Skip to main content

Case report of lanthanum deposition in the esophagus

Abstract

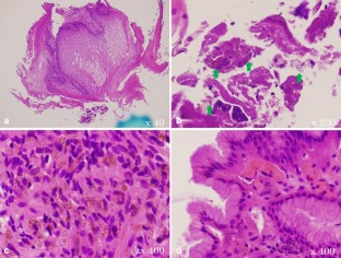
A 69-year-old woman had received hemodialysis for chronic renal failure and was taking lanthanum carbonate since 63 years of age. She presented with appetite loss and nausea. We performed esophagogastroduodenoscopy, which revealed multiple longitudinal white plaques in the esophagus. Lesion biopsies showed lanthanum deposition, and lanthanum carbonate was found histologically by energy-dispersive X-ray spectroscopy. The plaques of this patient appeared like those of dabigatran-induced esophagitis, and may have occurred due to long-term contact of the esophageal epithelium with lanthanum carbonate because patient spent time in lying state. Although a few studies regarding lanthanum deposition in the stomach have been conducted, there are no reports on lanthanum deposition in the esophagus. This case suggests that the presence of longitudinal white plaques in the esophagus may indicate lanthanum deposition.

This is a preview of subscription content, access via your institution.

Fig. 1
Fig. 2
Fig. 3
Fig. 4

References

  1. Tonooka A, Uda S, Tanaka H, et al. Possibility of lanthanum absorption in the stomach. Clin Kidney J. 2015;8:572–5.

    CAS  Article  PubMed  PubMed Central  Google Scholar 

  2. Makino M, Kawaguchi K, Shimojo H, et al. Extensive lanthanum deposition in the gastric mucosa: the first histopathological report. Pathol Int. 2015;65:33–7.

    CAS  Article  Google Scholar 

  3. Goto K, Ogawa K. Lanthanum deposition is frequently observed in the gastric mucosa of dialysis patients with lanthanum carbonate therapy: a clinicopathologic study of 13 cases, including 1 case of lanthanum granuloma in the colon and 2 nongranulomatous gastric cases. Int J Surg Pathol. 2016;24:89–92.

    CAS  Article  PubMed  Google Scholar 

  4. Iwamuro M, Sakae H, Okada H. White gastric mucosa in the dialysis patient. Gastroenterology. 2016;150:322–3.

    Article  PubMed  Google Scholar 

  5. Murakami N, Yoshioka M, Iwamuro M, et al. Clinical characteristics of seven patients with lanthanum phosphate deposition in the stomach. Intern Med. 2017;56:2089–95.

    Article  PubMed  PubMed Central  Google Scholar 

  6. Iwamuro M, Urata H, Tanaka T, et al. Lanthanum deposition in the stomach in the absence of Helicobacter pylori infection. Intern Med. 2018;57:801–6.

    Article  PubMed  Google Scholar 

  7. Pennick M, Dennis K, Damment SJ. Absolute bioavailability and deposition of lanthanum in healthy human subjects administered lanthanum carbonate. J Clin Pharmacol. 2006;46:738–46.

    CAS  Article  PubMed  Google Scholar 

  8. Zhang C, Wen J, Li Z, et al. Efficacy and safety of lanthanum carbonate on chronic kidney disease-mineral and bone disorder in dialysis patients: systematic review. BMC Nephrol. 2013;14:226.

    Article  PubMed  PubMed Central  Google Scholar 

  9. Toya Y, Nakamura S, Tomita K, et al. Dabigatran-induced esophagitis: the prevalence and endoscopic characteristics. J Gastroenterol Hepatol. 2016;31:610–4.

    CAS  Article  PubMed  Google Scholar 

Download references

Acknowledgements

We thank Dr. Masaya Iwamuro (Department of Gastroenterology and Hepatology, Okayama University Graduate School of Medicine, Dentistry and Pharmaceutical Science) for his important contributions with SEM and EDS.

Author information

Affiliations

Authors

Corresponding author

Correspondence to Daisuke Chinda.

Ethics declarations

Conflict of interest

Tetsuya Tatsuta, Tatsuya Mikami, Daisuke Chinda, Kazuki Akitaya, Shohei Igarashi, Keisuke Hasui, Hidezumi Kikuchi, Hiroto Hiraga, Manabu Sawaya, Hirotake Sakuraba, Tadashi Shimoyama, Tosihiro Haga, Hiroshi Kijima, and Shinsaku Fukuda declare that they have no conflict of interest.

Human rights

All procedures followed have been performed in accordance with the ethical standards laid down in the 1964 Declaration of Helsinki and its later amendments.

Informed consent

Informed consent was obtained from this patient.

Additional information

Publisher's Note

Springer Nature remains neutral with regard to jurisdictional claims in published maps and institutional affiliations.

Rights and permissions

Reprints and Permissions

About this article

Verify currency and authenticity via CrossMark

Cite this article

Tatsuta, T., Mikami, T., Chinda, D. et al. Case report of lanthanum deposition in the esophagus. Clin J Gastroenterol 13, 683–687 (2020). https://doi.org/10.1007/s12328-019-01085-4

Download citation

  • Received:

  • Accepted:

  • Published:

  • Issue Date:

  • DOI: https://doi.org/10.1007/s12328-019-01085-4

Keywords

  • Lanthanum carbonate
  • Multiple longitudinal white plaques
  • Energy-dispersive X-ray spectroscopy