Skip to main content

Colitis induced by Lenvatinib in a patient with advanced hepatocellular carcinoma

Abstract

Lenvatinib is a standard molecular targeted agent for the first-line treatment of unresectable hepatocellular carcinoma. Here, we report a case of colitis induced by Lenvatinib treatment in a patient with hepatocellular carcinoma. A 78-year-old man previously treated with Lenvatinib for unresectable hepatocellular carcinoma was admitted to our hospital complaining of right lateral abdominal pain without diarrhea. Our endoscopic findings showed multiple ulcers and erosions on his ascending colon, and he was diagnosed with colitis induced by Lenvatinib treatment. After the discontinuation of Lenvatinib, his colitis improved, and he resumed Lenvatinib at a lower dose. Colitis is a rare adverse event of Lenvatinib, and this is the first detailed report of colitis induced by Lenvatinib with endoscopic findings.

This is a preview of subscription content, access via your institution.

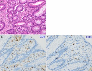
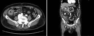
Fig. 1
Fig. 2
Fig. 3
Fig. 4

References

  1. Matsui J, Yamamoto Y, Funahashi Y, et al. E7080, a novel inhibitor that targets multiple kinases, has potent antitumor activities against stem cell factor producing human small cell lung cancer H146, based on angiogenesis inhibition. Int J Cancer. 2008;122:664–71.

    CAS  Article  Google Scholar 

  2. Matsui J, Funahashi Y, Uenaka T, et al. Multi-kinase inhibitor E7080 suppresses lymph node and lung metastases of human mammary breast tumor MDA-MB-231 via inhibition of vascular endothelial growth factor-receptor (VEGF-R) 2 and VEGF-R3 kinase. Clin Cancer Res. 2008;14:5459–65.

    CAS  Article  Google Scholar 

  3. Tohyama O, Matsui J, Kodama K, et al. Antitumor activity of lenvatinib (e7080): an angiogenesis inhibitor that targets multiple receptor tyrosine kinases in preclinical human thyroid cancer models. J Thyroid Res. 2014;2014:638747.

    Article  Google Scholar 

  4. Yamamoto Y, Matsui J, Matsushima T, et al. Lenvatinib, an angiogenesis inhibitor targeting VEGFR/FGFR, shows broad antitumor activity in human tumor xenograft models associated with microvessel density and pericyte coverage. Vasc Cell. 2014;6:18.

    Article  Google Scholar 

  5. Schlumberger M, Tahara M, Wirth LJ, et al. Lenvatinib versus placebo in radioiodine-refractory thyroid cancer. N Engl J Med. 2015;372:621–30.

    Article  Google Scholar 

  6. Kudo M, Finn RS, Qin S, et al. Lenvatinib versus sorafenib in first-line treatment of patients with unresectable hepatocellular carcinoma: a randomised phase 3 non-inferiority trial. Lancet. 2018;391:1163–73.

    CAS  Article  Google Scholar 

  7. Oda K, Matsunaga T, Sennari K, et al. Colitis associated with nintedanib therapy for idiopathic pulmonary fibrosis (IPF). Intern Med. 2017;56:1267–8.

    Article  Google Scholar 

  8. Cornelissen L, Claus F, Wolter P, et al. Incidence of bowel wall oedema on computed tomography exams and association with diarrhoea in renal cell carcinoma patients treated with sunitinib. Eur Radiol. 2015;25:375–9.

    Article  Google Scholar 

  9. Suzuki N, Tajiri K, Futsukaichi Y, et al. Perforation of the small intestine after introduction of Lenvatinib in a patient with advanced hepatocellular carcinoma. Case Rep Gastroenterol. 2020;14:63–9.

    Article  Google Scholar 

  10. Kamba T, Tam BYY, Hashizume H, et al. VEGF-dependent plasticity of fenestrated capillaries in the normal adult microvasculature. Am J Physiol Heart Circ Physiol. 2006;290:H560–H576576.

    CAS  Article  Google Scholar 

  11. Terme M, Colussi O, Marcheteau E, et al. Modulation of immunity by antiangiogenic molecules in cancer. Clin Dev Immunol. 2012;2012:492920.

    Article  Google Scholar 

  12. Katoh M. FGFR inhibitors: effects on cancer cells, tumor microenvironment and whole-body homeostasis. Int J Mol Med. 2016;38:3–15.

    CAS  Article  Google Scholar 

  13. Motzer RJ, Hutson TE, Glen H, et al. Lenvatinib, everolimus, and the combination in patients with metastatic renal cell carcinoma: a randomised, phase 2, open-label, multicenter trial. Lancet Oncol. 2015;16:1473–82.

    CAS  Article  Google Scholar 

  14. Makker V, Taylor MH, Aghajanian C, et al. Lenvatinib plus pembrolizumab in patients with advanced endometrial cancer. J Clin Oncol. 2020. https://doi.org/10.1200/JCO.19.02627.

    Article  PubMed  PubMed Central  Google Scholar 

Download references

Acknowledgements

We thank Melissa Crawford, PhD, from Edanz Group (https://en-author-services.edanzgroup.com/) for editing a draft of this manuscript.

Author information

Affiliations

Authors

Corresponding author

Correspondence to Kunihiro Tsuji.

Ethics declarations

Conflict of interest

Saori Miyajima, Kunihiro Tsuji, Yosuke Kito, Naohiro Yoshida, Kazuhiro Matsunaga, Shigetsugu Tsuji, Kazuyoshi Katayanagi, Miwa Yonezawa, Anna Kubo, Kahori Ushijima Hiroshi Minato and Hisashi Doyama declare that they have no conflict of interest.

Human rights

All procedures followed have been performed in accordance with the ethical standards laid down in the 1964 Declaration of Helsinki and its later amendments.

Informed consent

Informed consent was obtained from the patient for being included in the study.

Additional information

Publisher's Note

Springer Nature remains neutral with regard to jurisdictional claims in published maps and institutional affiliations.

Rights and permissions

Reprints and Permissions

About this article

Verify currency and authenticity via CrossMark

Cite this article

Miyajima, S., Tsuji, K., Kito, Y. et al. Colitis induced by Lenvatinib in a patient with advanced hepatocellular carcinoma. Clin J Gastroenterol 14, 187–192 (2021). https://doi.org/10.1007/s12328-020-01249-7

Download citation

  • Received:

  • Accepted:

  • Published:

  • Issue Date:

  • DOI: https://doi.org/10.1007/s12328-020-01249-7

Keywords

  • Lenvatinib
  • Colitis
  • Hepatocellular carcinoma
  • Multikinase inhibitor