Skip to main content

Beyond Coronary Stenosis: Coronary Computed Tomographic Angiography for the Assessment of Atherosclerotic Plaque Burden

Abstract

Coronary computed tomographic angiography (CCTA) is emerging as a key noninvasive method for assessing cardiovascular risk by measurement of coronary stenosis and coronary artery calcium (CAC). New advancements in CCTA technology have led to the ability to directly identify and quantify the so-called “vulnerable” plaques that have features of positive remodeling and low density components. In addition, CCTA presents a new opportunity for noninvasive measurement of total coronary plaque burden that has not previously been available. The use of CCTA needs also to be balanced by its risks; in particular, the associated radiation exposure. We review current uses of CCTA, CCTA’s ability to measure plaque quantity and characteristics, and new developments in risk stratification and CCTA technology. CCTA represents a quickly developing field that will play a growing role in the non-invasive management of cardiovascular disease.

This is a preview of subscription content, access via your institution.

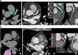
Fig. 1
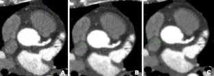
Fig. 2
Fig. 3

References

Papers of particular interest, published recently, have been highlighted as: • Of importance•• Of major importance

  1. Lloyd-Jones D, Adams RJ, Brown TM, Carnethon M, Dai S, De Simone G, et al. Heart disease and stroke statistics–2010 update: a report from the American Heart Association. Circulation. 2010;121:e46–e215.

    PubMed  Article  Google Scholar 

  2. Lerner DJ, Kannel WB. Patterns of coronary heart disease morbidity and mortality in the sexes: a 26-year follow-up of the Framingham population. Am Heart J. 1986;111:383–90.

    PubMed  CAS  Article  Google Scholar 

  3. Stone GW, Maehara A, Lansky AJ, Bruyne B, Cristea E, Mintz GS, et al. A prospective natural-history study of coronary atherosclerosis. N Engl J Med. 2011;364:226–35.

    PubMed  CAS  Article  Google Scholar 

  4. Pundziute G, Schuijf JD, Jukema JW, Decramer I, Sarno G, Vanhoenacker PK, et al. Evaluation of plaque characteristics in acute coronary syndromes: noninvasive assessment with multi-slice computed tomography and invasive evaluation with intravascular ultrasound radiofrequency data analysis. Eur Heart J. 2008;29:2373–81.

    PubMed  Article  Google Scholar 

  5. Rioufol G, Finet G, Andre-Fouet X, Rossi R, Vialle E, Desjoyaux E. Multiple ruptures of atherosclerotic plaques in acute coronary syndrome. Endocoronary ultrasonography study of 3 arteries. Arch Mal Coeur Vaiss. 2002;95:157–65.

    PubMed  CAS  Google Scholar 

  6. Rioufol G, Finet G, Ginon I, Andre-Fouet X, Rossi R, Vialle E, et al. Multiple atherosclerotic plaque rupture in acute coronary syndrome: a 3-vessel intravascular ultrasound study. Circulation. 2002;106:804–8.

    PubMed  CAS  Article  Google Scholar 

  7. Tanaka A, Shimada K, Yoshida K, Jissyo S, Tanaka H, Sakamoto M, et al. Non-invasive assessment of plaque rupture by 64-slice multidetector computed tomography–comparison with intravascular ultrasound. Circ J. 2008;72:1276.

    PubMed  Article  Google Scholar 

  8. Kashiwagi M, Tanaka A, Kitabata H, Tsujioka H, Kataiwa H, Komukai K, et al. Feasibility of noninvasive assessment of thin-cap fibroatheroma by multidetector computed tomography. JACC Cardiovasc Imaging. 2009;2:1412–9.

    PubMed  Article  Google Scholar 

  9. Maurovich-Horvat P, Hoffmann U, Vorpahl M, Nakano M, Virmani R, Alkadhi H. The napkin-ring sign: CT signature of high-risk coronary plaques? JACC Cardiovasc Imaging. 2010;3:440.

    PubMed  Article  Google Scholar 

  10. Seifarth H, Schlett CL, Nakano M, Otsuka F, Karolyi M, Liew G, et al. Histopathological correlates of the napkin-ring sign plaque in coronary CT angiography. Atherosclerosis. 2012;224(1):90–96.

    Google Scholar 

  11. Rybicki FJ. Lower radiation dose coronary CT angiography with new imaging technologies. Int J Cardiovasc Imaging (formerly Cardiac Imaging). 2009;25:149–51.

    Article  Google Scholar 

  12. McCollough CH, Bruesewitz MR, Kofler Jr JM. CT Dose reduction and dose management tools: overview of available options. Radiographics. 2006;26:503–12.

    PubMed  Article  Google Scholar 

  13. Alkadhi H, Leschka S. Radiation dose of cardiac computed tomography—what has been achieved and what needs to be done. Eur Radiol. 2011;21:505–9.

    PubMed  Article  Google Scholar 

  14. Raff GL. Radiation dose from coronary CT angiography: 5 years of progress. J Cardiovasc Comput Tomogr. 2010;4:365–74.

    PubMed  Article  Google Scholar 

  15. Schmid M, Achenbach S, Ropers D, Komatsu S, Ropers U, Daniel WG, et al. Assessment of changes in non-calcified atherosclerotic plaque volume in the left main and left anterior descending coronary arteries over time by 64-slice computed tomography. Am J Cardiol. 2008;101:579–84.

    PubMed  Article  Google Scholar 

  16. • Inoue K, Motoyama S, Sarai M, Sato T, Harigaya H, Hara T, et al. Serial coronary ct angiography–verified changes in plaque characteristics as an end pointevaluation of effect of statin intervention. JACC:Cardiovasc Imaging. 2010;3:691–8. CCTA is able to measure changes in plaque stability in response to statin treatment.

    PubMed  Article  Google Scholar 

  17. Pletcher MJ, Tice JA, Pignone M, Browner WS. Using the coronary artery calcium score to predict coronary heart disease events: a systematic review and meta-analysis. Arch Intern Med. 2004;164:1285.

    PubMed  Article  Google Scholar 

  18. Agatston AS, Janowitz WR, Hildner FJ, Zusmer NR, Viamonte Jr M, Detrano R. Quantification of coronary artery calcium using ultrafast computed tomography. J Am Coll Cardiol. 1990;15:827–32.

    PubMed  CAS  Article  Google Scholar 

  19. Raggi P, Callister TQ, Cooil B, He ZX, Lippolis NJ, Russo DJ, et al. Identification of patients at increased risk of first unheralded acute myocardial infarction by electron-beam computed tomography. Circulation. 2000;101:850–5.

    PubMed  CAS  Article  Google Scholar 

  20. Detrano R, Guerci AD, Carr JJ, Bild DE, Burke G, Folsom AR, et al. Coronary calcium as a predictor of coronary events in four racial or ethnic groups. N Engl J Med. 2008;358:1336–45.

    PubMed  CAS  Article  Google Scholar 

  21. •• Blaha MJ, Budoff MJ, DeFilippis AP, Blankstein R, Rivera JJ, Agatston A, et al. Associations between C-reactive protein, coronary artery calcium, and cardiovascular events: implications for the JUPITER population from MESA, a population-based cohort study. Lancet. 2011;378:684–92. Strong evidence for including CAC score in risk assessment.

    PubMed  CAS  Article  Google Scholar 

  22. •• Erbel R, Möhlenkamp S, Moebus S, Schmermund A, Lehmann N, Stang A, et al. Coronary risk stratification, discrimination, and reclassification improvement based on quantification of subclinical coronary atherosclerosis: the Heinz Nixdorf Recall study. J Am Coll Cardiol. 2010;56:1397–406. Strong evidence for including CAC score in risk assessment.

    PubMed  Article  Google Scholar 

  23. Achenbach S, Ropers D, Mohlenkamp S, Schmermund A, Muschiol G, Groth J, et al. Variability of repeated coronary artery calcium measurements by electron beam tomography. Am J Cardiol. 2001;87:210–3.

    PubMed  CAS  Article  Google Scholar 

  24. Morita H, Fujimoto S, Kondo T, Arai T, Sekine T, Matsutani H, et al. Prevalence of computed tomographic angiography-verified high-risk plaques and significant luminal stenosis in patients with zero coronary calcium score. Int J Cardiol. 2012;158:272–8.

    PubMed  Article  Google Scholar 

  25. Kelly JL, Thickman D, Abramson SD, Chen PR, Smazal SF, Fleishman MJ, et al. Coronary CT angiography findings in patients without coronary calcification. Am J Roentgenol. 2008;191:50–5.

    Article  Google Scholar 

  26. Iwasaki K, Matsumoto T, Aono H, Furukawa H, Samukawa M. Prevalence of non-calcified coronary plaque on 64-slice computed tomography in asymptomatic patients with zero and low coronary artery calcium. Can J Cardiol. 2010;26:377–80.

    PubMed  Article  Google Scholar 

  27. Uretsky S, Rozanski A, Singh P, Supariwala A, Atluri P, Bangalore S, et al. The presence, characterization and prognosis of coronary plaques among patients with zero coronary calcium scores. Int J Cardiovasc Imaging. 2011;27:805–12.

    PubMed  Article  Google Scholar 

  28. •• Gottlieb I, Miller JM, Arbab-Zadeh A, Dewey M, Clouse ME, Sara L, et al. The absence of coronary calcification does not exclude obstructive coronary artery disease or the need for revascularization in patients referred for conventional coronary angiography. J Am Coll Cardiol. 2010;55:627–34. Evidence for further need of risk stratification modes separate from CAC score.

    PubMed  CAS  Article  Google Scholar 

  29. Iwasaki K, Matsumoto T, Aono H, Furukawa H, Samukawa M. Prevalence of subclinical atherosclerosis in asymptomatic patients with low-to-intermediate risk by 64-slice computed tomography. Coronary Artery Disease. 2011;22:18–25.

    PubMed  Article  Google Scholar 

  30. Miller JM, Rochitte CE, Dewey M, Arbab-Zadeh A, Niinuma H, Gottlieb I, et al. Diagnostic performance of coronary angiography by 64-row CT. N Engl J Med. 2008;359:2324–36.

    PubMed  CAS  Article  Google Scholar 

  31. Budoff MJ, Dowe D, Jollis JG, Gitter M, Sutherland J, Halamert E, et al. Diagnostic performance of 64-multidetector row coronary computed tomographic angiography for evaluation of coronary artery stenosis in individuals without known coronary artery disease: results from the prospective multicenter ACCURACY (Assessment by Coronary Computed Tomographic Angiography of Individuals Undergoing Invasive Coronary Angiography) Trial. J Am Coll Cardiol. 2008;52:1724–32.

    PubMed  Article  Google Scholar 

  32. Meijboom WB, Meijs MFL, Schuijf JD, Cramer MJ, Mollet NR, van Mieghem CAG, et al. Diagnostic accuracy of 64-slice computed tomography coronary angiography: a prospective, multicenter, multivendor study. J Am Coll Cardiol. 2008;52:2135–44.

    Google Scholar 

  33. Voros S, Rinehart S, Qian Z, Joshi P, Vazquez G, Fischer C, et al. Coronary atherosclerosis imaging by coronary CT angiography: current status, correlation with intravascular interrogation and meta-analysis. JACC Cardiovasc Imaging. 2011;4(5):537–48.

    PubMed  Article  Google Scholar 

  34. Virmani R, Burke AP, Farb A, Kolodgie FD. Pathology of the vulnerable plaque. J Am Coll Cardiol. 2006;47(8):C13–8.

    PubMed  CAS  Article  Google Scholar 

  35. Davies MJ. The pathophysiology of acute coronary syndromes. Heart. 2000;83(3):361–6.

    PubMed  CAS  Article  Google Scholar 

  36. Falk E, Shah PK, Fuster V. Coronary plaque disruption. Circulation. 1995;92(3):657–71.

    PubMed  CAS  Article  Google Scholar 

  37. Yamagishi M, Terashima M, Awano K, Kijima M, Nakatani S, Daikoku S, et al. Morphology of vulnerable coronary plaque: insights from follow-up of patients examined by intravascular ultrasound before an acute coronary syndrome. J Am Coll Cardiol. 2000;35(1):106–11.

    PubMed  CAS  Article  Google Scholar 

  38. Pflederer T, Marwan M, Schepis T, Ropers D, Seltmann M, Muschiol G, et al. Characterization of culprit lesions in acute coronary syndromes using coronary dual-source CT angiography. Atherosclerosis. 2010;211(2):437–44.

    PubMed  CAS  Article  Google Scholar 

  39. Motoyama S, Sarai M, Harigaya H, Anno H, Inoue K, Hara T, et al. Computed Tomographic angiography characteristics of atherosclerotic plaques subsequently resulting in acute coronary syndrome. J Am Coll Cardiol. 2009;54(1):49–57.

    PubMed  Article  Google Scholar 

  40. Hausleiter J, Meyer T, Hadamitzky M, Kastrati A, Martinoff S, Schömig A. Prevalence of noncalcified coronary plaques by 64-slice computed tomography in patients with an intermediate risk for significant coronary artery disease. J Am Coll Cardiol. 2006;48(2):312–8.

    PubMed  Article  Google Scholar 

  41. Fitch KV, Lo J, Abbara S, Ghoshhajra B, Shturman L, Soni A, et al. Increased coronary artery calcium score and noncalcified plaque among HIV-infected men: relationship to metabolic syndrome and cardiac risk parameters. J Acquir Immune Defic Syndr, (1999). 2010;55(4):495.

    Google Scholar 

  42. Raff GL, Abidov A, Achenbach S, Berman DS, Boxt LM, Budoff MJ, et al. SCCT guidelines for the interpretation and reporting of coronary computed tomographic angiography. J Cardiovasc Comput Tomogr. 2009;3(2):122–36.

    PubMed  Article  Google Scholar 

  43. Pundziute G, Schuijf JD, Jukema JW, Decramer I, Sarno G, Vanhoenacker PK, et al. Head-to-head comparison of coronary plaque evaluation between multislice computed tomography and intravascular ultrasound radiofrequency data analysis. JACC: Cardiovasc Interv. 2008;1(2):176–82.

    Article  Google Scholar 

  44. Schroeder S, Kuettner A, Leitritz M, Janzen J, Kopp AF, Herdeg C, et al. Reliability of differentiating human coronary plaque morphology using contrast-enhanced multislice spiral computed tomography: a comparison with histology. J Comput Assist Tomogr. 2004;28(4):449–54.

    PubMed  Article  Google Scholar 

  45. Funabashi N, Asano M, Komuro I. Predictors of non-calcified plaques in the coronary arteries of 242 subjects using multislice computed tomography and logistic regression models. Int J Cardiol. 2007;117(2):191–7.

    PubMed  Article  Google Scholar 

  46. Aggarwal NR, Knickelbine T, Tande A, Stoltzfus L, Lesser JR, Schwartz RS. Non calcified plaque: relationship between results of multi slice computed tomography, risk factors and late clinical outcome. Catheter Cardiovasc Interv. 2011.

  47. Rivera JJ, Nasir K, Cox PR, Choi EK, Yoon Y, Cho I, et al. Association of traditional cardiovascular risk factors with coronary plaque sub-types assessed by 64-slice computed tomography angiography in a large cohort of asymptomatic subjects. Atherosclerosis. 2009;206(2):451–7.

    PubMed  CAS  Article  Google Scholar 

  48. Isma'eel H, Tellalian D, Hamirani YS, Kadakia J, Nasir K, Budoff MJ. Effect of obesity on coronary artery plaque using 64 slice multidetector cardiac computed tomography angiography. Int J Cardiol. 2010;140(3):358–60.

    PubMed  Article  Google Scholar 

  49. Cheng VY, Lepor NE, Madyoon H, Eshaghian S, Naraghi AL, Shah PK. Presence and Severity of noncalcified coronary plaque on 64-slice computed tomographic coronary angiography in patients with zero and low coronary artery calcium. Am J Cardiol. 2007;99(9):1183–6.

    PubMed  Article  Google Scholar 

  50. Bamberg F, Truong QA, Koenig W, Schlett CL, Nasir K, Butler J, et al. Differential associations between blood biomarkers of inflammation, oxidation, and lipid metabolism with varying forms of coronary atherosclerotic plaque as quantified by coronary CT angiography. Intl J Cardiovas Imag.2011. doi: 10.1007/s10554-010-9773-2.

  51. Konishi M, Sugiyama S, Sugamura K, Nozaki T, Ohba K, Matsubara J, et al. Association of pericardial fat accumulation rather than abdominal obesity with coronary atherosclerotic plaque formation in patients with suspected coronary artery disease. Atherosclerosis. 2010;209(2):573–8.

    PubMed  CAS  Article  Google Scholar 

  52. Oka T, Yamamoto H, Ohashi N, Kitagawa T, Kunita E, Utsunomiya H, et al. Association between epicardial adipose tissue volume and characteristics of non-calcified plaques assessed by coronary computed tomographic angiography. Int J Cardiol. 2011. doi: 10.1016/j.ijcard.2011.04.021.

  53. Kashiwagi M, Imanishi T, Tsujioka H, Ikejima H, Kuroi A, Ozaki Y, et al. Association of monocyte subsets with vulnerability characteristics of coronary plaques as assessed by 64-slice multidetector computed tomography in patients with stable angina pectoris. Atherosclerosis. 2010;212(1):171–6.

    PubMed  CAS  Article  Google Scholar 

  54. Feuchtner G, Postel T, Weidinger F, Frick M, Alber H, Dichtl W, et al. Is there a relation between non-calcifying coronary plaques and acute coronary syndromes? A retrospective study using multislice computed tomography. Cardiology. 2008;110(4):241–8.

    PubMed  Article  Google Scholar 

  55. Motoyama S, Kondo T, Sarai M, Sugiura A, Harigaya H, Sato T, et al. Multislice computed tomographic characteristics of coronary lesions in acute coronary syndromes. J Am Coll Cardiol. 2007;50(4):319–26.

    PubMed  Article  Google Scholar 

  56. Min JK, Edwardes M, Lin FY, Labounty T, Weinsaft JW, Choi J-H, et al. Relationship of coronary artery plaque composition to coronary artery stenosis severity: results from the prospective multicenter ACCURACY trial. Atherosclerosis. 2011. doi: 10.1016/j.atherosclerosis.2011.05.032.

  57. Becker CR, Nikolaou K, Muders M, Babaryka G, Crispin A, Schoepf UJ, et al. Ex vivo coronary atherosclerotic plaque characterization with multi-detector-row CT. Eur Radiol. 2003;13(9):2094–8.

    PubMed  Article  Google Scholar 

  58. Schroeder S. Non-invasive evaluation of atherosclerosis with contrast enhanced 16 slice spiral computed tomography: results of ex vivo investigations. Heart. 2004;90(12):1471–5.

    PubMed  CAS  Article  Google Scholar 

  59. Leschka S, Seitun S, Dettmer M, Baumuller S, Stolzmann P, Goetti R, et al. Ex vivo evaluation of coronary atherosclerotic plaques: characterization with dual-source CT in comparison with histopathology. J Cardiovasc Comput Tomogr. 2010;4(5):301–8.

    PubMed  Article  Google Scholar 

  60. Kimura S, Yonetsu T, Suzuki K, Isobe M, Iesaka Y, Kakuta T. Characterization of non-calcified coronary plaque by 16-slice multidetector computed tomography: comparison with histopathological specimens obtained by directional coronary atherectomy. The International Journal of Cardiovascular Imaging (formerly Cardiac Imaging). 2011:1–14.

  61. Granada JF, Wallace-Bradley D, Win HK, Alviar CL, Builes A, Lev EI, et al. In vivo plaque characterization using intravascular ultrasound–virtual histology in a porcine model of complex coronary lesions. Arterioscler Thromb Vac Biol. 2007;27(2):387–93.

    CAS  Article  Google Scholar 

  62. Carlier SG, Tanaka K. Studying coronary plaque regression with IVUS: a critical review of recent studies. J Intervent Cardiol. 2006;19(1):11–5.

    PubMed  Article  Google Scholar 

  63. Voros S. Can Computed Tomography Angiography of the coronary arteries characterize atherosclerotic plaque composition?: is the CAT (Scan) out of the bag? JACC: Cardiovasc Interv. 2008;1(2):183–5.

    Article  Google Scholar 

  64. Kopp AF, Schroeder S, Baumbach A, Kuettner A, Georg C, Ohnesorge B, et al. Non-invasive characterization of coronary lesion morphology and composition by multislice CT: first results in comparison with intracoronary ultrasound. Eur Radiol. 2001;11(9):1607–11.

    PubMed  CAS  Article  Google Scholar 

  65. Schroeder S, Kopp AF, Baumbach A, Meisner C, Kuettner A, Georg C, et al. Noninvasive detection and evaluation of atherosclerotic coronary plaques with multislice computed tomography. J Am Coll Cardiol. 2001;37(5):1430–5.

    PubMed  CAS  Article  Google Scholar 

  66. Leber AW, Knez A, Becker A, Becker C, von Ziegler F, Nikolaou K, et al. Accuracy of multidetector spiral computed tomography in identifying and differentiating the composition of coronary atherosclerotic plaques: a comparative study with intracoronary ultrasound. J Am Coll Cardiol. 2004;43(7):1241–7.

    PubMed  Article  Google Scholar 

  67. Leber AW, Knez A, von Ziegler F, Becker A, Nikolaou K, Paul S, et al. Quantification of obstructive and nonobstructive coronary lesions by 64-slice computed tomography: a comparative study with quantitative coronary angiography and intravascular ultrasound. J Am Coll Cardiol. 2005;46(1):147–54.

    PubMed  Article  Google Scholar 

  68. Achenbach S, Moselewski F, Ropers D, Ferencik M, Hoffmann U, MacNeill B, et al. Detection of calcified and noncalcified coronary atherosclerotic plaque by contrast-enhanced, submillimeter multidetector spiral computed tomography: a segment-based comparison with intravascular ultrasound. Circulation. 2004;109(1):14–7.

    PubMed  Article  Google Scholar 

  69. Brodoefel H, Burgstahler C, Heuschmid M, Reimann A, Khosa F, Kopp A, et al. Accuracy of dual-source CT in the characterisation of non-calcified plaque: use of a colour-coded analysis compared with virtual histology intravascular ultrasound. Br J Radiol. 2009;82(982):805–12.

    PubMed  CAS  Article  Google Scholar 

  70. Brodoefel H, Burgstahler C, Sabir A, Yam CS, Khosa F, Claussen CD, et al. Coronary plaque quantification by voxel analysis: dual-source MDCT angiography vs intravascular sonography. AJR Am J Roentgenol. 2009;192(3):W84–9.

    PubMed  Article  Google Scholar 

  71. Hur J, Kim YJ, Lee HJ, Nam JE, Choe KO, Seo JS, et al. Quantification and characterization of obstructive coronary plaques using 64-slice computed tomography: a comparison with intravascular ultrasound. J Comput Assist Tomogr. 2009;33(2):186–92.

    PubMed  Article  Google Scholar 

  72. Otsuka M, Bruining N, Van Pelt NC, Mollet NR, Ligthart JM, Vourvouri E, et al. Quantification of coronary plaque by 64-slice computed tomography: a comparison with quantitative intracoronary ultrasound. Invest Radiol. 2008;43(5):314–21.

    PubMed  Article  Google Scholar 

  73. Carrascosa PM, Capunay CM, Garcia-Merletti P, Carrascosa J, Garcia MF. Characterization of coronary atherosclerotic plaques by multidetector computed tomography. Am J Cardiol. 2006;97(5):598–602.

    PubMed  Article  Google Scholar 

  74. Kitagawa T, Yamamoto H, Ohhashi N, Okimoto T, Horiguchi J, Hirai N, et al. Comprehensive evaluation of noncalcified coronary plaque characteristics detected using 64-slice computed tomography in patients with proven or suspected coronary artery disease. Am Heart J. 2007;154(6):1191–8.

    PubMed  Article  Google Scholar 

  75. Carrascosa PM, Capunay CM, Parodi JC, Padilla LT, Johnson P, Carrascosa JM, et al. General utilities of multislice tomography in the cardiac field. Herz. 2003;28(1):44–51.

    PubMed  Article  Google Scholar 

  76. Ferencik M, Chan RC, Achenbach S, Lisauskas JB, Houser SL, Hoffmann U, et al. Arterial wall imaging: evaluation with 16-section multidetector ct in blood vessel phantoms and ex vivo coronary arteries. Radiology. 2006;240(3):708–16.

    PubMed  Article  Google Scholar 

  77. Galonska M, Ducke F, Kertesz-Zborilova T, Meyer R, Guski H, Knollmann FD. Characterization of atherosclerotic plaques in human coronary arteries with 16-slice multidetector row computed tomography by analysis of attenuation profiles. Acad Radiol. 2008;15:222–30.

    PubMed  Article  Google Scholar 

  78. Saraste A, Knuuti J. Novel CT-based imaging markers for high-risk coronary plaques. Eur Heart J. 2012;13:633–4.

    Google Scholar 

  79. Rinehart S, Vazquez G, Qian Z, Murrieta L, Christian K, Voros S. Quantitative measurements of coronary arterial stenosis, plaque geometry, and composition are highly reproducible with a standardized coronary arterial computed tomographic approach in high-quality CT datasets. J Cardiovasc Comput Tomogr. 2011;5:35–43.

    PubMed  Article  Google Scholar 

  80. Voros S, Rinehart S, Qian Z, Vazquez G, Anderson H, Murrieta L, et al. Prospective validation of standardized, 3-dimensional, quantitative coronary computed tomographic plaque measurements using radiofrequency backscatter intravascular ultrasound as reference standard in intermediate coronary arterial lesions. JACC Cardiovasc Interv. 2011;4:198–208.

    PubMed  Article  Google Scholar 

  81. Choi BJ, Kang DK, Tahk SJ, Choi SY, Yoon MH, Lim HS, et al. Comparison of 64-slice multidetector computed tomography with spectral analysis of intravascular ultrasound backscatter signals for characterizations of noncalcified coronary arterial plaques. Am J Cardiol. 2008;102:988–93.

    PubMed  Article  Google Scholar 

  82. Glagov S, Weisenberg E, Zarins CK, Stankunavicius R, Kolettis GJ. Compensatory enlargement of human atherosclerotic coronary arteries. N Engl J Med. 1987;316:1371–5.

    PubMed  CAS  Article  Google Scholar 

  83. Achenbach S, Ropers D, Hoffmann U, MacNeill B, Baum U, Pohle K, et al. assessment of coronary remodeling in stenotic and nonstenotic coronary atherosclerotic lesions by multidetector spiral computed tomography. J Am Coll Cardiol. 2004;43:842–7.

    PubMed  Article  Google Scholar 

  84. Schoenhagen P, Murat Tuzcu E, Stillman AE, Moliterno DJ, Halliburton SS, Kuzmiak SA, et al. Non–invasive assessment of plaque morphology and remodeling in mildly stenotic coronary segments: comparison of 16-slice computed tomography and intravascular ultrasound. Coronary Artery Disease. 2003;14:459.

    PubMed  Article  Google Scholar 

  85. Kitagawa T, Yamamoto H, Horiguchi J, Ohhashi N, Tadehara F, Shokawa T, et al. Characterization of noncalcified coronary plaques and identification of culprit lesions in patients with acute coronary syndrome by 64-slice computed tomography. JACC Cardiovasc Imaging. 2009;2:153–60.

    PubMed  Article  Google Scholar 

  86. Schoenhagen P, Tuzcu EM, Apperson-Hansen C, Wang C, Wolski K, Lin S, et al. Determinants of arterial wall remodeling during lipid-lowering therapy: serial intravascular ultrasound observations from the Reversal of Atherosclerosis with Aggressive Lipid Lowering Therapy (REVERSAL) trial. Circulation. 2006;113:2826–34.

    PubMed  CAS  Article  Google Scholar 

  87. Sabate M, Kay IP, de Feyter PJ, van Domburg RT, Deshpande NV, Ligthart JM, et al. Remodeling of atherosclerotic coronary arteries varies in relation to location and composition of plaque. Am J Cardiol. 1999;84:135–40.

    PubMed  CAS  Article  Google Scholar 

  88. Takeuchi H, Morino Y, Matsukage T, Masuda N, Kawamura Y, Kasai S, et al. Impact of vascular remodeling on the coronary plaque compositions: an investigation with in vivo tissue characterization using integrated backscatter-intravascular ultrasound. Atherosclerosis. 2009;202:476–82.

    PubMed  CAS  Article  Google Scholar 

  89. Schmid M, Pflederer T, Jang I-K, Ropers D, Sei K, Daniel WG, et al. Relationship between degree of remodeling and CT attenuation of plaque in coronary atherosclerotic lesions: An in-vivo analysis by multi-detector computed tomography. Atherosclerosis. 2008;197:457–64.

    PubMed  CAS  Article  Google Scholar 

  90. Kroner ES, van Velzen JE, Boogers MJ, Siebelink HM, Schalij MJ, Kroft LJ, et al. Positive remodeling on coronary computed tomography as a marker for plaque vulnerability on virtual histology intravascular ultrasound. Am J Cardiol. 2011;107:1725–9.

    PubMed  Article  Google Scholar 

  91. Matsumoto N, Sato Y, Yoda S, Nakano Y, Kunimasa T, Matsuo S, et al. Prognostic value of non-obstructive CT low-dense coronary artery plaques detected by multislice computed tomography. Circ J. 2007;71:1898–903.

    PubMed  Article  Google Scholar 

  92. van Werkhoven JM, Schuijf JD, Gaemperli O, Jukema JW, Boersma E, Wijns W, et al. Prognostic value of multislice computed tomography and gated single-photon emission computed tomography in patients with suspected coronary artery disease. J Am Coll Cardiol. 2009;53:623–32.

    PubMed  Article  Google Scholar 

  93. van Werkhoven JM, Schuijf JD, Gaemperli O, Jukema JW, Kroft LJ, Boersma E, et al. Incremental prognostic value of multi-slice computed tomography coronary angiography over coronary artery calcium scoring in patients with suspected coronary artery disease. Eur Heart J. 2009;30:2622–9.

    PubMed  Article  CAS  Google Scholar 

  94. Ahmadi N, Nabavi V, Hajsadeghi F, Flores F, French WJ, Mao SS, et al. Mortality incidence of patients with non-obstructive coronary artery disease diagnosed by computed tomography angiography. Am J Cardiol. 2011;107:10–6.

    PubMed  Article  Google Scholar 

  95. Hammer-Hansen S, Kofoed KF, Kelbaek H, Kristensen T, Kuhl JT, Thune JJ, et al. Volumetric evaluation of coronary plaque in patients presenting with acute myocardial infarction or stable angina pectoris-a multislice computerized tomography study. Am Heart J. 2009;157:481–7.

    PubMed  Article  Google Scholar 

  96. Kim SY, Kim KS, Seung MJ, Chung JW, Kim JH, Mun SH, et al. The culprit lesion score on multi-detector computed tomography can detect vulnerable coronary artery plaque. Int J Cardiovasc Imaging. 2010;26 Suppl 2:245–52.

    PubMed  Article  Google Scholar 

  97. Ferencik M, Schlett CL, Ghoshhajra BB, Kriegel MF, Joshi SB, Maurovich-Horvat P, et al. A computed tomography-based coronary lesion score to predict acute coronary syndrome among patients with acute chest pain and significant coronary stenosis on coronary computed tomographic angiogram. Am J Cardiol. 2012;110:183–9.

    PubMed  Article  Google Scholar 

  98. Kristensen TS, Kofoed KF, Kühl JT, Nielsen WB, Nielsen MB, Kelbæk H. Prognostic Implications of nonobstructive coronary plaques in patients with non–ST-segment elevation myocardial infarction. J Am Coll Cardiol. 2011;58:502–9.

    PubMed  Article  Google Scholar 

  99. Watabe H, Sato A, Akiyama D, Kakefuda Y, Adachi T, Ojima E, et al. Impact of coronary plaque composition on cardiac troponin elevation after percutaneous coronary intervention in stable angina pectoris: a computed tomography analysis. J Am Coll Cardiol. 2012;59:1881–8.

    PubMed  CAS  Article  Google Scholar 

  100. Gottlieb I, Agarwal S, Gautam S, Desai M, Steen H, Warren WP, et al. Aortic plaque regression as determined by magnetic resonance imaging with high-dose and low-dose statin therapy. J Cardiovasc Med. 2008;9:700–6.

    Article  Google Scholar 

  101. Lima JA, Desai MY, Steen H, Warren WP, Gautam S, Lai S. Statin-induced cholesterol lowering and plaque regression after 6 months of magnetic resonance imaging-monitored therapy. Circulation. 2004;110:2336–41.

    PubMed  CAS  Article  Google Scholar 

  102. Fayad ZA, Mani V, Woodward M, Kallend D, Abt M, Burgess T, et al. Safety and efficacy of dalcetrapib on atherosclerotic disease using novel non-invasive multimodality imaging (dal-PLAQUE): a randomized clinical trial. Lancet. 2011;378:1547–59.

    PubMed  CAS  Article  Google Scholar 

  103. Yonemura A, Momiyama Y, Fayad ZA, Ayaori M, Ohmori R, Kihara T, et al. Effect of lipid-lowering therapy with atorvastatin on atherosclerotic aortic plaques: a 2-year follow-up by noninvasive MRI. Eur J Cardiovasc Prev Rehabil. 2009;16:222–8.

    PubMed  Article  Google Scholar 

  104. Corti R, Fuster V, Fayad ZA, Worthley SG, Helft G, Chaplin WF, et al. Effects of aggressive vs conventional lipid-lowering therapy by simvastatin on human atherosclerotic lesions: a prospective, randomized, double-blind trial with high-resolution magnetic resonance imaging. J Am Coll Cardiol. 2005;46:106–12.

    PubMed  CAS  Article  Google Scholar 

  105. Yonemura A, Momiyama Y, Fayad ZA, Ayaori M, Ohmori R, Higashi K, et al. Effect of lipid-lowering therapy with atorvastatin on atherosclerotic aortic plaques detected by noninvasive magnetic resonance imaging. J Am Coll Cardiol. 2005;45:733–42.

    PubMed  CAS  Article  Google Scholar 

  106. Corti R, Fuster V, Fayad ZA, Worthley SG, Helft G, Smith D, et al. Lipid lowering by simvastatin induces regression of human atherosclerotic lesions: 2 years' follow-up by high-resolution noninvasive magnetic resonance imaging. Circulation. 2002;106:2884–7.

    PubMed  CAS  Article  Google Scholar 

  107. Helft G, Worthley SG, Fuster V, Fayad ZA, Zaman AG, Corti R, et al. Progression and regression of atherosclerotic lesions: monitoring with serial noninvasive magnetic resonance imaging. Circulation. 2002;105:993–8.

    PubMed  Article  Google Scholar 

  108. Hoffmann H, Frieler K, Schlattmann P, Hamm B, Dewey M. Influence of statin treatment on coronary atherosclerosis visualised using multidetector computed tomography. Eur Radiol. 2010;20:2824–33.

    PubMed  Article  Google Scholar 

  109. Kitagawa T, Yamamoto H, Horiguchi J, Ohashi N, Kunita E, Utsunomiya H, et al. Effects of statin therapy on non-calcified coronary plaque assessed by 64-slice computed tomography. Int J Cardiol. 2011;150:146–50.

    PubMed  Article  Google Scholar 

  110. Otagiri K, Tsutsui H, Kumazaki S, Miyashita Y, Aizawa K, Koshikawa M, et al. Early intervention with rosuvastatin decreases the lipid components of the plaque in acute coronary syndrome: analysis using integrated backscatter IVUS (ELAN study). Circ J. 2011;75:633–41.

    PubMed  CAS  Article  Google Scholar 

  111. Burgstahler C, Reimann A, Beck T, Kuettner A, Baumann D, Heuschmid M, et al. Influence of a lipid-lowering therapy on calcified and noncalcified coronary plaques monitored by multislice detector computed tomography: results of the New Age II Pilot Study. Invest Radiol. 2007;42:189–95.

    PubMed  CAS  Article  Google Scholar 

  112. Mettler Jr FA, Thomadsen BR, Bhargavan M, Gilley DB, Gray JE, Lipoti JA, et al. Medical radiation exposure in the U.S. in 2006: preliminary results. Health Phys. 2008;95:502–7.

    PubMed  CAS  Article  Google Scholar 

  113. Schauer DA, Linton OW. National Council on Radiation Protection and Measurements report shows substantial medical exposure increase. Radiology. 2009;253:293–6.

    PubMed  Article  Google Scholar 

  114. Silva AC, Lawder HJ, Hara A, Kujak J, Pavlicek W. Innovations in CT dose reduction strategy: application of the adaptive statistical iterative reconstruction algorithm. AJR Am J Roentgenol. 2010;194:191–9.

    PubMed  Article  Google Scholar 

  115. Gosling O, Loader R, Venables P, Roobottom C, Rowles N, Bellenger N, et al. A comparison of radiation doses between state-of-the-art multislice CT coronary angiography with iterative reconstruction, multislice CT coronary angiography with standard filtered back-projection and invasive diagnostic coronary angiography. Heart. 2010;96:922–6.

    PubMed  CAS  Article  Google Scholar 

  116. Nelson RC, Feuerlein S, Boll DT. New iterative reconstruction techniques for cardiovascular computed tomography: how do they work, and what are the advantages and disadvantages? J Cardiovasc Comput Tomogr. 2011;5:286–92.

    PubMed  Article  Google Scholar 

  117. Heilbron B, Leipsic J. Submillisievert coronary computed tomography angiography using adaptive statistical iterative reconstruction–a new reality. Can J Cardiol. 2010;26:35.

    PubMed  CAS  Article  Google Scholar 

  118. Sakakura K, Yasu T, Kobayashi Y, Katayama T, Sugawara Y, Funayama H, et al. Noninvasive tissue characterization of coronary arterial plaque by 16-slice computed tomography in acute coronary syndrome. Angiology. 2006;57:155–60.

    PubMed  Article  Google Scholar 

  119. Xiao XG, Xie DX, Shen BZ, Han X, Li AY, Ma ZW, et al. Value of multi-slice computed tomography in diagnosis of coronary plaque characterization. Zhonghua Yi Xue Za Zhi. 2007;87:3247–50.

    PubMed  Google Scholar 

  120. Chopard R, Boussel L, Motreff P, Rioufol G, Tabib A, Douek P, et al. How reliable are 40 MHz IVUS and 64-slice MDCT in characterizing coronary plaque composition? An ex vivo study with histopathological comparison. Intl J Cardiovas Imag. 2010;26(4):373–83.

    Article  Google Scholar 

  121. Iriart X, Brunot S, Coste P, Montaudon M, Dos-Santos P, Leroux L, et al. Early characterization of atherosclerotic coronary plaques with multidetector computed tomography in patients with acute coronary syndrome: a comparative study with intravascular ultrasound. Eur Radiol. 2007;17:2581–8.

    PubMed  Article  Google Scholar 

  122. Viles-Gonzalez JF, Poon M, Sanz J, Rius T, Nikolaou K, Fayad ZA, et al. In Vivo 16-Slice, multidetector-row computed tomography for the assessment of experimental atherosclerosis. Circulation. 2004;110:1467–72.

    PubMed  Article  Google Scholar 

  123. Pohle K, Achenbach S, MacNeill B, Ropers D, Ferencik M, Moselewski F, et al. Characterization of non-calcified coronary atherosclerotic plaque by multi-detector row CT: comparison with IVUS. Atherosclerosis. 2007;190:174–80.

    PubMed  CAS  Article  Google Scholar 

  124. •• Leipsic J, LaBounty TM, Heilbron B, Min JK, Mancini G, Lin FY, et al. Adaptive statistical iterative reconstruction: assessment of image noise and image quality in coronary CT angiography. Am J Roentgenol. 2010;195:649–54. Prospective study showing benefit of iterative reconstruction.

    Article  Google Scholar 

  125. Jang H, Cho J, Lee H, Hong I, Cho M, Park C, et al. Dose assessment according to changes in algorithm in cardiac CT. Radiat Eff Defect S. 2012; 167(6):392–402.

    Google Scholar 

  126. Kazakauskaite E, Husmann L, Stehli J, Fuchs T, Fiechter M, Klaeser B, et al. Image quality in low-dose coronary computed tomography angiography with a new high-definition CT scanner. The International Journal of Cardiovascular Imaging (formerly Cardiac Imaging). 2012:1–7.

  127. Leipsic J, LaBounty TM, Heilbron B, Min JK, Mancini GBJ, Lin FY, et al. Estimated radiation dose reduction using adaptive statistical iterative reconstruction in coronary CT angiography: the ERASIR study. Am J Roentgenol. 2010;195:655–60.

    Article  Google Scholar 

  128. Funama Y, Taguchi K, Utsunomiya D, Oda S, Yanaga Y, Yamashita Y, et al. Combination of a low-tube-voltage technique with hybrid iterative reconstruction (iDose) algorithm at coronary computed tomographic angiography. J Comput Assist Tomogr. 2011;35:480.

    PubMed  Article  Google Scholar 

  129. Oda S, Utsunomiya D, Funama Y, Yonenaga K, Namimoto T, Nakaura T, et al. A hybrid iterative reconstruction algorithm that improves the image quality of low-tube-voltage coronary CT angiography. Am J Roentgenol. 2012;198:1126–31.

    Article  Google Scholar 

  130. Utsunomiya D, Weigold WG, Weissman G, Taylor AJ. Effect of hybrid iterative reconstruction technique on quantitative and qualitative image analysis at 256-slice prospective gating cardiac CT. Eur Radiol. 2011:1–8.

  131. Engel LC, Kröpil P, Sidhu MS, Techasith T, Maurovich-Horvat P, Abbara S, et al. Effects of Iterative reconstruction technique on image quality in cardiac CT angiography: initial experience. J Biomed Graphics Comput. 2012;2:80.

    Google Scholar 

  132. Renker M, Ramachandra A, Schoepf UJ, Raupach R, Apfaltrer P, Rowe GW, et al. Iterative image reconstruction techniques: Applications for cardiac CT. J Cardiovasc Comput Tomogr. 2011;5:225–30.

    PubMed  Article  Google Scholar 

  133. Moscariello A, Takx RAP, Schoepf UJ, Renker M, Zwerner PL, O’Brien TX, et al. Coronary CT angiography: image quality, diagnostic accuracy, and potential for radiation dose reduction using a novel iterative image reconstruction technique—comparison with traditional filtered back projection. Eur Radiol. 2011:1–9.

  134. Wang R, Schoepf UJ, Wu R, Reddy RP, Zhang C, Yu W, et al. Image quality and radiation dose of low dose coronary CT angiography in obese patients: Sinogram affirmed iterative reconstruction vs filtered back projection. Eur J Radiol. 2012.

  135. Tatsugami F, Matsuki M, Nakai G, Inada Y, Kanazawa S, Takeda Y, et al. The effect of adaptive iterative dose reduction on image quality in 320–detector row ct coronary angiography. Br J Radiol. 2012; 85(1016):e378–e382.

    Google Scholar 

  136. Scheffel H, Stolzmann P, Schlett CL, Engel LC, Major GP, Károlyi M, et al. Coronary artery plaques: cardiac CT with model-based and adaptive-statistical iterative reconstruction technique. Eur J Radiol. 2012;81(3):e363–369.

    Google Scholar 

  137. Stolzmann P, Schlett CL, Maurovich-Horvat P, Maehara A, Ma S, Scheffel H, et al. Variability and accuracy of coronary CT angiography including use of iterative reconstruction algorithms for plaque burden assessment as compared with intravascular ultrasound—an ex vivo study. Eur Radiol. 2012:1–9.

Download references

Acknowledgments

Funded by the National Institutes of Health (NIH) Intramural program.

This research was made possible through the National Institutes of Health (NIH) Medical Research Scholars Program, a public-private partnership supported jointly by the NIH and generous contributions to the Foundation for the NIH from Pfizer Inc, The Leona M. and Harry B. Helmsley Charitable Trust, and the Howard Hughes Medical Institute, as well as other private donors. For a complete list, please visit the Foundation website at http://www.fnih.org/work/programs-development/medical-research-scholars-program).

Disclosure

No potential conflicts of interest relevant to this article were reported.

Author information

Affiliations

Authors

Corresponding author

Correspondence to David A. Bluemke.

Rights and permissions

Reprints and Permissions

About this article

Cite this article

Kwan, A.C., Cater, G., Vargas, J. et al. Beyond Coronary Stenosis: Coronary Computed Tomographic Angiography for the Assessment of Atherosclerotic Plaque Burden. Curr Cardiovasc Imaging Rep 6, 89–101 (2013). https://doi.org/10.1007/s12410-012-9183-z

Download citation

  • Published:

  • Issue Date:

  • DOI: https://doi.org/10.1007/s12410-012-9183-z

Keywords

  • Coronary computed tomographic angiography
  • CT
  • Atherosclerosis
  • Plaque
  • Non-calcified
  • Acute coronary syndrome
  • Vulnerable plaque
  • Spotty calcification
  • Coronary artery calcium
  • Reconstruction