Skip to main content

A case of primary biliary cirrhosis that complicated with combined hepatocellular and cholangiocellular carcinoma

Abstract

Primary biliary cirrhosis (PBC) is frequently complicated with hepatocellular carcinoma (HCC), but complication with combined hepatocellular and cholangiocellular carcinoma (cHCC-CC) or cholangiocellular carcinoma (CCC) has not been reported. Here, we describe a case of PBC in which cHCC-CC occurred. The patient was a 70-year-old man who had developed jaundice at 62 years old. He was diagnosed with PBC based on a liver biopsy and blood tests. In August 2006, blood tests showed elevated alpha-fetoprotein, and a liver tumor in the right lobe and a metastatic lymphadenopathy in the back near to the head of the pancreas were detected by abdominal contrast-enhanced CT. A 18F-fluorodeoxyglucose-PET scan showed accumulation of the tracer in the tumor and in a lymph node at the back of the pancreas. The tumor and lymph node were removed, and the tumor was diagnosed pathologically as cHCC-CC based on the presence of features of HCC and CCC. This case is the first to show that a patient with PBC can develop cHCC-CC. This is of interest, since cHCC-CC may originate in hepatic stem cells or hepatic precursor cells. This case also suggests that cHCC-CC should be included as a differential diagnosis for a liver tumor complicated with PBC.

This is a preview of subscription content, access via your institution.

Fig. 1
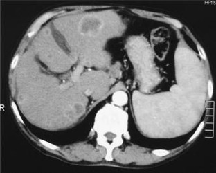
Fig. 2
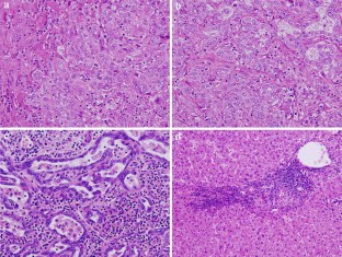
Fig. 3
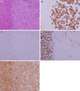
Fig. 4
Fig. 5

References

  1. Abe M, Onji M. Natural history of primary biliary cirrhosis. Hepatol Res. 2008;38:639–45.

    Article  PubMed  Google Scholar 

  2. Heathcote EJ. Management of primary biliary cirrhosis. The American Association for the Study of Liver Diseases practice guidelines. Hepatology. 2000;31:1005–13.

    CAS  Article  PubMed  Google Scholar 

  3. Silveira MG, Suzuki A, Lindor KD. Surveillance for hepatocellular carcinoma in patients with primary biliary cirrhosis. Hepatology. 2008;48:1149–56.

    Article  PubMed  Google Scholar 

  4. Bruix J, Sherman M. Management of hepatocellular carcinoma. Hepatology. 2005;42:1208–36.

    Article  PubMed  Google Scholar 

  5. Nakamura M, Kondo H, Mori T, Komori A, Matsuyama M, Ito M, et al. Anti-gp210 and anti-centromere antibodies are different risk factors for the progression of primary biliary cirrhosis. Hepatology. 2007;45:118–27.

    CAS  Article  PubMed  Google Scholar 

  6. Cavazza A, Caballería L, Floreani A, Farinati F, Bruguera M, Caroli D, et al. Incidence, risk factors, and survival of hepatocellular carcinoma in primary biliary cirrhosis: comparative analysis from two centers. Hepatology. 2009;50:1162–8.

    Article  PubMed  Google Scholar 

  7. Allen RA, Lisa JR. Combined liver cell and bile duct carcinoma. Am J Pathol. 1949;25:647–55.

    CAS  PubMed  PubMed Central  Google Scholar 

  8. Zuckerman E, Misselevich I, Boss JH. Oval cell hyperplasia in asparaginase: induced liver damage. Liver. 2002;22:363–4.

    CAS  Article  PubMed  Google Scholar 

  9. Kofman AV, Morgan G, Kirschenbaum A, Osbeck J, Hussain M, Swenson S, et al. Dose- and time-dependent oval cell reaction in acetaminophen-induced murine liver injury. Hepatology. 2005;41:1252–61.

    CAS  Article  PubMed  Google Scholar 

  10. Tan J, Hytiroglou P, Wieczorek R, Park YN, Thung SN, Arias B, et al. Immunohistochemical evidence for hepatic progenitor cells in liver diseases. Liver. 2002;22:365–73.

    Article  PubMed  Google Scholar 

  11. Theise ND, Yao JL, Harada K, Hytiroglou P, Portmann B, Thung SN, et al. Hepatic ‘stem cell’ malignancies in adults: four cases. Histopathology. 2003;43:263–71.

    CAS  Article  PubMed  Google Scholar 

  12. Komuta M, Spee B, Vander Borght S, De Vos R, Verslype C, Aerts R, et al. Clinicopathological study on cholangiocellular carcinoma suggesting hepatic progenitor cell origin. Hepatology. 2008;47:1544–56.

    CAS  Article  PubMed  Google Scholar 

  13. Primary liver cancer in Japan. Clinicopathologic features and results of surgical treatment. Liver Cancer Study Group of Japan. Ann Surg. 1990;211:277–87.

    Google Scholar 

  14. Zhou YM, Yang JM, Wang B, Xu F, Tong Y, Li DQ. Combined hepatocellular carcinoma and cholangiocarcinoma: a case report and review of the literature. Hepatobiliary Pancreat Dis Int. 2007;6:656–9.

    PubMed  Google Scholar 

  15. Kim H, Park C, Han KH, Choi J, Kim YB, Kim JK, et al. Primary liver carcinoma of intermediate (hepatocyte–cholangiocyte) phenotype. J Hepatol. 2004;40:298–304.

    CAS  Article  PubMed  Google Scholar 

  16. Yamamoto S, Kubo S, Hai S, Uenishi T, Yamamoto T, Shuto T, et al. Hepatitis C virus infection as a likely etiology of intrahepatic cholangiocarcinoma. Cancer Sci. 2004;95:592–5.

    CAS  Article  PubMed  Google Scholar 

  17. Mishra L, Banker T, Murray J, Byers S, Thenappan A, He AR, et al. Liver stem cells and hepatocellular carcinoma. Hepatology. 2009;49:318–29.

    Article  PubMed  PubMed Central  Google Scholar 

  18. Yamashita T, Ji J, Budhu A, Forgues M, Yang W, Wang HY, et al. EpCAM-positive hepatocellular carcinoma cells are tumor-initiating cells with stem/progenitor cell features. Gastroenterology. 2009;136:1012–24.

    CAS  Article  PubMed  Google Scholar 

  19. Okuda H, Shiratori K, Yamamoto M, Takasaki K, Nakano M. Clinicopathologic features of patients with intrahepatic cholangiocarcinoma who are seropositive for alpha-fetoprotein-L3 and those with combined hepatocellular and cholangiocarcinoma. J Gastroenterol Hepatol. 2006;21:869–73.

    CAS  Article  PubMed  Google Scholar 

  20. Nakamura S, Suzuki S, Sakaguchi T, Serizawa A, Konno H, Baba S, et al. Surgical treatment of patients with mixed hepatocellular carcinoma and cholangiocarcinoma. Cancer. 1996;78:1671–6.

    CAS  Article  PubMed  Google Scholar 

  21. Nagaoka S, Itano S, Ishibashi M, Torimura T, Baba K, Akiyoshi J, et al. Value of fusing PET plus CT images in hepatocellular carcinoma and combined hepatocellular and cholangiocarcinoma patients with extrahepatic metastases: preliminary findings. Liver Int. 2006;26:781–8.

    Article  PubMed  Google Scholar 

  22. Tang D, Nagano H, Nakamura M, Wada H, Marubashi S, Miyamoto A, et al. Clinical and pathological features of Allen’s type C classification of resected combined hepatocellular and cholangiocarcinoma: a comparative study with hepatocellular carcinoma and cholangiocellular carcinoma. J Gastrointest Surg. 2006;10:987–98.

    Article  PubMed  Google Scholar 

Download references

Author information

Affiliations

Authors

Corresponding author

Correspondence to Masakazu Kobayashi.

Rights and permissions

Reprints and Permissions

About this article

Cite this article

Kobayashi, M., Furuta, K., Kitamura, H. et al. A case of primary biliary cirrhosis that complicated with combined hepatocellular and cholangiocellular carcinoma. Clin J Gastroenterol 4, 236–241 (2011). https://doi.org/10.1007/s12328-011-0223-z

Download citation

  • Received:

  • Accepted:

  • Published:

  • Issue Date:

  • DOI: https://doi.org/10.1007/s12328-011-0223-z

Keywords

  • Primary biliary cirrhosis
  • Liver tumor
  • cHCC-CC
  • Hepatic stem cell