Skip to main content

Symptomatic pectus excavatum in seniors (SPES): a cardiovascular problem?

A prospective cardiological study of 42 senior patients with a symptomatic pectus excavatum

Abstract

Objectives

There is no consensus among physicians as to whether or not pectus excavatum can produce symptoms sometimes even severe enough to justify a surgical procedure. The aim of this study was to assess the prevalence and severity of complaints and symptoms of senior patients with a pectus excavatum and to evaluate the results of surgical correction of the chest deformation.

Design

This is a prospective clinical study, case series.

Participants

The participants are 42 senior patients with a pectus excavatum and somatic complaints.

Methods

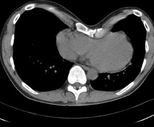
Cardiological screening included medical history taking, physical examination, electrocardiography, transthoracic echocardiography and treadmill cardiography. Complaints, symptoms and test results were arranged in a clinical score. Indication for a therapeutic surgical correction by a modified Ravitch operation was a high clinical score in combination with radiological evidence of cardiac compression on CT or MRI.

Results

The clinical picture of the 42 senior patients with a pectus excavatum showed complaints of fatigue and low exercise tolerance, shortness of breath, palpitations, inspiratory obstruction and sometimes chest discomfort or pain. The serious and sometimes invalidating complaints of 19 patients (45%) had started only in their fourth or fifth decade of life and were labelled in 12 patients (63%) as ‘Unexplained cardiovascular complaints’. To date, 11 patients have undergone surgical procedures. Symptoms were reduced substantially or had disappeared completely. All patients indicated that their health-related quality of life was significantly improved.

Conclusion

Recognising the clinical picture of SPES is relevant because surgical reconstruction of the chest can provide substantial relief of symptoms.

This is a preview of subscription content, access via your institution.

Fig. 1
Fig. 2
Fig. 3
Fig. 4

References

  1. Crump HW. Pectus excavatum—pathophysiology, clinical presentation, surgical repair. Am Fam Physician. 1992;46:173–9.

    PubMed  CAS  Google Scholar 

  2. Koumbourlis AC. Pectus excavatum. Pathophysiology and clinical characteristics. Paediatr Respir Rev. 2009;10:3–6.

    PubMed  Article  Google Scholar 

  3. Fonkalsrud EW. Open pectus excavatum repairs. Changing trends, lessons learned. One surgeon’s experience. World J Surg. 2009;33:180–90.

    PubMed  Article  Google Scholar 

  4. Jaroszewski DE, Fonkalsrud EW. Repair of pectus chest deformities in 320 adult patients: 21 year experience. Ann Thorac Surg. 2007;84:429–33.

    PubMed  Article  Google Scholar 

  5. Goretsky MJ, Kelly RE, Croitoru D, Nuss D. Chest wall anomalies. Pectus excavatum and pectus carinatum Adolesc Med. 2004;15(3):455–71.

    Article  Google Scholar 

  6. Mansour KA, Thourani VH, Odessey EA, Durham MM, Miller JI. Thirty-year experience with repair of pectus deformities in adults. Ann Thorac Surg. 2003;76:391–5.

    PubMed  Article  Google Scholar 

  7. Kelly RE, Shamberger RC, Mellins RB, et al. Prospective multicenter study of surgical correction of pectus excavatum: design, perioperative complications, pain, and baseline pulmonary function. Facilitated by internet-based data collection. J Am Coll Surg. 2007;205:205–16.

    PubMed  Article  Google Scholar 

  8. Malek MH, Berger DE, Marelich WD, Coburn JW, Beck TW, Housh TJ. Pulmonary function following surgical repair of pectus excavatum. A metaanalysis. Eur J Cardiothorac Surg. 2006;30(4):637–43.

    PubMed  Article  Google Scholar 

  9. Malek MH, Berger DE, Housh TJ, Marelich WD, Coburn JW, Beck TW. Cardiovascular function following surgical repair of pectus excavatum. A metaanalysis. Chest. 2006;130:506–5.

    PubMed  Article  Google Scholar 

  10. Krueger T, Chassot PG, Christodoulou M, Cheng C, Ris HB, Magnusson L. Cardiac function assessed by transesophageal echocardiography during pectus excavatum repair. Ann Thorac Surg. 2010;89:240–4.

    PubMed  Article  Google Scholar 

  11. Guldemond FI, Höppener PF, Kragten JA, van Leeuwen YD, Siebenga J. Cardiale klachten door een pectus excavatum bij een 55-plusser. Ned Tijdschr Geneeskd. 2008;152:337–41.

    PubMed  CAS  Google Scholar 

  12. Ron W, Frank G, Paul H, Hans K, van Leeuwen Y. Pectus excavatum, not always as harmless as it seems. BMJ Case Reports. 2009. doi:10.1136/bcr.10.2009.2329.

    Google Scholar 

  13. Jaroszewski D, Steidley E, Galindo A, Francisco Arabia A. Treating heart failure and dyspnoea in a 78-year-old man with surgical correction of pectus excavatum. Ann Thorac Surg. 2009;88:1008–10.

    PubMed  Article  Google Scholar 

  14. Creswick HA, Stacey W, Kelly RE, et al. Family study of the inheritance of pectus excavatum. J Pediatr Surg. 2006;41:1699–03.

    PubMed  Article  Google Scholar 

  15. Robicsek F, Watts LT, Fokin AA. Surgical repair of pectus excavatum and carinatum. Semin Thorac Cardiovasc Surg. 2009;21:64–75.

    PubMed  Article  Google Scholar 

  16. Haller Jr JA, Kramer SS, Lietman SA. Use of CT scans in selection of patients for pectus excavatum surgery: a preliminary report. J Pediatr Surg. 1987;22:904–6.

    PubMed  Article  Google Scholar 

  17. Daunt SW, Cohen JH, Miller SF. Age related normal ranges for the Haller index in children. Pediatr Radiol. 2004;34:326–30.

    PubMed  Article  Google Scholar 

  18. Karagounis VA, Wasnick J, Gold JP. An innovative single-stage repair of severe asymmetric pectus excavatum defects using substernal mesh bands. Ann Thorac Surg. 2004;78:19–21.

    Article  Google Scholar 

Download references

Author information

Affiliations

Authors

Corresponding author

Correspondence to P. F. Höppener.

Rights and permissions

Reprints and Permissions

About this article

Cite this article

Kragten, H.A., Siebenga, J., Höppener, P.F. et al. Symptomatic pectus excavatum in seniors (SPES): a cardiovascular problem?. Neth Heart J 19, 73–78 (2011). https://doi.org/10.1007/s12471-010-0067-z

Download citation

  • Published:

  • Issue Date:

  • DOI: https://doi.org/10.1007/s12471-010-0067-z

Keywords

  • Pectus excavatum
  • Unexplained cardiovascular complaints
  • Ravitch
  • Fatigue
  • Low exercise tolerance
  • Shortness of breath
  • Palpitations
  • Inspiratory obstruction