Skip to main content

Elevated paraneoplastic hypercholesterolemia in a case of hepatoid adenocarcinoma of the stomach with liver metastasis

Abstract

A 67-year-old man was admitted to our hospital because of a large liver tumor revealed by ultrasonography. Laboratory data showed increased serum levels of alpha-fetoprotein (AFP) and des-gamma-carboxy prothrombin (DCP), which are tumor markers for hepatocellular carcinoma. In addition, the serum cholesterol level was extremely high. Endoscopic examination revealed advanced gastric cancer. Histological findings of the stomach and liver tumor showed they were both hepatoid adenocarcinomas and were both positive for antibodies against AFP as well as DCP, suggesting that the tumors were gastric cancer with liver metastasis. Moreover, 3-hydroxyl-3-methylglutaryl coenzyme A (HMG-CoA) reductase, a key enzyme for regulation of cholesterol synthesis, was upregulated in the tumor tissues. Accordingly, we diagnosed this patient with AFP- and DCP-producing gastric cancer accompanied by paraneoplastic hypercholesterolemia. Paraneoplastic hypercholesterolemia is sometimes seen in hepatocellular carcinoma, but never in gastric cancer. This case is interesting because of the feature of hepatoid adenocarcinoma.

This is a preview of subscription content, access via your institution.

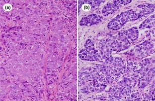
Fig. 1
Fig. 2
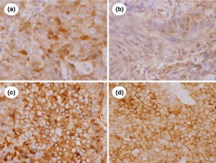
Fig. 3
Fig. 4
Fig. 5

References

  1. McIntire KR, Waldmann TA, Moertel CG, Go VL. Serum alpha-fetoprotein in patients with neoplasms of the gastrointestinal tract. Cancer Res. 1975;35:991–6.

    PubMed  CAS  Google Scholar 

  2. Chang YC, Nagasue N, Abe S, Kohno H, Kumar DD, Nakamura T. alpha Fetoprotein producing early gastric cancer with liver metastasis: report of three cases. Gut. 1991;32:542–5.

    PubMed  Article  CAS  Google Scholar 

  3. Chang YC, Nagasue N, Abe S, Taniura H, Kumar DD, Nakamura T. Comparison between the clinicopathologic features of AFP-positive and AFP-negative gastric cancers. Am J Gastroenterol. 1992;87:321–5.

    PubMed  CAS  Google Scholar 

  4. Ishikura H, Kirimoto K, Shamoto M, Miyamoto Y, Yamagiwa H, Itoh T, Aizawa M. Hepatoid adenocarcinomas of the stomach. An analysis of seven cases. Cancer. 1986;58:119–26.

    PubMed  Article  CAS  Google Scholar 

  5. Luo JC, Hwang SJ, Wu JC, Li CP, Hsiao LT, Lai CR, Chiang JH, Lui WY, Chang FY, Lee SD. Paraneoplastic syndromes in patients with hepatocellular carcinoma in Taiwan. Cancer. 1999;86:799–804.

    PubMed  Article  CAS  Google Scholar 

  6. Hwang SJ, Lee SD, Chang CF, Wu JC, Tsay SH, Lui WY, Chiang JH, Lo KJ. Hypercholesterolaemia in patients with hepatocellular carcinoma. J Gastroenterol Hepatol. 1992;7:491–6.

    PubMed  Article  CAS  Google Scholar 

  7. Sohda T, Iwata K, Hirano G, Sakurai K, Yokoyama K, Morihara D, Takeyama Y, Irie M, Shakado S, Sakisaka S. 3-Hydroxyl-3-methylglutaryl-coenzyme A reductase is up regulated in hepatocellular carcinoma associated with paraneoplastic hypercholesterolemia. Med Mol Morphol. 2013 (in press).

  8. Sohda T, Tomioka Y, Inomata S, Morita I, Eguchi K, Aoyagi K, Watanabe H, Nakamura S, Sakisaka S. Alpha-fetoprotein (AFP)- and des-gamma-carboxy prothrombin (DCP)-producing adenocarcinoma of the stomach with liver metastasis in a patient with chronic hepatitis C. Intern Med. 2005;44:294–8.

    PubMed  Article  Google Scholar 

  9. Ye MF, Tao F, Liu F, Sun AJ. Hepatoid adenocarcinoma of the stomach: a report of three cases. World J Gastroenterol. 2013;19:4437–42.

    PubMed  Article  Google Scholar 

  10. Rodwell VW. Cholesterol regulation of hepatic 3-hydroxy-3-methylglutaryl-coenzyme A reductase. Biochem J. 1972;128:16.

    Google Scholar 

  11. Sohda T, Iwata K, Kitamura Y, Suzuki N, Takeyama Y, Irie M, Anan A, Nakane H, Yoshikane M, Watanabe H, Sakisaka S. Reduced expression of low-density lipoprotein receptor in hepatocellular carcinoma with paraneoplastic hypercholesterolemia. J Gastroenterol Hepatol. 2008;23:e153–6.

    PubMed  Article  CAS  Google Scholar 

  12. Sohda T, Hanano T, Miyamoto H, Kitano Y, Iwata K, Yokoyama M, Irie M, Takeyama Y, Shakado S, Sakisaka S. Spontaneous rupture of metastatic alpha-fetoprotein-producing gastric cancer of the liver. Hepatol Int. 2008;2:258–61.

    PubMed  Article  Google Scholar 

  13. Foschini MP, Baccarini P, Dal Monte PR, Sinard J, Eusebi V, Rosai J. Albumin gene expression in adenocarcinomas with hepatoid differentiation. Virchows Arch. 1998;433:537–41.

    PubMed  Article  CAS  Google Scholar 

  14. Caruso MG, Notarnicola M, Cavallini A, Di Leo A. 3-Hydroxy-3-methylglutaryl coenzyme A reductase activity and low-density lipoprotein receptor expression in diffuse-type and intestinal-type human gastric cancer. J Gastroenterol. 2002;37:504–8.

    PubMed  Article  CAS  Google Scholar 

Download references

Disclosures

Conflict of Interest: The authors declare that they have no conflict of interest.

Human/Animal Rights: All procedures followed were in accordance with the ethical standards of the responsible committee on human experimentation (institutional and national) and with the Helsinki Declaration of 1975, as revised in 2008(5).

Informed Consent: Informed consent was obtained from all patients for being included in the study.

Author information

Affiliations

Authors

Corresponding author

Correspondence to Tetsuro Sohda.

Rights and permissions

Reprints and Permissions

About this article

Cite this article

Sohda, T., Kusuhara, H., Egashira, Y. et al. Elevated paraneoplastic hypercholesterolemia in a case of hepatoid adenocarcinoma of the stomach with liver metastasis . Clin J Gastroenterol 6, 424–428 (2013). https://doi.org/10.1007/s12328-013-0420-z

Download citation

  • Received:

  • Accepted:

  • Published:

  • Issue Date:

  • DOI: https://doi.org/10.1007/s12328-013-0420-z

Keywords

  • Alpha-fetoprotein (AFP)
  • Des-gamma-carboxy prothrombin (DCP)
  • Hepatoid adenocarcinoma
  • Hypercholesterolemia
  • Paraneoplastic syndrome
  • 3-hydroxyl-3-methylglutaryl coenzyme A (HMG-CoA) reductase