Skip to main content

Bilateral Tonsillar Enlargement as a First Manifestation of Chronic Lymphocytic Leukemia/Small Lymphocytic Lymphoma with an Unusual Interfollicular Pattern of Infiltration

Abstract

Tonsillar lymphoma usually presents as unilateral or bilateral enlargement or as an ulcerative or fungating lesions. Most lymphomas that involve the tonsils are diffuse large B-cell lymphomas and primary low grade lymphomas are exceptional. We report a case of primary B-cell chronic lymphocytic leukemia/small lymphocytic lymphoma (CLL/SLL) affecting tonsils with interfollicular pattern of infiltration in a 54-year-old female who clinically presented with bilateral tonsillar enlargement, sore throat, dysphagia and respiratory difficulty, unresponsive to the conservative treatment. To the best of our knowledge, till date only six cases of CLL/SLL infiltrating tonsils have been reported in the English literature, three of these were known cases of CLL/SLL prior to tonsillectomy. In the present case diagnosis of CLL/SLL was first time established on tonsillar histomorphology and that too with an unusual interfollicular pattern of infiltration.

This is a preview of subscription content, access via your institution.

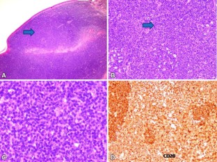
Fig. 1
Fig. 2

References

  1. Cullen KA, Hall MJ, Golosinskiy A (2009) Ambulatory surgery in the United States, 2006. Natl Health Stat Rep 11:1–25

    Google Scholar 

  2. Mohammadianpanah M, Omidvai S, Mosalei A et al (2005) Treatment results of tonsillar lymphoma: 10 years experience. Ann Hematol 83:223–226

    Article  Google Scholar 

  3. Nolan P (1996) Chronic lymphocytic leukaemia presenting as severe obstructive sleep apnoea. Respirology 1:299–301

    CAS  Article  PubMed  Google Scholar 

  4. Chehal A, Haidar JH, Jabbour R, Yammout B, Bazarbachi A (2002) Obstructive sleep apnea secondary to chronic lymphocytic leukemia. Ann Oncol 13:1833–1834

    CAS  Article  PubMed  Google Scholar 

  5. Tsou YA, Cheng YK, Lin CD, Chang WC, Tsai MH (2004) Small B cell lymphocytic lymphoma presenting as obstructive sleep apnea. World J Surg Oncol 2:26

    Article  PubMed  PubMed Central  Google Scholar 

  6. Kaur P, Nazeer T (2004) B-cell chronic lymphocytic leukemia/small lymphocytic lymphoma presenting in the tonsil: a case report and review of literature. Am J Otolaryngol 25(2):121–125

    Article  PubMed  Google Scholar 

  7. Soria-Céspedes D, Baquera-Heredia J, Pardo A, Ortiz-Hidalgo C (2010) Bilateral tonsillar hypertrophy as the first manifestation of B cell-small lymphocytic lymphoma with interfollicular pattern. Rev Med Inst Mex Seguro Soc 48(1):75–78

    PubMed  Google Scholar 

  8. Minca EC, Popat SR, Chadha MK, Merzianu M (2012) Small lymphocytic lymphoma obscuring microscopic tonsillar squamous cell carcinoma: an unknown occurrence with a known primary. Head Neck Pathol 6(1):125–129

    Article  PubMed  Google Scholar 

  9. Redaelli A, Laskin BL, Stephens JM et al (2004) The clinical and epidemiological burden of chronic lymphocytic leukaemia. Eur J Cancer Care (Engl) 13:279–287

    CAS  Article  Google Scholar 

  10. Armitage JO, Weisenburger DD (1998) New approach to classifying non-Hodgkin’s lymphomas: clinical features of the major histologic subtypes. Non-Hodgkin’s Lymphoma Classification Project. J Clin Oncol 16:2780–2795

    CAS  PubMed  Google Scholar 

  11. Harris N, Jaffe E, Stein H, Banks P, Chan J, Cleary M et al (1994) A revised European-American classification of lymphoid neoplasms:a proposal from the International Lymphoma Study Group. Blood 84:1361–1392

    CAS  PubMed  Google Scholar 

  12. Kipps TJ (1989) The CD5 B cell. Adv Immunol 47:117–185

    CAS  Article  PubMed  Google Scholar 

  13. Gupta D, Lim MS, Medeiros LJ, Elenitoba-Johnson KSJ (2000) Small lymphocytic lymphoma with perifollicular, marginal zone, or interfollicular distribution. Mod Pathol 13(11):1161–1166

    CAS  Article  PubMed  Google Scholar 

Download references

Author information

Affiliations

Authors

Corresponding author

Correspondence to Rajan Duggal.

Rights and permissions

Reprints and Permissions

About this article

Verify currency and authenticity via CrossMark

Cite this article

Duggal, R., Rana, A., Vaid, A. et al. Bilateral Tonsillar Enlargement as a First Manifestation of Chronic Lymphocytic Leukemia/Small Lymphocytic Lymphoma with an Unusual Interfollicular Pattern of Infiltration. Indian J Hematol Blood Transfus 32, 152–155 (2016). https://doi.org/10.1007/s12288-015-0629-8

Download citation

  • Received:

  • Accepted:

  • Published:

  • Issue Date:

  • DOI: https://doi.org/10.1007/s12288-015-0629-8

Keywords

  • Chronic lymphocytic leukemia
  • Tonsils
  • Interfollicular