Skip to main content

Anti-Atherosclerotic and Anti-Inflammatory Effects of Curcumin on Hypercholesterolemic Male Rabbits

Abstract

Curcumin has a potent antioxidant and anti-inflammatory properties that may suppress inflammatory component of atherosclerosis. It has been demonstrated that curcumin derivatives can reduce the formation of arterial fatty streaks in cholesterol-fed rabbits. Therefore in this study we evaluated the protective effects of Curcumin on the progression of atherosclerosis. 20 mature rabbits were included for this study; they were randomly divided into four groups each of 5. Group 1: (normal control) were fed corn pellets diet and tab water, group 2: (high cholesterol diet control) were kept on cholesterol rich diet (2% cholesterol) and tab water. Group 3: (cholesterol and rosuvastatin treated group) were kept on cholesterol rich diet (2% cholesterol) and 2.5 mg/kg/day Rosuvastatin dispersed in DW and given orally, group 4: (cholesterol and curcumin treated group) were kept on cholesterol rich diet (2% cholesterol) and 0.2% curcumin added with corn pellets. The study continued for 12 weeks then assessment of serum level of high sensitive C-reactive protein, ICAM1, VCAM1 and PCSK9 was carried out at the end of the study. Total antioxidant activity of curcumin was also determined. Histopathological examination of aortic tissues for atherosclerotic changes was also carried out. Atherogenic (cholesterol rich diet) induced an increment in serum level of TC, LDL, VLDL and TG with concomitant decrement in serum level of HDL and increased atherogenic index. Treatment with curcumin produced substantial reduction in serum TC, LDL, TG with no effect on HDL level thus decreased atherogenic index. Rabbits treated with curcumin showed a significant reduction in the serum level of high sensitive C-reactive protein, ICAM1, VCAM, PCSK9 serum expression and aortic total antioxidant capacity. Curcumin has a potent anti-inflammatory and anti- oxidant effects against atherosclerosis so exerts a protective role by decreasing lipid oxidation and inflammatory markers.

This is a preview of subscription content, access via your institution.

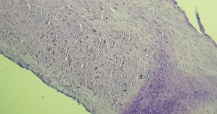
Fig. 1
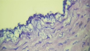
Fig. 2
Fig. 3

References

  1. Ilhan F, Kalkanli ST. Atherosclerosis and the role of immune cells. World J Clin Cases. 2015;16:345–52.

    Article  Google Scholar 

  2. Boamponsem AG. The role of inflammation in atherosclerosis. Pelagia Res Libr. 2011;2:194–207.

    CAS  Google Scholar 

  3. Wu MY, Li CJ, Hou MF, Chu PY. New insights into the role of inflammation in the pathogenesis of atherosclerosis. Int J Mol Sci. 2017;22(18):2034.

    Article  Google Scholar 

  4. Druce I, Abujrad H, Ooi TC. PCSK9 and triglyceride-rich lipoprotein metabolism. J Biomed Res. 2015;20:29.

    Google Scholar 

  5. Olszanecki R, Jawień J, Gajda M, Mateuszuk L, Gebska A, Korabiowska M, et al. Effect of curcumin on atherosclerosis in apoE/LDLR-double knockout mice. J Physiol Pharmacol. 2005;56:627–35.

    CAS  PubMed  Google Scholar 

  6. Yamazaki D, Ishida M, Watanabe H, Nobori K, Oguma Y, Terata Y, et al. Comparison of anti-inflammatory effects and high-density lipoprotein cholesterol levels between therapy with quadruple-dose rosuvastatin and rosuvastatin combined with ezetimibe. Lipids Health Dis. 2013;12:9.

    CAS  Article  Google Scholar 

  7. Almeida E, Blaquer D, Michiko H, Wilson R, Núñez R. Endothelium function, lipid peroxidation, plasmatic and tissue cholesterol evaluations in mixed dyslipidemia in rabbits treated with Rosuvastatin and atorvastatin. Clínica e Investigaciónen Arteriosclerosis. 2009;21:263–7.

    Article  Google Scholar 

  8. Hietanen E, Aitio A, Koivusaari U, Kilpiö J, Nevalainen T, Närhi M, et al. Tissue concentrations and interaction of zinc with lead toxicity in rabbits. Toxicology. 1982;25:113–27.

    CAS  Article  Google Scholar 

  9. Oguntoye CO, Oke BO. A comparison of xylazine/ketamine, diazepam/ketamine and acepromazine/ketamine anaesthesia in rabbit. Sokoto J Vet Sci. 2014;12:21–5.

    Article  Google Scholar 

  10. Zhao Y, Fukao K, Zhao S, Watanabe A, Hamada T, Yamasaki K, et al. Irbesartan attenuates atherosclerosis in Watanabe heritable hyperlipidemic rabbits: noninvasive imaging of inflammation by 18F-fluorodeoxyglucose positron emission tomography. Mol Imaging. 2015. https://doi.org/10.2310/7290.2015.00004.

    Article  PubMed  Google Scholar 

  11. Shin SK, Ha TY, McGregor RA, Choi MS. Long-term curcumin administration protects against atherosclerosis via hepatic regulation of lipoprotein cholesterol metabolism. Mol Nutr Food Res. 2011;55:1829–40.

    CAS  Article  Google Scholar 

  12. Mazidi M, Gao HK, Vatanparast H, Kengne AP. Impact of the dietary fatty acid intake on C-reactive protein levels in US adults. Medicine. 2017;96(7):e5736. https://doi.org/10.1097/MD.0000000000005736.

    CAS  Article  PubMed  PubMed Central  Google Scholar 

  13. Wojcik M, Krawczyk M, Wojcik P, Cypryk K, Wozniak LA. Molecular mechanisms underlying curcumin-mediated therapeutic effects in type 2 diabetes and cancer. Oxid Med Cell Longev. 2018. https://doi.org/10.1155/2018/9698258.

    Article  PubMed  PubMed Central  Google Scholar 

  14. Rohilla A, Rohilla S, Kumar A, Khan MU, Deep A. Pleiotropic effects of statins: a boulevard to cardioprotection. Arab J Chem. 2016;9:21–7.

    Article  Google Scholar 

  15. Hussein SA, El-Senosi YA, Ragab MR, Hammad MF. Hypolipidemic effect of curcumin in hyper-cholesterolemic rats. Benha Vet Med J. 2014;27:277–89.

    Google Scholar 

  16. Aldosari S, Awad M, Harrington EO, Sellke FW, Abid MR. Subcellular reactive oxygen species (ROS) in cardiovascular pathophysiology. Antioxidants (Basel). 2018. https://doi.org/10.3390/antiox7010014.

    Article  Google Scholar 

  17. Liu Z, Huang P, Law S, Tian H, Leung W, Xu C. Preventive effect of curcumin against chemotherapy-induced side-effects. Front Pharmacol. 2018;9:1374.

    CAS  Article  Google Scholar 

  18. Page MM, Watts GF. PCSK9 inhibitors–mechanisms of action. Aust Prescr. 2016;39:164.

    Article  Google Scholar 

  19. Lin XL, Xiao LL, Tang ZH, Jiang ZS, Liu MH. Role of PCSK9 in lipid metabolism and atherosclerosis. Biomed Pharmacother. 2018;104:36–44.

    CAS  Article  Google Scholar 

  20. Tai MH, Chen PK, Chen PY, Wu MJ, Ho CT, Yen JH. Curcumin enhances cell-surface LDLR level and promotes LDL uptake through downregulation of PCSK9 gene expression in HepG2 cells. Mol Nutr Food Res. 2014;58:2133–45.

    CAS  Article  Google Scholar 

  21. Nozue T. Lipid lowering therapy and circulating PCSK9 concentration. J Atheroscler Thromb. 2017;24:895–907.

    CAS  Article  Google Scholar 

Download references

Funding

None.

Author information

Affiliations

Authors

Corresponding author

Correspondence to Najah R. Hadi.

Ethics declarations

Conflict of interest

All authors declare no conflict of interests.

Ethical Standards

All the procedures performed in this study were in accordance with the ethical standards of the Institutional Ethical and research committee.

Additional information

Publisher's Note

Springer Nature remains neutral with regard to jurisdictional claims in published maps and institutional affiliations.

Rights and permissions

Reprints and Permissions

About this article

Verify currency and authenticity via CrossMark

Cite this article

Majeed, M.L., Ghafil, F.A., Fatima, G. et al. Anti-Atherosclerotic and Anti-Inflammatory Effects of Curcumin on Hypercholesterolemic Male Rabbits. Ind J Clin Biochem 36, 74–80 (2021). https://doi.org/10.1007/s12291-019-00858-5

Download citation

  • Received:

  • Accepted:

  • Published:

  • Issue Date:

  • DOI: https://doi.org/10.1007/s12291-019-00858-5

Keywords

  • Curcumin
  • Hypercholesterolemic
  • Male
  • Rabbits
  • Anti-inflammatory