Skip to main content

Evaluation of an incidental solid renal mass during cardiac Tc-99m MIBI SPECT/CT imaging

This is a preview of subscription content, access via your institution.

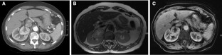
Figure 1
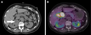
Figure 2

References

  1. Dorbala S, Ananthasubramaniam K, Armstrong IS, et al. J Nucl Cardiol 2018;25:1784.

    Article  Google Scholar 

  2. Henzlova MJ, Duvall WL, Einstein AJ, et al. J Nucl Cardiol 2016;23:606.

    Article  Google Scholar 

  3. Hecht HS, et al. SCCT/STR guidelines for coronary artery calcium scoring of noncontrast noncardiac chest CT scans: A report of the Society of Cardiovascular Computed Tomography and Society of Thoracic Radiology. J Cardiovasc Comput Tomogr 2016;11(1):74-84.

    Article  Google Scholar 

  4. Yap KK, Ramaseshan G, Sutherland T, Shafik-Eid R, Taubman K, Schlicht S. Incidental LDCT findings on SPECT/CT. J Med Imaging Radiat Oncol 2015;59:26-33.

    Article  Google Scholar 

  5. Campbell SP, Tzortzakakis A, Javadi MS, Karlsson M, Solnes LB, Axelsson R, et al. 99mTc-sestamibi SPECT/CT for the characterization of renal masses: A pictorial guide. Br J Radiol 2018;91:20170526.

    Article  Google Scholar 

  6. Rowe SP, Gorin MA, Gordetsky J, Ball MW, Pierorazio PM, Higuchi T, et al. Initial experience using 99mTc-MIBI SPECT/CT for the differentiation of oncocytoma from renal cell carcinoma. Clin Nucl Med 2015;40:309-13.

    Article  Google Scholar 

  7. Sheikhbahaei S, Jones CS, Porter KK, Rowe SP, Gorin MA, Baras AS, et al. Defining the added value of 99mTc-MIBI SPECT/ CT to conventional cross-sectional imaging in the characterization of enhancing solid renal masses. Clin Nucl Med 2017;42:e188-93.

    Article  Google Scholar 

  8. Gorin MA, Rowe SP, Baras AS, Solnes LB, Ball MW, Pierorazio PM, et al. Prospective evaluation of (99m)Tc-sestamibi SPECT/CT for the diagnosis of renal oncocytomas and hybrid oncocytic/chromophobe tumors. Eur Urol 2016;69:413-6.

    Article  Google Scholar 

  9. Tzortzakakis A, Gustafsson O, Karlsson M, Ekström-Ehn L, Ghaffarpour R, Axelsson R. Visual evaluation and differentiation of renal oncocytomas from renal cell carcinomas by means of 99mTcsestamibi SPECT/CT. EJNMMI Res 2017;7:29.

    Article  Google Scholar 

Download references

Author information

Affiliations

Authors

Corresponding author

Correspondence to Jonathan Romsa MD.

Additional information

Publisher's Note

Springer Nature remains neutral with regard to jurisdictional claims in published maps and institutional affiliations.

Rights and permissions

Reprints and Permissions

About this article

Verify currency and authenticity via CrossMark

Cite this article

Alkordy, T., Wang, S., Price, M. et al. Evaluation of an incidental solid renal mass during cardiac Tc-99m MIBI SPECT/CT imaging. J. Nucl. Cardiol. 28, 760–762 (2021). https://doi.org/10.1007/s12350-020-02037-z

Download citation

  • Received:

  • Accepted:

  • Published:

  • Issue Date:

  • DOI: https://doi.org/10.1007/s12350-020-02037-z