Skip to main content

Cardiac MRI for the evaluation of oncologic cardiotoxicity

Abstract

Cancer therapeutics-related cardiac dysfunction (CTRCD) is a well-established adverse effect resulting from a number of cancer therapeutics. Newer immunotherapy has been associated with cardiomyopathy and myocarditis making comprehensive imaging useful for early recognition. Cardiac MRI (CMR) offers a comprehensive evaluation to detect CTRCD. Established guidelines for monitoring left ventricular ejection fraction for potential cardiotoxicity have recently incorporated CMR. We will review the utility of CMR in contemporary evaluation for potential oncologic cardiotoxicity.

This is a preview of subscription content, access via your institution.

Figure 1
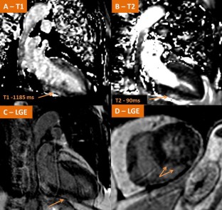
Figure 2
Figure 3
Figure 4

Adapted from Plana et al.8

Figure 5

Borrowed with permission from Taylor et al.34

Figure 6

Borrowed with permission from Jordan et al.41

Figure 7
Figure 8

Abbreviations

CMR:

Cardiac MRI

CTRCD:

Cancer therapeutics-related cardiac dysfunction

ECV:

Extracelluar volume fraction

GLS:

Global longitudinal strain

LGE:

Late gadolinium enhancement

LV:

Left ventricle

RT:

Radiation therapy

References

  1. Tan C, Tasaka H, Yu KP, Murphy ML, Karnofsky DA. Daunomycin, an antitumor antibiotic, in the treatment of neoplastic disease. clinical evaluation with special reference to childhood leukemia. Cancer 1967;20:333-53.

    Article  CAS  PubMed  Google Scholar 

  2. Alexander J, Dainiak N, Berger HJ, Goldman L, Johnstone D, Reduto L, et al. Serial assessment of doxorubicin cardiotoxicity with quantitative radionuclide angiocardiography. N Engl J Med 1979;300:278-83.

    Article  CAS  Google Scholar 

  3. Schwartz RG, McKenzie WB, Alexander J, Sager P, D’Souza A, Manatunga A, et al. Congestive heart failure and left ventricular dysfunction complicating doxorubicin therapy: Seven-year experience using serial radionuclide angiocardiography. Am J Med 1987;82:1109-18.

    Article  CAS  Google Scholar 

  4. Seidman A, Hudis C, Pierri MK, Shak S, Paton V, Ashby M, et al. Cardiac dysfunction in the trastuzumab clinical trials experience. J Clin Oncol 2002;20:1215-21.

    Article  CAS  PubMed  Google Scholar 

  5. Poust JC, Woolery JE, Green MR. Management of toxicities associated with high-dose interleukin-2 and biochemotherapy. Anticancer Drugs 2013;24:1-13.

    Article  CAS  PubMed  Google Scholar 

  6. Larkin J, Hodi FS, Wolchok JD. Combined nivolumab and ipilimumab or monotherapy in untreated melanoma. N Engl J Med 2015;373:1270-1.

    Article  CAS  Google Scholar 

  7. Johnson DB, Balko JM, Compton ML, Chalkias S, Gorham J, Xu Y, et al. Fulminant myocarditis with combination immune checkpoint blockade. N Engl J Med 2016;375:1749-55.

    Article  CAS  PubMed  PubMed Central  Google Scholar 

  8. Plana JC, Galderisi M, Barac A, Ewer MS, Ky B, Scherrer-Crosbie M, et al. Expert consensus for multimodality imaging evaluation of adult patients during and after cancer therapy: A report from the american society of echocardiography and the european association of cardiovascular imaging. J Am Soc Echocardiogr 2014;27:911-39.

    Article  Google Scholar 

  9. Salerno M, Kramer CM. Advances in parametric mapping with CMR imaging. JACC Cardiovasc Imaging 2013;6:806-22.

    Article  PubMed  PubMed Central  Google Scholar 

  10. Shaw PW, Kramer CM. The case for CMR. J Nucl Cardiol 2015;22:968-70.

    Article  PubMed  PubMed Central  Google Scholar 

  11. Jiji RS, Kramer CM, Salerno M. Non-invasive imaging and monitoring cardiotoxicity of cancer therapeutic drugs. J Nucl Cardiol 2012;19:377-88.

    Article  PubMed  PubMed Central  Google Scholar 

  12. Mor-Avi V, Lang RM. Is echocardiography reliable for monitoring the adverse cardiac effects of chemotherapy? J Am Coll Cardiol 2013;61:85-7.

    Article  PubMed  Google Scholar 

  13. Otterstad JE, Froeland G, St John Sutton M, Holme I. Accuracy and reproducibility of biplane two-dimensional echocardiographic measurements of left ventricular dimensions and function. Eur Heart J 1997;18:507-13.

    Article  CAS  PubMed  Google Scholar 

  14. Thavendiranathan P, Grant AD, Negishi T, Plana JC, Popovic ZB, Marwick TH. Reproducibility of echocardiographic techniques for sequential assessment of left ventricular ejection fraction and volumes: Application to patients undergoing cancer chemotherapy. J Am Coll Cardiol 2013;61:77-84.

    Article  Google Scholar 

  15. Jenkins C, Chan J, Hanekom L, Marwick TH. Accuracy and feasibility of online 3-dimensional echocardiography for measurement of left ventricular parameters. J Am Soc Echocardiogr 2006;19:1119-28.

    Article  PubMed  Google Scholar 

  16. Armstrong AC, Gidding S, Gjesdal O, Wu C, Bluemke DA, Lima JA. LV mass assessed by echocardiography and CMR, cardiovascular outcomes, and medical practice. JACC Cardiovasc Imaging 2012;5:837-48.

    Article  PubMed  PubMed Central  Google Scholar 

  17. Schulz-Menger J, Bluemke DA, Bremerich J, Flamm SD, Fogel MA, Friedrich MG, et al. Standardized image interpretation and post processing in cardiovascular magnetic resonance: Society for cardiovascular magnetic resonance (SCMR) board of trustees task force on standardized post processing. J Cardiovasc Magn Reson 2013. https://doi.org/10.1186/1532-429X-15-35.

    Article  PubMed  PubMed Central  Google Scholar 

  18. Armstrong GT, Plana JC, Zhang N, Srivastava D, Green DM, Ness KK, et al. Screening adult survivors of childhood cancer for cardiomyopathy: Comparison of echocardiography and cardiac magnetic resonance imaging. J Clin Oncol 2012;30:2876-84.

    Article  PubMed  PubMed Central  Google Scholar 

  19. Grothues F, Smith GC, Moon JCC, Bellenger NG, Collins P, Klein HU, et al. Comparison of interstudy reproducibility of cardiovascular magnetic resonance with two-dimensional echocardiography in normal subjects and in patients with heart failure or left ventricular hypertrophy. Am J Cardiol 2002;90:29-34.

    Article  PubMed  Google Scholar 

  20. Fallah-Rad N, Walker JR, Wassef A, Lytwyn M, Bohonis S, Fang T, et al. The utility of cardiac biomarkers, tissue velocity and strain imaging, and cardiac magnetic resonance imaging in predicting early left ventricular dysfunction in patients with human epidermal growth factor receptor II—Positive breast cancer treated with adjuvant trastuzumab therapy. J Am Coll Cardiol 2011;57:2263-70.

    Article  CAS  PubMed  Google Scholar 

  21. Poterucha JT, Kutty S, Lindquist RK, Li L, Eidem BW. Changes in left ventricular longitudinal strain with anthracycline chemotherapy in adolescents precede subsequent decreased left ventricular ejection fraction. J Am Soc Echocardiogr 2012;25:733-40.

    Article  PubMed  Google Scholar 

  22. Negishi K, Negishi T, Hare JL, Haluska BA, Plana JC, Marwick TH. Independent and incremental value of deformation indices for prediction of trastuzumab-induced cardiotoxicity. J Am Soc Echocardiogr 2013;26:493-8.

    Article  PubMed  Google Scholar 

  23. Zerhouni EA, Parish DM, Rogers WJ, Yang A, Shapiro EP. Human heart: Tagging with MR imaging–a method for noninvasive assessment of myocardial motion. Radiology 1988;169:59-63.

    Article  CAS  PubMed  Google Scholar 

  24. Drafts BC, Twomley KM, D’Agostino R Jr, Lawrence J, Avis N, Ellis LR, et al. Low to moderate dose anthracycline-based chemotherapy is associated with early noninvasive imaging evidence of subclinical cardiovascular disease. JACC Cardiovasc Imaging 2013;6:877-85.

    Article  PubMed  PubMed Central  Google Scholar 

  25. Jordan JH, Sukpraphrute B, Melendez GC, Jolly MP, D’Agostino RB Jr, Hundley WG. Early myocardial strain changes during potentially cardiotoxic chemotherapy may occur as a result of reductions in left ventricular end-diastolic volume: The need to interpret left ventricular strain with volumes. Circulation 2017;135:2575-7.

    Article  PubMed  PubMed Central  Google Scholar 

  26. Vo HQ, Marwick TH, Negishi K. MRI-derived myocardial strain measures in normal subjects. JACC Cardiovasc Imaging 2018;11:196-205.

    Article  PubMed  Google Scholar 

  27. Salerno M. Feature tracking by CMR: A “double feature”? JACC Cardiovasc Imaging 2018;11:206-8.

    Article  PubMed  Google Scholar 

  28. Wang SY, Long JB, Hurria A, Owusu C, Steingart RM, Gross CP, et al. Cardiovascular events, early discontinuation of trastuzumab, and their impact on survival. Breast Cancer Res Treat 2014;146:411-9.

    Article  CAS  PubMed  Google Scholar 

  29. Kim RJ, Wu E, Rafael A, Chen E, Parker MA, Simonetti O, et al. The use of contrast-enhanced magnetic resonance imaging to identify reversible myocardial dysfunction. N Engl J Med 2000;343:1445-53.

    Article  CAS  PubMed  Google Scholar 

  30. Neilan TG, Coelho-Filho OR, Shah RV, Feng JH, Pena-Herrera D, Mandry D, et al. Myocardial extracellular volume by cardiac magnetic resonance imaging in patients treated with anthracycline-based chemotherapy. Am J Cardiol 2013;111:717-22.

    Article  CAS  PubMed  Google Scholar 

  31. Bernaba BN, Chan JB, Lai CK, Fishbein MC. Pathology of late-onset anthracycline cardiomyopathy. Cardiovasc Pathol 2010;19:308-11.

    Article  CAS  PubMed  Google Scholar 

  32. Fallah-Rad N, Lytwyn M, Fang T, Kirkpatrick I, Jassal DS. Delayed contrast enhancement cardiac magnetic resonance imaging in trastuzumab induced cardiomyopathy. J Cardiovasc Magn Reson 2008. https://doi.org/10.1186/1532-429X-10-5.

    Article  PubMed  PubMed Central  Google Scholar 

  33. Salerno M, Sharif B, Arheden H, Kumar A, Axel L, Li D, et al. Recent advances in cardiovascular magnetic resonance: Techniques and applications. Circ Cardiovasc Imaging 2017. https://doi.org/10.1161/circimaging.116.003951.

    Article  PubMed  PubMed Central  Google Scholar 

  34. Taylor AJ, Salerno M, Dharmakumar R, Jerosch-Herold M. T1 mapping: Basic techniques and clinical applications. JACC Cardiovasc Imaging 2016;9:67-81.

    Article  PubMed  Google Scholar 

  35. Bonner F, Spieker M, Haberkorn S, Jacoby C, Flogel U, Schnackenburg B, et al. Myocardial T2 mapping increases noninvasive diagnostic accuracy for biopsy-proven myocarditis. JACC Cardiovasc Imaging 2016;9:1467-9.

    Article  PubMed  Google Scholar 

  36. Abdel-Aty H, Zagrosek A, Schulz-Menger J, Taylor AJ, Messroghli D, Kumar A, et al. Delayed enhancement and T2-weighted cardiovascular magnetic resonance imaging differentiate acute from chronic myocardial infarction. Circulation 2004;109:2411-6.

    Article  PubMed  Google Scholar 

  37. Abdel-Aty H, Cocker M, Friedrich MG. Myocardial edema is a feature of tako-tsubo cardiomyopathy and is related to the severity of systolic dysfunction: Insights from T2-weighted cardiovascular magnetic resonance. Int J Cardiol 2009;132:291-3.

    Article  PubMed  Google Scholar 

  38. Gazoti Debessa CR, Mesiano Maifrino LB, Rodrigues de Souza R. Age related changes of the collagen network of the human heart. Mech Ageing Dev 2001;122:1049-58.

    Article  CAS  PubMed  Google Scholar 

  39. Ugander M, Oki AJ, Hsu LY, Kellman P, Greiser A, Aletras AH, et al. Extracellular volume imaging by magnetic resonance imaging provides insights into overt and sub-clinical myocardial pathology. Eur Heart J 2012;33:1268-78.

    Article  CAS  PubMed  PubMed Central  Google Scholar 

  40. Flett AS, Hayward MP, Ashworth MT, Hansen MS, Taylor AM, Elliott PM, et al. Equilibrium contrast cardiovascular magnetic resonance for the measurement of diffuse myocardial fibrosis: Preliminary validation in humans. Circulation 2010;122:138-44.

    Article  PubMed  Google Scholar 

  41. Jordan JH, Vasu S, Morgan TM, D’Agostino RB Jr, Melendez GC, Hamilton CA, et al. Anthracycline-associated T1 mapping characteristics are elevated independent of the presence of cardiovascular comorbidities in cancer survivors. Circ Cardiovasc Imaging 2016. https://doi.org/10.1161/circimaging.115.004325.

    Article  PubMed  PubMed Central  Google Scholar 

  42. Cardinale D, Colombo A, Bacchiani G, Tedeschi I, Meroni CA, Veglia F, et al. Early detection of anthracycline cardiotoxicity and improvement with heart failure therapy. Circulation 2015;131:1981-8.

    Article  CAS  Google Scholar 

  43. Nielsen KM, Offersen BV, Nielsen HM, Vaage-Nilsen M, Yusuf SW. Short and long term radiation induced cardiovascular disease in patients with cancer. Clin Cardiol 2017;40:255-61.

    Article  PubMed  PubMed Central  Google Scholar 

  44. Maraldo MV, Giusti F, Vogelius IR, Lundemann M, van der Kaaij MA, Ramadan S, et al. Cardiovascular disease after treatment for hodgkin’s lymphoma: An analysis of nine collaborative EORTC-LYSA trials. Lancet Haematol 2015;2:e492-e502.

    Article  PubMed  Google Scholar 

  45. Bogaert J, Francone M. Cardiovascular magnetic resonance in pericardial diseases. J Cardiovasc Magn Reson 2009. https://doi.org/10.1186/1532-429X-11-14.

    Article  PubMed  PubMed Central  Google Scholar 

Download references

Disclosures

MS receives grant support from Astra Zeneca and research support from Siemens. MS is supported in part by NIH R01 HL131919, and AL is supported by NIH 5T32EB003841.

Author information

Affiliations

Authors

Corresponding author

Correspondence to Michael Salerno MD, PhD, MS.

Additional information

The authors of this article have provided a PowerPoint file, available for download at SpringerLink, which summarizes the contents of the paper and is free for re-use at meetings and presentations. Search for the article DOI on SpringerLink.com.

Electronic supplementary material

Below is the link to the electronic supplementary material.

Supplementary material 1 (PPTX 1214 kb)

Rights and permissions

Reprints and Permissions

About this article

Verify currency and authenticity via CrossMark

Cite this article

Löffler, A.I., Salerno, M. Cardiac MRI for the evaluation of oncologic cardiotoxicity. J. Nucl. Cardiol. 25, 2148–2158 (2018). https://doi.org/10.1007/s12350-018-1293-9

Download citation

  • Received:

  • Accepted:

  • Published:

  • Issue Date:

  • DOI: https://doi.org/10.1007/s12350-018-1293-9

Keywords

  • Cardiac MRI
  • cardio-oncology
  • cardiac toxicity