Skip to main content

Paraneoplastic Cerebellar Degeneration in Nasopharyngeal Carcinoma: a Unique Association

Abstract

Paraneoplastic cerebellar degeneration (PCD) is a rare disorder that is associated with lung or gynecological malignancies and Hodgkin lymphoma. Neurologic symptoms are commonly the initial presenting sign leading to the diagnosis of an underlying malignancy. We are presenting an Asian male with progressive lower extremity weakness with EBV-positive nasopharyngeal carcinoma (NPC) and anti-Yo antibodies. Peculiarly, transient diffuse leptomeningeal enhancement is seen on MR imaging. This is the first report of PCD associated with NPC and thus illustrates that PCD embodies a boarder set of disease than previously described.

This is a preview of subscription content, access via your institution.

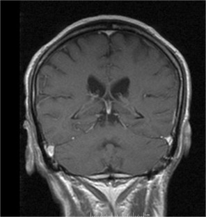
Fig. 1
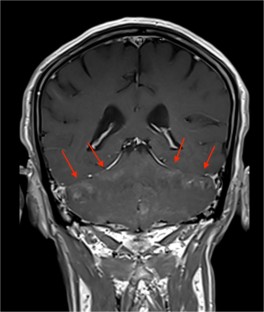
Fig. 2
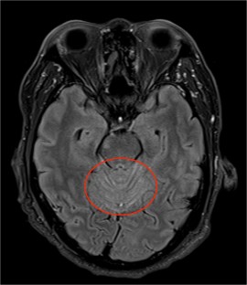
Fig. 3

Abbreviations

CD:

Classification determinant

CSF:

Cerebrospinal fluid

CT:

Commuted tomography

PET:

Positron emission tomography

EBV:

Epstein-Barr virus

EBER-ISH:

Epstein-Barr encoding region in situ hybridization

ER:

Emergency room

FLAIR:

Fluid attenuation inversion recovery

IgG:

Immunoglobulin G

IV:

Intravenous

NPC:

Nasopharyngeal carcinoma

MRI:

Magnetic resonance imaging

PCD:

Paraneoplastic cerebellar degeneration

PCR:

Polymerase chain reaction

RBC:

Red blood cell

RNA:

Ribonucleic acid

WBC:

White blood cell

WHO:

World Health Organization

References

  1. Dalmau, J., Rosenfeld, M. Paraneoplastic cerebellar degeneration. www.uptodate.com, Topic 15822 Version 13.0, Dec 12, 2017.

  2. Rojas I, Graus F, Keime-Guibert F, et al. Long-term clinical outcome of paraneoplastic cerebellar degeneration and anti-Yo antibodies. Neurology. 2000;55:713–5.

    CAS  Article  Google Scholar 

  3. Shams’ili S. Paraneoplastic cerebellar degeneration associated with antineuronal antibodies: analysis of 50 patients. Brain. 2003;126:1409–18.

    Article  Google Scholar 

  4. Debes JD, et al. Anti-Yo-associated paraneoplastic cerebellar degeneration in a man with adenocarcinoma of the gastroesophageal junction. Dig Surg. 2007;24:395–7. https://doi.org/10.1159/000107782.

    CAS  Article  PubMed  Google Scholar 

  5. Meglic B, Graus F, Grad A. Anti-Yo associated paraneoplastic cerebellar degeneration in a man with gastric adenocarcinoma. J Neurol Sci. 2001;185:135–8.

    CAS  Article  Google Scholar 

  6. Sutton IJ, Fursdon Davis CJ, Esiri MM, et al. Anti-Yo antibodies and cerebellar degeneration in a man with adenocarcinoma of the esophagus. Ann Neurol. 2001;49:253–7.

    CAS  Article  Google Scholar 

  7. Venkatraman and Opal. Paraneoplastic cerebellar degeneration with anti-Yo antibodies – a review. Ann Clin Transl Neurol. 2016 Jun;3(8):655–63.

    Article  Google Scholar 

  8. al Posner J e. Anti-Yo and anti-Hu. Laboratory Medicine. 1999;30(12):770.

    Article  Google Scholar 

  9. Krakauer J e a. Anti Yo-associated paraneoplastic cerebellar degeneration in a man with adenocarcinoma of unknown origin. Neurology. 1996 May;46(5):1486–7.

    CAS  Article  Google Scholar 

  10. McHugh JC, Tubridy N, Collins CD, Hutchinson M. Unusual MRI abnormalities in anti-Yo positive “pure” paraneoplastic cerebellar degeneration. J Neurol. 2008;255:138–9.

    Article  Google Scholar 

  11. Toro C, Rinaldo A e a. Paraneoplastic syndromes in patients with nasopharyngeal cancer. Auris Nasus Larynx. 2009;36(5):513–20.

    CAS  Article  Google Scholar 

  12. Dalmau and Rosenfeld. Paraneoplastic syndromes of the CNS. Lancet Neurol. 2008;7(4):327–40.

    Article  Google Scholar 

  13. Gilmore CP, Elliot I, Auer D, Maddison P. Diffuse cerebellar MR imaging changes in anti-Yo positive paraneoplastic cerebellar degeneration. J Neurol. 2010;257:490–1.

    Article  Google Scholar 

  14. Andrés d, et al. Unusual magnetic resonance imaging and cerebrospinal fluid findings in paraneoplastic cerebellar degeneration. J Neurol Neurosurg Psychiatry. 2006;77:562–8.

    Article  Google Scholar 

  15. Widdess-Walsh P, Tavee JO, Schuele S, Stevens GH. Response to intravenous immunoglobulin in anti-Yo associated paraneoplastic cerebellar degeneration: case report and review of the literature. J Neurooncol. 2003;63:187–90.

    Article  Google Scholar 

Download references

Acknowledgments

The authors would like to thank Jonathan A. Harris, MD, and Jeffrey F. Lipton, MD, for providing pathological reports and descriptions

Author information

Affiliations

Authors

Corresponding author

Correspondence to S. Bhardwaj.

Ethics declarations

Conflict of Interest

The authors declare that they have no conflict of interest.

Additional information

Publisher’s Note

Springer Nature remains neutral with regard to jurisdictional claims in published maps and institutional affiliations.

Rights and permissions

Reprints and Permissions

About this article

Verify currency and authenticity via CrossMark

Cite this article

Bhardwaj, S., Khasani, S., Benasher, D. et al. Paraneoplastic Cerebellar Degeneration in Nasopharyngeal Carcinoma: a Unique Association. Cerebellum 18, 1126–1129 (2019). https://doi.org/10.1007/s12311-019-01045-1

Download citation

  • Published:

  • Issue Date:

  • DOI: https://doi.org/10.1007/s12311-019-01045-1

Keywords

  • Paraneoplastic
  • Cerebellum
  • Cerebellar
  • Nasopharyngeal
  • Cancer
  • Oncology
  • Neurology
  • Leptomeningeal
  • Anti-Yo
  • Autoimmune
  • Syndrome