Skip to main content

A rare case of gallbladder cancer with multiple metastases to the colon

Abstract

Gallbladder cancer is often diagnosed with metastasis and is known to have poor prognosis. Although, gallbladder cancer often metastasizes to liver, lung, or lymph nodes, metastasis to gastrointestinal tract is not common. Several autopsy studies reported colorectal metastasis from gallbladder cancer, but most of these cases were supposed to be gastrointestinal invasion from peritoneal dissemination. We experienced a rare case of hematogenous colon metastasis from gallbladder cancer. Colonoscopy for a 76-year-old man who was diagnosed as gallbladder cancer revealed two 5-mm flatly elevated lesions with central erosion in the transverse and sigmoid colon. Endoscopic mucosal resection (EMR) revealed poorly differentiated adenocarcinoma in hematoxylin and eosin staining. Additional immunohistochemistry examination showed strongly positive CK7 expression with negative CDX2, and suggested colon metastases from gallbladder cancer. Despite the positive vertical margin in EMR specimens, autopsy finding denied colorectal invasion from peritoneal dissemination and proved vascular spread colon metastases. Gastrointestinal metastasis is often misdiagnosed as a primary tumor, and thus, it is important to recognize gallbladder cancer as a potential origin of gastrointestinal metastasis.

This is a preview of subscription content, access via your institution.

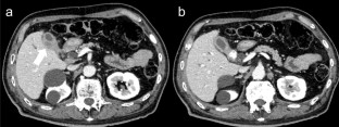
Fig. 1
Fig. 2
Fig. 3
Fig. 4
Fig. 5

References

  1. Ferlay J, Soerjomataram I, Dikshit R, et al. Cancer incidence and mortality worldwide: Sources, methods and major patterns in GLOBOCAN 2012. Int J Cancer. 2015;136:E359–86.

    CAS  PubMed  PubMed Central  Google Scholar 

  2. Hundal R, Shaffer EA. Gallbladder cancer: epidemiology and outcome. Clin Epidemiol. 2014;6:99–109.

    PubMed  PubMed Central  Google Scholar 

  3. Zhu X, Zhang X, Hu X, et al. Survival analysis of patients with primary gallbladder cancer from 2010 to 2015. Medicine. 2020;99:40.

    Google Scholar 

  4. Levy AD, Murkata LA, Rohrmann CA. Gallbladder carcinoma: radiologic-pathologic correlation. Radiographics. 2001;21:295–314.

    CAS  Article  Google Scholar 

  5. Sons HU, Borchard F, Joel BS. Carcinoma of the gallbladder: autopsy findings in 287 cases and review of the literature. J Surg Oncol. 1985;28:199–206.

    CAS  Article  Google Scholar 

  6. Menuck LS, Amberg JR. Metastatic disease involving the stomach. Am J Dig Dis. 1975;20:903–13.

    CAS  Article  Google Scholar 

  7. Haendchen Bento L, Kazuyoshi Minata M, Pires Batista C, et al. Clinical and endoscopic aspects of metastases to the gastrointestinal tract. Endoscopy. 2019;51:646–52.

    Article  Google Scholar 

  8. Gilg MM, Gröchenig HP, Schlemmer A, et al. Secondary tumors of the GI tract: origin, histology, and endoscopic findings. Gastrointest Endosc. 2018;88:151–8.

    Article  Google Scholar 

  9. Pezzuto A, Mariotta S, Fioretti F, et al. Metastasis to the colon from lung cancer presenting with severe hyponatremia and dyspnea in a young male: a case report and review of the literature. Oncol Lett. 2013;5:1477–80.

    Article  Google Scholar 

  10. Lin L, Wang X, Tang C, et al. Clinical characteristics and prognosis of gastrointestinal metastases in solid tumor patients: a retrospective study and review of literatures. Anal Cell Pathol (Amst). 2019;2019:1–7.

    Article  Google Scholar 

  11. Villa Guzman JC, Espinosa J, Cervera R, et al. Gastric and colon metastasis from breast cancer: case report, review of the literature, and possible underlying mechanisms. Breast Cancer (Dove Med Press). 2017;9:1–7.

    Google Scholar 

  12. Lee H, Yang M, Lin K, et al. Metastases from gastric carcinoma to colon in the form of multiple flat elevated lesions: a case report. Kaohsiung J Med Sci. 2004;20:552–7.

    Article  Google Scholar 

  13. Pace U, Contino G, Chiappa A, et al. Metachronous colon metastases from gastric adenocarcinoma: a case report. Case Rep Oncol. 2009;2:92–6.

    Article  Google Scholar 

  14. Cuello AC, Priestley JV, Sofroniew MV. Immunocytochemistry and neurobiology. Q J Exp Physiol. 1983;68:545–78.

    CAS  Article  Google Scholar 

  15. Werling RW, Yaziji H, Bacchi CE, et al. CDX2, a highly sensitive and specific marker of adenocarcinomas of intestinal origin. Am J Surg Pathol. 2003;27:303–10.

    Article  Google Scholar 

  16. Kalekou H, Miliaras D. Cytokeratin 7 and 20 expression in Gallbladder carcinoma. Polish J Pathol. 2011;62:25–30.

    Google Scholar 

  17. Duval JV, Savas L, Banner BF. Expression of cytokeratins 7 and 20 in carcinomas of the extrahepatic biliary tract, pancreas, and gallbladder. Arch Pathol Lab Med. 2000;124:1196–200.

    CAS  Article  Google Scholar 

  18. Yamada I, Ajiki T, Ueno K, et al. Feasibility of 18F-fluorodeoxyglucose positron-emission tomography for preoperative evaluation of biliary tract cancer. Anticancer Res. 2012;32:5105–10.

    CAS  PubMed  Google Scholar 

  19. Burlina A, Rubin D, Secchiero S, et al. Monitoring skeletal cancer metastases with the bone isoenzyme of tissue unspecific alkaline phosphatase. Clin Chim Acta. 1994;226:151–8.

    CAS  Article  Google Scholar 

Download references

Author information

Affiliations

Authors

Corresponding author

Correspondence to Hideo Yoshida.

Ethics declarations

Conflict of interest

Shuichi Tange, Ryunosuke Hakuta, Yousuke Nakai, Hiroki Oyama, Kensaku Noguchi, Yukiko Ito, Yuan Bae, Toshio Kumasaka and Hideo Yoshida declare that they have no conflict of interest.

Human right

All procedures followed have been performed in accordance with the ethical standards laid down in the 1964 Declaration of Helsinki and its later amendments.

Informed consent

Informed consent was obtained from all patients for being included in the study.

Additional information

Publisher's Note

Springer Nature remains neutral with regard to jurisdictional claims in published maps and institutional affiliations.

Rights and permissions

Reprints and Permissions

About this article

Verify currency and authenticity via CrossMark

Cite this article

Tange, S., Hakuta, R., Nakai, Y. et al. A rare case of gallbladder cancer with multiple metastases to the colon. Clin J Gastroenterol 14, 608–612 (2021). https://doi.org/10.1007/s12328-020-01301-6

Download citation

  • Received:

  • Accepted:

  • Published:

  • Issue Date:

  • DOI: https://doi.org/10.1007/s12328-020-01301-6

Keywords

  • Gallbladder cancer
  • Colon metastasis
  • Bone metastasis
  • Endoscopy