Skip to main content

The prognostic value of quantitating and localizing F-18 FDG uptake in cardiac sarcoidosis

Abstract

Background

There is no identified level of FDG uptake in cardiac sarcoidosis (CS) associated with increased risk of arrhythmias, conduction disease, heart failure, or death. We aim to utilize standardized uptake value (SUV) quantitation and localization to identify patients at increased risk of cardiac events.

Methods and Results

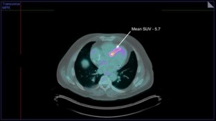
F18-FDG PET/CT with MPI was used in CS diagnosis (N = 67). Mean and max SUV were measured and grouped as basal, mid, and apical disease. Post-scan ventricular tachycardia, AICD placement, complete heart block, pacemaker placement, atrial fibrillation, heart failure, and cardiac-related hospital admissions were recorded (mean follow up 2.98 ± 2 years). Poisson regression analysis revealed that max SUV, mean SUV, as well as mean basal SUV, and LVEF were significantly associated with total cardiac events. Max SUV odds ratio (OR) = 1.068 (95% CI 1.024-1.114, P = 0.002), mean SUV OR = 1.059 (95% CI 1.008-1.113, P = 0.023), mean SUV OR = 1.061 (95% CI 1.012-1.112, P = 0.014), scan LVEF OR = 0.731 (95% CI 0.664-0.805, P < 0.001).

Conclusions

SUV at time of CS diagnosis has significant associations with future cardiac events. Patients with higher SUV, particularly in basal segments, are at increased risk of events. Further studies are needed to identify treatment methods utilizing risk stratification of CS.

This is a preview of subscription content, access via your institution.

Figure 1
Figure 2
Figure 3

Abbreviations

F18:

Flourine 18

FDG:

Fluorodeoxyglucose

MPI:

Myocardial perfusion imaging

CS:

Cardiac Sarcoidosis

SUV:

Standardized Uptake Value

VT:

Ventricular Tachycardia

AICD:

Automatic Implantable Cardiac Defibrillator

CHB:

Complete Heart block

PPM:

Permanent Pacemaker

References

  1. Schindler TH, Valenta I. Isolated cardiac sarcoidosis-A rare disease entity? Int J Cardiol 2018;253:194–195. https://doi.org/10.1016/j.ijcard.2017.11.005

    Article  Google Scholar 

  2. West SG. Current management of sarcoidosis I. Curr Opin Rheumatol 2018. https://doi.org/10.1097/bor.0000000000000489.

    Article  PubMed  Google Scholar 

  3. Slart RHJA, Glaudemans AWJM, Lancellotti P, et al. A joint procedural position statement on imaging in cardiac sarcoidosis: from the Cardiovascular and Inflammation & Infection Committees of the European Association of Nuclear Medicine, the European Association of Cardiovascular Imaging, and the Ameri. J Nucl Cardiol 2018;25:298-319. https://doi.org/10.1007/s12350-017-1043-4.

    Article  PubMed  Google Scholar 

  4. Blankstein R, Kramer CM, Chandrashekhar Y. The challenges of diagnosing cardiac sarcoidosis. JACC Cardiovasc Imaging 2017;10(12):1534-6.

    Article  Google Scholar 

  5. Terasaki F, Yoshinaga K. New guidelines for diagnosis of cardiac sarcoidosis in Japan. Ann Nucl Cardiol 2017;3:42-5. https://doi.org/10.17996/anc.17-00042.

    Article  Google Scholar 

  6. Birnie DH, Sauer WH, Bogun F, et al. HRS expert consensus statement on the diagnosis and management of arrhythmias associated with cardiac sarcoidosis. Hear Rhythm 2014;11:1305-24. https://doi.org/10.1016/j.hrthm.2014.03.043.

    Article  Google Scholar 

  7. Chareonthaitawee P, Beanlands RS, Chen W, et al. Joint SNMMI–ASNC expert consensus document on the role of18F-FDG PET/CT in cardiac sarcoid detection and therapy monitoring. J Nucl Cardiol 2017;24:1741-58. https://doi.org/10.1007/s12350-017-0978-9.

    Article  PubMed  Google Scholar 

  8. Bremer W, Sweiss NJ, Lu Y. FDG-PET/CT Imaging in the Management of Cardiac Sarcoidosis Serial. Clin Nucl Med 2017. https://doi.org/10.1097/rlu.0000000000001919.

    Article  PubMed  Google Scholar 

  9. Ahmadian A, Pawar S, Govender P, Berman J, Ruberg FL, Miller EJ. The, response of FDG uptake to immunosuppressive treatment on FDG PET/CT imaging for cardiac sarcoidosis. J Nucl Cardiol. https://doi.org/10.1007/s12350-016-0490-7.

    Article  PubMed  Google Scholar 

  10. Muser D, Santangeli P, Castro SA, et al. Prognostic role of serial quantitative evaluation of 18F-fluorodeoxyglucose uptake by PET/CT in patients with cardiac sarcoidosis presenting with ventricular tachycardia. Eur J Nucl Med Mol Imaging 2018. https://doi.org/10.1007/s00259-018-4001-8.

    Article  PubMed  Google Scholar 

  11. Al-Khatib SM, Stevenson WG, Ackerman MJ, et al. 2017 AHA/ACC/HRS Guideline for Management of Patients With Ventricular Arrhythmias and the Prevention of Sudden Cardiac Death. Hear Rhythm 2017. https://doi.org/10.1016/j.hrthm.2017.10.036.

    Article  Google Scholar 

  12. Gregoratos G, Cheitlin MD, Conill A, et al. ACC/AHA Practice Guidelines ACC/AHA Guidelines for Implantation of Cardiac Pacemakers and Antiarrhythmia Devices: Executive Summary A Report of the American College of Cardiology/American Heart Association Task Force on Practice Guidelines (Commit. 1991.

  13. Kandolin R, Lehtonen J, Airaksinen J, et al. Cardiac sarcoidosis: Epidemiology, characteristics, and outcome over 25 years in a nationwide study. Circulation 2015;131(7):624-32. https://doi.org/10.1161/CIRCULATIONAHA.114.011522.

    Article  PubMed  Google Scholar 

  14. Nery PB, Beanlands RS, Nair GM, et al. Atrioventricular block as the initial manifestation of cardiac sarcoidosis in middle-aged adults. J Cardiovasc Electrophysiol 2014;25(8):875-81. https://doi.org/10.1111/jce.12401.

    Article  PubMed  Google Scholar 

  15. Sperry BW, Tamarappoo BK, Oldan JD, et al. Prognostic impact of extent, severity, and heterogeneity of abnormalities on 18F-FDG PET scans for suspected cardiac sarcoidosis. JACC Cardiovasc Imaging 2017;11:336-45. https://doi.org/10.1016/j.jcmg.2017.04.020.

    Article  PubMed  Google Scholar 

  16. McArdle BA, Birnie DH, Klein R, et al. Is there an association between clinical presentation and the location and extent of myocardial involvement of cardiac sarcoidosis as assessed by 18F-fluorodoexyglucose positron emission tomography? Circ Cardiovasc Imaging 2013;6:617-26. https://doi.org/10.1161/CIRCIMAGING.112.000289.

    Article  Google Scholar 

  17. Manabe O, Ohira H, Yoshinaga K, et al. Elevated 18F-fluorodeoxyglucose uptake in the interventricular septum is associated with atrioventricular block in patients with suspected cardiac involvement sarcoidosis. Eur J Nucl Med Mol Imaging 2013;40:1558-66. https://doi.org/10.1007/s00259-013-2460-5.

    CAS  Article  PubMed  Google Scholar 

  18. Ishiyama M, Soine LA, Vesselle HJ. Semi-quantitative metabolic values on FDG PET/CT including extracardiac sites of disease as a predictor of treatment course in patients with cardiac sarcoidosis. EJNMMI Res 2017;7:67. https://doi.org/10.1186/s13550-017-0315-y.

    CAS  Article  PubMed  PubMed Central  Google Scholar 

  19. Ahmadian A, Pawar S, Govender P. The response of FDG uptake to immunosuppressive treatment on FDG PET/CT imaging for cardiac sarcoidosis. J Nucl Cardiol 2017;24:413-24. https://doi.org/10.1007/s12350-016-0490-7.

    Article  PubMed  Google Scholar 

  20. Kumar S, Barbhaiya C, Nagashima K, et al. Ventricular tachycardia in cardiac sarcoidosis: Characterization of ventricular substrate and outcomes of catheter ablation. Circ Arrhythmia Electrophysiol 2015;8:87-93. https://doi.org/10.1161/CIRCEP.114.002145.

    Article  Google Scholar 

  21. Doughan AR. Cardiac sarcoidosis. Heart 2006;92:282-8. https://doi.org/10.1136/hrt.2005.080481.

    Article  PubMed  PubMed Central  Google Scholar 

  22. Lee PI, Cheng G, Alavi A. The role of serial FDG PET for assessing therapeutic response in patients with cardiac sarcoidosis. J Nucl Cardiol 2017;24:19-28. https://doi.org/10.1007/s12350-016-0682-1.

    Article  PubMed  Google Scholar 

Download references

Disclosures

The authors declare that they do not have any conflicts of interest to disclose.

Author information

Affiliations

Authors

Corresponding author

Correspondence to R. J. Flores MD.

Additional information

The authors of this article have provided a PowerPoint file, available for download at SpringerLink, which summarises the contents of the paper and is free for re-use at meetings and presentations. Search for the article DOI on SpringerLink.com.

Electronic supplementary material

Below is the link to the electronic supplementary material.

Supplementary material 1 (DOCX 13 kb)

Supplementary material 2 (PPTX 194 kb)

Rights and permissions

Reprints and Permissions

About this article

Verify currency and authenticity via CrossMark

Cite this article

Flores, R.J., Flaherty, K.R., Jin, Z. et al. The prognostic value of quantitating and localizing F-18 FDG uptake in cardiac sarcoidosis. J. Nucl. Cardiol. 27, 2003–2010 (2020). https://doi.org/10.1007/s12350-018-01504-y

Download citation

  • Received:

  • Accepted:

  • Published:

  • Issue Date:

  • DOI: https://doi.org/10.1007/s12350-018-01504-y

Keywords

  • Sarcoid heart diseases
  • PET
  • image analysis
  • diagnostic and prognostic application
  • inflammation
  • statistical analysis