Skip to main content

A Comparative Study of Bone Marrow Squash and Wedge Aspiration Smears

Abstract

Bone marrow examination entails study of aspirate smears, touch imprints and trephine biopsy. Bone marrow aspirate smears can be prepared by the squash (crush) or wedge method. Both techniques have their own advantages and disadvantages. There is paucity of studies that have compared these smear types. This study was conducted over a period of one year. Two hundred and five bone marrow aspirates were included. Both squash and wedge smears were made. Blinded slide review was done. Bone marrow cellularity, megakaryocyte number, myeloid to erythroid (M:E) ratio, morphology and final diagnosis on each smear type was compared. Chi square test, t-test and Kappa were applied to study the agreement between the wedge and squash smears. Among the 205 patients studied, squash smears showed significant over estimation of cellularity and megakaryocyte number (p < 0.05). There was no significant difference (p > 0.05) in the M:E ratio and morphological scores. Most patients (188/205 [91.7%]) showed complete diagnostic concordance while 17 (8.3%) patients had discrepancy in diagnosis between the squash and wedge smears. In 8 (3.9%) of these, major discrepancies were seen while 9 (4.4%) patients had minor discrepancies. Bone marrow cellularity and megakaryocyte numbers were underestimated in wedge smears with no differences in M:E ratio or morphology. Acceptable agreement for diagnosis was seen for patients with most disorders. Major diagnostic discrepancies were seen in patients with lesions known to have focal distribution—lymphoma, myeloma and tuberculosis (granulomas). Both squash and wedge smears should be studied for bone marrow examination.

This is a preview of subscription content, access via your institution.

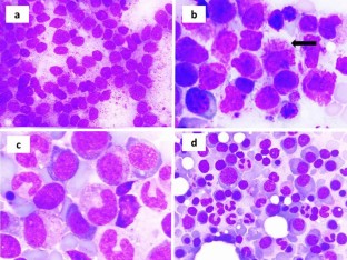
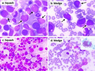
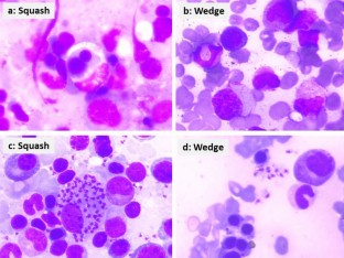
Fig. 1
Fig. 2
Fig. 3
Fig. 4
Fig. 5
Fig. 6
Fig. 7
Fig. 8

References

  1. Bates I, Burthem J (2011) Bone marrow biopsy. In: Bain BJ, Bates I, Laffan MA, Lewis SM (eds) Dacie and Lewis. practical haematology, vol 11. Churchill Livingstone, China, pp 123–137

    Google Scholar 

  2. Bain BJ, Clark DM, Lampert A (1996) 2001 Bone marrow pathology, vol 2. Blackwell science, Oxford

    Google Scholar 

  3. Bain B (2001) Bone marrow aspiration. J Clin Pathol 54:657–663

    CAS  Article  Google Scholar 

  4. Bedu-Addo G, Ampem Amoako Y, Bates I (2013) The role of bone marrow aspirate and trephine samples in haematological diagnoses in patients referred to a teaching hospital in Ghana. Ghana Med J 47:74–78

    CAS  PubMed  PubMed Central  Google Scholar 

  5. Gilotra M, Gupta M, Singh S, Sen R (2017) Comparison of bone marrow aspiration cytology with bone marrow trephine biopsy histopathology: an observational study. J Lab Physi 9:182–189

    CAS  Article  Google Scholar 

  6. Riley RS, Williams D, Ross M, Zhao S, Chesney A, Clark BD et al (2009) Bone marrow aspirate and biopsy: a pathologist's perspective. II. Interpretation of the bone marrow aspirate and biopsy. J Clin Lab Anal 23:259–307

    Article  Google Scholar 

  7. Chandra S, Chandra H (2011) Comparison of bone marrow aspirate cytology, touch imprint cytology and trephine biopsy for bone marrow evaluation. Hematol Rep 3:65–68

    Article  Google Scholar 

  8. Lee S, Erber W, Porwit A, Tomonaga M, Peterson L (2008) ICSH guidelines for the standardization of bone marrow specimens and reports. Int J Lab Hematol 30:349–364

    Article  Google Scholar 

  9. Kaur M, Singh Rana AP, Kapoor S, Puri A (2014) Diagnostic value of bone marrow aspiration and biopsy in routine hematology practice. J Clin Diagn Res 8:FC13–FC16

    PubMed  PubMed Central  Google Scholar 

  10. Atla BL, Anem V, Dasari A (2015) Prospective study of bone marrow in haematological disorders. Int J Res Med Sci 3:1917–1921

    Article  Google Scholar 

  11. Toi PC, Varghese RG, Rai R (2010) Comparative evaluation of simultaneous bone marrow aspiration and bone marrow biopsy: an institutional experience. Indian J Hematol Blood Transfus 26:41–44

    Article  Google Scholar 

  12. Sharma P, Sachdeva M, Varma N (2014) Bone marrow aspirate smear preparation: morphological superiority of the timely wedge smear and the importance of imprints. Ann Hematol 93:1063–1064

    Article  Google Scholar 

  13. Bain BJ, Bailey K (2011) Pitfalls in obtaining and interpreting bone marrow aspirates: to err is human. J Clin Pathol 64:373–379

    Article  Google Scholar 

  14. Lewandowski K, Kowalik M, Pawlaczyk R, Rogowski J, Hellmann A (2011) Microscopic examination of bone marrow aspirate in healthy adults—comparison of two techniques of slide preparation. Int J Lab Hematol 34:254–261

    Article  Google Scholar 

  15. Lewandowski K, Complak A, Hellmann A (2011) Microscopic examination of bone marrow aspirates in malignant disorders of haematopoiesis a comparison of two slide preparation techniques. Ann Hematol 91:497–505

    Article  Google Scholar 

  16. Wilkins BS (2011) Pitfalls in bone marrow pathology: avoiding errors in bone marrow trephine biopsy diagnosis. J Clin Pathol 64:380–386

    Article  Google Scholar 

  17. Goyal S, Singh UR, Rusia U (2014) Comparative evaluation of bone marrow aspirate with trephine biopsy in hematological disorders and determination of optimum trephine length in lymphoma infiltration. Mediterr J Hematol Infect Dis 6:e2014002. https://doi.org/10.4084/MJHID.2014.002

    Article  PubMed  PubMed Central  Google Scholar 

  18. Hamid GA, Hanbala N (2009) Comparison of bone marrow aspiration and bone marrow biopsy in neoplastic diseases. Gulf J Oncolog 6:41–44

    Google Scholar 

Download references

Acknowledgement

The study was conducted at Christian Medical College & Hospital, Ludhiana. The authors acknowledge the contribution of Mr. Prasan Das, laboratory technician, for retrieval of the bone marrow aspirate slides.

Funding

No funding was required for the study.

Author information

Affiliations

Authors

Corresponding author

Correspondence to Naveen Kakkar.

Ethics declarations

Conflict of interest

The authors declare that they have no conflict of interest.

Availability of Data and Material

Yes.

Consent for Publication

Yes.

Consent to Participate

Consent was taken from all patients.

Ethical Approval

This study was a thesis for the post-graduation in pathology by the first author. Ethical and research committee approval was obtained prior to the study.

Human and Animal Rights

No animals were used in this study. All procedures performed in studies involving human participants were in accordance with the ethical standards of the institutional and/or national research committee and with the 1964 Helsinki declaration and its later amendments or comparable ethical standards.

Informed Consent

Informed consent from the patients was taken.

Additional information

Publisher's Note

Springer Nature remains neutral with regard to jurisdictional claims in published maps and institutional affiliations.

Rights and permissions

Reprints and Permissions

About this article

Verify currency and authenticity via CrossMark

Cite this article

Ahluwalia, N.A., Kakkar, N. & Kwatra, K.S. A Comparative Study of Bone Marrow Squash and Wedge Aspiration Smears. Indian J Hematol Blood Transfus 37, 108–118 (2021). https://doi.org/10.1007/s12288-020-01321-9

Download citation

  • Received:

  • Accepted:

  • Published:

  • Issue Date:

  • DOI: https://doi.org/10.1007/s12288-020-01321-9

Keywords

  • Aspiration
  • Bone marrow
  • Crush
  • Smears
  • Squash
  • Wedge