Abstract
Human papillomaviruses (HPVs) are extremely widespread throughout the world. There are more than 100 types of HPVs, of which at least 14 types represent high oncogenic risk viruses (World Health Organization, 2020). Numerous attempts were made to analyze various water sources in order to (i) reveal the presence of DNA of pathogenic human papillomaviruses in them and (ii) assess the potential risks of occurrence of epidemics caused by HPV. With time, the necessity to solve these important problems stimulated the formation of a new direction in the world medical and environmental investigations.
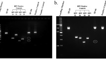
This paper contains the investigation of the presence of DNA of highly dangerous types of human papillomaviruses (HPV6, HPV11, HPV16 and HPV18) in water bodies of the Baikal natural territory, in particular in the water reservoirs in and near the villages of Listvyanka, Bolshiye Koty, Kultuk and the cities of Baikalsk and Slyudyanka. In course of our work, the conditions good for the study of the biological material obtained from water samples by the PCR technique to reveal the presence of DNA of HPV6, HPV11, HPV16 and HPV18 papillomaviruses were chosen. PCR analysis was conducted with the aid of both the already well-known universal primers GP5 + /6 + and the primers developed by our team to be applied to the conservative domains of nucleotide sequences encoding the main capsid protein L1 of human papillomaviruses HPV6, HPV11 (these types of the virus contribute to the occurrence of anogenital condylomatosis and the development of respiratory papillomatosis) and HPV16, HPV16 (these types of virus contribute to the occurrence of cervical cancer).
The analyzes conducted by our team have revealed the presence of DNA of the four types of HPVs (6, 11, 16 and 18) in the samples taken from various water sources of the Baikal natural territory.

Similar content being viewed by others
Explore related subjects
Discover the latest articles and news from researchers in related subjects, suggested using machine learning.Data Availability
The datasets generated during and/or analysed during the current study are available from the corresponding author on reasonable request.
References
Bonadonna, L., & La Rosa, G. A. (2019). Review and update on waterborne viral diseases associated with swimming pools. International Journal of Environmental Research and Public Health. https://doi.org/10.3390/ijerph16020166
Cantalupo, P. G., Calgua, B., Zhao, G., Hundesa, A., Wier, A. D., Katz, J. P., Grabe, M., Hendrix, R. W., Girones, R., Wang, D., & Pipas, J. M. (2011). Raw sewage harbors diverse viral populations. Mbio. https://doi.org/10.1128/mBio.00180-11
de Roda Husman, A. M., Walboomers, J. M., van den Brule, A. J., Meijer, C. J., & Snijders, P. J. (1995). The use of general primers GP5 and GP6 elongated at their 3 ends with adjacent highly conserved sequences improves HPV detection. Journal of General Virology, 76(40), 1057–1062. https://doi.org/10.1099/0022-1317-76-4-1057
Di Bonito, P., Iaconelli, M., Gheit, T., Tommasino, M., Della, L. S., Bonadonna, L., & La Rosa, G. (2017). Detection of oncogenic viruses in water environments by a Luminex-based multiplex platform for high throughput screening of infectious agents. Water Research, 123(4), 549–555. https://doi.org/10.1016/j.watres.2017.06.088
Di Bonito, P., Libera, S. D., Petricca, S., Iaconelli, M., Sanguinetti, M., Graffeo, R., Accardi, L., & La Rosa, G. (2015). A large spectrum of alpha and beta papillomaviruses are detected in human stool samples. Journal of General Virology, 96(3), 607–613. https://doi.org/10.1099/vir.0.071787-0
Fratini, M., Di Bonito, P., & La Rosa, G. (2014). Oncogenic papillomavirus and polyomavirus in water environments: is there a potential for waterborne transmission? Food and Environmental Virology, 6(1), 1–12. https://doi.org/10.1007/s12560-013-9134-0
Hamza, H., & Hamza, I. A. (2018). Oncogenic papillomavirus and polyomavirus in urban sewage in Egypt. Science of the Total Environment, 610–611(23), 1413–1420. https://doi.org/10.1016/j.scitotenv.2017.08.218
Iaconelli, M., Petricca, S., Libera, S. D., Di Bonito, P., & La Rosa, G. (2015). First detection of human papillomaviruses and human polyomaviruses in river waters in Italy. Food and Environmental Virology, 7(4), 309–315. https://doi.org/10.1007/s12560-015-9203-7
Itarte, M., Sandra, M.-P., Forés, E., Hundesa, A., Timoneda, N., Bofill-Mas, S., Girones, S., & Rusiñol, M. (2021). NGS techniques reveal a high diversity of rna viral pathogens and papillomaviruses in fresh produce and irrigation water. Foods. https://doi.org/10.3390/foods10081820
La Rosa, G., Fratini, M., Accardi, L., D’Oro, G., Libera, S. D., Muscillo, M., & Di Bonito, P. (2013). Mucosal and cutaneous human papillomaviruses detected in raw sewages. PLoS ONE, 8(1), e52391. https://doi.org/10.1371/journal.pone.0052391
La Rosa, G., Libera, S. D., Petricca, S., Iaconelli, M., Briancesco, R., Paradiso, R., Semproni, M., Di Bonito, P., & Bonadonna, L. (2015). First detection of papillomaviruses and polyomaviruses in swimming pool waters: Unrecognized recreational water-related pathogens? Journal of Applied Microbiology, 119(6), 1683–1691. https://doi.org/10.1111/jam.12925
McLaughlin-Drubin, M., & Munger, K. (2009). Oncogenic activities of human papillomaviruses. Virus Research, 143(2), 195–208. https://doi.org/10.1016/j.virusres.2009.06.008
Meyers, J., Ryndock, E., Conway, M. J., Meyers, C., & Robison, R. (2014). Susceptibility of high-risk human papillomavirus type 16 to clinical disinfectants. Journal of Antimicrobial Chemotherapy, 69(6), 1546–1550. https://doi.org/10.1093/jac/dku006
Nehal, I. A., Elmahdy, M. E., Abdo, K. A., El-Chaimaa, B. M., Samah, A. L., Ahmed, B., & Mohamed, A. A. (2019). Prevalence of human polyomavirus and papillomavirus in wastewater and in stool of Egyptian patients. Egyptian Journal of Aquatic Biology and Fisheries. https://doi.org/10.21608/EJABF.2019.29237
Ryndock, E. J., & Meyers, C. (2014). A risk for non-sexual transmission of human papillomavirus? Expert Review of Anti-Infective Therapy, 12(10), 1165–1170. https://doi.org/10.1586/14787210.2014.959497
Stolbikov, A. S., Salyaev, R. K., & Rekoslavskaya, N. I. (2021). Development and testing of procedures for detecting HPV 6 and HPV 16 DNA in water samples. Izvestiya Vuzov Prikladnaya Khimiya i Biotekhnologiya, 11(4), 540–548. https://doi.org/10.21285/2227-2925-2021-11-4-540-548
Symonds, E. M., Griffin, D. W., & Breitbart, M. (2009). Eukaryotic viruses in wastewater samples from the United States. Applied and Environmental Microbiology, 75(5), 1402–1409. https://doi.org/10.1128/AEM.01899-08
Venceslau, E. M., Bezerra, M. M., MotaLopes, A. C., Souza, É. V., Onofre, A. S. C., de Melo, C. M., de SierpeJeraldo, V. L., & Onofre, F. B. D. M. (2014). HPV detection using primers MY09/MY11 and GP5+/GP6+ in patients with cytologic and/or colposcopic changes. Brazilian Journal of Pathology and Laboratory Medicine, 50(4), 280–285. https://doi.org/10.5935/1676-2444.20140028
World Health Organization. (2020, November 11). Human papillomavirus (HPV) and cervical cancer. Retrieved January 17, 2022, from https://www.who.int/news-room/fact-sheets/detail/human-papillomavirus-(hpv)-and-cervical-cancer. Accessed January 17, 2022.
Acknowledgements
This work was supported by RFBR and the Government of the Irkutsk Region, Grant number 20–44-380001. The reported study was funded by RFBR and the Government of the Irkutsk Region, project number 20–44-380001.
Author information
Authors and Affiliations
Corresponding author
Ethics declarations
Conflict of interest
The authors have no relevant financial or non-financial interests to disclose. The authors have no competing interests to declare that are relevant to the content of this article. All the authors certify that they have no affiliations with or involvement in any organization or entity with any financial interest or non-financial interest in the subject matter or materials discussed in this manuscript.
Additional information
Publisher's Note
Springer Nature remains neutral with regard to jurisdictional claims in published maps and institutional affiliations.
Rights and permissions
Springer Nature or its licensor holds exclusive rights to this article under a publishing agreement with the author(s) or other rightsholder(s); author self-archiving of the accepted manuscript version of this article is solely governed by the terms of such publishing agreement and applicable law.
About this article
Cite this article
Stolbikov, A.S., Salyaev, R.K., Nurminsky, V.N. et al. Investigation of the Presence of DNA of Highly Pathogenic Human Papillomaviruses in Water Bodies of the Lake Baikal Natural Territory. Food Environ Virol 14, 258–266 (2022). https://doi.org/10.1007/s12560-022-09529-w
Received:
Accepted:
Published:
Issue Date:
DOI: https://doi.org/10.1007/s12560-022-09529-w


