Skip to main content

The truncation artifact

This is a preview of subscription content, access via your institution.

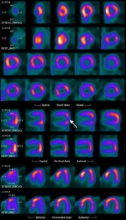
Figure 1
Figure 2
Figure 3
Figure 4
Figure 5

References

  1. DePuey EG, Berman DS, Garcia EV. Cardiac SPECT imaging. New York: Raven Press; 1995.

    Google Scholar 

  2. Xiao J, Verzijlbergen FJ, Viergever MA, Beekman FJ. Small field-of-view dedicated cardiac SPECT systems: Impact of projection truncation. Eur J Nucl Med Mol Imaging 2010;37:528-36.

    Article  PubMed  Google Scholar 

  3. Sabondjian E, Stodilka RZ, Belhocine T, King ME, Wisenberg G, Prato FS. Small field-of-view cardiac SPECT can be implemented on hybrid SPECT/CT platforms where data acquisition and reconstruction are guided by CT. Nucl Med Commun 2009;30:718-26.

    Article  PubMed  Google Scholar 

  4. Hashimoto J, Sammiya T, Ogasawara K, et al. Scatter and attenuation correction for quantitative myocardial SPECT imaging. Kaku Igaku 1996;33:1015-9.

    CAS  PubMed  Google Scholar 

  5. Gregoriou GK, Tsui BM, Gullberg GT. Effect of truncated projections on defect detection in attenuation-compensated fanbeam cardiac SPECT. J Nucl Med 1998;39:166-75.

    CAS  PubMed  Google Scholar 

  6. Martin WH, Jones RC, Delbeke D, Sandler MP. A simplified intravenous glucose loading protocol for fluorine-18 fluorodeoxyglucose cardiac single-photon emission tomography. Eur J Nucl Med 1997;24:1291-7.

    CAS  Article  PubMed  Google Scholar 

  7. vom Dahl J, Hicks R, Lee FK, et al. Positron emission tomography viability studies in patients with diabetes mellitus. J Am Coll Cardiol 1991;17:121A.

    Article  Google Scholar 

  8. Prellwitz J, Vasta M, Sunderland J, et al. Investigation of factors influencing FDG myocardial image quality. J Nucl Med 1991;32:1030 (abst).

    Google Scholar 

  9. Bax JJ, Visser FC, van Lingen A. Feasibility of myocardial F-18-fluorodeoxyglucose single photon emission computed tomography in patients with non-insulin dependent diabetes mellitus. Nucl Med Commun 1997;18:200-6.

    CAS  Article  PubMed  Google Scholar 

Download references

Author information

Affiliations

Authors

Corresponding author

Correspondence to Brian Wosnitzer MD.

Rights and permissions

Reprints and Permissions

About this article

Cite this article

Wosnitzer, B., Gadiraju, R. & DePuey, G. The truncation artifact. J. Nucl. Cardiol. 18, 187–191 (2011). https://doi.org/10.1007/s12350-010-9290-7

Download citation

  • Published:

  • Issue Date:

  • DOI: https://doi.org/10.1007/s12350-010-9290-7

Keywords

  • Myocardial Perfusion Imaging
  • Dipyridamole
  • Perfusion Defect
  • Tomographic Image
  • Chest Circumference