Skip to main content

Laparoscopic treatment of a vesicointestinal fistula due to a Meckel’s diverticulum: a case report and review of the literature

Abstract

While there have been numerous reports about colovesical fistulas and ruptured intestinal diverticula, there have been far fewer reports about vesicointestinal fistulas caused by Meckel’s diverticula. Most Meckel’s diverticula are asymptomatic. Furthermore, they seldom cause vesicointestinal fistulas, and the associated complications are non-specific. Thus, their preoperative diagnosis is difficult. We experienced a case in which a vesicointestinal fistula was caused by a Meckel’s diverticulum and was treated with laparoscopic surgery. A 46-year-old male was referred to our hospital after exhibiting hematuria. Cystoscopy revealed a fistula between the small intestine and bladder. Contrast-enhanced computed tomography and magnetic resonance imaging showed a diverticulum in the ileum and a fistula between the ileum and bladder, which passed through the diverticulum. A Meckel’s diverticulum was suspected. We conducted a laparoscopic operation. We dissected the Meckel’s diverticulum with an automatic suturing device and removed it together with part of the ileum. The patient’s postoperative course was good. We experienced a case in which a vesicointestinal fistula was caused by a Meckel’s diverticulum and was successfully treated with laparoscopic surgery. In selected cases of Meckel’s diverticulum, the dissection of the diverticulum with an automatic suturing device is appropriate.

This is a preview of subscription content, access via your institution.

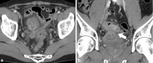
Fig. 1
Fig. 2
Fig. 3
Fig. 4
Fig. 5
Fig. 6

References

  1. Bouassida M, Mighri MM, Trigui K, et al. Meckel’s diverticulum: an exceptional cause of vesicoenteric fistula: case report and literature review. Pan Afr Med J. 2013. https://doi.org/10.11604/pamj.2013.15.9.2440.

    Article  PubMed  PubMed Central  Google Scholar 

  2. Turgeon DK, Barnett JL. Meckel’s diverticulum. Am J Gastroenterol. 1990;85:777 – 81.

    CAS  PubMed  Google Scholar 

  3. Furukori M, Hasegawa K, Ohara K, et al. A case of perforation of Meckel’s diverticulum diagnosed preoperatively and managed by laparoscopic treatment surgery. J Abdom Emerg Med. 2013. https://doi.org/10.11231/jaem.33.883.

    Article  Google Scholar 

  4. Yang PF, Chen CY, Yu FJ, et al. A rare complication of Meckel’s diverticulum: a fistula between Meckel’s diverticulum and the appendix. Asian J Surg. 2012. https://doi.org/10.1016/j.asjsur.2012.04.018.

    Article  PubMed  Google Scholar 

  5. Bemelman WA, Hugenholtz E, Heij HA, et al. Meckel’s diverticulum in Amsterdam: experience in 136 patients. World J Surg. 1995;19:734–6.

    CAS  Article  Google Scholar 

  6. Hamasu S, Yokoo N, Yoshida T, et al. A case of enterovesical fistula associated with diverticulitis of the small intestine. JJAAM. 2014;15:264–8.

    Google Scholar 

  7. Jayesh S, Vikas K, Shah DK. Meckel’s diverticulum: a systemic review. J R Soc Med. 2006;99:501–5.

    Article  Google Scholar 

  8. Hashizume N, Yagi M, Asagiri K, et al. A case of perforation of Meckel’s diverticulum penetrated into transverse mesocolon. J Jpn Soc Pediatr Surg. 2014. https://doi.org/10.11164/jjsps.50.4_838.

    Article  Google Scholar 

  9. Wong BS, Larson DW, Smyrk TC, et al. Perforated Meckel’s diverticulum presenting with combined bowel and urinary obstruction and mimicking Crohn’s disease: a case report. J Med Case Rep. 2010. https://doi.org/10.1186/1752-1947-4-264.

    Article  PubMed  PubMed Central  Google Scholar 

  10. Miyazaki K, Kameoka S, Tanaka S, et al. Two cases of vesicosigmoidal fistula complicationg dverticulitis–surgical treatment. J Jpn Soc Coloproctol. 1989;42:1227–32.

    Article  Google Scholar 

Download references

Acknowledgements

The authors appreciate the patient’s consent for this case presentation.

Author information

Affiliations

Authors

Contributions

HH and HM carried out the surgery and postoperative management. HH and HM prepared and drafted the manuscript. HM corrected and revised the manuscript. All authors read and approved the final manuscript.

Corresponding author

Correspondence to Hiroyuki Hakoda.

Ethics declarations

Conflict of interest

The authors declare they have no competing interests.

Human/animal rights

All procedures followed have been performed in accordance with the ethical standards laid down in the 1964 Declaration of Helsinki and its later amendments.

Informed consent

Written informed consent was obtained from the patient for publication of this case report and any accompanying images. A copy of the written consent is available for review by the editor of this journal.

Rights and permissions

Reprints and Permissions

About this article

Verify currency and authenticity via CrossMark

Cite this article

Hakoda, H., Mishima, H., Habu, T. et al. Laparoscopic treatment of a vesicointestinal fistula due to a Meckel’s diverticulum: a case report and review of the literature. Clin J Gastroenterol 11, 476–480 (2018). https://doi.org/10.1007/s12328-018-0878-9

Download citation

  • Received:

  • Accepted:

  • Published:

  • Issue Date:

  • DOI: https://doi.org/10.1007/s12328-018-0878-9

Keywords

  • Meckel’s diverticulum
  • Vesicointestinal fistula
  • Laparoscopy