Skip to main content

A case of gastric cancer with delayed onset of tumor reduction effect by nivolumab therapy

Abstract

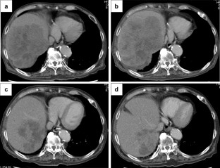
Immune checkpoint inhibitors may have different clinical effects compared with conventional anticancer drugs. An 85-year-old male received chemotherapy for recurrent gastric cancer. As liver metastasis progressed, nivolumab was introduced as a fourth line treatment. Progression of liver metastasis in size was observed in CT after 3 courses of nivolumab therapy. Nivolumab treatment was discontinued, because the general condition of the patient also worsened. However, his general condition improved as hepatobiliary enzyme levels, inflammatory response, and tumor markers improved. Liver metastasis was shrinking on the image, so we resumed nivolumab therapy. To the authors’ knowledge, this is the first case of pseudoprogression undergoing immunotherapy for gastric cancer. In this case, the antitumor effect was exhibited in a delayed manner and the tumor shrinkage was obtained.

This is a preview of subscription content, access via your institution.

Fig. 1
Fig. 2
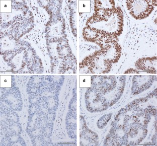
Fig. 3

References

  1. Kang YK, Boku N, Satoh T, et al. Nivolumab in patients with advanced gastric or gastro-oesophageal junction cancer refractory to, or intolerant of, at least two previous chemotherapy regimens (ONO-4538-12, ATTRACTION-2): a randomized, double-blind, placebo-controlled, phase 3 trial. Lancet. 2017;390:2461–71.

    Article  CAS  PubMed  Google Scholar 

  2. Chiou VL, BurottoM. Pseudoprogression and immune-related response in solid tumors. J Clin Oncol. 2015;33:3541–3.

    Article  CAS  PubMed  PubMed Central  Google Scholar 

  3. Wolchok JD, Hoos A, O’Day S, et al. Guidelines for the evaluation of immune therapy activity in solid tumors: immune-related response criteria. Clin Cancer Res. 2009;15:7412–20.

    Article  CAS  PubMed  Google Scholar 

  4. Ozaki Y, Shindoh J, Miura Y, et al. Serial pseudoprogression of metastatic malignant melanoma in a patient treated with nivolumab: a case report. BMC Cancer. 2017;17:778–84.

    Article  PubMed  PubMed Central  Google Scholar 

  5. Hodi FS, Sznol M, Kluger HM, et al. Long term survival of ipilimumab-naive patients (pts) with advanced melanoma (MEL) treatment with nivolumab (anti-PD-1, BMS-936558, ONO-4538) in a phase 1 trial. J Clin Oncol. 2014;32:supple 15 s (abstr9002).

    Google Scholar 

  6. Kumagai T, Kimura M, Inoue T, et al. Pseudoprogression of lung adenocarcinoma accompanied with interstitial lung disease during chemotherapy after nivolumab treatment. Thoracic Cancer. 2017;8:275–7.

    Article  CAS  PubMed  PubMed Central  Google Scholar 

  7. Safarty M, Moore A, Dudnik E, et al. Not only for melanoma. Subcutaneous pseudoprogression in lung squamous-cell carcinoma treated with nivolumab. Medicine. 2017;96:4(e5951).

    Google Scholar 

  8. Lemery S, Keegan P, Pazdur R. First FDA approval agnostic of cancer site—when a biomarker defines the indication. N Engl J Med. 2017;377:1409–12.

    Article  PubMed  Google Scholar 

  9. Le DT, Uram JN, Wang H, et al. PD-1 blockade in tumors with mismatch-repair deficiency. N Engl J Med. 2015;372:2509–20.

    Article  CAS  PubMed  PubMed Central  Google Scholar 

  10. Jin Z, Yoon HH. The promise of PD-1 inhibitors in gastro-esophageal cancers: microsatellite instability vs. PD-L1. J Gastrointest Oncol. 2016;7;771–81.

    Article  PubMed  PubMed Central  Google Scholar 

  11. Tran PN, Sarkissian S, Chao J, et al. PD-1 and PD-L1 as emerging therapeutic targets in gastric cancer: current evidence. Gastrointest Cancer. 2017;7:1–11.

    PubMed  PubMed Central  Google Scholar 

Download references

Author information

Affiliations

Authors

Corresponding author

Correspondence to Rika Satoyoshi.

Ethics declarations

Conflict of interest

All authors declare that they have no conflict of interest.

Human/animal rights

All procedures followed have been performed in accordance with the ethical standards laid down in the 1964 Declaration of Helsinki and its later amendments.

Informed consent

Informed consent was obtained from all patients for being included in the study.

Rights and permissions

Reprints and Permissions

About this article

Verify currency and authenticity via CrossMark

Cite this article

Satoyoshi, R., Muto, O., Masuda, A. et al. A case of gastric cancer with delayed onset of tumor reduction effect by nivolumab therapy. Clin J Gastroenterol 12, 15–19 (2019). https://doi.org/10.1007/s12328-018-0902-0

Download citation

  • Received:

  • Accepted:

  • Published:

  • Issue Date:

  • DOI: https://doi.org/10.1007/s12328-018-0902-0

Keywords

  • Gastric cancer
  • Nivolumab
  • Pseudoprogression
  • MSI