Skip to main content

A case of recurrence of a solid pseudopapillary neoplasm of the pancreas effectively treated with proton beam radiotherapy

Abstract

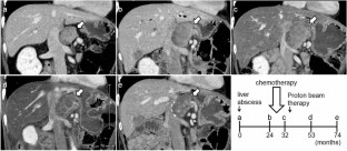
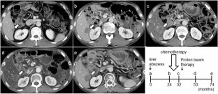
We report a case of a male in his 50 s who underwent pancreaticoduodenectomy for solid pseudopapillary neoplasm (SPN) of the pancreas at 30 years. He developed a liver abscess 15 years after the surgery, and CT scan revealed a swollen retroperitoneum lymph node and a tumor in the liver. Symptoms, including abdominal distension, appetite loss, and epigastric pain, appeared due to lymph node metastasis. Endoscopic ultrasonography-guided fine-needle aspiration against the lymph node revealed SPN recurrence. The tumor had invaded the common hepatic artery, and surgery was not indicated. Chemotherapy of Gemcitabine/nab-Paclitaxel biweekly was performed 8 times; however, no reduction in tumor size was observed, and the patient’s symptoms worsened. Proton beam therapy (67.5 GyE in 25 fractions) was subsequently performed for lymph node metastasis, and led to a gradual reduction in lymph node metastasis, and an improvement in symptoms. No re-expansion of lymph node metastasis has been observed 3 years after proton beam therapy. Since SPN is low malignancy and most cases can be expected to be cured by surgery, there is currently no standard treatment of unresectable SPN. This case is the first report of proton beam therapy for SPN, and was considered to be effective.

This is a preview of subscription content, access via your institution.

Fig. 1
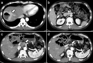
Fig. 2
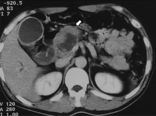
Fig. 3
Fig. 4
Fig. 5
Fig. 6

References

  1. Mengqi L, Liu J, Hu Q, et al. Management of solid pseudopapillary neoplasms of pancreas: a single center experience of 243 consecutive patients. Pancreatology. 2019;19:681–5.

    Article  Google Scholar 

  2. Lubezky N, Papoulas M, Lessing Y, et al. Solid pseudopapillary neoplasm of the pancreas: management and long-term outcome. EJSO. 2017;43:1056–60.

    CAS  Article  Google Scholar 

  3. Huffman BM, Westin G, Alsidawi S, et al. Survival and prognostic factors in patients with solid pseudopapillary neoplasms of the pancreas. Pancreas. 2018;47:1003–7.

    Article  Google Scholar 

  4. Law JK, Ahmed A, Singh VK, et al. A systematic review of solid pseudopapillary neoplasms: are these rare lesions? Pancreas. 2014;43:331–7.

    Article  Google Scholar 

  5. Marchegiani G, Andrianello S, Massignani M, et al. Solid pseudopapillary tumors of the pancreas: specific pathological features predict the likelihood of postoperative recurrence. J Surg Oncol. 2016;114:597–601.

    Article  Google Scholar 

  6. Kim CW, Han DJ, Kim J, et al. Solid pseudopapillary tumor of the pancreas: can malignancy be predicted? Surgery. 2011;149:625–34.

    Article  Google Scholar 

  7. Kang CM, Choi SH, Kim SC, et al. Predicting recurrence of pancreatic solid pseudopapillary tumors after surgical resection: a multicenter analysis in Korea. Ann Surg. 2014;260:348–55.

    Article  Google Scholar 

  8. Soloni P, Cecchetto G, Patrizia Dall’Igna, et al. Management of unresectable solid papillary cystic tumor of the pancreas. A case report and literature review. J Pediatr Surg. 2010;45:E1–6.

    Article  Google Scholar 

  9. Maffuz A, Bustamante Fde T, Silva JA, et al. Preoperative gemcitabine for unresectable, solid pseudopapillary tumour of the pancreas. Lancet Oncol. 2005;6:185–6.

    Article  Google Scholar 

  10. Hanada K, Kurihara K, Itoi T, et al. Clinical and pathological features of solid pseudopapillary neoplasms of the pancreas a nationwide multicenter study in Japan. Pancreas. 2018;47:1019–26.

    Article  Google Scholar 

  11. Fried P, Cooper J, Balthazar E, et al. A role for radiotherapy in the treatment of solid and papillary neoplasms of the pancreas. Cancer. 1985;56:2783–5.

    CAS  Article  Google Scholar 

  12. Nichols RC, Huh S, Li Z, et al. Proton therapy for pancreatic cancer. World J Gastrointest Oncol. 2015;7:141–7.

    Article  Google Scholar 

  13. Terashima K, Demizu Y, Hashimoto N, et al. A phase I/II study of gemcitabine-concurrent proton radiotherapy for locally advanced pancreatic cancer without distant metastasis. Radiother Oncol. 2012;103:25–31.

    Article  Google Scholar 

  14. Hong TS, Ryan DP, Borger DR, et al. A phase 1/2 and biomarker study of preoperative short course chemoradiation with proton beam therapy and capecitabine followed by early surgery for resectable pancreatic ductal adenocarcinoma. Int J Radiat Oncol Biol Phys. 2014;89:830–8.

    CAS  Article  Google Scholar 

  15. Paik WH, Seo DW, Dhir V, et al. Safety and efficacy of EUS-guided ethanol ablation for treating small solid pancreatic neoplasm. Medicine. 2016;95:e2538.

    CAS  Article  Google Scholar 

  16. Choi J-H, Seo D-W, Song TJ, et al. Endoscopic ultrasound-guided radiofrequency ablation for management of benign solid pancreatic tumors. Endoscopy. 2018;50:1099–104.

    Article  Google Scholar 

Download references

Acknowledgements

The authors would like to thank Araya Masayuki, Chief Doctor of Aizawa Proton Therapy Center for the implementation of proton beam therapy and the provision of the proton dose distribution map. The authors also would like to thank Enago (www.enago.jp) for the English language review.

Author information

Affiliations

Authors

Corresponding author

Correspondence to Ryo Kodama.

Ethics declarations

Conflict of interest

The authors declare that they have no conflict of interest.

Human/animal rights

All procedures were performed in accordance with the ethical standards of the responsible committee on human experimentation (institutional and national), and with the Declaration of Helsinki [1975, as revised in 2008(5)].

Informed consent

Informed consent was obtained from all included patients.

Additional information

Publisher's Note

Springer Nature remains neutral with regard to jurisdictional claims in published maps and institutional affiliations.

Rights and permissions

Reprints and Permissions

About this article

Verify currency and authenticity via CrossMark

Cite this article

Kodama, R., Koh, Y., Midorikawa, H. et al. A case of recurrence of a solid pseudopapillary neoplasm of the pancreas effectively treated with proton beam radiotherapy. Clin J Gastroenterol 14, 375–381 (2021). https://doi.org/10.1007/s12328-020-01262-w

Download citation

  • Received:

  • Accepted:

  • Published:

  • Issue Date:

  • DOI: https://doi.org/10.1007/s12328-020-01262-w

Keywords

  • Solid pseudopapillary neoplasm
  • Unresectable
  • Recurrence
  • Proton beam therapy