). Fish Sci 80, 451–462 (2014). https://doi.org/10.1007/s12562-014-0706-1
Received:
Accepted:
Published:
Issue Date:
DOI: https://doi.org/10.1007/s12562-014-0706-1


