Skip to main content

Versatility of Taylor Spatial Frame in Gustilo-Anderson III C femoral fractures: report of three cases

Abstract

Taylor Spatial Frame (TSF) combines a multiplanar external fixator and software accuracy for reduction of acute long-bone fractures. The frame gives stability, soft-tissue preservation, adjustability and functionality allowing bone to realize its full osteogenic potential. Three patients with multiple injuries and femoral Gustilo-Anderson type III C have been treated in our center. Initial surgery was performed within 6 h of injury with help of vascular surgeon. We used TSF as definitive fixation method. The results were assessed using the functional and radiological scoring system described by Paley and Maar. Fracture union occurred in all limbs and average fixation time was 151.6 days. All three patients had excellent outcome in terms of bony and functional ASAMI criteria. The TSF is a valuable tool. It is a definitive method of femoral Gustilo-Anderson type III C fracture care using external fixation with several advantages over previously used devices.

This is a preview of subscription content, access via your institution.

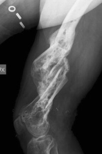
Fig. 1
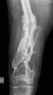
Fig. 2
Fig. 3
Fig. 4
Fig. 5
Fig. 6

References

  1. Braten M, Helland P, Myhre HO, Molster A, Terjesen T (1996) Eleven femoral fractures with vascular injury: good outcome with early vascular repair and internal fixation. Acta Orthop Scand 67(2):161–164

    CAS  Article  PubMed  Google Scholar 

  2. Feliciano DV (1998) Evaluation and treatment of vascular injuries. In: Browner BD, Levine AL, Jupiter JB, Trafton PG (eds) Skeletal trauma, 2nd edn. WB Saunders, Philadelphia, pp 349–361

    Google Scholar 

  3. Schlickewei W, Kuner EH, Mullaji AB, Gotze B (1992) Upper and lower limb fractures with concomitant arterial injury. J Bone Jt Surg Br 74(2):181–188

    CAS  Google Scholar 

  4. Eisner LG, Ammann JF (1994) Vascular injuries: diagnosis and technical procedure [in German]. Helv Chir Acta 60(6):1053–1059

    CAS  PubMed  Google Scholar 

  5. Gates JD (1995) The management of combined skeletal and arterial injuries of the lower extremity. Am J Orthop 24(9):674–680

    CAS  PubMed  Google Scholar 

  6. Iannacone WM, Taffet R, Delong WG Jr, Born CT, Dalsey RM, Deutsch LS (1994) Early exchange intramedullary nailing of distal femoral fractures with vascular injury initially stabilized with external fixation. J Trauma 37(3):446–451

    CAS  Article  PubMed  Google Scholar 

  7. Paley D, Maar DC (2000) Ilizarov bone transport treatment for tibial defects. J Orthop Trauma 14(2):76–85

    CAS  Article  PubMed  Google Scholar 

  8. Moroni A, Vannini F, Mosca M et al (2002) Techniques to avoid pin loosening and infection in external fixation. J Orthop Trauma 16:189–195

    Article  PubMed  Google Scholar 

  9. Waddell JP, Lenczner EM (1974–1975) Arterial injury associated with skeletal trauma. Injury 6:28–32

    Google Scholar 

  10. Connolly JF, Whittaker D, Williams E (1971) Femoral and tibial fractures combined with injuries to the femoral or popliteral artery: a review of the literature and analysis of fourteen cases. J Bone Jt Surg (Am) 53-A:56–68

    Google Scholar 

  11. Rich NM, Metz CW Jr, Hutton JR Jr et al (1971) Internal versus external fixation of fractures with concomitant vascular injuries in Vietnam. J Trauma 11:463–473

    CAS  Article  PubMed  Google Scholar 

  12. Howard PW, Makin GS (1990) Lower limb fractures with associated vascular injury. J Bone Jt Surg Br 72(1):116–120

    CAS  Google Scholar 

  13. Seide K, Wolter D, Kortmann HR (1999) Fracture reduction and deformity correction with the hexapod Ilizarov fixator. Clin Orthop Relat Res 363:186–195

    Article  PubMed  Google Scholar 

  14. Paley D (2005) Frontal plane mechanical plane and anatomic axis planning. In: Paley D (ed) Principle of deformity correction. Springer, New York, pp 61–76

Download references

Acknowledgments

We thank Saurabh Singh MS, M.Ch, AO Fellow, Department of Orthopedic Surgery and Traumatology, Niguarda Hospital, Milan, Italy, for great care in providing excellent revision writing. The current study was approved by Ethical Board Review of Niguarda’s Hospital, Milan, Italy.

Conflict of interest

None.

Author information

Affiliations

Authors

Corresponding author

Correspondence to Francesco Sala.

Rights and permissions

Reprints and Permissions

About this article

Cite this article

Sala, F., Albisetti, W. & Capitani, D. Versatility of Taylor Spatial Frame in Gustilo-Anderson III C femoral fractures: report of three cases. Musculoskelet Surg 94, 103–108 (2010). https://doi.org/10.1007/s12306-010-0073-8

Download citation

  • Received:

  • Accepted:

  • Published:

  • Issue Date:

  • DOI: https://doi.org/10.1007/s12306-010-0073-8

Keywords

  • Gustilo-Anderson type III C femoral fracture
  • Taylor Spatial Frame
  • Definitive external fixation
  • Arterial vascular injury