Skip to main content

Autosomal Recessive Cerebellar Ataxia Type 1: Phenotypic and Genetic Correlation in a Cohort of Chinese Patients with SYNE1 Variants

Abstract

Mutations in the synaptic nuclear envelope protein 1 (SYNE1) gene have been reported to cause autosomal recessive cerebellar ataxia (ARCA) type 1 with highly variable clinical phenotypes. The aim of this study was to describe the phenotypic-genetic spectrum of SYNE1-related ARCA1 patients in the Chinese population. We screened 158 unrelated patients with autosomal recessive or sporadic ataxia for variants in SYNE1 using next-generation sequencing. Pathogenicity assessment of SYNE1 variants was interpreted according to the American College of Medical Genetics standards and guidelines. We identified eight truncating variants and two missense variants spreading throughout the SYNE1 gene from six unrelated families, including nine novel variants and one reported variant. Of the six index patients, two patients showed the classical pure cerebellar ataxia, while four patients exhibited non-cerebellar phenotypes, including motor neuron symptoms, cognitive impairment, or mental retardation. The variants associated with motor neuron or cognition involvement tend to be located in the C-terminal region of SYNE1 protein, compared with the variants related to pure cerebellar ataxia. Our data indicating SYNE1 mutation is one of the more common causes of recessive ataxia in the Chinese population. The use of next-generation sequencing has enabled the rapid analysis of recessive ataxia and further expanded our understanding of genotype-phenotype correlation.

This is a preview of subscription content, access via your institution.

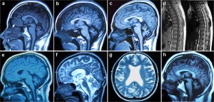
Fig. 1
Fig. 2
Fig. 3

References

  1. Anheim M, Tranchant C, Koenig M. The autosomal recessive cerebellar ataxias. N Engl J Med. 2012;366(7):636–46.

    CAS  Article  Google Scholar 

  2. Beaudin M, Matilla-Dueñas A, Soong BW, Pedroso JL, Barsottini OG, Mitoma H, et al. The classification of autosomal recessive cerebellar ataxias: a consensus statement from the Society for Research on the Cerebellum and Ataxias Task Force. Cerebellum. 2019;18(6):1098–125.

    CAS  Article  Google Scholar 

  3. Gros-Louis F, Dupre N, Dion P, Fox MA, Laurent S, Verreault S, et al. Mutations in SYEN1 lead to a newly discovered form of autosomal recessive cerebellar ataxia. Nat Genet. 2007;39(1):80–5.

    CAS  Article  Google Scholar 

  4. Razafsky D, Hodzic D. A variant of Nesprin1 giant devoid of KASH domain underlies the molecular etiology of autosomal recessive cerebellar ataxia type I. Neurobiol Dis. 2015;78:57–67.

    CAS  Article  Google Scholar 

  5. Noreau A, Bourassa CV, Szuto A, Levert A, Dobrzeniecka S, Gauthier J, et al. SYNE1 mutations in autosomal recessive cerebellar ataxia. JAMA Neurol. 2013;70(10):1296–301.

    PubMed  Google Scholar 

  6. Fogel BL, Lee H, Deignan JL, Strom SP, Kantarci S, Wang X, et al. Exome sequencing in the clinical diagnosis of sporadic or familial cerebellar ataxia. JAMA Neurol. 2014;71(10):1237–46.

    Article  Google Scholar 

  7. Synofzik M, Smets K, Mallaret M, Di Bella D, Gallenmuller C, Baets J, et al. SYNE1 ataxia is a common recessive ataxia with major non-cerebellar features: a large multi-centre study. Brain. 2016;139(Pt 5):1378–93.

    Article  Google Scholar 

  8. Wiethoff S, Hersheson J, Bettencourt C, Wood NW, Houlden H. Heterogeneity in clinical features and disease severity in ataxia-associated SYNE1 mutations. J Neurol. 2016;263(8):1503–10.

    CAS  Article  Google Scholar 

  9. Mademan I, Harmuth F, Giordano I, Timmann D, Magri S, Deconinck T, et al. Multisystemic SYNE1 ataxia: confirming the high frequency and extending the mutational and phenotypic spectrum. Brain. 2016;139(Pt 8):e46.

    Article  Google Scholar 

  10. Algahtani H, Marzouk Y, Algahtani R, Salman S, Shirah B. Autosomal recessive cerebellar ataxia type 1 mimicking multiple sclerosis: a report of two siblings with a novel mutation in SYNE1 gene in a Saudi family. J Neurol Sci. 2017;372:97–100.

    CAS  Article  Google Scholar 

  11. Yucesan E, Ugur Iseri SA, Bilgic B, Gormez Z, Bakir GB, Sarac A, et al. SYNE1 related cerebellar ataxia presents with variable phenotypes in a consanguineous family from Turkey. Neurol Sci. 2017;38(12):2203–7.

    CAS  Article  Google Scholar 

  12. Yoshinaga T, Nakamura K, Ishikawa M, Yamaguchi T, Takano K, Wakui K, et al. A novel frameshift mutation of SYNE1 in a Japanese family with autosomal recessive cerebellar ataxia type 8. Hum Genome Var. 2017;4:17052.

    CAS  Article  Google Scholar 

  13. Dupre N, Gros-Louis F, Chrestian N, Verreault S, Brunet D, de Verteuil D, et al. Clinical and genetic study of autosomal recessive cerebellar ataxia type 1. Ann Neurol. 2007;62(1):93–8.

    CAS  Article  Google Scholar 

  14. Coutelier M, Hammer MB, Stevanin G, Monin ML, Davoine CS, Mochel F, et al. Efficacy of exome-targeted capture sequencing to detect mutations in known cerebellar ataxia genes. JAMA Neurol. 2018;75(5):591–9.

    Article  Google Scholar 

  15. Kim JS, Kim AR, Youn J, Lee C, Kim NS, Park WY, et al. Identifying SYNE1 ataxia and extending the mutational spectrum in Korea. Parkinsonism Relat Disord. 2019;58:74–8.

    Article  Google Scholar 

  16. Peng Y, Ye W, Chen Z, Peng H, Wang P, Hou X, et al. Identifying SYNE1 ataxia with novel mutations in a Chinese population. Front Neurol. 2018;9:1111.

    Article  Google Scholar 

  17. Synofzik M, Németh AH. Recessive ataxias. Handb Clin Neurol. 2018;155:73–89.

    Article  Google Scholar 

  18. Richards S, Aziz N, Bale S, Bick D, Das S, Gastier-Foster J, et al. Standards and guidelines for the interpretation of sequence variants: a joint consensus recommendation of the American College of Medical Genetics and Genomics and the Association for Molecular Pathology. Genet Med. 2015;17(5):405–24.

    Article  Google Scholar 

  19. Izumi Y, Miyamoto R, Morino H, Yoshizawa A, Nishinaka K, Udaka F, et al. Cerebellar ataxia with SYNE1 mutation accompanying motor neuron disease. Neurology. 2013;80(6):600–1.

    Article  Google Scholar 

  20. Gama MTD, Piccinin CC, Rezende TJR, Dion PA, Rouleau GA, França Junior MC, et al. Multimodal neuroimaging analysis in patients with SYNE1 Ataxia. J Neurol Sci. 2018;390:227–30.

    CAS  Article  Google Scholar 

  21. Agarwal S, Potocki L, Collier TR, Woodbury SL, Adesina AM, Jones J, et al. Utility of whole exome sequencing in evaluation of juvenile motor neuron disease. Muscle Nerve. 2016;53(4):648–52.

    Article  Google Scholar 

  22. Schmahmann J. The cerebellum and cognition. Neurosci Lett. 2019;688:62–75.

    CAS  Article  Google Scholar 

  23. Argyropoulos GPD, van Dun K, Adamaszek M, Leggio M, Manto M, Masciullo M, et al. The cerebellar cognitive affective/Schmahmann syndrome: a Task Force paper. Cerebellum. 2020;19(1):102–25.

    CAS  Article  Google Scholar 

  24. Laforce R Jr, Buteau JP, Bouchard JP, Rouleau GA, Bouchard RW, Dupré N. Cognitive impairment in ARCA-1, a newly discovered pure cerebellar ataxia syndrome. Cerebellum. 2010;9(3):443–53.

    Article  Google Scholar 

  25. Gama MTD, Braga-Neto P, Dutra LA, Alessi H, Maria LA, Gadelha AA, et al. Cognitive and psychiatric evaluation in SYNE1 ataxia. Cerebellum. 2019;18(4):731–7.

    Article  Google Scholar 

  26. Hoche F, Guell X, Vangel MG, Sherman JC, Schmahmann JD. The cerebellar cognitive affective/Schmahmann syndrome scale. Brain. 2018;141(1):24–270.

    Article  Google Scholar 

  27. Indelicato E, Nachbauer W, Fauth C, Krabichler B, Schossig A, Eigentler A, et al. SYNE1-ataxia: novel genotypic and phenotypic findings. Parkinsonism Relat Disord. 2019;62:210–4.

    Article  Google Scholar 

  28. Kume K, Morino H, Komure O, Matsuda Y, Ohsawa R, Kurashige T, et al. C-terminal mutations in SYNE1 are associated with motor neuron disease in patients with SCAR8. J Neurol Sci. 2019;402:118–20.

    CAS  Article  Google Scholar 

Download references

Acknowledgments

We are grateful to all the patients and family members for their generous participation in this study.

Author information

Affiliations

Authors

Contributions

Conceived and designed the project: W.H.G. and X.H.D. Performed the experiments: X.H.D., Y.H., C.Z., and X.Z. Analyzed the data: X.H.D., Y.H., and J.Z. Contributed to the writing of the manuscript: All authors have made a significant contribution and have approved the final version of this manuscript.

Corresponding author

Correspondence to Weihong Gu.

Ethics declarations

This study was approved by the Ethics Committee of China-Japan Friendship Hospital. The methods in this study were performed in accordance with the approved guidelines. Written informed consent was obtained from all the patients.

Conflict of Interest

The authors declare that they have no conflict of interest.

Open Access

This article is distributed under the terms of the Creative Commons Attribution 4.0 International License (http://creativecommons.org/licenses/by/4.0/), which permits unrestricted use, distribution, and reproduction in any medium, provided you give appropriate credit to the original author(s) and the source, provide a link to the Creative Commons license, and indicate if changes were made.

Additional information

Publisher’s Note

Springer Nature remains neutral with regard to jurisdictional claims in published maps and institutional affiliations.

Electronic supplementary material

ESM 1

(XLSX 15 kb)

Rights and permissions

Reprints and Permissions

About this article

Verify currency and authenticity via CrossMark

Cite this article

Duan, X., Hao, Y., Cao, Z. et al. Autosomal Recessive Cerebellar Ataxia Type 1: Phenotypic and Genetic Correlation in a Cohort of Chinese Patients with SYNE1 Variants. Cerebellum 20, 74–82 (2021). https://doi.org/10.1007/s12311-020-01186-8

Download citation

  • Accepted:

  • Published:

  • Issue Date:

  • DOI: https://doi.org/10.1007/s12311-020-01186-8

Keywords

  • Autosomal recessive cerebellar ataxia 1(ARCA1)
  • SYNE1 gene
  • Genotype
  • Phenotype
  • Whole-exome sequencing (WES)