Skip to main content

Hepatitis C virus-associated decompensated liver cirrhosis with refractory hepatic encephalopathy successfully treated by balloon-occluded retrograde transvenous obliteration after sofosbuvir/velpatasvir

Abstract

Sofosbuvir/velpatasvir (SOF/VEL) is expected to be highly effective, even in patients with decompensated liver cirrhosis. However, portal hypertension can be problematic after achieving a sustained viral response (SVR), especially in patients with hepatic encephalopathy (HE) associated with large portal-systemic shunt. Although balloon-occluded retrograde transvenous obliteration (BRTO) is a useful option, whether BRTO or SOF/VEL therapy should be initially performed in patients with a poor liver function reserve is controversial. We herein report a case of refractory HE caused by decompensated liver cirrhosis due to hepatitis C virus (HCV) classified as Child–Pugh class C that was treated by BRTO after SVR with SOF/VEL. A 64-year-old woman with HCV-associated decompensated cirrhosis developed refractory HE. Dynamic contrast-enhanced computed tomography (CT) revealed large portal-systemic shunt. We treated the patient with 12 weeks of SOF/VEL, and she achieved SVR. Although the serum albumin level, edema, and ascites were improved, intractable HE remained. Her general condition had been improved after SVR, so HE was suspected to have been caused by portal-systemic shunting. We, therefore, treated the patient by BRTO. On dynamic contrast-enhanced CT, partial obstruction of the shunt vessel was confirmed after BRTO. Thereafter, her serum ammonia level rapidly improved, and HE did not recur. Interventional radiology such as BRTO following SOF/VEL therapy may be a useful option even in patients with decompensated HCV-associated cirrhosis accompanied by portal-systemic shunt.

This is a preview of subscription content, access via your institution.

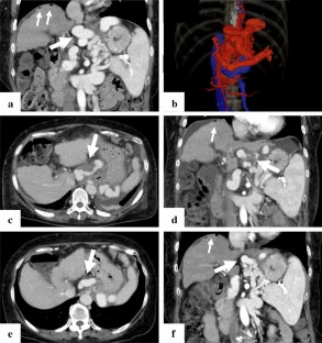
Fig. 1
Fig. 2
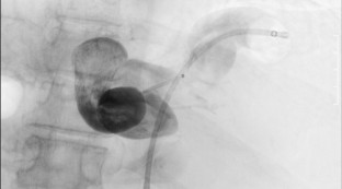
Fig. 3
Fig. 4

References

  1. Curry MP, O'Leary JG, Bzowej N, et al. Sofosbuvir and velpatasvir for HCV in patients with decompensated cirrhosis. N Engl J Med. 2015;373:2618–28.

    CAS  PubMed  PubMed Central  Google Scholar 

  2. Gane EJ, Shiffman ML, Etzkorn K, et al. Sofosbuvir-velpatasvir with ribavirin for 24 weeks in hepatitis C virus patients previously treated with a direct-acting antiviral regimen. Hepatology. 2017;66:1083–9.

    CAS  PubMed  Google Scholar 

  3. Maruyama H, Kobayashi K, Kiyono S, et al. Incidence and hemodynamic feature of risky esophageal varices with lower hepatic venous pressure gradient. Int J Med Sci. 2019;16:1614–20.

    PubMed  PubMed Central  Google Scholar 

  4. Afdhal N, Everson GT, Calleja JL, et al. Effect of viral suppression on hepatic venous pressure gradient in hepatitis C with cirrhosis and portal hypertension. J Viral Hepat. 2017;24:823–31.

    CAS  PubMed  Google Scholar 

  5. Lens S, Alvarado-Tapias E, Mariño Z, et al. Effects of all-oral anti-viral therapy on HVPG and systemic hemodynamics in patients with hepatitis C virus-associated cirrhosis. Gastroenterology. 2017;153:1273–83.

    CAS  PubMed  Google Scholar 

  6. Grgurevic I, Bozin T, Madir A. Hepatitis C is now curable, but what happens with cirrhosis and portal hypertension afterwards? Clin Exp Hepatol. 2017;3:181–6.

    PubMed  PubMed Central  Google Scholar 

  7. American Association for the Study of Liver Diseases, European Association for the Study of the Liver. Hepatic Encephalopathy in Chronic Liver Disease. Practice guideline by the European association for the study of the liver and the American association for the study of liver diseases. J Hepatol. 2014;2014:642–59.

    Google Scholar 

  8. Lee EW, Lee AE, Saab S, Kee ST (2020) Retrograde Transvenous Obliteration (RTO): A New Treatment Option for Hepatic Encephalopathy. Dig Dis Sci. 2020;65:2483–2491.

  9. Akahane T, Iwasaki T, Kobayashi N, et al. Changes in liver function parameters after occlusion of gastrorenal shunts with balloon-occluded retrograde transvenous obliteration. Am J Gastroenterol. 1997;92:1026–30.

    CAS  PubMed  Google Scholar 

  10. Kato T, Uematsu T, Nishigaki Y, et al. Therapeutic effect of balloon-occluded retrograde transvenous obliteration on portal-systemic encephalopathy in patients with liver cirrhosis. Intern Med. 2001;40:688–91.

    CAS  PubMed  Google Scholar 

  11. Fukuda T, Hirota S, Sugimura K. Long-term results of balloon-occluded retrograde transvenous obliteration for the treatment of gastric varices and hepatic encephalopathy. J Vasc Interv Radiol. 2001;12:327–36.

    CAS  PubMed  Google Scholar 

  12. Chikamori F, Kuniyoshi N, Kawashima T, et al. Short-term portal hemodynamic effects of partial splenic embolization for hypersplenism. Hepatogastroenterology. 2007;54:1847–9.

    PubMed  Google Scholar 

  13. Garbuzenko DV, Arefyev NO. Current approaches to the management of patients with cirrhotic ascites. World J Gastroenterol. 2019;25:3738–52.

    CAS  PubMed  PubMed Central  Google Scholar 

  14. European Association for the Study of the Liver. EASL clinical practice guidelines: liver transplantation. J Hepatol. 2016;64:433–85.

    Google Scholar 

  15. Iwamoto T, Saeki I, Hidaka I, et al. novel therapeutic strategy using interventional radiology (IVR) for hepatitis C virus (HCV)-related decompensated liver cirrhosis: a case report. Am J Case Rep. 2019;20:1699–704.

    PubMed  PubMed Central  Google Scholar 

  16. Ishikawa T, Hamamoto K, Sasaki R, et al. (2020) Significant improvement in portal-systemic liver failure symptoms and successful management of portal-splenic venous hemodynamics by the combination of interventional radiology and pharmacotherapy. Hepatol Res. Jul 1 [Online ahead of print]

  17. Laleman W, Simon-Talero M, Maleux G, et al. Embolization of large spontaneous portosystemic shunts for refractory hepatic encephalopathy: a multicenter survey on safety and efficacy. Hepatology. 2013;57:2448–577.

    PubMed  Google Scholar 

  18. Di Marco V, Calvaruso V, Ferraro D, et al. Effects of eradicating hepatitis C virus infection in patients with cirrhosis differ with stage of portal hypertension. Gastroenterology. 2016;151:130–9.

    PubMed  Google Scholar 

  19. Calvaruso V, Mazzarelli C, Milazzo L, et al. Daclatasvir-based regimens in HCV cirrhosis: experience from the Italian early access program. Sci Rep. 2019;9:585.

    PubMed  PubMed Central  Google Scholar 

  20. Tapper EB, Parikh ND, Green PK, et al. Reduced incidence of hepatic encephalopathy and higher odds of resolution associated with eradication of HCV infection. Clin Gastroenterol Hepatol. 2020;18:1197–206.

    CAS  PubMed  Google Scholar 

  21. El-Sherif O, Jiang ZG, Tapper EB, et al. Baseline factors associated with improvements in decompensated cirrhosis after direct-acting antiviral therapy for hepatitis C virus infection. Gastroenterology. 2018;154:2111–21.

    CAS  PubMed  Google Scholar 

  22. Takaji R, Kiyosue H, Matsumoto S, et al. Partial thrombosis of gastric varices after balloon-occluded retrograde transvenous obliteration: CT findings and endoscopic correlation. AJR Am J Roentgenol. 2011;196:686–91.

    PubMed  Google Scholar 

Download references

Author information

Affiliations

Authors

Corresponding author

Correspondence to Satoru Kakizaki.

Ethics declarations

Conflict of interest

Satoshi Takakusagi, Megumi Shimizu, Yozo Yokoyama, Kazuko Kizawa, Kyoko Marubashi, Takashi Kosone, Ken Sato, Hitoshi Takagi, and Toshio Uraoka declare that they have no conflict of interest. Satoru Kakizaki received lecture fee from Gilead.

Human and animal rights

All procedures followed have been performed in accordance with the ethical standards laid down in the 1964 Declaration of Helsinki and its later amendments.

Informed consent

The written informed consent was obtained from patients.

Additional information

Publisher's Note

Springer Nature remains neutral with regard to jurisdictional claims in published maps and institutional affiliations.

Rights and permissions

Reprints and Permissions

About this article

Verify currency and authenticity via CrossMark

Cite this article

Takakusagi, S., Shimizu, M., Yokoyama, Y. et al. Hepatitis C virus-associated decompensated liver cirrhosis with refractory hepatic encephalopathy successfully treated by balloon-occluded retrograde transvenous obliteration after sofosbuvir/velpatasvir. Clin J Gastroenterol 13, 1303–1309 (2020). https://doi.org/10.1007/s12328-020-01229-x

Download citation

  • Received:

  • Accepted:

  • Published:

  • Issue Date:

  • DOI: https://doi.org/10.1007/s12328-020-01229-x

Keywords

  • Hepatitis C
  • Decompensated cirrhosis
  • Sustained viral response
  • Balloon occluded retrograde transvenous obliteration